XB-ART-52360
J Comp Neurol
2017 Mar 01;5254:715-752. doi: 10.1002/cne.24099.
Show Gene links
Show Anatomy links
Gene expression analysis of developing cell groups in the pretectal region of Xenopus laevis.
Morona R
,
Ferran JL
,
Puelles L
,
González A
.
???displayArticle.abstract???
Our previous analysis of progenitor domains in the pretectum of Xenopus revealed three molecularly distinct anteroposterior subdivisions, identified as precommissural (PcP), juxtacommissural (JcP), and commissural (CoP) histogenetic domains (Morona et al. [2011] J Comp Neurol 519:1024-1050). Here we analyzed at later developmental stages the nuclei derived from these areas, attending to their gene expression patterns and histogenesis. Transcription-factor gene markers were used to selectively map derivatives of each domain: Pax7 and Pax6 (CoP); Foxp1 and Six3 (JcP); and Xiro1, VGlut2, Ebf1, and Ebf3 (PcP). Additional genoarchitectural information was provided by the expression of Gbx2, NPY, Lhx1, and Lhx9. This allowed both unambiguous characterization of the anuran pretectal nuclei with regard to their origin in the three early anteroposterior progenitor domains, and their comparison with counterparts in the chick and mouse pretectum. Our observations demonstrated a molecular conservation, during practically all the stages analyzed, for most of the main markers used to define genoarchitecturally the main derivatives of each pretectal domain. We found molecular evidence to propose homologous derivatives from the CoP (olivary pretectal, parvocellular, and magnocellular posterior commissure and lateral terminal nuclei), JcP (spiriformis lateral and lateral terminal nuclei), and PcP (anterior pretectal nucleus) to those described in avian studies. These results represent significant progress in the comprehension of the diencephalic region of Xenopus and show that the organization of the pretectum possesses many features shared with birds. J. Comp. Neurol. 525:715-752, 2017. © 2016 Wiley Periodicals, Inc.
???displayArticle.pubmedLink??? 27539385
???displayArticle.link??? J Comp Neurol
Species referenced: Xenopus laevis
Genes referenced: calb1 calb2 chat ebf1 ebf3 foxp1 gbx2 gbx2.2 irx1 lhx1 lhx9 mhc2-dmb nkx2-2 nos1 npy pax6 pax7 six3 slc17a6 slc2a2 snrpb tff3.7 th
???attribute.lit??? ???displayArticles.show???
|
|
Figure 1. Rostrocaudal series of Nissl-stained sections (40 μm-thick) through a 5-years-old Xenopus brain (levels of the transverse sections A-F are indicated in the upper schematic drawing of a sagittal view of the diencephalon) illustrating the general cytoarchitecture of the pretectal region, which is enclosed by thick dashed lines and highlighted in gray. The abbreviations refer to the nomenclature classically used for the cell groups in the pretectum of anurans. For abbreviation, see list. Scale bars = 200 μm. |
|
|
Figure 2. Set of photomicrographs illustrating the main markers for the CoP domain and its derivatives, as well as the rostral and caudal boundaries of the pretectum. In each panel the larval stage is indicated in the upper right corner. In situ hybridization (ISH) for Pax3, Pax6 and Gbx2 (in blue for bright field or red in the case of fluorescent images) and immunohistochemistry (IHC) for Pax6 and Pax7 or Nkx2.2 (in brown for bright field or green/red for fluorescent images) are shown. The markers and the color code are indicated in the upper left corner. Rostral is oriented to the left in all sagittal (B,D,F-H,K) and horizontal (C,E) views. Dorsal is oriented upwards in cross sections (I,J). In panels C, D and K the levels of sections shown in other panels are indicated by bars. A, A1: Pax3 ISH in whole mount brain, in dorsal and lateral view respectively, B: Sagittal section showing the ventricular and periventricular expression of Pax3 that delimitate the rostral thalamo-pretectal boundary (TPB). C, D : Gbx2 (ISH) in combination with PAX7 (IHC) showing the thalamo-pretectal boundary (TPB) defined by Gbx2 in the thalamus and the Gbx2 /PAX7 negative PcP domain. E: Horizontal sections showing the caudal diencephalomesencephalic boundary (DMB) revealed by Pax6 ISH . F: Sagittal section of the pretectal region at advanced prometamorphosis showing PAX6 and PAX7 immunoreactive cells. PAX6 labeling marks the caudal DMB and the combination with PAX7 shows that PAX6 positive cells are in the CoP domain at this stage. Note the scarce PAX6 cells in the PcP domain. G, H: Sagittal sections of advanced prometamorphic larvae through the superficial (G) and intermediate (H) strata showing the codistribution of Pax6 and PAX7 labeled cells. Pax6 is present mainly in the CoL and the ventral part of JcL at this stage. PAX7 positive cells are abundant in the intermediate strata in the CoP and JcP with only some cells in the PcP (black arrow H). I-K: Various genoarchitectural details in sections through the CoP and JcP pretectal regions at the end of the metamorphic climax. PAX6 cells are abundant in the ISc and OSc regions, the parvocellular nucleus of the posterior commissure (PcPC), and the magnocellular nucleus of the posterior commissure (McPC). PAX6 cells extend primarly in the ventromedial portion of the Jc nucleus. PAX7 cells are found in the OSc and ISc, and along the lateral parts of Jc nucleus. The ventricular PAX6 cells reach the APt domain, but are more intensely labeled in the JcP and CoP, whereas PAX7 ventricular labeling is restricted to the CoP (I, J). For abbreviations see list. A magenta-green version of this figure is provided as Supporting Information Figure 1. Scale bars = 200 μm (A, A1, G-K); 100 μm (B-F). |
|
|
