XB-ART-51903
Development
2016 Apr 01;1437:1134-48. doi: 10.1242/dev.131060.
Show Gene links
Show Anatomy links
Tumor protein Tctp regulates axon development in the embryonic visual system.
Roque CG
,
Wong HH
,
Lin JQ
,
Holt CE
.
???displayArticle.abstract???
The transcript encoding translationally controlled tumor protein (Tctp), a molecule associated with aggressive breast cancers, was identified among the most abundant in genome-wide screens of axons, suggesting that Tctp is important in neurons. Here, we tested the role of Tctp in retinal axon development in Xenopus laevis We report that Tctp deficiency results in stunted and splayed retinotectal projections that fail to innervate the optic tectum at the normal developmental time owing to impaired axon extension. Tctp-deficient axons exhibit defects associated with mitochondrial dysfunction and we show that Tctp interacts in the axonal compartment with myeloid cell leukemia 1 (Mcl1), a pro-survival member of the Bcl2 family. Mcl1 knockdown gives rise to similar axon misprojection phenotypes, and we provide evidence that the anti-apoptotic activity of Tctp is necessary for the normal development of the retinotectal projection. These findings suggest that Tctp supports the development of the retinotectal projection via its regulation of pro-survival signalling and axonal mitochondrial homeostasis, and establish a novel and fundamental role for Tctp in vertebrate neural circuitry assembly.
???displayArticle.pubmedLink??? 26903505
???displayArticle.pmcLink??? PMC4852495
???displayArticle.link??? Development
???displayArticle.grants??? [+]
Species referenced: Xenopus laevis
Genes referenced: actb b2m bcl2 cox5a cycs cyp26a1 gcg h4c1 hprt1 idh3a map2 mcl1 pax6 rho rhot1 rps13 tbp tpt1
???displayArticle.morpholinos??? mcl1 MO1 tpt1 MO2
???attribute.lit??? ???displayArticles.show???
|
|
Fig. 1. Expression of tctp in the Xenopus neural retina. (A) Coronal section of stage 43 retina probed with an anti-Tctp antibody and counterstained with DAPI. Arrowheads indicate the optic fibre layer (OFL). The boxed area is enlarged beneath. The dashed contour delineates the outer plexiform layer. (B) Stage 32 eye explants grown in vitro for 24 h were stained with anti-Tctp antibody (left, phase contrast image; right, Tctp antibody staining). Tctp is detected in the axon shaft, central domain and filopodia. (C) In situ hybridisation (ISH) detection of tctp mRNA expression on coronal sections of stage 43 retinas. Arrowheads indicate the OFL. The boxed area is enlarged in the middle panel. (D,E) Quantitative ISH detection of tctp mRNA expression in the RGC axonal and growth cone compartments was performed using stage 32 eye explants grown in vitro for 24 h. Mean±s.e.m.; ***P<0.0001, one-way ANOVA with Bonferroni correction. (F) RACE amplifications of tctp mRNAs using retinal RNA extracts. FP, forward primer; NUP, nested universal primer; RP, reverse primer; UP, universal primer. (G) Organisation of the tctp gene in X. laevis. cds, coding region; poly(A) signal, polyadenylation signal. (H) Schematic of the laser-capture microdissection procedure used to collect RGC axonal extracts. (I) RACE amplifications of tctp mRNAs using laser-captured axonal extracts. (J) Purity assessment of laser-captured material by RT-PCR. âRT, RNA samples not reverse transcribed. (K) RT-qPCR experimental design. (L,M) Axonal and whole-eye content of tctp mRNAs were analysed by RT-qPCR and normalised to actb expression. In L, data are plotted as âtctp-S+tctp-Lâ to âtctp-Lâ expression ratios (*P=0.0175, one-way ANOVA), whereas in M the quantification cycle (Cq) difference relative to actb is shown. Scale bars: 50â μm in A,C; 5â μm in B,D. CMZ, ciliary marginal zone; GCL, ganglion cell layer; IPL/OPL, inner/outer plexiform layer; ONH, optic nerve head; PR, photoreceptor layer. |
|
|
