|
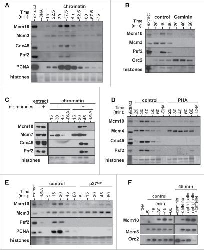
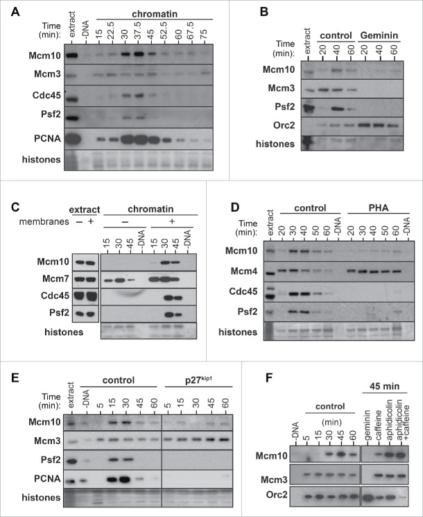
Figure 1. Mcm10 chromatin loading requirements. A, Xenopus egg extract was supplemented with demembranated sperm nuclei. After incubation for the indicated times, chromatin was isolated and immunoblotted for Mcm10, Mcm3, Cdc45, Psf2 and PCNA. The lower portion of the gel was stained with Coomassie to visualize histones. (B- F), Interphase (B, D, E, F) or membrane free (C) egg extracts were supplemented with demembranated sperm nuclei and were optionally supplemented with Geminin (B), 50 μM PHA-767491 (D), 100 nM p27kip1 (E), 40 µM aphidicolin or 5 mM Caffeine (F). At the indicated times, chromatin was isolated and immunoblotted for Mcm10, Mcm3, Mcm4, Mcm7, Orc2, Cdc45, Psf2 and PCNA.
|
|
Figure 2. CDK-regulation of Mcm10 chromatin loading. A, B, CDK-dependent phosphopeptides of chromatin bound Mcm10 identified in mid-S-phase chromatin by phosphopeptide enrichment of total proteins (A) or direct immunoprecipitation (B) of Mcm10 followed by mass spectrometric analysis. (A) Heat map for Mcm10 phosphopeptides enrichment observed in control, CDK-inhibited (p27kip1), replication inhibition (aphidicolin, Aph), checkpoint-inhibition (caffeine, Caff) with black showing the presence and white the absence of a peptide. C, Extracts were supplemented with demembranated sperm nuclei with or without the addition of 1 ng/µl wt-rMcm10. Samples containing rMcm10 were optionally supplemented with p27kip1 or Geminin. After incubation for the indicated times, chromatin was isolated and immunoblotted for Mcm10, Mcm7, Cdc45 and Psf2. The lower portion of the gel was stained with Coomassie to visualize histones. D-G, Undepleted or Mcm10 depleted interphase egg extracts were supplemented with demembranated sperm nuclei. After incubation for 35 min, aliquots were optionally supplemented with wt-rMcm10 or undepleted interphase extract with or without p27kip1. At the indicated times, chromatin was isolated and immunoblotted for Mcm10 and/or Mcm7, Cdc45 and PCNA. (D) Cartoon of experimental set-up. (E) rMcm10 was added to undepleted extracts at 35 in presence of p27kip1, aphidicolin or both. (F, G) rMcm10 or undepleted extract was added to Mcm10 depleted extract at 35 min in presence of p27kip1. H, Control (nonimmune IgG), RecQ4, TopBP1 or Treslin depleted extract were supplemented with demembranated sperm nuclei. After incubation for the indicated times, chromatin was isolated and immunoblotted for Mcm10.
|
|
Figure 3. Lack of Mcm10 leads to reduction in chromatin bound replisome proteins. A, Egg extract was immunodepleted with either nonimmune IgG or Mcm10 antibodies (raised against N- or C-terminus of the protein). So that the efficiency of depletion could be estimated, 0.5 µl of each of the depleted extracts and known amounts of nonimmune-depleted extract was immunoblotted for Mcm10 using 2 different antibodies. B, Control (nonimmune IgG) and Mcm10 depleted extract were supplemented with demembranated sperm nuclei. After incubation for the indicated times, chromatin was isolated and immunoblotted for Mcm10, Mcm4, Cdc45, Psf2, Pol α and PCNA. The lower portion of the gel was stained with Coomassie to visualize histones. C, Quantitation of Cdc45, Pol α, PCNA and Psf2 bound to chromatin at 60 min in control and Mcm10 depleted extracts. Mean and SEM of 3 independent experiments is shown. D, E, Control and Mcm10 depleted extracts were supplemented with 3 ng DNA/µl and [α-32 P]dATP; total DNA synthesis was determined at the indicated times. (E) Mean incorporation of [α-32 P]dATP at 90 and 120 min. and SEM of 3 independent experiments is shown.