Figure 3. Set of photomicrographs illustrating the main markers for the JcP domain and its derivatives, at different larval stages. In each panel the stage is indicated in the upper right corner. In situ hybridization (ISH) for Six3, Foxp1 and Lhx1 (in blue) and IHC for PAX7 (in brown) are shown. The markers and the color code are indicated in the upper left corner. Rostral is oriented to the left in all sagittal (A,C,D,F,H,J,K) and horizontal (E,I) views. Dorsal is oriented upwards in transverse sections (B,G,L,M). In panels B, C, H, I and K the levels of sections shown in other panels are indicated by bars. A: Sagittal section at early premetamorphic stage stained for Six3 ISH showing intense expression in the JcP domain and the ventral subdivision of the CoP, and only weak expression in the lateral and dorsal subdivisions of CoP. PAX7 IHC revealed positive cells in the JcP within the Six3 domain. A1: Higher magnification showing double labeled Six3/PAX7 cells in the JcP. B, C: Six3 expression in the JcP at late premetamorphic stages shown in a transverse (B) and sagittal section (C). The PcP is devoid of Six3 cells, which are intensely detected in the JcP. Note some intense Six3 cells in the CoV and only sparse cells in the CoP. D, E: Six3 expression in the pretectal region at the metamorphic climax is reduced to cells in the IJc and some weakly labeled cells in the CoP. Note Six3 positive cells also in the LT nucleus of the superficial stratum (E). F: Distribution of Foxp1 ISH combined with PAX7 IHC at early premetamorphic stages. Foxp1 marks intensely the JcP domain except for its ventral subdivision. F1: Higher magnification of the JcP showing PAX7 cells within the Foxp1 positive domain, with some double labeled cells. G: Foxp1 expression at late premetamorphic stages is shown in a subpopulation of the JcP (asterisk) in the same location where Six3 cells are absent at the same stages (compare B and G). H, I: Foxp1 expression at the metamorphic climax is reduced to some cells in the IJc and in a part of the OJc, proposed as the homologous of the SpL. J: Lhx1 ISH combined with PAX7 IHC at early premetamorphic stages. Lhx1 marks intensely the JcP domain, including the ventral subdivisions, negative for PAX7 (JcV and also CoV). K, L: Intense Lhx1 expression is shown at mid-late premetamorphic stages in the JcP and inpart of the PcP. M: At the metamorphic climax Lhx1 cells are intensely labeled in the VJc and IJc. Some cells are positive also in the CoP derivatives (PcPC, PrPt and ISc). Compare A, F, J sagittal sections, which highlight the shape of the JcP domain revealed by Six3, Foxp1 and Lhx1. For abbreviations see list. Scale bars = 100 μm (A-M); 50 μm (A1-F1). |
|
|
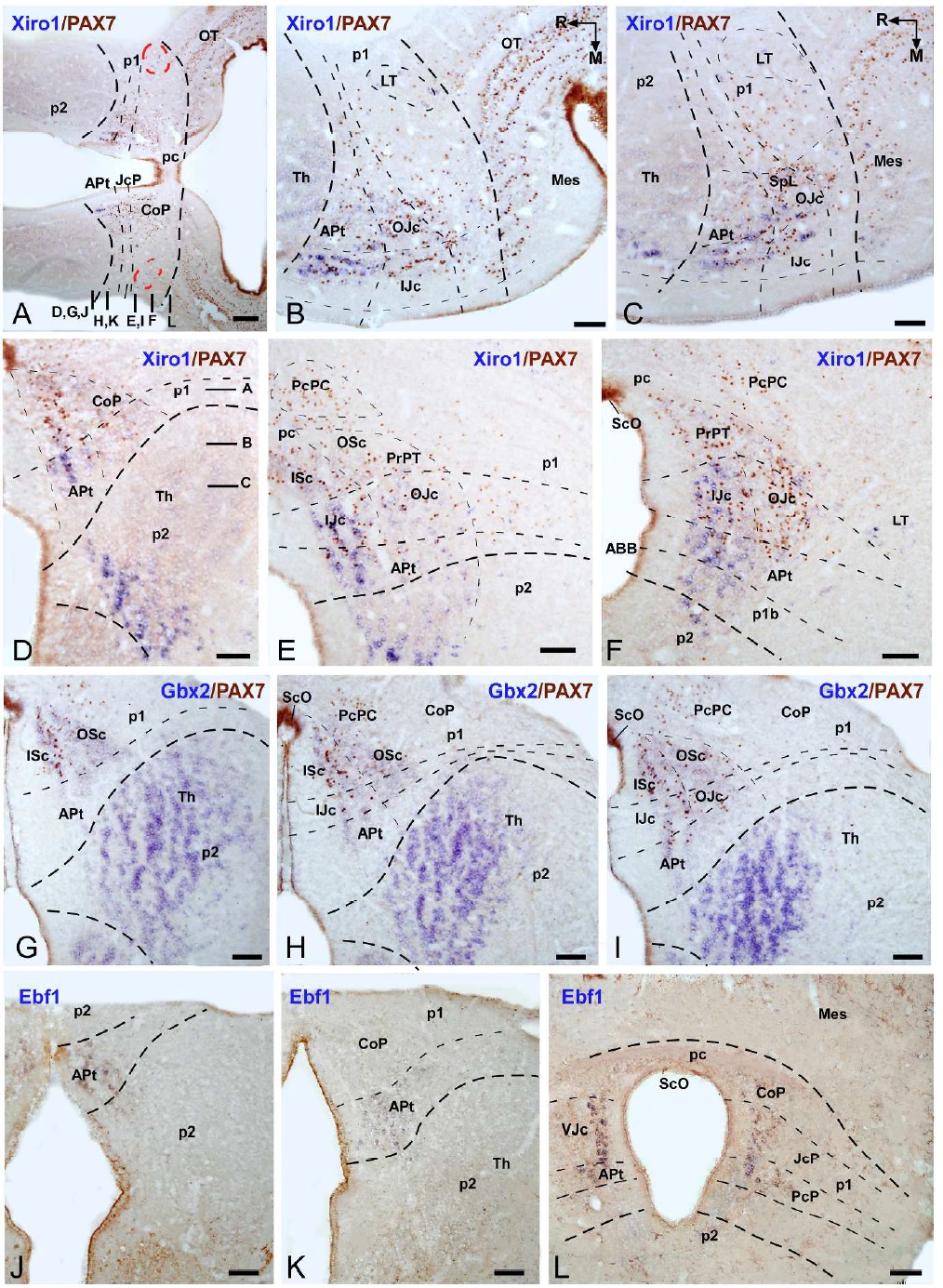
Figure 4. Set of photomicrographs illustrating the main markers for the PcP domain and its derivatives, at different larval stages. In each panel the stage is indicated in the upper right corner. In situ hybridization (ISH) for Xiro1, Ebf1, Ebf3 and Lhx9 (in blue for bright field or red/green in the case of fluorescent images) and immunohistochemistry (IHC) for Pax7 (in brown for bright field or green /blue for fluorescent images) are shown. The markers and the color code are indicated in the upper left corner. Rostral is oriented to the left in all sagittal (A, B, E, F, Q, S-U) or horizontal (C, G, I, K, M, O) views. Dorsal is oriented upwards in transverse sections (D, H, J, L, N, P, R). In panels E, G, and K-R the levels of sections shown in other panels are indicated by bars. A: Xiro1 ISH in wholemount brain in a lateral view. B-D: Sagittal (B), horizontal (C) and transverse (D) sections though the pretectal region showing Xiro1 ISH combined with PAX7 IHC at early premetamorphic stages. The PcP is intensely marked for Xiro1 highlighting the rostral TPB, and it is also expressed in the dorsal domains of the JcP and CoP. Note that Xiro1 is expressed in all radial strata at these stages. E: Ebf1 ISH in wholemount brain in a lateral view. F-H: Sagittal (F), horizontal (G) and transverse (H) sections though the pretectal region showing Ebf1 ISH combined with PAX7 IHC at late embryonic stages. Ebf1 expression marks intensely the intermediate and superficial strata of the PcP and highlights. Note the Ebf1 is also expressed in the ventral domain of the JcP and CoP. I: Xiro1 expression at prometamorphic stages is mainly located in the periventricular stratum of the PcP. J: Ebf3 expression is found in similar location of the PcP as Xiro1, at prometamorphic stages. K, L: In the metamorphic climax Xiro1 is expressed along the medial portions of the APt nucleus and is only weakly expressed in its lateral part. Note that some cells expressed Xiro1 in the medial part of the JcP. M, N: Similar to Xiro1, Ebf1 expression was found in the APt nucleus at metamorphic climax stages. O, P: Ebf1 also labels a portion of the VJc distinct from the OJc (Ebf1 negative) that contains the SpL (Pax7/Foxp1 positive). Q, R: Lhx9 expression at late premetamorphic stages is restricted to the outer periventricular stratum in the PcP (R). Note the gap devoid of labeling in the inner periventricular stratum, in the sagittal section (Q). S: At prometamorphic stages Lhx9 labels the PcL but it is absent in the PcD and PcV. T,U: Lhx9 is expressed in the PcL at metamorphic climax stages as seen in these lateral superficial (T) and periventricular (U) sagittal sections. For abbreviations see list. A magenta-green version of this figure is provided as Supporting Information Figure 2. Scale bars = 100 μm (A, E, I-U); 50 μm (B-D, F-H). |
|
|
