|
Fig. 3.
Temporal expression pattern analysis of four Gα subunits in Xenopus tropicalis during early development. The expression levels were determined by RT-PCR during different developmental stages of X. tropicalis embryos. Total RNA from each developmental stage was reverse-transcribed and amplified using specific primers for each Gα subunit gene. Amplification of the ef1α gene, and reactions performed in the absence of reverse transcriptase (-), were used as housekeeping and negative controls, respectively. A: The size of each PCR product corresponded to the theoretically predicted sizes of 435 bp (Gα13), 543 bp (Gαq), 881 bp (Gαi2), 389 bp (Gαs), and 250 bp (ef1α). Stages are indicated at the top of each lane. B: Graph showing the Gα/ef1α ratio of densitometry levels. This expression analysis was repeated at least four times and the same expression pattern was observed each time.
|
|
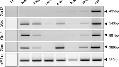
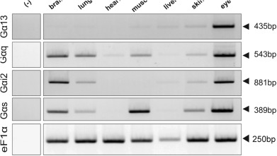
Fig. 4. Tissue specific expression pattern analysis of four Gα subunits in adult Xenopus tropicalis. The expression levels were determined by RT-PCR from different adult X. tropicalis tissues. Total RNA from each adult tissue was reverse-transcribed and amplified using specific primers for each Gα subunit gene. Amplification of the ef1α gene, and reactions performed in the absence of reverse transcriptase (-), were used as housekeeping and negative controls, respectively. The size of each PCR product corresponded to the theoretically predicted sizes of 435 bp (Gα13), 543 bp (Gαq), 881 bp (Gαi2), 389 bp (Gαs), and 250 bp (ef1α). The tissues are indicated at the top of each lane. At least four different RT-PCR analyses were performed and the same pattern expression was observed.
|
|
Fig. 5. Spatial expression pattern of the four representative Gα subunits during early Xenopus tropicalis development. The tissue specific expression patterns of Gα subunit transcripts at different stages of X. tropicalis embryonic development were analyzed by whole-mount in situ hybridization. Probes are indicated to the left of each panel row, and the developmental stages are indicated at the top of each panel column. Animal views are shown for embryos at stage 9; vegetal views for embryos at stage 10, and lateral views for embryos at stages 18â19, 23â24. Vegetal views are shown in the inset of stage 9, and dorsal views are shown in the inset of stage 18â19. White arrows in the stage 10 panels indicate the dorsal marginal zone (dmz). White arrowheads in the stage 23â24 panels indicate the three cranial neural crest routes (ncr) (branchial, hyoidea, and mandibular). Black arrows indicate specific structures labeled as follows: nt, neural tube; p, placodes; and psm, presomitic mesoderm. The embryo images are representative of three independent in situ experiments analyzing 30â50 embryos each time.
|
|
Fig. 6. Spatial expression pattern of the four representative Gα subunits during later Xenopus tropicalis development. The tissue specific expression patterns of Gα subunit transcripts at different stages of X. tropicalis embryonic development were analyzed by whole-mount in situ hybridization. Probes are indicated to the left of each panel row, and the developmental stages are indicated at the top of each panel column. Lateral views are shown for embryos at stages 27, and 33â34. Right panels show cross-section in situ hybridization analysis of Gα subunits from stage 27 X. tropicalis embryos. Embryos were coronally sectioned to a thickness of 25â30 μm by a Leica VT1000M vibratome. In left panels, the red dotted lines in the stage 27 embryo indicate the position of the visualized sections. The eye (e) is indicated in white lettering. Black arrows indicate specific structures labeled as follows: b, brain; iv, intersomitic veins; nc, neural crest; nco, notochord; nt, neural tube; ov, otic vesicle; p, placodes; pcv, posterior cardinal vein; rl, rombic lip; and sb, somite boundaries. The embryo images are representative of three independent in situ experiments analyzing 30â50 embryos each time.
|
|
gna13 (guanine nucleotide binding protein (G protein), alpha 13 ) gene expression in Xenopus tropicalis embryo, assayed via in situ hybridization, NF stage 10.5, blastoporal view, dorsal up.
|
|
gna13 (guanine nucleotide binding protein (G protein), alpha 13) gene expression in Xenopus tropicalis embryo, assayed via in situ hybridization, NF stage 18, lateral view, anterior left, dorsal up. Inset, dorsal view, anterior up.
|
|
gna13 (guanine nucleotide binding protein (G protein), alpha 13) gene expression in Xenopus tropicalis embryo, assayed via in situ hybridization, NF stage 23, lateral view, anterior left, dorsal up.
|
|
gna13 (guanine nucleotide binding protein (G protein), alpha 13) gene expression in Xenopus tropicalis embryo, assayed via in situ hybridization, NF stage 27, lateral view, anterior left, dorsal up.
|
|
gna13 (guanine nucleotide binding protein (G protein), alpha 13) gene expression in Xenopus tropicalis embryo, assayed via in situ hybridization, NF stage 27, transverse section, dorsal up.
|
|
|
|
gnai2 (guanine nucleotide binding protein (G protein), alpha inhibiting activity polypeptide 2) gene expression in Xenopus tropicalis embryo, assayed via in situ hybridization, NF stage 10, vegetal view, dorsal up.
|
|
gnai2 (guanine nucleotide binding protein (G protein), alpha inhibiting activity polypeptide 2) gene expression in Xenopus tropicalis embryo, assayed via in situ hybridization, NF stage 19, lateral view, anterior left, dorsal up.
|
|
gnai2 (guanine nucleotide binding protein (G protein), alpha inhibiting activity polypeptide 2) gene expression in Xenopus tropicalis embryo, assayed via in situ hybridization, NF stage 34, lateral view, anterior left, dorsal up.
|
|
gnas (GNAS complex locus) gene expression in Xenopus tropicalis embryo, assayed via in situ hybridization, NF stage 10, vegetal view, dorsal up.
|
|
gnas (GNAS complex locus) gene expression in Xenopus tropicalis embryo, assayed via in situ hybridization, NF stage 24, lateral view, anterior left, dorsal up.
|
|
gnas (GNAS complex locus) gene expression in Xenopus tropicalis embryo, assayed via in situ hybridization, NF stage 34, lateral view, anterior left, dorsal up.
|