Fig. 2. Tctp is required to establish correct retinotectal projections in vivo. (A) Experimental outline. OT, optic tract. Dashed line encircles the contralateral, DiI-filled eye. (B) tctp-MO leads to a specific knockdown in Tctp protein levels in the CNS, as evaluated by western blot analysis of stage 37/38 embryos using an anti-Tctp antibody. (C) Representative growth cones from control morpholino (con-MO)-injected and tctp-MO-injected embryos stained for Tctp. (D-F) DiI-filled retinotectal projections in MO-injected stage 40 embryos. Dashed lines approximate the boundary of the optic tectum, where RGC axons terminate. Injection of MO-resistant tctp mRNA (rescue mRNA) rescued the development of the retinotectal projection. (G) Relative projection lengths in the various MO-injected backgrounds. Mean±s.e.m.; n, number of brains analysed; ***P<0.0001, Kruskal–Wallis test. (H) Number of embryos displaying axon extension defects. con-MO versus tctp-MO, P<0.0001; tctp-MO versus tctp-MO+rescue mRNA, P=0.0002; Fisher's exact test; performed on number of observations but plotted as percentages. (I) Mean (±s.e.m.) optic tract widths. con-MO versus tctp-MO, **P<0.01 (C2), *P<0.05 (C3), ***P<0.0001 (C4), *P<0.05 (C5), **P<0.05 (C6), two-way ANOVA with Bonferroni correction (for details of statistics see Fig. S2F). C2-7 denote imaginary, evenly spaced hemi-circumferences centred on the optic chiasm. Scale bars: 5 μm in C; 100 μm in D-F. n.s., not significant. |
|
|
Fig. 3. Tctp is not necessary for the timely development of the eye. (A) Representative stage 43 control and Tctp-depleted retinas stained with phalloidin and DAPI. The boxed areas are shown at a higher magnification to the right. (B,C) Immunohistochemistry analysis of the photoreceptor layer in stage 43 wild-type retinas probed with anti-Tctp and anti-opsin or anti-rhodopsin antibodies, and counterstained with DAPI. IS, photoreceptor inner segment; ONL, outer nuclear layer; OS, photoreceptor outer segment; PR, photoreceptor. (D,E) Representative micrographs of the photoreceptor layer in stage 43 control or Tctp morphant retinas probed with anti-opsin or anti-rhodopsin antibodies, and counterstained with DAPI. (F) Average inner segment lengths in control and Tctp morphant retinas. ***P<0.0001, unpaired t-test; box plot whiskers denote 5th-95th percentile. (G) Proportion of photoreceptors showing a complete loss of the outer segment in control and Tctp morphant retinas. n, number of photoreceptor layers analysed; ***P<0.0001, unpaired t-test. Scale bars: 50 μm in A; 25 μm in B-E. |
|
|
Fig. 4. Tctp deficiency impairs axon extension in vivo. (A) Schematic of the experiment. con-MO-injected or tctp-MO-injected stage 28 embryos were electroporated with gap-RFP to label retinal axons and allowed to develop until stage 40 before in vivo brain imaging. (B,C) Representative time-lapse images of gap-RFP-labelled control (top) and Tctp-depleted (bottom) RGC axons coursing through the optic tract. Dotted lines approximate the boundary of the optic tectum. (D) Average extension rates measured from time-lapse recordings of RGC axons coursing through the ventral optic tract (VOT) and dorsal optic tract (DOT) in controls and Tctp morphants. VOT, ***P<0.0001; DOT, *P<0.0273. (E) Percentage of axons with stalled progression in the control and morphant backgrounds. **P<0.0035. (F) Retinotectal projection angular spreads in controls and Tctp morphants. Pre-turn, **P<0.0082; post-turn, ***P<0.0001. (D-F) Mean±s.e.m.; n, number of axons (D) or embryos (E,F) analysed; unpaired t-test. Scale bars: 25 μm. |
|
|
Fig. 5. The retinotectal projection develops unerringly in Tctp-deficient brains. (A) Experimental outline illustrating the two experimental scenarios created to investigate the contribution of extracellular Tctp to the optic tract pathway substrate. (B) Dorsal view of embryos microinjected unilaterally with fluorescein-tagged con-MO or tctp-MO. (C) Unilateral tctp-MO injection leads to a targeted knockdown in Tctp expression in half of the CNS, as shown by immunoblot analysis of eye or brain lysates. The ‘ipsilateral’ label refers to the MO-injected half of the embryo; the uninjected half is designated ‘contralateral’. (D-G) DiI-filled stage 40 retinotectal projections. Dashed lines approximate the boundary of the optic tectum. (H) Relative projection lengths. Mean±s.e.m.; n, number of brains analysed; **P=0.0002, Kruskal–Wallis and Dunn's multiple comparison test (for details of statistics see Fig. S2F). (I) Number of brains displaying axon extension defects. Eye-MO:Brain-wt backgrounds, *P=0.0352; tctp-MO backgrounds, *P=0.0364; Fisher's exact test; analyses performed on frequencies but plotted as percentage. Scale bars: 100 μm. |