Figure 5. Set of photomicrographs illustrating the main complementary markers used to characterize further the PcP, JcP and CoP derivatives of the pretectum. In each panel the larval stage is indicated in the upper right corner. In situ hybridization (ISH) for NPY (in blue for bright field or red in the case of fluorescent images) and immunohistochemistry (IHC) for PAX7, CB, CR, and TH (in brown for bright field or green/red/blue for fluorescent images) are shown. Some sections were also Nissl counterstained. The markers and the color code are indicated in the upper left corner. Rostral is oriented to the left in all sagittal (A, E, F, I, K, M, N) or horizontal (B) views. Dorsal is oriented upwards in transverse sections (C, D, G, H, J, L, O, P). In panels A, B, F, I-L the levels of sections shown in other panels are indicated by bars. A, B: NPY ISH and Pax7 IHC at the beginning of the premetamorphosis in sagittal (A) and horizontal (B) sections showing the distribution of NPY in the JcP and CoP. NPY marks the CoD and CoL domains, and the caudal and lateral subdivision of the JcL. C, D: Oblique-transverse sections at metamorphic climax stages showing the intense NPY expression in the OSc and weak expression in ISc. In the JcP derivatives, distinct NPY expression is shown in the SpL (larger cells) and the OJc (smaller cells intermingled with PAX7 positive cells). E, F: CB/CR IHC in sagittal sections at premetamorphic (E) and prometamorphic (F) stages showing CB staining in the rostral part of CoD and dorsally in CoL . CB is abundant in the rostral part of the intermediate stratum of the JcP. CB cells are codistributed with CR cells along CoL and JcL. CR is present in cells of the ventral half of the PcL and PcV. G: Transverse section at premetamorphic stages showing a distinct TH positive population within the dorsal portion of CoP, characterized by CB and Pax7 immunoreactive cell population. H: Transverse section at prometamorphic stages showing the codistribution of CBir and CRir cell populations in the CoP and JcP, characterized by the Pax7 cell population. I-L: Distribution of CR (I, J) and CB (K, L) at metamorphic climax illustrating several specific nuclear and neuropil formations of the pretectum. CR immunoreaction in a sagittal (I) and coronal section (J, level indicated in I) showing the TPB and numerous cells in the APt nucleus, and sparse cells in LPd , OJc and IJc, and numerous cells in the OSc and ISc. CB immunoreaction (K, L) at comparable levels shows abundant CB cells in the PcPC, OSc and IJc. M, N: TH immunoreactivity in the CoD and CoL at prometamorphic stages. O, P: Transverse sections through the CoP at metamorphic climax showing the THir cell population in combination with CB (O) and CR (P) in the OPt nucleus. For abbreviations see list. A magenta-green version of this figure is provided as Supporting Information Figure 3. Scale bars = 50 μm (A, B); 100 μm (C-P). |
|
|
Figure 6. Whole mounts or brain sections of premetamorphic larvae (stages indicated on each photomicrograph) of Xenopus laevis showing in situ hybridization (ISH) for different markers (in blue for bright field or red in the case of fluorescent images) and immunohistochemistry (IHC) for PAX7 or NKX2.2 (in brown for bright field or green for fluorescent images). The markers shown in each panel are indicated in appropriate color code in the upper left corner. Rostral is oriented to the left in sagittal (B, F-H, O, P) or horizontal (A, C, D, I-N, O1) views. Dorsal is oriented upwards in oblique-transverse sections (E, Q, R). In G and R the different levels of the sections is indicated for the corresponding photomicrographs. A: Horizontal section showing Pax6 ISH, which caudally marks the DMB. B: Sagittal section through the pretectal region showing that the Pax6 signal marks the DMB and the combination with PAX7 helps the localization of the Pax6 cells in the CoP and distinct subdomains of the JcP. C-E: Horizontal (C, D) and transverse (E) sections showing CR and PAX7 IHC. CR marks the TPB and PAX7 marks the CoP and JcP, showing the PcP domain devoid of labeling. F-H: Sagittal sections stained for Six3 ISH that marks intensely the JcP domain and the ventral subdivision of the CoP (CoV) and less intensely the lateral (CoL) and dorsal (CoD) subdivisions. PAX7 IHC reveals PAX7 cells in the JcP within the Six3 domain. I-N: Dorsoventrally arranged horizontal sections through the pretectal region at the levels indicated in P and Q, showing the distribution of Six3 ISH combined with PAX7 IHC. Note that the PcP is devoid of both markers and the JcP is characterized by the presence of intense Six3 expression; some cells expressing Six3 are located in the CoP. H1, M1: Higher magnifications of the JcP in H and M, respectively, illustrating some double labeled cells (arrowheads). O1: Dorsal overview of a wholemount brain stained for Zic1 ISH. O: Sagittal section showing intense Zic1 expression in the dorsal division of the PcP, JcP and CoP. P: sagittal section showing Lhx1 expression in the JcP in combination with NKX2.2 IHC that marks the ABB. Lhx1 expression reaches the NKX2.2 positive band ventral to the JcP and CoP. Q: Cross section showing the Lhx1 expression, in relation to PAX7, in the JcP. R: Schematic representation of the pretectal region of premetamorphic larvae and the radial subdivisions. Levels of sagittal sections are also indicated. For abbreviations see list. A magenta-green version of this figure is provided as Supporting Information Figure 4. Scale bars = 100 μm (A-E, R), 50 μm (F-Q), 25 μm (H1, M1), 500 μm (O1). |
|
|
