Click here to close
Hello! We notice that you are using Internet Explorer, which is not supported by Xenbase and may cause the site to display incorrectly.
We suggest using a current version of Chrome,
FireFox, or Safari.
???displayArticle.abstract???
Deadenylation is an intimate part of the post-transcriptional regulation of maternal mRNAs in embryos. EDEN-BP is so far the only known member of a complex regulating the deadenylation of maternal mRNA in Xenopus laevis embryos in a manner that is dependent on the 3'-untranslated region called EDEN (embryo deadenylation element). In this report, we show that calcium activation of cell-free extracts triggers EDEN binding protein (EDEN-BP) dephosphorylation and concomitant deadenylation of a chimeric RNA bearing Aurora A/Eg2 EDEN sequence. Deadenylation of mRNA deprived of EDEN sequence (default deadenylation) does not change with egg activation. Kinase and phosphatase inhibitors downregulate EDEN-dependent deadenylation but they do not substantially influence default deadenylation. Using indestructible Delta90 cyclin B to revert interphase extracts to the M-phase, we show that modulation of EDEN-dependent deadenylation is independent of M-phase promoting factor (MPF) activity. These results suggest that the increase in EDEN-dependent deadenylation following egg activation is achieved, at least partially, via dephosphorylation and/or phosphorylation of regulatory proteins, including EDEN-BP dephosphorylation. This regulation proceeds in a manner independent from MPF inactivation.
Fig.1. Acceleration of EDEN-dependent deadenylation in calcium-activated CSF extract. (A) Capped, radiolabelled transcript Eg2-410 and Eg2-410a were incubated in CSF- or calcium (0.8 mM)-activated extracts for 1, 2 or 3 hours. After extraction and precipitation RNAs were analysed on urea/acrylamide 4% gels. The positions of the different forms of the transcripts are indicated: (A+), fully adenylated (A65) form, and (A-), fully deadenylated form. The lane (T) corresponds to the fully adenylated radiolabelled transcripts without previous incubation with extract and precipitation. (B) Sperm nuclei chromatin was stained with Hoechst dye and observed in fluorescence and phase contrast. Condensed sperm chromosomes in the CSF extract (left) and decondensed nuclei in calcium activated extract (right).
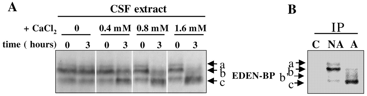
Fig.2. Changes in the electrophoretic mobility of EDEN-BP is triggered by calcium. (A) Increasing amounts of CaCl2 were added to activate CSF extract. The extracts were incubated for 3 hours, analysed on 15% Anderson SDS/PAGE gels, blotted and reacted with anti-EDEN-BP antibody. (B) Proteins extracted from nonactivated eggs (NA) and calcium ionophore-activated eggs (A) were immunoprecipitated on protein A-sepharose beads covalently coupled with anti-EDEN-BP antibodies. Extracts from nonactivated eggs were also loaded on control protein A-sepharose beads that were not in contact with the antibody (C). The bound material was analysed by electrophoresis and immunoblotted with anti EDEN-BP antibodies. a, b, b′ and c indicate the different electrophoretic forms of EDEN-BP.
Fig.3. Electrophoretic mobility of EDEN-BP changes during oocyte maturation and activation. (A) Stage VI oocytes were incubated in Merriam buffer and maturated in vitro by addition of 1 μM progesterone. Samples of 20 oocytes were collected at 0, 1, 2, 4 and 5-9 hours after progesterone addition. The GVBD status was estimated as the percentage of oocytes showing the maturation spot (% GVBD). The samples were extracted, analysed by electrophoresis and immunoblotted with anti EDEN-BP antibody. (B) Unfertilized eggs were treated (+) or not (-) with calcium ionophore. Samples of ten parthenogenetic embryos were collected every 15 minutes during the first hour postactivation, and then every 30 minutes. Extracts were analysed as described above. The positions of different electrophoretic forms of EDEN-BP are indicated on the right of the blot.
Fig.4. Changes in the electrophoretic mobility of EDEN-BP are due to its phosphorylation and dephosphorylation. (A) Extracts from non-activated eggs and calcium ionophore-activated eggs were incubated at 30°C with (+) or without (-) phophatase λ for the indicated times. The extracts were analysed on 15% Anderson SDS/PAGE and immunoblotted with anti-EDEN-BP antibodies. (B) EDEN-BP immunoprecipitated from unfertilized egg extract was incubated with phospatase λ and treated as above. The different electrophoretic forms of EDEN-BP are indicated on the left.