|
|
Fig. 6. Compromised mitochondrial homeostasis in axons deficient for Tctp. (A) Relative ATP levels per retina normalised to total protein. Mean±s.e.m.; n=17 per condition, ***P<0.0001, unpaired t-test. (B) Representative RGC growth cones loaded with TMRM from con-MO-injected and tctp-MO-injected embryos. (C) Quantification of TMRM fluorescence intensity in the mitochondria-rich growth cone (GC) central domain. Mean±s.e.m.; ***P=0.0002, Mann–Whitney test. (D) Quantification of TMRM fluorescence intensity of individual mitochondria along the axonal compartment. Mean±s.e.m.; **P<0.0012, Mann–Whitney test. Up to ten replicate experiments were performed per condition, totalling 427 growth cones and 4918 single mitochondria analysed. (E) Schematic of the approach used to examine mitochondrial density in RGC axons in vivo. (F) Micrographs of RGC axons co-labelled with mt-GFP and gap-RFP, plus quantification of axonal mitochondrial density. n, number of axons analysed; ***P=0.0002, unpaired t-test. In box plots, whiskers cover 5th-95th percentile and ‘+’ indicates the mean. Boxed areas in images are enlarged to the right. Scale bars: 5 μm. |
|
|
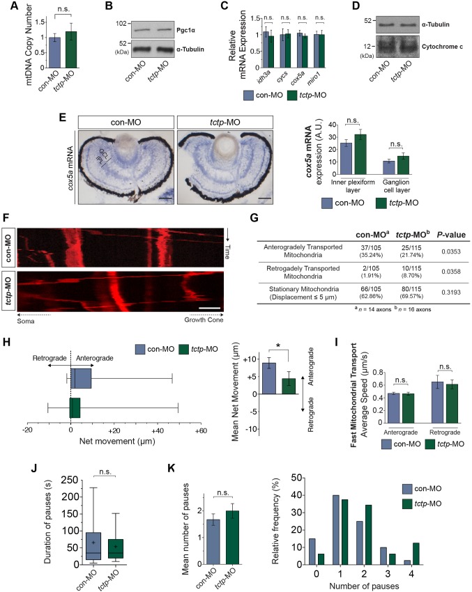
Fig. 7. Altered mitochondrial dynamics in Tctp-depleted axons. (A) Ratio of mitochondrial to nuclear DNA determined by qPCR in control and Tctp-depleted retinas. Mean±95% confidence interval; n=7 paired retinas per condition; P=0.23, Mann–Whitney test. (B) Tctp morphants show unaltered Pgc1α expression levels in the CNS as evaluated by western blot analysis of stage 37/38 embryos using an anti-Pgc1α antibody. n=3 independent samples; P=0.5955, unpaired t-test. (C) Tctp morphants show unaltered expression of mitochondria-related genes as assessed by RT-qPCR using eye RNA extracts. Mean±95% confidence interval; n=9 retinas per condition, Mann–Whitney test. (D) Tctp morphants show unaltered cytochrome c expression levels in the CNS, as evaluated by western blot analysis of stage 37/38 embryos using an anti-cytochrome c antibody. n=3 independent samples; P=0.5989, unpaired t-test. (E) Control and Tctp-depleted RGCs have similar levels of cox5a expression. Mean±s.e.m.; n=∼20. GCL, P=0.2026; IPL, P=0.2668; Mann–Whitney test. (F) Representative kymographs (time-space plots) of MitoTracker-labelled RGC axonal mitochondria in control and Tctp morphant backgrounds. The vertical and horizontal axes represent time and spatial position, respectively (e.g. a vertical line indicates a stationary mitochondrion). (G) Summary of changes in axonal mitochondrial dynamics (statistical significance determined using Fisher's exact test). (H) Relative mitochondrial motility and mean net movement in control and Tctp-depleted RGC axons. Box plot whiskers indicate 5th-95th percentile. Right: Mean±s.e.m.; *P<0.0117, Mann–Whitney test. (I) Analysis of fast mitochondrial transport. Mean±s.e.m.; anterograde direction, P=0.9468; retrograde direction, P=0.7308; Mann–Whitney test. (J) Average duration of mitochondrial pauses in control and Tctp-depleted RGC axons. Box plot whiskers indicate 5-95 percentile and ‘+’ the mean; P=0.902, Mann–Whitney test. Permanently stationary mitochondria were excluded from this analysis. (K) Average number and frequency distributions of mitochondrial pauses. Mean±s.e.m.; P=0.317, Mann–Whitney test. Scale bars: 50 μm in E; 5 μm in F. n.s., not significant. |
|
|
Fig. 8. Axonal Tctp interacts with pro-survival Mcl1. (A) Coronal section of stage 43 retina probed with an anti-Mcl1 antibody and counterstained with DAPI. (B,C) PLA signal for Tctp and Mcl1 in cultured rat cortical neurons (E18.5+3 DIV) counterstained with DAPI and phalloidin. The boxed areas are enlarged beneath. In C, anti-Mcl1 serum and blocking peptide were co-incubated before proceeding with the assay. (D) Representative control and Tctp morphant RGC growth cones stained for P53. Mean±s.e.m.; n, number of growth cones analysed; ***P=0.0002, unpaired t-test. (E) Representative control and Tctp morphant RGC growth cones stained with an antibody that specifically recognises the cleaved (activated) form of Caspase-3. Mean±s.e.m.; n, number of growth cones analysed; ***P=0.0002, unpaired t-test. Scale bars: 50 μm in A; 10 μm in B,C; 5 μm in D,E. |