Figure 7. Wholemounts and brain sections of premetamorphic larvae (stages indicated on each photomicrograph) of Xenopus laevis showing in situ hybridization (ISH) for different markers (in blue for bright field or red in the case of fluorescent images) and immunohistochemistry (IHC) for PAX7 (in brown for bright field or green for fluorescent images). The markers shown in each panel are indicated in appropriate color code in the upper left corner. Rostral is oriented to the left in sagittal (I, M, P-R) or horizontal (F-H, J-L, N, O, S-V) views. Dorsal is oriented upwards in oblique-transverse sections (A-E). In A, I , K, Q -U the different levels of the sections is indicated for the corresponding photomicrographs. A-C: Transverse sections through the pretectal region showing the rostrocaudal distribution of Xiro1 combined with PAX7 IHC. Note the PcP intensely marked for Xiro1 in all radial strata. D, E: Transverse sections through the pretectal region (levels indicated in I) showing the rostral (D) and caudal (E) distribution of Ebf1 ISH combined with PAX7 IHC. The PcP domain is intensely marked for Ebf1 in the intermediate and superficial strata. F-H: Horizontal sections through the pretectal region (levels indicated in I) showing the dorsoventral distribution of Xiro1combined with PAX7 IHC. Xiro1 expression serves to assess the shape of the PcP. I: Sagittal section that shows the intense Ebf1 expression in the PcP domain, which lacks PAX7 cells. J-L: Horizontal sections through the pretectal region (levels indicated in I) showing the distinct Ebf1 expression in the PcP domain, free of PAX7 cells. Ebf1 is useful for the identification of the rostral TPB. Notice the PAX7 positive cells into the PcP domain (arrows in J, K). M: Sagittal section showing the intense Ebf3 expression in the PcP domain, similar to Ebf1 (compare with I). N, O: Horizontal sections showing that the pattern observed for Ebf1 is similar for Ebf3. P: Lateral overview of a wholemount brain stained for NPY ISH. Q, R: Sagittal sections showing the lateromedial distribution of NPY in the JcP and CoP domains. NPY marked the CoD, CoL subdomains in the CoP and the lateral JcL subdomain in the JcP. S-V: Horizontal sections of the pretectal region showing the dorsoventral differential distribution of NPY in the JcP and CoP domains (shown in Q and R). For abbreviations see list. A magenta-green version of this figure is provided as Supporting Information Figure 5. Scale bars = 100 μm (P), 50 μm (A-O, Q-V). |
|
|
Figure 8. Sections of larval brains at stages between pre and prometamorphosis (st52 and st53) of Xenopus laevis showing in situ hybridization (ISH) for Six3 (in blue) and immunohistochemistry (IHC) for PAX7, CB, CR and TH (in green and red). The markers shown in each panel are indicated in appropriate color code in the upper left corner. Rostral is oriented to the left in sagittal (D,E, F-H) or horizontal (I) views. Dorsal is oriented upwards in oblique-transverse sections (A-C, J-N). In panels D-H the levels of sections shown in other panels are indicated by bars. A-C: Six3 ISH in a series of transverse sections of the pretectal region showing the rostrocaudal distinct expression in the periventricular and intermediate strata of the JcP, and the very low expression in the CoP, with the exception of the CoV subdomain, which is better observed in sagittal sections (D, E). F-H: Sagittal sections showing the lateromedial codistribution of CB and CR in the pretectum. CB is abundant in the JcP and CoP (CoL), and is codistributed with CR in the CoL caudally. CR is present in the rostral part of the JcL and in some cells in the PcP. I: Localization of TH cells in the dorsal domain of the CoP, compared with PAX7, in a horizontal section. J-N: Transverse sections showing the rostrocaudal codistribution of CB and CR in the pretectum. CB is profuse laterally in the CoL and JcP, whereas CR staining is located medially. For abbreviations see list. A magenta-green version of this figure is provided as Supporting Information Figure 6. Scale bars = 100 μm. |
|
|
Figure 9. Various genoarchitectural details in sections of the pretectal region of Xenopus laevis at the end of the metamorphic climax (st 64-66) showing ISH for different markers (in blue) and IHC for PAX7 (in brown). The markers shown are indicated in appropriate color code in each panel. Rostral is oriented to the left in horizontal sections (A-C) and dorsal is oriented upwards in oblique-transverse sections (D-L). The approximate level of each section is indicated in A and D. A-F: Xiro1 ISH combined with PAX7 IHC in a series of horizontal sections (A-C) and transverse sections (D-F) showing the intense Xiro1 expression in dorsomedial and ventromedial portions of the APt nucleus, and the less intense expression the lateral portions. Note some Xiro1 expressing cells in the medial IJc nucleus (C,E,F). G-I: Gbx2 ISH combined with PAX7 IHC in a series of transverse sections showing the intense Gbx2 expression in p2 that helps the identification the boundary with the pretectum. Comparing with the PAX7 domain, the APt nucleus is delimited by the lack of both PAX7and Gbx2. Notice also weakly labeled cells in medial portions of the APt nucleus and the dorsal portion of the ISc nucleus. JL: A series of transverse sections showing the Ebf1 expression in the dorsomedial, ventromedial and the ventrolateral portions of the APt nucleus. Note that some cells also expressed Ebf1 in the VJc nucleus (L). For abbreviations see list. Scale bars = 200 μm (A), 100 μm (B-L). |
|
|