Fig.5. Roscovitine downregulates EDEN-dependent deadenylation. Roscovitine was added (+) or not (-) to calcium-activated CSF extract to a final concentration of 100 μM. Capped, radiolabelled transcript Eg2-410 and Eg2-410a were incubated in the extract for 1, 2 or 3 hours at 21°C. After extraction and precipitation radiolabelled RNAs were analysed on urea/acrylamide 4% gel. The lane (T) corresponds to the fully adenylated radiolabelled transcripts without previous incubation with extract and precipitation.
Fig.6. Okadaic acid downregulates EDEN-dependent deadenylation and inhibits dephosphorylation of EDEN-BP. (A) Okadaic acid (OA) at 1 μM final concentration was added (+) or not (-) to CSF extract and incubated for 15 minutes at 21°C. Both extracts were then supplemented with CaCl2 (to final concentration of 0.8 mM) and incubated at 21°C for 1, 2 or 3 hours with radiolabelled transcripts Eg2-410 and Eg2-410a. RNA were extracted, analysed on urea/polyacrylamide 4% gel and autoradiography. The lane (T) corresponds to the fully adenylated radiolabelled transcripts without previous incubation with extract and precipitation. (B) Proteins were resolved on 15% Anderson SDS/PAGE, transferred to membrane and immunoblotted with anti-EDEN-BP antibody. The different electrophoretic forms of EDEN-BP are indicated both on the left and on the right.
Fig.7. MPF activation through δ90 cyclin B addition to Ca2+, or ioniphore-activated extracts does not influence EDEN-dependent deadenylation. A. Nondegradable sea urchin δ90 cyclin B was added (+) or not (-) to CSF extract at final concentration of 0.2 ng/μl and incubated for 15 minutes at 21°C to allow its association with cdk1 and the formation of a pool of stable MPF. Both extracts were then supplemented with CaCl2 (to final concentration 0.8 mM) and incubated at 21°C for 1, 2 or 3 hours with radiolabelled transcripts Eg2-410 and Eg2-410a. RNA. Upper panel: autoradiography of the extracted RNAs separated on a urea/acrylamide 4% gel. The lane (T) corresponds to the fully adenylated radiolabelled transcripts without previous incubation with extract and precipitation. The two extracts deadenylate chimeric RNAs with similar dynamics independently from the presence or absence of δ90 cyclin B. Lower panel: sperm nuclei were incubated with extracts and stained with Hoechst dye following observation in fluorescence and phase contrast. Condensed sperm chromosomes in the control CSF extract (left) and in the calcium activated CSF extract with δ90 cyclin B (middle) were found at the end of the experiment, whereas decondensed nuclei were present in calcium activated CSF extract (right). This confirms that δ90 cyclin B-supplemented extract was in M-phase similarly to the control, untreated CSF extract. B. Nondegradable sea urchin δ90 cyclin B (final concentration 0.2 ng/μl), OA (final concentration 1 μM), or both, were added to ionophore-activated eggs extract prepared 45 minutes after egg activation. The extracts were incubated for 15 minutes at 21°C to allow association of exogenous cyclin with cdk1 and formation of stable MPF or to inactivate protein phosphatases in the case of OA. Then they were supplemented with radiolabelled Eg2-410 transcript and further incubated at 21°C for 3 hours. RNA and proteins were analysed as indicated in Materials and Methods. Upper panel: autoradiography of the extracted RNAs separated on urea/acrylamide 4% gel. The lane (T) corresponds to the fully adenylated radiolabelled transcripts without previous incubation with extract and precipitation. Untreated, as well as δ90 cyclin B-supplemented extracts dedenylate Eg2-410 transcript rapidly (experiments 1 and 2), whereas OA- and OA+δ90 cyclin B-supplemented extracts deadenylate only slightly Eg2-410 transcript (experiments 3 and 4). Lower panel: western blot with an anti-Cdc25 antibody. The fast migrating, lowest band represents dephosphorylated (inactive) form of Cdc25. The upshifted forms of Cdc25 produced by different treatments represent phosphorylated (active) forms of the Cdc25 phosphatase. Untreated extract contains inactive Cdc25 (lane 1), whereas δ90 cyclin B-supplemented extract contains activated form of the phosphatase (lane 2) indicating induction of the M-phase. OA-treated and OA+δ90 cyclin B-treated extracts contain phosphorylated forms of Cdc25 (lanes 3 and 4, respectively). In OA+δ90 cyclin B containing extract (lane 4) Cdc25 is phosphoryletd to higher degree than in OA-treated extract (lane 3), indicating a synergistic effect of δ90 cyclin B and OA on Cdc25 phosphorylation.