|
|
Fig. 9. Tctp regulates axon development via its anti-apoptotic effects. (A-C) Lateral view of DiI-filled retinotectal projections in con-MO-injected or mcl1-MO-injected stage 40 embryos. Dashed lines approximate the boundary of the optic tectum; arrowhead denotes a region of the tract with outgrowth defects; asterisks mark beaded axons, suggestive of degenerating axons; boxed region in C shows axon misprojections into the telencephalon and diencephalon. Panels to the right show enlarged images. The boxed area in C is centred in the ventral optic tract. (D) Mean (±s.e.m.) optic tract width in con-MO-injected and mcl1-MO-injected embryos. C2, **P<0.01, two-way ANOVA. C2-7 denote imaginary, evenly spaced hemi-circumferences centred on the optic chiasm. (E) Relative projection lengths in control and Mcl1 morphant backgrounds. Mean±s.e.m.; n, number of brains analysed; n.s., not significant; Mann–Whitney test. (F) Summary of phenotypic changes in Mcl1 morphant projections (statistical significance determined using Fisher's exact test). (G) Co-delivery of tctp-MO and tctp40-172 mRNA, which encodes a truncated Tctp protein devoid of anti-apoptotic activity, fails to rescue the effects of Tctp depletion on the development of the retinotectal projection. (H) Relative projection lengths in embryos injected with con-MO, tctp-MO or tctp-MO+truncated tctp40-172 mRNA. Mean±s.e.m.; n, number of brains analysed; *P=0.008, Kruskal–Wallis test. (I) Mean (±s.e.m.) optic tract widths. con-MO versus tctp-MO+truncated tctp40-172 mRNA, *P<0.05 (C2), *P<0.05 (C3), *P<0.05 (C4), **P<0.01 (C5), *P<0.05 (C6), two-way ANOVA with Bonferroni correction. Scale bars: 50 μm. |
|
|
Figure S1. tctp mRNA expression in the developing frog embryo. (A and B) In situ hybridization detection of tctp and pax6 mRNA expression on coronal sections of stage 43 embryos. The boxed areas, which mark the lateral surface of the mesencephalon through where retinal ganglion cell axons pass en route to the optic tectum, their synaptic target, are shown at a higher amplification in (A’) and (B’). (C) Continues Fig. 1D,E: Quantitative in situ hybridization detection of tctp mRNA expression in the RGC axonal and growth cone compartments was performed using stage 32 eye explants grown in vitro for 24 hours. Here, an additional control is shown – the hybridization signal obtained with labelled tctp mRNA was eliminated by competition using an 5:1 excess amount of unlabelled tctp antisense oligonucleotide probes. Quantification of mean fluorescence intensity is also presented (mean ± SEM; *** P < 0.0001, one-way ANOVA and Bonferroni); ‘sense’ fluorescence signal was used for normalization purposes. (D) Micrographs of the laser-capture microdissection procedure. (E) First 25 nucleotides of the Xenopus laevis tctp 5’UTR. As noted, the 5’UTR of tctp transcripts starts with a canonical 5’-terminal oligopyrimidine (TOP) motif, a typical feature of transcripts selectively regulated at the translational level by mTORC1. Scale bars: 100 μm in (A) and (B), 5 μm in (C), 200 μm in (D). |
|
|
Figure S2. Morphological characterization of Tctp knockdowns. (A and B) Micrographs of stage 39 con-MO- or tctp-MO-injected embryos. Albeit with smaller eyes, Tctp morphants appear morphologically normal, and their development progresses at comparable rates relative to con-MO-injected tadpoles. (C) Plot of eye size measurements (mean ± SEM; ** P < 0.0063, unpaired t-test). (D) Plot of body length (anteroposterior axis) measurements (mean ± SEM; n.s. P < 0.8614, unpaired t-test). (E) The normalization of Tctp protein expression levels was evaluated by Western blot after a morpholino-resistant tctp transgene was co-injected with tctp-MO. Protein extracts were prepared from stage 37/38 embryos. (F) Complements Fig. 2I: Summary of the statistical analysis examining the effect of normalizing Tctp expression levels on the development of Tctp-depleted projections. (G) Complements Fig. 3D-H: Summary of the statistical analysis performed to evaluate the impact of Tctp deficiency on the length of the retinotectal projection. Scale bars: 110 μm. |