Figure 10. Various genoarchitectural details in sections of the pretectal region of Xenopus laevis at the end of the metamorphic climax (st64-66) showing ISH for different markers (in blue) and IHC for PAX7 (in brown). The markers shown in each panel are indicated in appropriate color code in the upper left corner. Rostral is oriented to the left in sagittal (A, D) or horizontal (B, C, E-I) sections. In all horizontal sections, the right side is upwards. Dorsal is oriented upwards in oblique-transverse sections (J-O). The approximate level of each transverse and horizontal section is indicated in A. A-C: Six3 ISH in a sagittal (A) and a horizontal (B, C) sections showing the intense expression in the IJc and in a superficial area in the lateral terminal nucleus (red dashed lines in B). D, E: Foxp1 ISH in sagittal (D) and horizontal (E) sections showing the characteristic reduced expression in the lateral parts of the IJc, ISc and SpL nuclei. F: Ebf1 ISH in comparable horizontal section as in C and I showing the position of the expressing cells in the APt and VJc nuclei. G-L: Foxp1 ISH combined with PAX7 IHC demonstrates Foxp1 expression in a specific cell group in SpL, in horizontal (G, I) and transverse (J-L) sectionsshowing the distribution . MO: Lhx1 expression in transverse sections showing intensely labeled cells in the JcP subdivisions, and lighter cells in the PcP derivatives. For abbreviations see list. Scale bars = 100 μm. |
|
|
Figure 11. Various genoarchitectural details in sections of the pretectal region of Xenopus laevis at the end of the metamorphic climax (st64-66) showing the combined patterns of PAX6 (in red) and PAX7 (green) (A-K), and ISH for VGlut2 (in blue (L-O). The markers shown in each panel are indicated in appropriate color code in the upper left corner. Dorsal is oriented upwards in oblique-transverse sections (A-D). Rostral is oriented to the left in sagittal sections (E-L) and horizontal (M-O) sections. In panels C-f and H-O the levels of sections shown in other panels are indicated by bars. Throughout the rostrocaudal extent of the pretectum, PAX6 cells are intensely labeled in the medial and caudal portions of the OSc nucleus, the LT and the magnocellular nucleus of the posterior commissure (McPC). PAX6 cells extend in the ventromedial portion of the Jc nucleus and very scarce in lateral portions. PAX7 is more intense in the OSc and along the lateral parts of the JcP (A-F). The ventricular PAX6 labeling reaches the APt domain, but is more intense in the JcP and CoP (A-D), and ends caudally at the DMB (K). PAX7 ventricular expression is restricted to the CoP (A-C, K). L-O: VGlut2 ISH in a sagittal (L) view (level indicated in M-O) and a series of horizontal sections (M-O) showing the intense expression in the ISc and OSc nuclei of the dorsal CoP domain. Distinct VGlut2 expression is present in the periventricular layer of the medial portion of the APt nucleus (M). For abbreviations see list. A magenta-green version of this figure is provided as Supporting Information Figure 7. Scale bars =100 μm. |
|
|
Figure 12. Photomicrographs of sagittal (A, B, E, F, L), horizontal (R-U) and transverse (C, D, G, H, I-K, M-Q) sections of the pretectal region of Xenopus at the end of the metamorphic climax (st 64-66) stained for CB (A-D), CR (E-H), TH (I-L) and NPY ISH combined with PAX7 IHC (M-U). Some sections are Nissl-counterstained. The markers and the color code are indicated in the upper left corner of each photomicrograph. The approximate boundaries between nuclear divisions are indicated by fine dashed lines. In panels A, E, L, R and T the levels of sections shown in other panels are indicated by bars. A-D: CBir was observed in cells of the OPt, PcPC, OSc nuclei, being intensely labeled in the IJc nucleus with sparse cells in the APt nucleus. CR immunoreaction in sagittal (E, F) and transverse (G, H) sections shows numerous cells in the APt nucleus. Sparse CR cells are seen in the LPd, OJc and IJc nuclei, whereas they are more numerous in the OSc and ISc nuclei. Large cells were observed in the McPC nucleus (E, H). TH immunoreactivity in cross (I-K) and sagittal (L) sections shows positive cells in the OPt nucleus (a subdivision of the OSc nucleus) and in a small group of the CoL subdivision. M-U: Series of cross (M-Q) and horizontal (R-U) sections showing the intense NPY expression in the JcP derivatives and in the OSc, with weaker expression in the ISc. Note NPY cells distributed mainly in the OJc, SpL, PrPT, and OSc nuclei. For abbreviations see list. Scale bars = 100 μm |
|
|
Figure 13. Schematic drawings showing the general expression patterns of the gene markers used to regionalize the pretectal region. The markers are indicated in a color code in the upper left corner of each panel (A-J). In each scheme the expression domain of a gene is represented only within the pretectum at premetamorphic stages (st50) and at the end of the metamorphosis (st66). Rostral is oriented to the left and dorsal is up. |
|
|
Figure 14. Schematic rendering of strata, layers, and individual nuclei or areas observed at the beginning of the premetamorphosis (st50) and at the climax of the metamorphosis (st66) in the pretectum of Xenopus laevis, and its comparison with the case of the chicken at stage HH38 (after 12 days of incubation; modified from Ferran et al., 2009). The derivatives of the CoP (AC), JcP (D-F) and PcP (G-I) are illustrated separately. For each domain, the early definition of dorsal, lateral and ventral portions and the strata distinguished at the beginning of the larval development (A,D,G) are correlated topologically with the final nuclear derivatives proposed for each part at the end of the metamorphosis (B,E,H). The nuclear organization is compared for each case with the final nuclei observed after development in the pretectum of the chick (C,F,I). The ventricular (v), inner (ip) and outer (op) periventricular, intermediate (i) and superficial (su) strata (pronuclei) were distinguished in the mantle zone at early premetamorphic stages, and segregation is achieved within the layers and strata of the periventricular zone at the metamorphic climax. Newly defined nuclei can be correlated topologically to the earlier strata and to the dorsal (D), lateral (L) and ventral (V) progenitor subdomains, where their neurons presumably originated via radial migration. Note that most cell masses have undergone different displacements and the JcP occupies a significant area that contains more cells groups than the CoP and PcP derivatives. For abbreviations, see list. |
