Click here to close
Hello! We notice that you are using Internet Explorer, which is not supported by Xenbase and may cause the site to display incorrectly.
We suggest using a current version of Chrome,
FireFox, or Safari.
PLoS One
2016 Jan 01;112:e0148773. doi: 10.1371/journal.pone.0148773.
Show Gene links
Show Anatomy links
A Splice Variant of Bardet-Biedl Syndrome 5 (BBS5) Protein that Is Selectively Expressed in Retina.
Bolch SN
,
Dugger DR
,
Chong T
,
McDowell JH
,
Smith WC
.
???displayArticle.abstract???
PURPOSE: Bardet-Biedl syndrome is a complex ciliopathy that usually manifests with some form of retinal degeneration, amongst other ciliary-related deficiencies. One of the genetic causes of this syndrome results from a defect in Bardet-Biedl Syndrome 5 (BBS5) protein. BBS5 is one component of the BBSome, a complex of proteins that regulates the protein composition in cilia. In this study, we identify a smaller molecular mass form of BBS5 as a variant formed by alternative splicing and show that expression of this splice variant is restricted to the retina.
METHODS: Reverse transcription PCR from RNA was used to isolate and identify potential alternative transcripts of Bbs5. A peptide unique to the C-terminus of the BBS5 splice variant was synthesized and used to prepare antibodies that selectively recognized the BBS5 splice variant. These antibodies were used on immunoblots of tissue extracts to determine the extent of expression of the alternative transcript and on tissue slices to determine the localization of expressed protein. Pull-down of fluorescently labeled arrestin1 by immunoprecipitation of the BBS5 splice variant was performed to assess functional interaction between the two proteins.
RESULTS: PCR from mouse retinal cDNA using Bbs5-specific primers amplified a unique cDNA that was shown to be a splice variant of BBS5 resulting from the use of cryptic splicing sites in Intron 7. The resulting transcript codes for a truncated form of the BBS5 protein with a unique 24 amino acid C-terminus, and predicted 26.5 kD molecular mass. PCR screening of RNA isolated from various ciliated tissues and immunoblots of protein extracts from these same tissues showed that this splice variant was expressed in retina, but not brain, heart, kidney, or testes. Quantitative PCR showed that the splice variant transcript is 8.9-fold (+/- 1.1-fold) less abundant than the full-length transcript. In the retina, the splice variant of BBS5 appears to be most abundant in the connecting cilium of photoreceptors, where BBS5 is also localized. Like BBS5, the binding of BBS5L to arrestin1 can be modulated by phosphorylation through protein kinase C.
CONCLUSIONS: In this study we have identified a novel splice variant of BBS5 that appears to be expressed only in the retina. The BBS5 splice variant is expressed at approximately 10% of full-length BBS5 level. No unique functional or localization properties could be identified for the splice variant compared to BBS5.
???displayArticle.pubmedLink???
26867008