|
|
Figure S3. Tctp deficiency impairs axon extension in vivo. (A and B) Coronal sections of stage 43 control or Tctp-depleted retinas probed for Glutamate decarboxylase (GAD65/67) and Calretinin, two cell-type-specific markers (GAD65/67 and Calretinin antisera detect GABAergic amacrine cells, and retinal ganglion cell/bipolar cells, respectively). (C and D) TUNEL staining on stage 43 control or Tctp-depleted retinas. The number of TUNEL-positive cells in the ganglion cell layer was found to be increased in Tctp morphants (mean ± SEM; n > 30 embryos for both backgrounds; *** P < 0.0001, unpaired t-test). (GCL: ganglion cell layer, approximated by the dashed outline). The boxed areas are shown at a higher amplification in the bottom panels. (E) Plot showing the average extension rates measured from time-lapse recordings of RGC axons coursing normally (i.e. without guidance errors) through the ventral optic tract (VOT) and dorsal optic tract (DOT) in controls and Tctp morphants (mean ± SEM; n = no. of axons analysed; VOT: *** P < 0.0001, unpaired t-test; DOT: * P < 0.0159, unpaired t-test). Scale bars: 50 μm. |
|
|
Figure S4. Tctp knockdown compromises axonal mitochondrial function. (A) Stage 32 control and Tctp morphant eye explants were grown in vitro for 24 hours and incubated with MitoTracker to visualize mitochondria. The plot shown here represents the average number of axonal mitochondria found in con-MO- or tctp-MO-positive retinal ganglion cells (boxplot: whiskers cover 5-95 percentile, ‘+’ denotes the mean value; n = no. of axons analysed; *** P < 0.0001, Mann-Whitney test). (B) Plot of axonal mitochondrial length in control and Tctp-depleted retinal ganglion cells (boxplot: whiskers cover 5-95 percentile, ‘+’ denotes the mean value; n = no. of axons analysed; n.s., P = 0.7960, Mann-Whitney test). (C-E) Normal pgc1a expression in HCT116 cells deficient for Tctp. The rational for applying this seemingly indirect approach is not immediate. We knew a priori that basal P53 levels were elevated in tctp+/- mice (Amson et al., 2012) and that the expression of pgc1a was repressed by the activation of P53 in the context of telomere dysfunction (Sahin et al., 2011). Since the mitochondrial traits identified in Tctp morphants were reminiscent of dysfunctional Pgc1α activity (Wareski et al., 2009), we hypothesised that the activation of P53 in Tctp-deficient backgrounds could result in mitochondrial dysfunction due to its repression of pgc1a expression. Hence the strategy used here, for it allowed us to evaluate the expression of pgc1a at the transcriptional level. (C) The promoter region of human pgc1a (2.8 kb) was cloned upstream of the luciferase gene cassette and stably transfected into tctp or control shRNA-infected HCT116 cells. Subsequently, lysates of tctp or control shRNA-infected HCT116 cells were run on a SDS-PAGE gel and Tctp protein expression verified by western blot. Tctp expression knockdown was as high as 85% in these cells (D). We show in (E) a plot of the average relative light units (RLU) measured in cells co-transfected with pgc1a-luc and a control plasmid (mean ± SEM; six biological replicates of tctp-shRNA-infected cells were measured in triplicate in the two independent rounds of experiments conducted; *** P = 0.5544, one-way ANOVA). (F) Quantitative analysis of mitochondrial transport velocities. Population-wide study of mitochondrial velocities (excluding stationary organelles) suggests that no significant differences exist between control and Tctp-depleted axons, in agreement with the dataset shown in Fig. 7I (mean ± s.e.m.; anterograde direction: n.s., P = 0.9941; retrograde direction: n.s., P = 0.9371; statistical analyses used Mann-Whitney test). |
|
|
Figure S5. Pro-survival Mcl1 is expressed in the axonal compartment. (A) Complements Fig. 8A: Optic nerve head (ONH) region of a stage 43 wild-type retina (coronal section) probed for Mcl1 and counterstained with DAPI. Mcl1 was detected in the optic fiber layer and the optic nerve head, indicating that, like Tctp, this protein localizes to retinal ganglion cell axons in vivo. (B) Complements Fig. 8A: Outer nuclear layer of a stage 43 wild-type retina (coronal section) probed for Mcl1 and Rhodopsin, and counterstained with DAPI. Similar to Tctp, Mcl1 was detected in the inner segment of photoreceptors. (C and D) Cultured rat cortical neurons (E18.5 + 3DIV) stained for Mcl1 or Tctp, and counterstained with Phalloidin. Scale bars: 25 μm in (A), (C) and (D), 10 μm in (B). |