|
|
Supplementary Figure 1. Set of photomicrographs illustrating the main markers for the CoP domain and its derivatives, as well as the rostral and caudal boundaries of the pretectum. In each panel the larval stage is indicated in the upper right corner. In situ hybridization (ISH) for Pax3, Pax6 and Gbx2 (in blue for bright field or magenta in the case of fluorescent images) and immunohistochemistry (IHC) for Pax6 and Pax7 or Nkx2.2 (in brown for bright field or green/magenta for fluorescent images) are shown. The markers and the color code are indicated in the upper left corner. Rostral is oriented to the left in all sagittal (B,D,F-H,K) and horizontal (C,E) views. Dorsal is oriented upwards in cross sections (I,J). In panels C, D and K the levels of sections shown in other panels are indicated by bars. A, A1: Pax3 ISH in whole mount brain, in dorsal and lateral view respectively, B: Sagittal section showing the ventricular and periventricular expression of Pax3 that delimitate the rostral thalamo-pretectal boundary (TPB). C, D : Gbx2 (ISH) in combination with PAX7 (IHC) showing the thalamo-pretectal boundary (TPB) defined by Gbx2 in the thalamus and the Gbx2 /PAX7 negative PcP domain. E: Horizontal sections showing the caudal diencephalomesencephalic boundary (DMB) revealed by Pax6 ISH . F: Sagittal section of the pretectal region at advanced prometamorphosis showing PAX6 and PAX7 immunoreactive cells. PAX6 labeling marks the caudal DMB and the combination with PAX7 shows that PAX6 positive cells are in the CoP domain at this stage. Note the scarce PAX6 cells in the PcP domain. G, H: Sagittal sections of advanced prometamorphic larvae through the superficial (G) and intermediate (H) strata showing the codistribution of Pax6 and PAX7 labeled cells. Pax6 is present mainly in the CoL and the ventral part of JcL at this stage. PAX7 positive cells are abundant in the intermediate strata in the CoP and JcP with only some cells in the PcP (black arrow H). I-K: Various genoarchitectural details in sections through the CoP and JcP pretectal regions at the end of the metamorphic climax. PAX6 cells are abundant in the ISc and OSc regions, the parvocellular nucleus of the posterior commissure (PcPC), and the magnocellular nucleus of the posterior commissure (McPC). PAX6 cells extend primarly in the ventromedial portion of the Jc nucleus. PAX7 cells are found in the OSc and ISc, and along the lateral parts of Jc nucleus. The ventricular PAX6 cells reach the APt domain, but are more intensely labeled in the JcP and CoP, whereas PAX7 ventricular labeling is restricted to the CoP (I, J). For abbreviations see list. Scale bars = 200 μm (A, A1, G-K); 100 μm (B-F). This figure corresponds to the Figure 2. |
|
|
Supplementary Figure 2. Set of photomicrographs illustrating the main markers for the PcP domain and its derivatives, at different larval stages. In each panel the stage is indicated in the upper right corner. In situ hybridization (ISH) for Xiro1, Ebf1, Ebf3 and Lhx9 (in blue for bright field or magenta/green in the case of fluorescent images) and immunohistochemistry (IHC) for Pax7 (in brown for bright field or green /blue for fluorescent images) are shown. The markers and the color code are indicated in the upper left corner. Rostral is oriented to the left in all sagittal (A, B, E, F, Q, S-U) or horizontal (C, G, I, K, M, O) views. Dorsal is oriented upwards in transverse sections (D, H, J, L, N, P, R). In panels E, G, and K-R the levels of sections shown in other panels are indicated by bars. A: Xiro1 ISH in wholemount brain in a lateral view. B-D: Sagittal (B), horizontal (C) and transverse (D) sections though the pretectal region showing Xiro1 ISH combined with PAX7 IHC at early premetamorphic stages. The PcP is intensely marked for Xiro1 highlighting the rostral TPB, and it is also expressed in the dorsal domains of the JcP and CoP. Note that Xiro1 is expressed in all radial strata at these stages. E: Ebf1 ISH in wholemount brain in a lateral view. F-H: Sagittal (F), horizontal (G) and transverse (H) sections though the pretectal region showing Ebf1 ISH combined with PAX7 IHC at late embryonic stages. Ebf1 expression marks intensely the intermediate and superficial strata of the PcP and highlights. Note the Ebf1 is also expressed in the ventral domain of the JcP and CoP. I: Xiro1 expression at prometamorphic stages is mainly located in the periventricular stratum of the PcP. J: Ebf3 expression is found in similar location of the PcP as Xiro1, at prometamorphic stages. K, L: In the metamorphic climax Xiro1 is expressed along the medial portions of the APt nucleus and is only weakly expressed in its lateral part. Note that some cells expressed Xiro1 in the medial part of the JcP. M, N: Similar to Xiro1, Ebf1 expression was found in the APt nucleus at metamorphic climax stages. O, P: Ebf1 also labels a portion of the VJc distinct from the OJc (Ebf1 negative) that contains the SpL (Pax7/Foxp1 positive). Q, R: Lhx9 expression at late premetamorphic stages is restricted to the outer periventricular stratum in the PcP (R). Note the gap devoid of labeling in the inner periventricular stratum, in the sagittal section (Q). S: At prometamorphic stages Lhx9 labels the PcL but it is absent in the PcD and PcV. T,U: Lhx9 is expressed in the PcL at metamorphic climax stages as seen in these lateral superficial (T) and periventricular (U) sagittal sections. For abbreviations see list. Scale bars = 100 μm (A, E, I-U); 50 μm (B-D, F-H). This figure corresponds to the Figure 4. |
|
|
