Click here to close
Hello! We notice that you are using Internet Explorer, which is not supported by Xenbase and may cause the site to display incorrectly.
We suggest using a current version of Chrome,
FireFox, or Safari.
Sci Rep
2016 Mar 31;6:23825. doi: 10.1038/srep23825.
Show Gene links
Show Anatomy links
Sex reversal assessments reveal different vulnerability to endocrine disruption between deeply diverged anuran lineages.
Tamschick S
,
Rozenblut-Kościsty B
,
Ogielska M
,
Lehmann A
,
Lymberakis P
,
Hoffmann F
,
Lutz I
,
Kloas W
,
Stöck M
.
???displayArticle.abstract???
Multiple anthropogenic stressors cause worldwide amphibian declines. Among several poorly investigated causes is global pollution of aquatic ecosystems with endocrine disrupting compounds (EDCs). These substances interfere with the endocrine system and can affect the sexual development of vertebrates including amphibians. We test the susceptibility to an environmentally relevant contraceptive, the artificial estrogen 17α-ethinylestradiol (EE2), simultaneously in three deeply divergent systematic anuran families, a model-species, Xenopus laevis (Pipidae), and two non-models, Hyla arborea (Hylidae) and Bufo viridis (Bufonidae). Our new approach combines synchronized tadpole exposure to three EE2-concentrations (50, 500, 5,000 ng/L) in a flow-through-system and pioneers genetic and histological sexing of metamorphs in non-model anurans for EDC-studies. This novel methodology reveals striking quantitative differences in genetic-male-to-phenotypic-female sex reversal in non-model vs. model species. Our findings qualify molecular sexing in EDC-analyses as requirement to identify sex reversals and state-of-the-art approaches as mandatory to detect species-specific vulnerabilities to EDCs in amphibians.
Figure 1. Quantities of sex reversal (contradiction between genetic and phenotypic sex) under the influence of 17α-ethinylestradiol (EE2) in three deeply diverged anuran amphibians.Percentages of genetic-male-to-phenotypic-female sex reversal in African clawed frogs (Xenopus laevis, red), European tree frogs (Hyla arborea, green), and European green toads (Bufo viridis, blue) exposed to three concentrations of EE2 and in control animals; pooled data from two replicate experiments for each treatment or control. Susceptibility differences in genetic-male-to-phenotypic-female sex reversal occurred at all concentrations: (*) significant differences between clawed frogs and tree frogs (p ≤ 0.010); (x) significant differences between clawed frogs and green toads (p ≤ 0.001). Statistical analyses were conducted using cross-tabulation, Chi square and Fisher´s exact tests (α = 0.05).
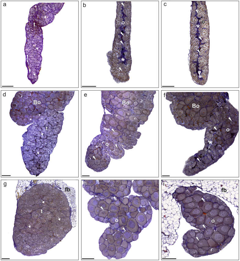
Figure 2. Histological sections of three anuran species under the influence of 17α-ethinylestradiol (EE2).(aâc) Normal male, normal female and phenotypically sex-reversed gonad of African clawed frog (Xenopus laevis). (dâf) Normal male, normal female and phenotypically sex-reversed gonad of European green toad (Bufo viridis). (gâi) Normal male, normal female and phenotypically sex-reversed gonad of European tree frog (Hyla arborea). Bo â Bidderâs organ, characteristic of bufonid gonads (for details: Methods); fb â fat body; o â ovary; t â testis; arrows indicate seminiferous tubules; *ovarian cavity; arrowheads â diplotene oocytes. Scale bars are 100 micrometers.
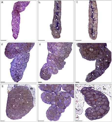
Figure 3. Histological sections of mixed sex gonads of three anuran species under the influence of 17α-ethinylestradiol (EE2).(a) African clawed frog (Xenopus laevis), (b) European green toad (Bufo viridis), (c) European tree frog (Hyla arborea); Fig. 2 for control and sex-reversed individuals. Bo â Bidderâs organ, specific of bufonid toadsâ gonads; fb â fat body; m â meiocytes; o â ovary; st â seminiferous tubules; t â testis; *a cavity separating testicular and ovarian parts of the mixed sex gonad; white arrow indicates ovarian cavity in the ovarian portion of the mixed gonad; white arrowheads show diplotene oocytes; yellow dotted lines separate testicular and ovarian parts of the mixed sex gonads. Scale bars represent 100 micrometers.
