XB-ART-53241
Nat Commun
2014 Jul 15;5:4393. doi: 10.1038/ncomms5393.
Show Gene links
Show Anatomy links
Cholesterol selectively activates canonical Wnt signalling over non-canonical Wnt signalling.
???displayArticle.abstract???
Wnt proteins control diverse biological processes through β-catenin-dependent canonical signalling and β-catenin-independent non-canonical signalling. The mechanisms by which these signalling pathways are differentially triggered and controlled are not fully understood. Dishevelled (Dvl) is a scaffold protein that serves as the branch point of these pathways. Here, we show that cholesterol selectively activates canonical Wnt signalling over non-canonical signalling under physiological conditions by specifically facilitating the membrane recruitment of the PDZ domain of Dvl and its interaction with other proteins. Single-molecule imaging analysis shows that cholesterol is enriched around the Wnt-activated Frizzled and low-density lipoprotein receptor-related protein 5/6 receptors and plays an essential role for Dvl-mediated formation and maintenance of the canonical Wnt signalling complex. Collectively, our results suggest a new regulatory role of cholesterol in Wnt signalling and a potential link between cellular cholesterol levels and the balance between canonical and non-canonical Wnt signalling activities.
???displayArticle.pubmedLink??? 25024088
???displayArticle.pmcLink??? PMC4100210
???displayArticle.link??? Nat Commun
???displayArticle.grants??? [+]
R01 GM068849 NIGMS NIH HHS , R01 GM110128 NIGMS NIH HHS , GM110128 NIGMS NIH HHS , GM68849 NIGMS NIH HHS
Species referenced: Xenopus
Genes referenced: acss2.2 ctnnb1 dvl1 dvl2 dvl3 en2 foxg1 fzd7 gsk3a gsk3b lrp6 mapk8 myc myod1 nodal3 nodal3.2 twist1 wnt11 wnt3a wnt5a wnt8a
GO keywords: Wnt signaling pathway
???displayArticle.morpholinos??? dvl1 MO1 dvl2 MO1 dvl3 MO1
???attribute.lit??? ???displayArticles.show???
|
|
Fig. 2. Single molecule tracking of Dvl and other members of the canonical Wnt signaling complex(A) A representative pair of EGFP-tagged Dvl2 (green circles) and Halo-TMR-labeled Fz7 (red circles) in a HeLa cell is shown. The left panel is for Dvl2 WT and the right panel for FM/A. Many Dvl2 WT molecules show dynamic colocalization with Fz7 in the presence of Wnt3a (>5 minutes after Wnt3a stimulation) whereas most of FM/A molecules exhibit separate localization with Fz7 (see also Supplementary Movie 2 and 4). Green and red dots indicate individual Dvl2 and Fz7 molecules, respectively, and lines are their trajectories. Yellow scale bars indicate 0.5 μm. (B) Distribution of colocalization time of Halo-TMR-Fz7 with EGFP-Dvl2 WT or FM/A. The number of Fz7 molecules spending a given colocalzation time with Dvl2 WT on the PM of HeLa cells is displayed. Notice that Wnt3a dramatically enhanced the population of Fz7 molecules co-localized with Dvl2 WT for >100 msec. In contrast, no Fz7 molecule was found to colocalized with the Dvl2 FM/A mutant for >100 msec with or without Wnt3a (see also Supplementary Movie 1-4). Wnt5a had no effect on Dvl2 WT or FM/A. The same size of PM surface was analyzed for each histogram. (C) Distribution of colocalization time of EGFP-LRP6 with Halo-TMR-Dvl2 WT or FM/A. Wnt3a drastically enhanced the co-localization of Dvl2-WT (not FM/A) and LRP6 whereas Wnt5a had no effect on Dvl2 WT or FM/A (D) Distribution of colocalization time of EGFP-Axin with Halo-TMR-Dvl2 WT or FM/A. Wnt3a treatment significantly increased the population of co-localized Dvl2 WT-Axin pairs while having no effect on Dvl2 FM/A-Axin co-localization. Wnt5a showed no detectable effect. (E) Distribution of colocalization time of Halo-TMR-Fz7 with EGFP-Dvl2-Δ424-507 (or Δ424-507-FM/A). The two truncation mutants behaved essentially the same as their non-truncated counterparts shown in Fig 2B. 50 ng/ml Wnt3a or Wnt5a was used in all experiments. |