Supplementary Figure 3. Set of photomicrographs illustrating the main complementary markers used to characterize further the PcP, JcP and CoP derivatives of the pretectum. In each panel the larval stage is indicated in the upper right corner. In situ hybridization (ISH) for NPY (in blue for bright field or magenta in the case of fluorescent images) and immunohistochemistry (IHC) for PAX7, CB, CR, and TH (in brown for bright field or green/magenta/blue for fluorescent images) are shown. Some sections were also Nissl counterstained. The markers and the color code are indicated in the upper left corner. Rostral is oriented to the left in all sagittal (A, E, F, I, K, M, N) or horizontal (B) views. Dorsal is oriented upwards in transverse sections (C, D, G, H, J, L, O, P). In panels A, B, F, I-L the levels of sections shown in other panels are indicated by bars. A, B: NPY ISH and Pax7 IHC at the beginning of the premetamorphosis in sagittal (A) and horizontal (B) sections showing the distribution of NPY in the JcP and CoP. NPY marks the CoD and CoL domains, and the caudal and lateral subdivision of the JcL. C, D: Oblique-transverse sections at metamorphic climax stages showing the intense NPY expression in the OSc and weak expression in ISc. In the JcP derivatives, distinct NPY expression is shown in the SpL (larger cells) and the OJc (smaller cells intermingled with PAX7 positive cells). E, F: CB/CR IHC in sagittal sections at premetamorphic (E) and prometamorphic (F) stages showing CB staining in the rostral part of CoD and dorsally in CoL . CB is abundant in the rostral part of the intermediate stratum of the JcP. CB cells are codistributed with CR cells along CoL and JcL. CR is present in cells of the ventral half of the PcL and PcV. G: Transverse section at premetamorphic stages showing a distinct TH positive population within the dorsal portion of CoP, characterized by CB and Pax7 immunoreactive cell population. H: Transverse section at prometamorphic stages showing the codistribution of CBir and CRir cell populations in the CoP and JcP, characterized by the Pax7 cell population. I-L: Distribution of CR (I, J) and CB (K, L) at metamorphic climax illustrating several specific nuclear and neuropil formations of the pretectum. CR immunoreaction in a sagittal (I) and coronal section (J, level indicated in I) showing the TPB and numerous cells in the APt nucleus, and sparse cells in LPd , OJc and IJc, and numerous cells in the OSc and ISc. CB immunoreaction (K, L) at comparable levels shows abundant CB cells in the PcPC, OSc and IJc. M, N: TH immunoreactivity in the CoD and CoL at prometamorphic stages. O, P: Transverse sections through the CoP at metamorphic climax showing the THir cell population in combination with CB (O) and CR (P) in the OPt nucleus. For abbreviations see list. Scale bars = 50 μm (A, B); 100 μm (C-P). This figure corresponds to the Figure 5. |
|
|
Supplementary Figure 4. Whole mounts or brain sections of premetamorphic larvae (stages indicated on each photomicrograph) of Xenopus laevis showing in situ hybridization (ISH) for different markers (in blue for bright field or magenta in the case of fluorescent images) and immunohistochemistry (IHC) for PAX7 or NKX2.2 (in brown for bright field or green for fluorescent images). The markers shown in each panel are indicated in appropriate color code in the upper left corner. Rostral is oriented to the left in sagittal (B, F-H, O, P) or horizontal (A, C, D, I-N, O1) views. Dorsal is oriented upwards in oblique-transverse sections (E, Q, R). In G and R the different levels of the sections is indicated for the corresponding photomicrographs. A: Horizontal section showing Pax6 ISH, which caudally marks the DMB. B: Sagittal section through the pretectal region showing that the Pax6 signal marks the DMB and the combination with PAX7 helps the localization of the Pax6 cells in the CoP and distinct subdomains of the JcP. C-E: Horizontal (C, D) and transverse (E) sections showing CR and PAX7 IHC. CR marks the TPB and PAX7 marks the CoP and JcP, showing the PcP domain devoid of labeling. F-H: Sagittal sections stained for Six3 ISH that marks intensely the JcP domain and the ventral subdivision of the CoP (CoV) and less intensely the lateral (CoL) and dorsal (CoD) subdivisions. PAX7 IHC reveals PAX7 cells in the JcP within the Six3 domain. I-N: Dorsoventrally arranged horizontal sections through the pretectal region at the levels indicated in P and Q, showing the distribution of Six3 ISH combined with PAX7 IHC. Note that the PcP is devoid of both markers and the JcP is characterized by the presence of intense Six3 expression; some cells expressing Six3 are located in the CoP. H1, M1: Higher magnifications of the JcP in H and M, respectively, illustrating some double labeled cells (arrowheads). O1: Dorsal overview of a wholemount brain stained for Zic1 ISH. O: Sagittal section showing intense Zic1 expression in the dorsal division of the PcP, JcP and CoP. P: sagittal section showing Lhx1 expression in the JcP in combination with NKX2.2 IHC that marks the ABB. Lhx1 expression reaches the NKX2.2 positive band ventral to the JcP and CoP. Q: Cross section showing the Lhx1 expression, in relation to PAX7, in the JcP. R: Schematic representation of the pretectal region of premetamorphic larvae and the radial subdivisions. Levels of sagittal sections are also indicated. For abbreviations see list. Scale bars = 100 μm (A-E, R), 50 μm (FQ), 25 μm (H1, M1), 500 μm (O1). This figure corresponds to the Figure 6. |
|
|
