|
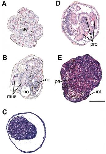
Fig. 1. Light micrographs of explants treated with activin and
retinoic acid (RA). Ectoderm was cultured for 3 days (AâC) or
5 days (D,E) and examined histologically. (A) Untreated
presumptive ectoderm cultured in Steinbergâs solution (SS)
containing 0.1% bovine serum albumin (BSA). Ectoderm treated
with (B) 100 ng/mL and (C) 400 ng/mL activin alone for 1 h. (D)
Ectoderm first treated with activin 100 ng/mL for 1 h, kept in
BSAâSS for 5 h and then treated with RA (10â4 M) for 1 h. (E)
Ectoderm first treated with activin 400 ng/mL for 1 h, kept in
BSAâSS for 5 h and then treated with RA (10â4 M) for 1 h. ae,
atypical epidermis; int, intestine; mus, muscle; ne, neural tissue;
no, notochord; pa, pancreas; pro, pronephros. Bar, 100 μm.
|
|
Fig. 2. Expression of molecular markers in explants. Ectoderm
isolated from Xenopus blastulae was treated and then cultured
for 3 days. Total RNA was extracted and analyzed by reverse
transcriptionâpolymerase chain reaction. Lane 1, ectoderm
treated with activin 100 ng/mL alone for 1 h; lanes 2, 3, 4, ectoderm
treated with indicated concentration of activin for 1 h, kept
in Steinbergâs solution (SS) containing 0.1% bovine serum
albumin (BSA) for 5 h and then treated with RA (10â4 M) for 1 h;
lane 5, untreated ectoderm; lane 6, negative control lacking
reverse transcriptase (RT). XlHbox8 and carboxypeptidaseA
(carbA) are pancreatic markers and XSMP-30 is a pronephric
marker. EF-1 serves as a loading control.
|
|
Fig. 3. Amino acid sequence alignment of Xenopus proteins with those of the human. The predicted amino acid sequences of
Xenopus genes share the following similarity with those of human: (a) CEL (amino acid residue 318–440), 54%; (b) PE2 (20–122), 64%;
(c) PP11 (99–190), 43%; (d) and (e) are two distinct fragments encoding PDIp, which showed 54 and 61% (119–159 and 460–498)
similarity, respectively. Parentheses indicate the position of amino acid sequences in the human. Alignment was done using the Gene
Works program (Oxford Molecular Group, San Diego, CA, USA).
|
|
Fig. 4. Model for developmental
anatomy of the Xenopus pancreas.
Schematic diagrams of gut
tubes from tadpoles are shown,
truncated anteriorly at the junction
between the stomach and esophagus.
All associated endodermal
organs except for the pancreas
have been removed for clarity.
Pancreas rudiments are indicated
in blue. (A) Gut tube isolated from
stage 40 embryo. Gastrointestinal
tract undergoes dynamic movement
and pancreas rudiments are
repositioned. (B) Gut tube isolated
at stage 42. Both rudiments
have completely fused. (C) Gut
tube isolated at stage 44. d,
duodenum; int, intestine; st,
stomach.
|
|
Fig. 5. Expression pattern of
pancreatic genes. Embryos at
three stages were examined by in
situ hybridization using specific
probes for each clone. CEL was
expressed in dorsal and ventral
pancreas rudiments (arrowhead)
at stage 40 and continued after
stage 42 (A,B,C: stages 40, 42
and 44, respectively). PE2 (D,E,F:
stages 40, 42 and 44, respectively),
PDIp (J,K,L: stages 40, 42
and 44, respectively) and DNaseI
(M,N,O: stages 40, 42 and 44,
respectively) were detected as
weak signals at stage 40 and
strong signals at stage 42. PP11
(G,H,I: stages 40, 42 and 44,
respectively) was barely detectable
at stage 40 but expression
increased by stage 42.
|
|
cel (carboxyl ester lipase) gene expression in dissected Xenopus laevis gut, assayed via in situ hybridization, NF stage 42, lateral view, anterior left, dorsal up.
|
|
dnase1 (deoxyribonuclease I) gene expression in dissected Xenopus laevis gut, assayed via in situ hybridization, NF stage 42, lateral view, anterior left, dorsal up.
|
|
cela2a (chymotrypsin-like elastase family, member 2A) gene expression in dissected Xenopus laevis gut, assayed via in situ hybridization, NF stage 42, lateral view, anterior left, dorsal up.
|
|
unnamed (26 serine protease) gene expression in dissected Xenopus laevis gut, assayed via in situ hybridization, NF stage 42, lateral view, anterior left, dorsal up.
|