|
|
Fig. 3. Effects of cholesterol depletion and protein knockdown on interactions among Wnt signaling proteins in HeLa cells(A) Effects of cholesterol depletion by methyl-β-cyclodextrin (MβCD) and LRP6 knockdown on Dvl2-Fz7 co-localization before and 10 minutes after stimulation by Wnt3a. (B) Effect of cholesterol depletion by MβCD on Dvl2-LRP6 co-localization before and 10 minutes after stimulation by Wnt3a. (C) Effects of cholesterol depletion by MβCD and Dvl1/2/3 triple knockdown on Dvl2-Fz7 co-localization before and 10 minutes after stimulation by Wnt3a. Protein co-localization was determined by single molecule imaging as described for Fig. 2. 50 ng/ml Wnt3a was used for all experiments. Cholesterol depletion was achieved by incubating cells with 1 mM MβCD in DMEM for 1 hour at 37oC. 50 nM siRNA was used for each knockdown experiment. |
|
|
Fig. 4. Wnt-induced local cholesterol concentration changes estimated by a cholesterol probe(A) Distribution of colocalization time of Halo-TMR-Fz7 with EGFP-D4-D434A before and after Wnt3a or Wnt5a treatment. Colocalization was dramatically increased in response to Wnt3a stimulation and lasted >20 minutes under our experimental conditions. (B) Distribution of colocalization time of Halo-TMR-D4-D434A with EGFP-LRP6 before and after Wnt3a and Wnt5a treatment. Notice that D4-D434A and EGFP-LRP6 are significantly co-localized even in the absence of Wnt3a; consequently, Wnt3a stimulation enhanced the overall co-localization only modestly. 50 ng/ml Wnt3a or Wnt5a was used in all experiments. |
|
|
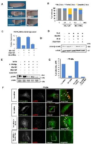
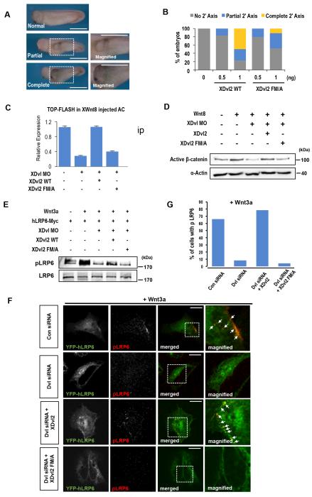
Fig. 5. Cholesterol binding of Dvl is required for canonical Wnt signaling under physiological conditions(A) Induction of the secondary axis by exogenous addition of XDvl2. The partial axis was characterized by the axial structure without the head structure including eyes and cement glands. The complete axis has the axial structure along with the head structure. Scale bars indicate 1 mm. (B) Quantification of Fig. 5A. (C) The TOP-FLASH activity was measured in Xenopus AC explants. XWnt8 mRNAs were injected with indicated XDvl2 mRNAs and XDvl Morpholinos (MO). At stage 10, ACs were dissected and analyzed. Error bars indicate standard deviations from three independent analyses. (D) The Western blot analysis of activated (dephosphorylated) β-catenin levels. α-Actin was used as a loading control. (E) Western blot data showing the degree of LRP6 phosphorylation. Xenopus embryos were injected with indicated mRNAs, including human Myc-tagged LRP6 (hLRP6-Myc), and AC tissue explants were analyzed at stage10.5. Only exogenous Dvl2 WT could rescue Dvl MO-mediated inhibition of LRP6 phosphorylation in Xenopus AC tissues. hLRP6-Myc was immunoprecipitated by the c-Myc antibody and phosphorylated LRP6 (pLRP6) was detected with the antibody against Sp1490. (F) Confocal images of HeLa cells showing the location and degree of LRP6 phosphorylation. The Wnt3a-mediated colocalization (see white arrows) of GFP-human LRP6 (hLRP6) (Green) and phosphorylated LRP6 at Ser1490 (pLRP6: Red) was clearly seen at the PM and endosomes in control cells (Con siRNA: first row). Dvl siRNA (second row) abrogated the colocalization of hLRP6 and pLRP6, which was significantly rescued by XDvl2 (third row), but not by XDvl2 FM/A (bottom row). Scale bars indicate 20 μm (G) Quantification of Fig. 5F. |
|
|