Supplementary Figure 5. Wholemounts and brain sections of premetamorphic larvae (stages indicated on each photomicrograph) of Xenopus laevis showing in situ hybridization (ISH) for different markers (in blue for bright field or magenta in the case of fluorescent images) and immunohistochemistry (IHC) for PAX7 (in brown for bright field or green for fluorescent images). The markers shown in each panel are indicated in appropriate color code in the upper left corner. Rostral is oriented to the left in sagittal (I, M, P-R) or horizontal (F-H, J-L, N, O, S-V) views. Dorsal is oriented upwards in oblique-transverse sections (A-E). In A, I , K, Q -U the different levels of the sections is indicated for the corresponding photomicrographs. A-C: Transverse sections through the pretectal region showing the rostrocaudal distribution of Xiro1 combined with PAX7 IHC. Note the PcP intensely marked for Xiro1 in all radial strata. D, E: Transverse sections through the pretectal region (levels indicated in I) showing the rostral (D) and caudal (E) distribution of Ebf1 ISH combined with PAX7 IHC. The PcP domain is intensely marked for Ebf1 in the intermediate and superficial strata. F-H: Horizontal sections through the pretectal region (levels indicated in I) showing the dorsoventral distribution of Xiro1combined with PAX7 IHC. Xiro1 expression serves to assess the shape of the PcP. I: Sagittal section that shows the intense Ebf1 expression in the PcP domain, which lacks PAX7 cells. J-L: Horizontal sections through the pretectal region (levels indicated in I) showing the distinct Ebf1 expression in the PcP domain, free of PAX7 cells. Ebf1 is useful for the identification of the rostral TPB. Notice the PAX7 positive cells into the PcP domain (arrows in J, K). M: Sagittal section showing the intense Ebf3 expression in the PcP domain, similar to Ebf1 (compare with I). N, O: Horizontal sections showing that the pattern observed for Ebf1 is similar for Ebf3. P: Lateral overview of a wholemount brain stained for NPY ISH. Q, R: Sagittal sections showing the lateromedial distribution of NPY in the JcP and CoP domains. NPY marked the CoD, CoL subdomains in the CoP and the lateral JcL subdomain in the JcP. S-V: Horizontal sections of the pretectal region showing the dorsoventral differential distribution of NPY in the JcP and CoP domains (shown in Q and R). For abbreviations see list. Scale bars = 100 μm (P), 50 μm (A-O, Q-V). This figure corresponds to the Figure 7. |
|
|
Supplementary Figure 6. Sections of larval brains at stages between pre and prometamorphosis (st52 and st53) of Xenopus laevis showing in situ hybridization (ISH) for Six3 (in blue) and immunohistochemistry (IHC) for PAX7, CB, CR and TH (in green and magenta). The markers shown in each panel are indicated in appropriate color code in the upper left corner. Rostral is oriented to the left in sagittal (D,E, F-H) or horizontal (I) views. Dorsal is oriented upwards in oblique-transverse sections (A-C, J-N). In panels D-H the levels of sections shown in other panels are indicated by bars. A-C: Six3 ISH in a series of transverse sections of the pretectal region showing the rostrocaudal distinct expression in the periventricular and intermediate strata of the JcP, and the very low expression in the CoP, with the exception of the CoV subdomain, which is better observed in sagittal sections (D, E). F-H: Sagittal sections showing the lateromedial codistribution of CB and CR in the pretectum. CB is abundant in the JcP and CoP (CoL), and is codistributed with CR in the CoL caudally. CR is present in the rostral part of the JcL and in some cells in the PcP. I: Localization of TH cells in the dorsal domain of the CoP, compared with PAX7, in a horizontal section. J-N: Transverse sections showing the rostrocaudal codistribution of CB and CR in the pretectum. CB is profuse laterally in the CoL and JcP, whereas CR staining is located medially. For abbreviations see list. Scale bars = 100 μm. This figure corresponds to the Figure 8. |
|
|
Supplementary Figure 7. Various genoarchitectural details in sections of the pretectal region of Xenopus laevis at the end of the metamorphic climax (st64-66) showing the combined patterns of PAX6 (in magenta) and PAX7 (green) (A-K), and ISH for VGlut2 (in blue (L-O). The markers shown in each panel are indicated in appropriate color code in the upper left corner. Dorsal is oriented upwards in oblique-transverse sections (A-D). Rostral is oriented to the left in sagittal sections (E-L) and horizontal (M-O) sections. In panels C-f and H-O the levels of sections shown in other panels are indicated by bars. Throughout the rostrocaudal extent of the pretectum, PAX6 cells are intensely labeled in the medial and caudal portions of the OSc nucleus, the LT and the magnocellular nucleus of the posterior commissure (McPC). PAX6 cells extend in the ventromedial portion of the Jc nucleus and very scarce in lateral portions. PAX7 is more intense in the OSc and along the lateral parts of the JcP (A-F). The ventricular PAX6 labeling reaches the APt domain, but is more intense in the JcP and CoP (A-D), and ends caudally at the DMB (K). PAX7 ventricular expression is restricted to the CoP (A-C, K). L-O: VGlut2 ISH in a sagittal (L) view (level indicated in M-O) and a series of horizontal sections (M-O) showing the intense expression in the ISc and OSc nuclei of the dorsal CoP domain. Distinct VGlut2 expression is present in the periventricular layer of the medial portion of the APt nucleus (M). For abbreviations see list. Scale bars =100 μm. This figure corresponds to the Figure 11. |
|
|
Graphical abstract The genoarchitecture of the pretectal derivatives in Xenopus is studied. Commissural, juxtacommissural and precommissural markers analyzed during larval development through adulthood reveal the origin of the nuclear configuration in the early histogenetic divisions. Several nuclei are newly identified and homologies with amniotes are proposed based on their gene expression profile. |