|
|
Figure 4. Mcm10 loss affects replication fork elongation and replisome stability. A-C, Mcm10-depleted interphase egg extracts were supplemented with demembranated sperm nuclei and 100 µM aphidicolin. After 60 min incubation, chromatin was isolated. Chromatin was then incubated in non-immune or Mcm10 depleted extract supplemented with 100 nM p27kip1 and optionally with [α-32 P]dATP. (A) Cartoon of experimental set-up. (B) Chromatin isolated after incubation in the first (lane 1) and second extracts (lane 2, 3) was immunoblotted for Mcm10 and histone H3. (C) At the indicated times, incorporation of [α-32 P]dATP into nascent DNA strand was determined. (D) Control (nonimmune IgG) and Mcm10 depleted extract were supplemented with 15 ng DNA/µl. At 120 mins [α-32 P]dATP was added for 15 seconds, and then DNA was isolated and separated on alkaline sucrose gradients. The 32 P content of fractions was determined by scintillation counting. The black arrowhead shows the migration of tRNA in a parallel neutral sucrose gradient. (E) Non-immune and Mcm10 depleted extract were supplemented with demembranated sperm nuclei and optionally supplemented with 50 µM camptothecin. At 60 min., chromatin was isolated and immunoblotted for Mcm10 and γH2A-X.
|
|
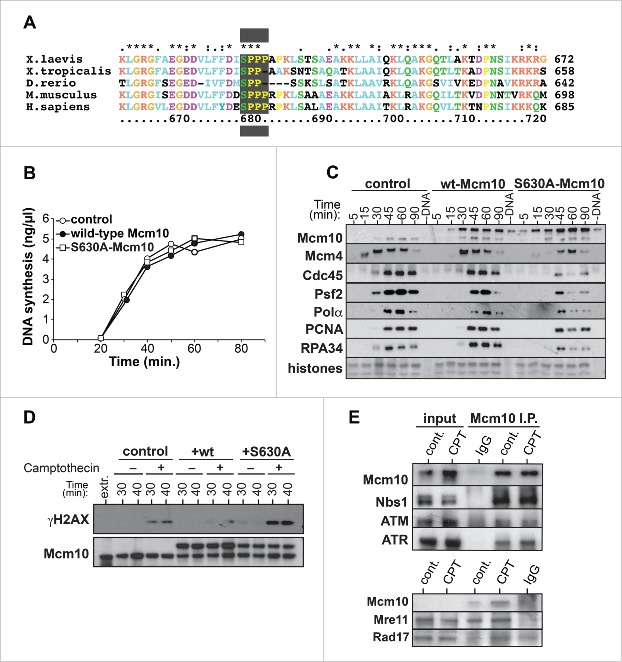
Figure 5. CDK-dependent Mcm10 phosphorylation is important for its function. A, Comparison of a segment of Mcm10 protein sequence alignment from Xenopus laevis, Xenopus tropicalis, Dana rerio, Mus musculus and Homo sapiens. B, C, Interphase extract was supplemented with demembranated sperm nuclei and optionally supplemented with [α-32 P]dATP, wt-Mcm10 or S630A-Mcm10. (B) At the indicated times, DNA synthesis was determined by measuring [α-32 P]dATP incorporation. A representative of 3 independent experiment is shown. (C) Chromatin was isolated at indicated times and immunoblotted for Mcm10, Mcm7, Cdc45, Psf2, Polα, or PCNA. The lower portion of the gel was stained with Coomassie to visualize histones. (D) Interphase extract was supplemented with demembranated sperm nuclei and optionally supplemented with wt-Mcm10, S630A-Mcm10 or 50 µM camptothecin. After incubation for the indicated times, chromatin was isolated and immunoblotted for Mcm10 and γH2A-X. (E) Interphase extract was supplemented with demembranated sperm nuclei and optionally supplemented with 50 µM camptothecin. At 45 min. chromatin Mcm10 was immunoprecipitated using antibodies against Mcm10 and samples were immunoblotted for Mcm10, ATR, ATM, Nbs1, Mre11 and Rad17.
|
|
Figure 6. The role and regulation of Mcm10 in Xenopus egg extracts. Replication forks are shown, with DNA in black, the CMG helicase in purple, Mcm10 in red, and other replisome proteins in orange. Mcm10 is required for stability of the other replisome proteins, and this effect is enhanced when Mcm10 is phosphorylated by CDK.
|