Fig. 6. Differential Effects of cholesterol on canonical and non-canonical Wnt signaling during Xenopus embryogenesis(A) Xnr3 expression was analyzed by in situ hybridization. Embryos were injected with the indicated reagents at the dorsal side of 4-cell stage with a lineage tracer β-galactosidase mRNA and analyzed at stage 10.5. The scale bar indicates 250 μm. (B) Quantification of Fig. 6A. (C) One side of each embryo was injected with the indicated reagents at the 4-cell stage with a β-galactosidase mRNA. Expressions of MyoD at stage12, and BF1, En2 and Twist at stage 17-19 were monitored on both injected (inj.) and uninjected (Uninj.) sides by in situ hybridization. The scale bar indicates 250 μm. (D) Quantification of Fig. 6C. Percentage of embryos with reduced gene expression on the injected side was counted. (E) Reagents were introduced into the dorsal marginal region of 4-cell stage embryos and defective phenotypes were counted at tadpole stages. Severe defects were characterized by the shortened and kinked body axis and mild defects by the slightly shortened and defective head structure. Scale bars indicate 1 mm. (F) Quantification of Fig. 6E. (G) DMZs were dissected at stage 10 and cultured up to stage 18. Each image was a representative of three independent experiments. Scale bars indicate 0.4 mm. (H) Quantification of Fig. 6G. The Y-axis indicates the length/width ratio (L/W) of each DMZs. Error bars denote standard deviations. Asterisk indicates p < 0.005 (determined by two-tailed t-test) when compared to the control, (XDvl MO + XDvl2)- and (XDvl MO + XDvl2 FM/A)-injected explants, respectively. For all experiments, endogenous XDvl levels were suppressed by triple MO, and XDvl2 WT or FM/A was reintroduced to embryos. |
|
|
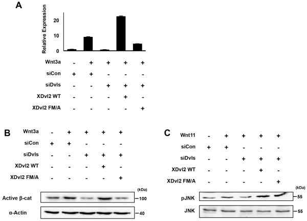
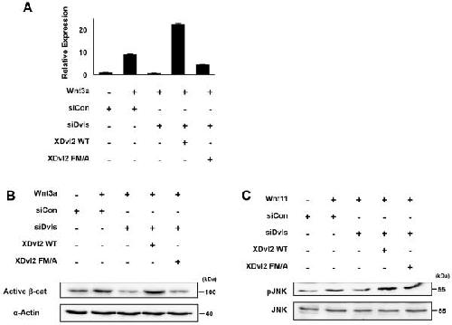
Fig. 7. Cholesterol binding of Dvl2 is required only for canonical Wnt signaling in culture cells(A-C) TOP-Flash activity (A), Activated β-catenin level (B) and phosphorylated JNK level (C) were measured in HEK293FT cells. (A) HEK293FT cells were transfected with 50 nM of control siRNA or Dvl1/2/3 siRNAs along with TOP-Flash reporter constructs and Dvl DNAs prior to 24 hours of Wnt3a conditioned medium (CM) stimulation. Error bars indicate standard deviations from three independent analyses. (B,C) HEK293FT cells were transfected with indicated siRNAs and DNAs prior to 6 hours of Wnt3a stimulation (B) or 1 hour of Wnt11 stimulation (C). Cell lysates were harvested and analyzed by western blotting with activated β-catenin (B) or phosphorylated JNK antibodies (C). Actin and JNK levels were used as loading controls. |
|
|
Fig 8. A model for cholesterol-mediated canonical Wnt signaling-specific functions of Dvl(A) Binding of a canonical Wnt to the Fz7 and LRP6 receptors induces the local enrichment of cholesterol in the vicinity of the activated receptor complex by bringing Fz7 closer to LRP6 in cholesterol-enriched microenvironment. This concomitantly recruits Dvl to the complex through its coincident recognition of Fz7 and cholesterol (and an anionic lipid, such as PtdIns(4,5)P2) by its PDZ domain. Cholesterol binding of Dvl ensures the canonical Wnt signaling-specific scaffolding function of Dvl by allowing sustained interaction of Dvl with Fz7 and other proteins involved in canonical Wnt signaling, including Axin and GSK3, and thereby facilitating LRP6 phosphorylation. The canonical Wnt signaling complex containing phosphorylated LRP6 can also be endocytosed to continue signaling activities intracellularly. (B) By contrast, cholesterol binding of Dvl is not required for non-canonical Wnt signaling (e.g., Wnt/PCP signaling) because its scaffolding activity for proteins involved in these pathways (e.g., Daam1) does not seem to depend on its sustained PM localization. Co-R indicates a potential co-receptor for non-canonical Wnt signaling. Other putative steps of canonical Wnt signaling, including receptor complex aggregation, local PtdIns(4,5)P2 enrichment 6,37,41, and the downstream Wnt signaling events are omitted here for simplicity. |
References [+] :
Anastas,
WNT signalling pathways as therapeutic targets in cancer.