???displayArticle.pmcLink???PMC4750968 ???displayArticle.link???PLoS One ???displayArticle.grants???[+]
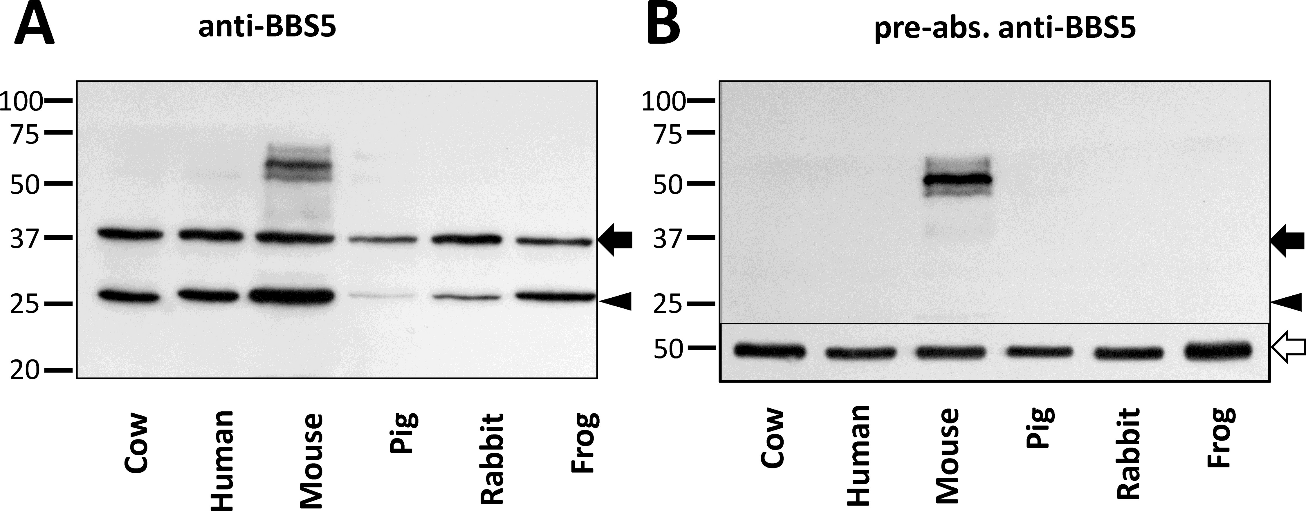
Fig 1. A smaller molecular mass form of BBS5 is detected in retinal extracts from a variety of vertebrates. (A) Immunoblots of extracts of aqueous soluble proteins prepared from whole retinas from the indicated species probed with anti-BBS5 #7â15 monoclonal antibody described in [19]. Arrow indicates the expected molecular size of BBS5; arrowhead indicates a smaller immunoreactive band at 26 kD. (B) A replicate blot was probed with the same antibody that was pre-incubated with heterologously-expressed recombinant murine BBS5. Inset, at the bottom of the blot shows a replicate blot stained for beta-tubulin as a loading control (beta-tubulin indicated with an open arrow).
http://dx.doi.org/10.1371/journal.pone.0148773.g001
Fig 2. The mouse Bbs5 gene and alternative transcripts.(A) Structure of the murine Bbs5 gene; locations for sense (S) and anti-sense (A) primers used to test for alternative transcripts are indicated above the gene structure, along with oligo(dT) and 5’RACE primers (5’R). (B) PCR amplification of reverse-transcribed murine retinal poly(A)+ RNA with S2 and A5 primers separated by agarose electrophoresis; arrowhead indicates a DNA product larger than the expected 216 bp product. (C) DNA sequence of intron 7 of Bbs5 with the alternatively spliced region indicated in red (potential splice donor/acceptor sites are bold faced). (D) Sequence chromatogram of the alternative Bbs5 transcript (BBS5L) with the beginning of the cryptic exon 7a (arrow) and stop codon (asterisk) indicated. (E) Gene structure of exons 7, 7a, and 8 showing the two splicing patterns detected for the Bbs5 transcript (the location of the stop codon in Exon 7a is indicated with an asterisk).
Fig 3. Reverse transcription-PCR amplification of Bbs5 and Bbs5L from various murine tissues.(A) cDNA prepared from poly(A)+ RNA isolated from the five indicated tissues was amplified with primers specific for Bbs5 (upper panel; arrowhead indicates expected 215 bp product), Bbs5L (middle panel; arrow indicates expected 126 bp product), or alpha-tubulin for quality control (lower panel). (B) Quantitative RT-PCR was performed for Bbs5 and Bbs5L using cDNA prepared from retinal poly(A)+ RNA and quantified relative to levels of β-actin cDNA (n = 3; error bars indicate SEM; ρ<0.05).
Fig 4. RT-PCR of predicted Bbs5 transcripts from retinal cDNA.The alternative transcripts for mouse Bbs5 predicted in the Ensembl (Bbs5-002 through -008) and MGI (Bbs5-X1) were amplified with primers that would selectively identify the alternative transcript. The predicted sizes (in bp) for each transcript are indicated below each lane for the full-length transcript and the alternative splice variant transcript [two alternative transcripts are possible in lane 1, corresponding to the deletion of Exon 8 (152 bp) or the inclusion of Exon 7A (379 bp)]. Lower panel shows amplification reactions with primers against alpha-tubulin to control for cDNA quality.