Arens,
Microsatellite markers for the european tree frog Hyla arborea.
2000, Pubmed
Arens,
Microsatellite markers for the european tree frog Hyla arborea.
2000,
Pubmed
Aris,
Occurrence of 17α-ethynylestradiol (EE2) in the environment and effect on exposed biota: a review.
2014,
Pubmed
Berset-Brändli,
A sex-specific marker reveals male heterogamety in European tree frogs.
2006,
Pubmed
Berset-Brändli,
Isolation and characterization of microsatellite loci for the European tree frog (Hyla arborea).
2008,
Pubmed
Bhandari,
Effects of the environmental estrogenic contaminants bisphenol A and 17α-ethinyl estradiol on sexual development and adult behaviors in aquatic wildlife species.
2015,
Pubmed
Bögi,
Functional genomics and sexual differentiation in amphibians.
2002,
Pubmed
,
Xenbase
Brelsford,
Homologous sex chromosomes in three deeply divergent anuran species.
2013,
Pubmed
,
Xenbase
Brühl,
Terrestrial pesticide exposure of amphibians: an underestimated cause of global decline?
2013,
Pubmed
Cevasco,
Endocrine disrupting chemicals (EDC) with (anti)estrogenic and (anti)androgenic modes of action affecting reproductive biology of Xenopus laevis: II. Effects on gonad histomorphology.
2008,
Pubmed
,
Xenbase
CHANG,
Genic control and hormonal reversal of sex differentiation in Xenopus.
1956,
Pubmed
,
Xenbase
Coady,
Effects of atrazine on metamorphosis, growth, laryngeal and gonadal development, aromatase activity, and sex steroid concentrations in Xenopus laevis.
2005,
Pubmed
,
Xenbase
Crisp,
Environmental endocrine disruption: an effects assessment and analysis.
1998,
Pubmed
Daszak,
Emerging infectious diseases of wildlife--threats to biodiversity and human health.
2000,
Pubmed
Fites,
The invasive chytrid fungus of amphibians paralyzes lymphocyte responses.
2013,
Pubmed
,
Xenbase
Garmshausen,
17α-Ethinylestradiol can disrupt hemoglobin catabolism in amphibians.
2015,
Pubmed
,
Xenbase
Haczkiewicz,
Gonadal sex differentiation in frogs: how testes become shorter than ovaries.
2013,
Pubmed
Hayes,
Pesticide mixtures, endocrine disruption, and amphibian declines: are we underestimating the impact?
2006,
Pubmed
,
Xenbase
Hecker,
Plasma sex steroid concentrations and gonadal aromatase activities in African clawed frogs (Xenopus laevis) from South Africa.
2004,
Pubmed
,
Xenbase
Hedges,
TimeTree: a public knowledge-base of divergence times among organisms.
2006,
Pubmed
Hof,
Additive threats from pathogens, climate and land-use change for global amphibian diversity.
2011,
Pubmed
Hoffmann,
Estrogens can disrupt amphibian mating behavior.
2012,
Pubmed
,
Xenbase
Jobling,
Endocrine disruption, parasites and pollutants in wild freshwater fish.
2003,
Pubmed
Juul,
Possible fetal determinants of male infertility.
2014,
Pubmed
Kabir,
A review on endocrine disruptors and their possible impacts on human health.
2015,
Pubmed
Ke,
Characterization of estrogen-degrading bacteria isolated from an artificial sandy aquifer with ultrafiltered secondary effluent as the medium.
2007,
Pubmed
Khunjar,
Sorption of carbamazepine, 17α-ethinylestradiol, iopromide and trimethoprim to biomass involves interactions with exocellular polymeric substances.
2011,
Pubmed
Kloas,
Amphibians as a model to study endocrine disruptors: II. Estrogenic activity of environmental chemicals in vitro and in vivo.
1999,
Pubmed
,
Xenbase
Kolpin,
Pharmaceuticals, hormones, and other organic wastewater contaminants in U.S. streams, 1999-2000: a national reconnaissance.
2002,
Pubmed
Lambert,
Suburbanization, estrogen contamination, and sex ratio in wild amphibian populations.
2015,
Pubmed
Levy,
Bisphenol A induces feminization in Xenopus laevis tadpoles.