|
|
Figure S6. Axonal Tctp interacts with pro-survival Mcl1. (A) PLA signal (green) obtained using anti-Tctp and anti-Mcl1 sera in control- or tctp-shRNA-infected HCT116 cells, counterstained with DAPI (blue) and phalloidin (red). (B) PLA signal obtained using anti-Tctp and anti-Mcl1 sera in cultured rat cortical neurons (E18.5 + 14 DIV), counterstained with DAPI and phalloidin. (C) PLA signal obtained using anti-Tctp and anti-Mcl1 sera in cultured rat cortical neurons (E18.5 + 3 DIV), counterstained with MitoTracker. Arrowheads denote PLA positive puncta co-localizing with mitochondria. The bottom three panels are centred on a distal region of the neurite. The data indicates that approximately 5-10% of Tctp-Mcl1 PLA puncta co-localize with mitochondria in neurites. This is in agreement with observations by Yang and colleagues who found by immunocytochemistry means that Tctp and Bcl-XL partially co-localize not only in mitochondria but also in the cytosol (Yang et al., 2005). It is noteworthy that while anti-apoptotic Bcl-2 family proteins are generally integrated within the outer mitochondrial membrane, they can also be found in the cytosol or in the endoplasmic reticulum membrane (Chipuk et al., 2010). Furthermore, pro-apoptotic Bax, whose homodimerization in the outer mitochondrial membrane is prevented by Tctp (Susini et al., 2008), is usually cytosolic (Chipuk et al., 2010). Likewise, the cellular localization of Tctp is mainly cytoplasmic in healthy cells (Bommer and Thiele, 2004; Gachet et al., 1999; Yang et al., 2005). One possibility is that Tctp shuttles between the cytosol and the outer mitochondrial membrane in non-apoptotic conditions. (D) Stage 43 Mcl1-depleted retina probed with anti-Opsin antibody, counterstained with phalloidin and DAPI. Signs of morphological disruption were not detected on examination of the retina in Mcl1 morphants, suggesting that the mcl1-MO does not elicit widespread toxicity. Scale bars: 5 μm in (A), 10 μm in (B) and (C), 50 μm in (D). |
|
|
Figure S7. Degenerating retinal ganglion cell axons in Tctp morphant projections. (A) Schematic representation of the experiment. con-MO- or tctp-MO-injected stage 28 embryos were electroporated with gap-RFP to label retinal axons and allowed to develop until stage 40 before in vivo brain imaging. (B) Percentage of retinal ganglion cell axons classified as degenerating in controls and Tctp morphants (mean ± SEM; n = no. of axons analysed; * P < 0.0418, unpaired t-test). (C) Time-lapse images of Tctp-depleted retinal ganglion cell axons coursing through the optic tract. Dashed lines indicate the boundary of the optic tectum. Arrowheads indicate a degenerating axon, as suggested by its beaded morphology. Note that this axon has not yet reached the optic tectum; thus, it is unlikely that such effect is elicited by normally occurring pruning mechanisms. (D) Time-lapse images of Tctp-depleted retinal ganglion cell axons coursing through the optic tract. Dashed lines indicate the boundary of the optic tectum. Arrowhead indicates a degenerating axon with a retracting behaviour. Scale bars: 10 μm. |
|
|
Figure S8. Axonal Tctp interacts with Mcl1-related Bcl-XL. (A) Cultured rat cortical neurons (E18.5 + 3DIV) stained for Bcl-XL, and counterstained with Phalloidin. (B) PLA signal obtained using anti-Tctp and anti- Bcl-XL sera in cultured rat cortical neurons (E18.5 + 14 DIV), counterstained with DAPI and phalloidin. (C) Co-delivery of tctp-MO and tctp40-172 mRNA, encoding a truncated Tctp protein devoid of anti-apoptotic activity, fails to rescue the effects of Tctp depletion on the development of the retinotectal projection. Number of embryos displaying axon extension defects (‘tctp-MO’ versus ‘tctp-MO + tctp40-172 mRNA’: n.s., P = 1.00; Fisher’s exact test, performed on number of observations but plotted as percentages). Scale bars: 25 μm in (A), 10 μm in (B). |
References [+] :