Fig 5. Characterization of a polyclonal antibody specific for BBS5L.(A) Conceptual translation of the alternative Bbs5 transcript (Bbs5L) in comparison with Bbs5 (the unique C-terminus is colored in red). (B) Immunoblots of murine retinal extracts and heterologously expressed BBS5L (rBBS5L) and BBS5 (rBBS5) were probed with either anti-BBS5#7–15 monoclonal antibody (left half) or with anti-BBS5L polyclonal serum (right half); arrowhead indicates BBS5 or rBBS5, arrow indicates BBS5L or rBBS5L. (C) Immunoblot of aqueous-soluble extracts prepared from the indicated mouse tissue probed with anti-BBS5L polyclonal serum identifies anti-BBS5L immunoreactivity only in the retinal extract (upper panel; arrow); an antibody that recognizes both the BBS5 and BBS5L reacts with BBS5 in all extracts, and BBS5L only in retinal extract (middle panel); inset below the blot shows a replicate blot of the tissue extracts probed with anti-beta-tubulin as a loading control.
Fig 6. BBS5L localizes to the axonemal structure of the photoreceptors.(A) Lower magnification view of indirect immunofluorescence of antibodies against BBS5L (green), BBS5 (red), RP1 (white), and DAPI (blue) on cryofixed mouse retinal tissue (see methods for specific details on antibodies). (B-E) Enlargement of region indicated in (A) showing localization of BBS5L (B) and BBS5 (C). BBS5L and BBS5 reactivity are highly overlapping as seen in the merge (D). Staining with the axonemal marker RP1 (E) shows that BBS5L co-localizes with RP1 in the distal axoneme (F), but also stains the proximal transition zone of the axoneme where RP1 is absent (white arrowheads). G-L shows parallel staining with pre-absorption controls, using anti-BBS5L antiserum preabsorbed against BBS5L protein (H) or anti-BBS5 antibody preabsorbed against BBS5 protein (I). OS, outer segments, IS, inner segments, ONL, outer nuclear layer; scale bars are 10 μm (A) and 2.5 μm (B-F).
Fig 7. Binding of arrestin1 by BBS5L relative to BBS5, comparing unphosphorylated and phosphorylated conditions.ARR1-Alexa546 was co-immunoprecipitated with BBS5/GST or BBS5L/GST fusion protein with anti-GST antibody and precipitated arrestin1 measured fluorimetrically. ARR1-Alexa546 was pulled down by both BBS5L and BBS5, although the precipitation by BBS5L/GST was significantly less than by BBS5 (n = 6; ρ<0.05). Phosphorylation significantly reduced the pulldown of arrestin1 by both BBS5 and BBS5L (n = 6; ρ<0.05); error bars indicate SEM. Inset shows an immunoblot of the BBS5 and BBS5L proteins probed with anti-phosphoserine antibody after phosphorylation with (+) or without (-) PKC; arrowheads indicate the expected molecular mass for BBS5L-GST (open arrowhead) and BBS5-GST (black arrowhead).
Al-Hamed,
Functional modelling of a novel mutation in BBS5.
2014, Pubmed
Al-Hamed,
Functional modelling of a novel mutation in BBS5.
2014,
Pubmed
Breslow,
An in vitro assay for entry into cilia reveals unique properties of the soluble diffusion barrier.
2013,
Pubmed
Brogna,
Nonsense-mediated mRNA decay (NMD) mechanisms.
2009,
Pubmed
Brown,
Assembly of IFT trains at the ciliary base depends on IFT74.
2015,
Pubmed
Chang,
The nonsense-mediated decay RNA surveillance pathway.
2007,
Pubmed
Cunningham,
Ensembl 2015.
2015,
Pubmed
Davis,
The ciliopathies: a transitional model into systems biology of human genetic disease.
2012,
Pubmed
Davis,
A knockin mouse model of the Bardet-Biedl syndrome 1 M390R mutation has cilia defects, ventriculomegaly, retinopathy, and obesity.
2007,
Pubmed
Deveault,
BBS genotype-phenotype assessment of a multiethnic patient cohort calls for a revision of the disease definition.
2011,
Pubmed
Dosé,
Myo3A, one of two class III myosin genes expressed in vertebrate retina, is localized to the calycal processes of rod and cone photoreceptors and is expressed in the sacculus.
2003,
Pubmed
Eppig,
The Mouse Genome Database (MGD): facilitating mouse as a model for human biology and disease.
2015,
Pubmed
Farkas,
Transcriptome analyses of the human retina identify unprecedented transcript diversity and 3.5 Mb of novel transcribed sequence via significant alternative splicing and novel genes.
2013,
Pubmed
Forsythe,
Bardet-Biedl syndrome.
2013,
Pubmed
Gamsiz,
Genome-wide transcriptome analysis in murine neural retina using high-throughput RNA sequencing.