2004,
Pubmed
,
Xenbase
Liebig,
Evaluation of measured and predicted environmental concentrations of selected human pharmaceuticals and personal care products.
2006,
Pubmed
Lima,
Application of dispersive liquid-liquid microextraction for estrogens' quantification by enzyme-linked immunosorbent assay.
2014,
Pubmed
Lorenz,
The synthetic gestagen levonorgestrel impairs metamorphosis in Xenopus laevis by disruption of the thyroid system.
2011,
Pubmed
,
Xenbase
Lutz,
Development, standardization and refinement of procedures for evaluating effects of endocrine active compounds on development and sexual differentiation of Xenopus laevis.
2008,
Pubmed
,
Xenbase
Martel,
Wildlife disease. Recent introduction of a chytrid fungus endangers Western Palearctic salamanders.
2014,
Pubmed
Newbold,
Global effects of land use on local terrestrial biodiversity.
2015,
Pubmed
Nichols,
Controlling the familywise error rate in functional neuroimaging: a comparative review.
2003,
Pubmed
Oetken,
Evidence for endocrine disruption in invertebrates.
2004,
Pubmed
Ogielska,
Pattern and rate of ovary differentiation with reference to somatic development in anuran amphibians.
2004,
Pubmed
,
Xenbase
Oka,
All ZZ male Xenopus laevis provides a clear sex-reversal test for feminizing endocrine disruptors.
2006,
Pubmed
,
Xenbase
Olmstead,
Genotyping sex in the amphibian, Xenopus (Silurana) tropicalis, for endocrine disruptor bioassays.
2010,
Pubmed
,
Xenbase
Orton,
Do hormone-modulating chemicals impact on reproduction and development of wild amphibians?
2015,
Pubmed
,
Xenbase
Pettersson,
Environmentally relevant concentrations of ethynylestradiol cause female-biased sex ratios in Xenopus tropicalis and Rana temporaria.
2007,
Pubmed
,
Xenbase
Pettersson,
Persistent sex-reversal and oviducal agenesis in adult Xenopus (Silurana) tropicalis frogs following larval exposure to the environmental pollutant ethynylestradiol.
2006,
Pubmed
,
Xenbase
Piprek,
Bidder's organ--structure, development and function.
2014,
Pubmed
Piprek,
Differential effects of testosterone and 17β-estradiol on gonadal development in five anuran species.
2012,
Pubmed
,
Xenbase
Stöck,
Low rates of X-Y recombination, not turnovers, account for homomorphic sex chromosomes in several diploid species of Palearctic green toads (Bufo viridis subgroup).
2013,
Pubmed
Stöck,
A cryptic heterogametic transition revealed by sex-linked DNA markers in Palearctic green toads.
2011,
Pubmed
Stuart,
Status and trends of amphibian declines and extinctions worldwide.
2004,
Pubmed
Tamschick,
Sex chromosome conservation, DMRT1 phylogeny and gonad morphology in diploid Palearctic green toads (Bufo viridis subgroup).
2014,
Pubmed
,
Xenbase
Tompsett,
Effects of 17α-ethynylestradiol on sexual differentiation and development of the African clawed frog (Xenopus laevis).
2012,
Pubmed
,
Xenbase
Villalpando,
Determination of the sensitive stages for gonadal sex-reversal in Xenopus laevis tadpoles.
1990,
Pubmed
,
Xenbase
Wake,
Ecology. Facing extinction in real time.
2012,
Pubmed
Wedekind,
Fish populations surviving estrogen pollution.
2014,
Pubmed
Wolf,
Effects of 17 beta-estradiol exposure on Xenopus laevis gonadal histopathology.
2010,
Pubmed
,
Xenbase
Yoshimoto,
Opposite roles of DMRT1 and its W-linked paralogue, DM-W, in sexual dimorphism of Xenopus laevis: implications of a ZZ/ZW-type sex-determining system.
2010,
Pubmed
,
Xenbase
Yoshimoto,
Degradation of estrogens by Rhodococcus zopfii and Rhodococcus equi isolates from activated sludge in wastewater treatment plants.
2004,
Pubmed
Yoshimoto,
A W-linked DM-domain gene, DM-W, participates in primary ovary development in Xenopus laevis.
2008,
Pubmed
,
Xenbase