Click here to close
Hello! We notice that you are using Internet Explorer, which is not supported by Xenbase and may cause the site to display incorrectly.
We suggest using a current version of Chrome,
FireFox, or Safari.
???displayArticle.abstract???
Studies have shown that the activin type IB receptor is specific for activin/nodal signaling. Activin is produced by follicle cells in the ovary, and is incorporated into the oocytes. Antisera against three peptides were prepared, encompassing the extracellular, intracellular and serine/threonine kinase domains of the Xenopus type IB activin receptor (XALK4). Immunocytochemistry was done using these antisera to investigate the distribution of XALK4 in the Xenopus ovary. All three antisera stained the mitochondrial cloud of Xenopus previtellogenic oocytes. Purified antibody against the intracellular domain also recognized the mitochondrial cloud. Immunoelectron microscopy localized XALK4 on the endoplasmic reticulum of the mitochondrial cloud, although not on mitochondria.
Fig. 1. Immunocytochemistry of
Xenopus ovary sections using
XALK4 antisera. (A) Diagram of
XALK4 protein showing the
domain regions used to design
the peptide immunogens. ECD,
extracellular domain; GS, glycineserine
rich domain (open box);
ICD, intracellular domain; STK,
serine/threonine kinase domain
(gray box); TM, transmembrane
(black box). Red lines show the
position of synthesized peptides.
Reactivity (arrows) of antisera
raised against the extracellular
domain (B), intracellular domain
(C), and serine/threonine kinase
domain (D). Spherical structure in
the cytoplasm of the previtellogenic
oocyte was visualized as
brown pigment. Bars, 50 μm.
Fig. 2. Immunocytochemistry of
Xenopus ovary sections using
purified anti-intracellular domain
(ICD) antibody. (A) and (C) show
the reactivity of the antibody; (B)
and (D) show immunostained
sections following adsorption of
the antibody with the antigen
peptide. (A) The arrow indicates
the spherical structure stained by
the anti-ICD antibody. (C)
Fragments in the subcortical
region on one side of the vitellogenic
oocyte were visualized
(arrows). Violet-colored follicle
cells and yolk platelets were
counterstained with hematoxylin.
Bars, 50 μm.
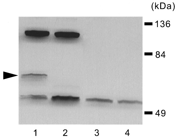
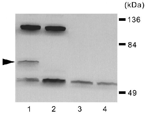
Fig. 3.
Immunoblotting with anti-intracellular domain (ICD) antibody.
Lane 1, embryos injected with XALK4 mRNA; lane 2, no
injection; lanes 3 and 4, adsorption control of lanes 1 and 2,
respectively. The arrow indicates the immunoreactive 57 kDa
molecule.
Fig. 4. Distribution of anti-intracellular domain (ICD) antibody by electron microscopy. Chemically fixed (A,B) and frozen samples
(C,D) of previtellogenic oocytes. (A) Germinal vesicles (GV) and the mitochondrial cloud (MC) were observed. No structures could be
distinguished in the cytoplasm except the mitochondrial cloud. (B) Higher magnification of the mitochondrial cloud region. Mitochondria
(MT), smooth endoplasmic reticulum (ER; arrow), and electron dense patches were observed. (C,D) Immunoelectron microscopy
of the mitochondrial cloud showed gold particles on structures amongst the mitochondria. (D) Higher magnification of (C).
Arrows indicate mitochondria (MT), and arrowheads indicate gold particles (G). The magnification is indicated in the lower right of each
panel.