2012,
Pubmed
Gerth,
Retinal morphology in patients with BBS1 and BBS10 related Bardet-Biedl Syndrome evaluated by Fourier-domain optical coherence tomography.
2008,
Pubmed
Hirano,
The First Nationwide Survey and Genetic Analyses of Bardet-Biedl Syndrome in Japan.
2015,
Pubmed
Jin,
The BBSome.
2009,
Pubmed
Jin,
The conserved Bardet-Biedl syndrome proteins assemble a coat that traffics membrane proteins to cilia.
2010,
Pubmed
Lechtreck,
The Chlamydomonas reinhardtii BBSome is an IFT cargo required for export of specific signaling proteins from flagella.
2009,
Pubmed
Lechtreck,
Cycling of the signaling protein phospholipase D through cilia requires the BBSome only for the export phase.
2013,
Pubmed
Li,
Comparative genomics identifies a flagellar and basal body proteome that includes the BBS5 human disease gene.
2004,
Pubmed
Liu,
Identification and subcellular localization of the RP1 protein in human and mouse photoreceptors.
2002,
Pubmed
Livak,
Analysis of relative gene expression data using real-time quantitative PCR and the 2(-Delta Delta C(T)) Method.
2001,
Pubmed
Loktev,
A BBSome subunit links ciliogenesis, microtubule stability, and acetylation.
2008,
Pubmed
McDowell,
Sulfhydryl reactivity demonstrates different conformational states for arrestin, arrestin activated by a synthetic phosphopeptide, and constitutively active arrestin.
1999,
Pubmed
McGlincy,
Alternative splicing resulting in nonsense-mediated mRNA decay: what is the meaning of nonsense?
2008,
Pubmed
Mockel,
Retinal dystrophy in Bardet-Biedl syndrome and related syndromic ciliopathies.
2011,
Pubmed
Molnar,
Store-operated channels regulate intracellular calcium in mammalian rods.
2012,
Pubmed
Murphy,
Alternative Splicing Shapes the Phenotype of a Mutation in BBS8 To Cause Nonsyndromic Retinitis Pigmentosa.
2015,
Pubmed
Nachury,
A core complex of BBS proteins cooperates with the GTPase Rab8 to promote ciliary membrane biogenesis.
2007,
Pubmed
Nachury,
Trafficking to the ciliary membrane: how to get across the periciliary diffusion barrier?
2010,
Pubmed
Nachury,
Tandem affinity purification of the BBSome, a critical regulator of Rab8 in ciliogenesis.
2008,
Pubmed
Nickless,
Intracellular calcium regulates nonsense-mediated mRNA decay.
2014,
Pubmed
Nishimura,
Bbs2-null mice have neurosensory deficits, a defect in social dominance, and retinopathy associated with mislocalization of rhodopsin.
2004,
Pubmed
Ou,
Functional coordination of intraflagellar transport motors.
2005,
Pubmed
Pretorius,
Identification and functional analysis of the vision-specific BBS3 (ARL6) long isoform.
2010,
Pubmed
Riazuddin,
A splice-site mutation in a retina-specific exon of BBS8 causes nonsyndromic retinitis pigmentosa.
2010,
Pubmed
Schweingruber,
Nonsense-mediated mRNA decay - mechanisms of substrate mRNA recognition and degradation in mammalian cells.
2013,
Pubmed
Seo,
A novel protein LZTFL1 regulates ciliary trafficking of the BBSome and Smoothened.
2011,
Pubmed
Smith,
Light-dependent phosphorylation of Bardet-Biedl syndrome 5 in photoreceptor cells modulates its interaction with arrestin1.
2013,
Pubmed
,
Xenbase
Wan,
Dynamic usage of alternative splicing exons during mouse retina development.
2011,
Pubmed
Wang,
Molecular complexes that direct rhodopsin transport to primary cilia.
2014,
Pubmed
Wheway,
The role of primary cilia in the development and disease of the retina.
2014,
Pubmed
Wolfrum,
Centrin in the photoreceptor cells of mammalian retinae.
1995,
Pubmed
Woodruff,
Measurement of cytoplasmic calcium concentration in the rods of wild-type and transducin knock-out mice.
2002,
Pubmed
Yuan,
Expanding horizons: ciliary proteins reach beyond cilia.
2013,
Pubmed