2013, Pubmed
Anastas, WNT signalling pathways as therapeutic targets in cancer. 2013, Pubmed
Bilic, Wnt induces LRP6 signalosomes and promotes dishevelled-dependent LRP6 phosphorylation. 2007, Pubmed
Chang, Cholesterol sensing, trafficking, and esterification. 2006, Pubmed
Chen, Small molecule-mediated disruption of Wnt-dependent signaling in tissue regeneration and cancer. 2009, Pubmed
Chen, Genome-wide functional annotation of dual-specificity protein- and lipid-binding modules that regulate protein interactions. 2012, Pubmed
Cho, Membrane-protein interactions in cell signaling and membrane trafficking. 2005, Pubmed
Choi, Rap2 is required for Wnt/beta-catenin signaling pathway in Xenopus early development. 2005, Pubmed , Xenbase
Clevers, Wnt/beta-catenin signaling in development and disease. 2006, Pubmed
Di Paolo, Phosphoinositides in cell regulation and membrane dynamics. 2006, Pubmed
Epand, Cholesterol and the interaction of proteins with membrane domains. 2006, Pubmed
Fang, Hypercholesterolemia suppresses inwardly rectifying K+ channels in aortic endothelium in vitro and in vivo. 2006, Pubmed
Farrand, Only two amino acids are essential for cytolytic toxin recognition of cholesterol at the membrane surface. 2010, Pubmed
Florian, A canonical to non-canonical Wnt signalling switch in haematopoietic stem-cell ageing. 2013, Pubmed
Gao, Dishevelled: The hub of Wnt signaling. 2010, Pubmed
Goldstein, Protein sensors for membrane sterols. 2006, Pubmed
Grandy, Discovery and characterization of a small molecule inhibitor of the PDZ domain of dishevelled. 2009, Pubmed , Xenbase
Green, The role of Ryk and Ror receptor tyrosine kinases in Wnt signal transduction. 2014, Pubmed
Grossmann, Inhibition of oncogenic Wnt signaling through direct targeting of β-catenin. 2012, Pubmed
Habas, Wnt/Frizzled activation of Rho regulates vertebrate gastrulation and requires a novel Formin homology protein Daam1. 2001, Pubmed , Xenbase
Hanson, A specific cholesterol binding site is established by the 2.8 A structure of the human beta2-adrenergic receptor. 2008, Pubmed
Heo, PI(3,4,5)P3 and PI(4,5)P2 lipids target proteins with polybasic clusters to the plasma membrane. 2006, Pubmed
Hsieh, Mesd encodes an LRP5/6 chaperone essential for specification of mouse embryonic polarity. 2003, Pubmed
Huang, Super-resolution fluorescence microscopy. 2009, Pubmed
Hulce, Proteome-wide mapping of cholesterol-interacting proteins in mammalian cells. 2013, Pubmed
Ikonen, Cellular cholesterol trafficking and compartmentalization. 2008, Pubmed
Kim, Essential role for beta-arrestin 2 in the regulation of Xenopus convergent extension movements. 2007, Pubmed , Xenbase
Kim, Wnt stabilization of β-catenin reveals principles for morphogen receptor-scaffold assemblies. 2013, Pubmed , Xenbase
Kim, Ryk cooperates with Frizzled 7 to promote Wnt11-mediated endocytosis and is essential for Xenopus laevis convergent extension movements. 2008, Pubmed , Xenbase
Klaus, Wnt signalling and its impact on development and cancer. 2008, Pubmed
Koyama-Honda, Fluorescence imaging for monitoring the colocalization of two single molecules in living cells. 2005, Pubmed
Levitan, Cholesterol and ion channels. 2010, Pubmed
Li, Wnt signaling through inhibition of β-catenin degradation in an intact Axin1 complex. 2012, Pubmed
Lin, Wnt5b-Ryk pathway provides directional signals to regulate gastrulation movement. 2010, Pubmed
Lingwood, Lipid rafts as a membrane-organizing principle. 2010, Pubmed
Liu, Mechanism of activation of the Formin protein Daam1. 2008, Pubmed , Xenbase
Logan, The Wnt signaling pathway in development and disease. 2004, Pubmed
MacDonald, Wnt/beta-catenin signaling: components, mechanisms, and diseases. 2009, Pubmed , Xenbase
Manna, Differential roles of phosphatidylserine, PtdIns(4,5)P2, and PtdIns(3,4,5)P3 in plasma membrane targeting of C2 domains. Molecular dynamics simulation, membrane binding, and cell translocation studies of the PKCalpha C2 domain. 2008, Pubmed