Agathocleous, Metabolic differentiation in the embryonic retina. 2012, Pubmed , Xenbase
Alexander, OPA1, encoding a dynamin-related GTPase, is mutated in autosomal dominant optic atrophy linked to chromosome 3q28. 2000, Pubmed
Amson, Reciprocal repression between P53 and TCTP. 2011, Pubmed
Andreassi, An NGF-responsive element targets myo-inositol monophosphatase-1 mRNA to sympathetic neuron axons. 2010, Pubmed
Ashrafi, Mitophagy of damaged mitochondria occurs locally in distal neuronal axons and requires PINK1 and Parkin. 2014, Pubmed
Bao, mTOR and differential activation of mitochondria orchestrate neutrophil chemotaxis. 2015, Pubmed
Bassell, Sorting of beta-actin mRNA and protein to neurites and growth cones in culture. 1998, Pubmed
Bazile, Complex relationship between TCTP, microtubules and actin microfilaments regulates cell shape in normal and cancer cells. 2009, Pubmed , Xenbase
Benndorf, Growth phase-dependent proteins of the Ehrlich ascites tumor analyzed by one- and two-dimensional electrophoresis. 1988, Pubmed
Biankin, Pancreatic cancer genomes reveal aberrations in axon guidance pathway genes. 2012, Pubmed
Böhm, The growth-related protein P23 of the Ehrlich ascites tumor: translational control, cloning and primary structure. 1989, Pubmed
Brioudes, Translationally controlled tumor protein is a conserved mitotic growth integrator in animals and plants. 2010, Pubmed
Campbell, Apoptotic pathway and MAPKs differentially regulate chemotropic responses of retinal growth cones. 2003, Pubmed , Xenbase
Campbell, Local caspase activation interacts with Slit-Robo signaling to restrict axonal arborization. 2013, Pubmed
Chen, bcl-2 overexpression reduces apoptotic photoreceptor cell death in three different retinal degenerations. 1996, Pubmed
Chen, A knockout mouse approach reveals that TCTP functions as an essential factor for cell proliferation and survival in a tissue- or cell type-specific manner. 2007, Pubmed
Czabotar, Control of apoptosis by the BCL-2 protein family: implications for physiology and therapy. 2014, Pubmed
Delettre, Nuclear gene OPA1, encoding a mitochondrial dynamin-related protein, is mutated in dominant optic atrophy. 2000, Pubmed
Di Giammartino, Mechanisms and consequences of alternative polyadenylation. 2011, Pubmed
Falk, Electroporation of cDNA/Morpholinos to targeted areas of embryonic CNS in Xenopus. 2007, Pubmed , Xenbase
Fountoulakis, The rat liver mitochondrial proteins. 2002, Pubmed
Gumy, Transcriptome analysis of embryonic and adult sensory axons reveals changes in mRNA repertoire localization. 2011, Pubmed
Hilton, Bcl-2 influences axonal growth rate in embryonic sensory neurons. 1997, Pubmed
Holt, Order in the initial retinotectal map in Xenopus: a new technique for labelling growing nerve fibres. 1983, Pubmed , Xenbase
Hsu, Drosophila TCTP is essential for growth and proliferation through regulation of dRheb GTPase. 2007, Pubmed
Kaarbø, TCTP is an androgen-regulated gene implicated in prostate cancer. 2013, Pubmed
Kamath, Systematic functional analysis of the Caenorhabditis elegans genome using RNAi. 2003, Pubmed
Kim, Decreased brain histamine-releasing factor protein in patients with Down syndrome and Alzheimer's disease. 2001, Pubmed
Kim, Dimerization of TCTP and its clinical implications for allergy. 2013, Pubmed
Lathrop, Mitochondrial Dynamics in Retinal Ganglion Cell Axon Regeneration and Growth Cone Guidance. 2013, Pubmed
Leu, Mitochondrial p53 activates Bak and causes disruption of a Bak-Mcl1 complex. 2004, Pubmed
Leung, Coupling of NF-protocadherin signaling to axon guidance by cue-induced translation. 2013, Pubmed , Xenbase
Leung, Asymmetrical beta-actin mRNA translation in growth cones mediates attractive turning to netrin-1. 2006, Pubmed , Xenbase
Leung, Live visualization of protein synthesis in axonal growth cones by microinjection of photoconvertible Kaede into Xenopus embryos. 2008, Pubmed , Xenbase
Liu, Stabilization and enhancement of the antiapoptotic activity of mcl-1 by TCTP. 2005, Pubmed
Lo, miR-27b-regulated TCTP as a novel plasma biomarker for oral cancer: from quantitative proteomics to post-transcriptional study. 2012, Pubmed
MacDonald, Molecular identification of an IgE-dependent histamine-releasing factor. 1995, Pubmed
Marks, Mitochondrial nitric oxide mediates decreased vulnerability of hippocampal neurons from immature animals to NMDA. 2005, Pubmed
Martin, mRNA localization: gene expression in the spatial dimension. 2009, Pubmed
Mehlen, Novel roles for Slits and netrins: axon guidance cues as anticancer targets? 2011, Pubmed
Miao, TCTP overexpression is associated with the development and progression of glioma. 2013, Pubmed
Miller, Axonal mitochondrial transport and potential are correlated. 2004, Pubmed
Mori, Expression of apoptosis inhibitor protein Mcl1 linked to neuroprotection in CNS neurons. 2004, Pubmed
Nir, Expression of Bcl-2 protects against photoreceptor degeneration in retinal degeneration slow (rds) mice. 2000, Pubmed
Nunnari, Mitochondria: in sickness and in health. 2012, Pubmed
Ohsawa, Maturation of the olfactory sensory neurons by Apaf-1/caspase-9-mediated caspase activity. 2010, Pubmed
Ong, Exome sequencing of liver fluke-associated cholangiocarcinoma. 2012, Pubmed
Pagano, Oxidative stress and mitochondrial dysfunction in Down syndrome. 2012, Pubmed
Pasquale, Eph receptors and ephrins in cancer: bidirectional signalling and beyond. 2010, Pubmed
Pease, Preserve and protect: maintaining axons within functional circuits. 2014, Pubmed
Perry, Subcellular knockout of importin β1 perturbs axonal retrograde signaling. 2012, Pubmed
Rezaul, A systematic characterization of mitochondrial proteome from human T leukemia cells. 2005, Pubmed
Rho, Anti-apoptotic protein TCTP controls the stability of the tumor suppressor p53. 2011, Pubmed
Rintoul, Glutamate decreases mitochondrial size and movement in primary forebrain neurons. 2003, Pubmed
Shamas-Din, Mechanisms of action of Bcl-2 family proteins. 2013, Pubmed
Sheng, Mitochondrial transport in neurons: impact on synaptic homeostasis and neurodegeneration. 2012, Pubmed
Söderberg, Direct observation of individual endogenous protein complexes in situ by proximity ligation. 2006, Pubmed
Susini, TCTP protects from apoptotic cell death by antagonizing bax function. 2008, Pubmed
Tamagnone, Emerging role of semaphorins as major regulatory signals and potential therapeutic targets in cancer. 2012, Pubmed
Taylor, Axonal mRNA in uninjured and regenerating cortical mammalian axons. 2009, Pubmed
Tessier-Lavigne, The molecular biology of axon guidance. 1996, Pubmed
Thébault, TCTP contains a BH3-like domain, which instead of inhibiting, activates Bcl-xL. 2016, Pubmed
Thiele, Expression of the gene and processed pseudogenes encoding the human and rabbit translationally controlled tumour protein (TCTP). 2000, Pubmed
Tsuchiya, Anti-apoptotic activity and proteasome-mediated degradation of Xenopus Mcl-1 protein in egg extracts. 2011, Pubmed , Xenbase
Tuynder, Biological models and genes of tumor reversion: cellular reprogramming through tpt1/TCTP and SIAH-1. 2002, Pubmed
Vaseva, The mitochondrial p53 pathway. 2009, Pubmed
Wallace, Mitochondrial DNA mutation associated with Leber's hereditary optic neuropathy. 1988, Pubmed
Wareski, PGC-1{alpha} and PGC-1{beta} regulate mitochondrial density in neurons. 2009, Pubmed
Wright, Photoreceptor degeneration: genetic and mechanistic dissection of a complex trait. 2010, Pubmed
Yang, An N-terminal region of translationally controlled tumor protein is required for its antiapoptotic activity. 2005, Pubmed
Yang, Preventing retinal detachment-associated photoreceptor cell loss in Bax-deficient mice. 2004, Pubmed
Yenofsky, Messenger RNA species partially in a repressed state in mouse sarcoma ascites cells. 1982, Pubmed
Yoon, Local translation of extranuclear lamin B promotes axon maintenance. 2012, Pubmed , Xenbase
Zala, Vesicular glycolysis provides on-board energy for fast axonal transport. 2013, Pubmed
Zhang, Physical and functional interaction between myeloid cell leukemia 1 protein (MCL1) and Fortilin. The potential role of MCL1 as a fortilin chaperone. 2002, Pubmed
Zhang, Microarray analysis of perichondral and reserve growth plate zones identifies differential gene expressions and signal pathways. 2008, Pubmed
Zhang, Role of the translationally controlled tumor protein in DNA damage sensing and repair. 2012, Pubmed
Zivraj, Subcellular profiling reveals distinct and developmentally regulated repertoire of growth cone mRNAs. 2010, Pubmed , Xenbase