Maxfield, Role of cholesterol and lipid organization in disease. 2005, Pubmed
McLaughlin, Plasma membrane phosphoinositide organization by protein electrostatics. 2005, Pubmed
Moore, Loss of receptor-mediated lipid uptake via scavenger receptor A or CD36 pathways does not ameliorate atherosclerosis in hyperlipidemic mice. 2005, Pubmed
Petrey, Structural relationships among proteins with different global topologies and their implications for function annotation strategies. 2009, Pubmed
Pettersen, UCSF Chimera--a visualization system for exploratory research and analysis. 2004, Pubmed
Ramachandran, Structural insights into the membrane-anchoring mechanism of a cholesterol-dependent cytolysin. 2002, Pubmed
Schambony, Wnt-5A/Ror2 regulate expression of XPAPC through an alternative noncanonical signaling pathway. 2007, Pubmed , Xenbase
Schwarz-Romond, The DIX domain of Dishevelled confers Wnt signaling by dynamic polymerization. 2007, Pubmed
Sheng, Cholesterol modulates cell signaling and protein networking by specifically interacting with PDZ domain-containing scaffold proteins. 2012, Pubmed
Shimada, The C-terminal domain of perfringolysin O is an essential cholesterol-binding unit targeting to cholesterol-rich microdomains. 2002, Pubmed
Silkov, Genome-wide structural analysis reveals novel membrane binding properties of AP180 N-terminal homology (ANTH) domains. 2011, Pubmed
Simons, Electrochemical cues regulate assembly of the Frizzled/Dishevelled complex at the plasma membrane during planar epithelial polarization. 2009, Pubmed
Simons, Planar cell polarity signaling: from fly development to human disease. 2008, Pubmed
Taelman, Wnt signaling requires sequestration of glycogen synthase kinase 3 inside multivesicular endosomes. 2010, Pubmed , Xenbase
Tamai, A mechanism for Wnt coreceptor activation. 2004, Pubmed , Xenbase
Tauriello, Wnt/β-catenin signaling requires interaction of the Dishevelled DEP domain and C terminus with a discontinuous motif in Frizzled. 2012, Pubmed , Xenbase
Thorne, Small-molecule inhibition of Wnt signaling through activation of casein kinase 1α. 2010, Pubmed , Xenbase
van Amerongen, Towards an integrated view of Wnt signaling in development. 2009, Pubmed
van Amerongen, Alternative Wnt pathways and receptors. 2012, Pubmed
Vinyoles, Multivesicular GSK3 sequestration upon Wnt signaling is controlled by p120-catenin/cadherin interaction with LRP5/6. 2014, Pubmed
Wallingford, The developmental biology of Dishevelled: an enigmatic protein governing cell fate and cell polarity. 2005, Pubmed
Wang, Small-molecule modulation of Wnt signaling via modulating the Axin-LRP5/6 interaction. 2013, Pubmed
Wong, Direct binding of the PDZ domain of Dishevelled to a conserved internal sequence in the C-terminal region of Frizzled. 2003, Pubmed , Xenbase
Wong, Structural basis of the recognition of the dishevelled DEP domain in the Wnt signaling pathway. 2000, Pubmed
Wu, PDZ domains of Par-3 as potential phosphoinositide signaling integrators. 2007, Pubmed
Yamamoto, Caveolin is necessary for Wnt-3a-dependent internalization of LRP6 and accumulation of beta-catenin. 2006, Pubmed
Yamamoto, Wnt3a and Dkk1 regulate distinct internalization pathways of LRP6 to tune the activation of beta-catenin signaling. 2008, Pubmed , Xenbase
Yeung, Membrane phosphatidylserine regulates surface charge and protein localization. 2008, Pubmed
Yoon, Phosphatidylinositol 4,5-bisphosphate (PtdIns(4,5)P2) specifically induces membrane penetration and deformation by Bin/amphiphysin/Rvs (BAR) domains. 2012, Pubmed
Zeng, Initiation of Wnt signaling: control of Wnt coreceptor Lrp6 phosphorylation/activation via frizzled, dishevelled and axin functions. 2008, Pubmed , Xenbase
Zhang, Inhibition of Wnt signaling by Dishevelled PDZ peptides. 2009, Pubmed
Zimmermann, PIP(2)-PDZ domain binding controls the association of syntenin with the plasma membrane. 2002, Pubmed
