Click here to close
Hello! We notice that you are using Internet Explorer, which is not supported by Xenbase and may cause the site to display incorrectly.
We suggest using a current version of Chrome,
FireFox, or Safari.
Greatwall dephosphorylation and inactivation upon mitotic exit is triggered by PP1.
Ma S
,
Vigneron S
,
Robert P
,
Strub JM
,
Cianferani S
,
Castro A
,
Lorca T
.
???displayArticle.abstract???
Entry into mitosis is induced by the activation of cyclin-B-Cdk1 and Greatwall (Gwl; also known as MASTL in mammals) kinases. Cyclin-B-Cdk1 phosphorylates mitotic substrates, whereas Gwl activation promotes the phosphorylation of the small proteins Arpp19 and ENSA. Phosphorylated Arpp19 and/or ENSA bind to and inhibit PP2A comprising the B55 subunit (PP2A-B55; B55 is also known as PPP2R2A), the phosphatase responsible for cyclin-B-Cdk1 substrate dephosphorylation, allowing the stable phosphorylation of mitotic proteins. Upon mitotic exit, cyclin-B-Cdk1 and Gwl kinases are inactivated, and mitotic substrates are dephosphorylated. Here, we have identified protein phosphatase-1 (PP1) as the phosphatase involved in the dephosphorylation of the activating site (Ser875) of Gwl. Depletion of PP1 from meioticXenopusegg extracts maintains phosphorylation of Ser875, as well as the full activity of this kinase, resulting in a block of meiotic and mitotic exit. By contrast, preventing the reactivation of PP2A-B55 through the addition of a hyperactive Gwl mutant (GwlK72M) mainly affected Gwl dephosphorylation on Thr194, resulting in partial inactivation of Gwl and in the incomplete exit from mitosis or meiosis. We also show that when PP2A-B55 is fully reactivated by depleting Arpp19, this protein phosphatase is able to dephosphorylate both activating sites, even in the absence of PP1.
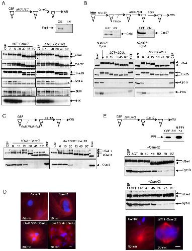
Fig. 1.
PP2A-B55 and PP1, but not Fcp1, are required for correct meiotic exit. (A) CSF extracts were first used for immunodepletion with control (ΔCT) or anti-Fcp1 antibodies (ΔFcp1), and subsequently forced to exit meiosis by CamK2 addition. Immunodepletion efficacy of Fcp1 antibodies is shown by western blotting (WB) of CSF extracts and supernatants (SN). Dephosphorylation of endogenous Gwl (xGwl), Cdc27 and Cdc25 was determined by western blotting at the indicated times after CamK2 addition by changes in the mobility shift of these proteins (unphosphorylated proteins migrate more quickly). Phosphorylation of MAPK (also known as Mapk1) was checked by using anti-phospho-Erk antibodies (pErk). Cyclin B (Cyc B) degradation and cyclin-B–Cdk1 activity (H1K) are also shown. (B) Interphase extracts were immunodepleted of Cdc27, and mitotic entry was then induced by the addition of human cyclin A (30 nM final concentration). After 40 min, a sample of this extract was recovered to check substrate phosphorylation (ΔCdc27+CycA). Extracts were then first depleted with control antibody or an anti-Fcp1 antibody, and subsequently depleted of Cdks (ΔCdk) activity by immunodepletion. Samples were recovered at the indicated timepoints, and the phosphorylation of endogenous Gwl (xGwl) and Cdc25, as well as the levels of cyclin B and the activity of cyclin-B–Cdk1, were examined. Efficacy of immunodepletion with antibodies against Cdc27 and Cdk1 is shown. (C) CSF extracts were supplemented with the wild-type (hGwl) or the K72M mutant form of human Gwl (GwlK72M) (0.1 µg in 10 µl of CSF extracts), and mitotic exit was then promoted by CamK2 addition. The levels of phosphorylation of endogenous (xGwl) and ectopic (hGwl) Gwl proteins, and the stability of cyclin B, were assessed by western blot. The amount of endogenous cyclin B and xGwl from 1 µl of an interphase egg extract prepared 40 min after ionophore addition in shown. (D) Sperm nuclei and tubulin–Rhodamine were added to CSF extracts that had been supplemented or not with GwlK72M. After 60 min, a constitutive form of CamK2 was added to promote CSF exit. After fixation of the samples (60 and 80 min after CamK2 addition) with 1% formaldehyde containing DAPI (1 µg/ml), a 1 µl sample was used to visualise chromatin condensation and spindle formation with light microscopy. Scale bar: 15 µm. (E) CSF extracts were depleted (ΔPP1) or not of PP1 and supplemented with CamK2 in order to induce mitotic exit. Samples were removed at the indicated times, and Gwl phosphorylation and cyclin B degradation were monitored by western blotting. PP1 or control depletions were obtained by using a pulldown approach in CSF extracts that had been supplemented with a control His6-tagged protein or a His6-tagged protein containing the PP1-binding site of NIPP1 (NIPP1 PD). Efficacy of PP1 depletion is shown. Spindle formation and chromatin condensation in PP1-devoid extracts were observed by microscopy, as indicated in D, except that control depletion or depletion of PP1 instead of GwlK72M addition was performed. Scale bars: 10 µm. Inter, interphase egg extracts.
Fig. 2.
Preventing PP2A-B55 reactivation upon meiotic and mitotic exit promotes a substantial delay of the phosphorylation of Gwl on Thr194. (A) 20 µl of CSF extracts were supplemented with wild-type Gwl recombinant kinase (hGwl; 1 µg). After 20 min, extracts were supplemented with CamK2, and samples were recovered at the indicated timepoints to study the dephosphorylation of Gwl on Ser875 (GwlpSer875) and Thr194 (GwlpThr194) with phospho-specific antibodies. Cyclin B (cyc B) stability, phosphorylation of PP1 on Thr320 (PP1pThr320) and levels of the ectopic human Gwl forms (hGwl) are also shown. (B) 20 µl of CSF extracts were supplemented with either wild-type (hGwl) or GwlK72M recombinant proteins (1 µg), or with 5 µl of CSF extracts in which the mRNA of the GwlK72M T194A double mutant had been translated. After CamK2 addition, samples were taken to check dephosphorylation of Gwl on Ser875 and Thr194, cyclin B stability, cyclin-B–Cdk1 activity, phosphorylation of PP1 on Thr320 and the levels of the ectopic human Gwl. The activity of ectopic human Gwl (γ33Arpp19) was measured as indicated in Materials and Methods in CSF extracts that had been supplemented with hGwl or GwlK72M 60 min after CamK2 addition. (C) 2 µg of Thio-phosphorylated His–Arpp19 was added to 20 µl of CSF extracts and, after 20 min of incubation, ThioArpp19 was recovered by His-tag pull down. The levels of Arpp19 (ThioArpp19) and the PP2A B55 [PP2A (B55)] and C [PP2A(C)] subunits left in the supernatant were assessed by western blotting (WB). SN, supernatant. (D) The experiment described in A except that Thio-phosphorylated His–Arpp19 (2 μg for 20 μl of CSF extracts) instead of GwlK72M was added. (E) CSF extracts were supplemented with GwlK72M and CamK2, and submitted to a control depletion (ΔCT) or depletion of Arpp19 (ΔArpp19). Phosphorylation of the indicated residues of Gwl was analysed, as well as the ectopic Gwl levels, cyclin B degradation and cyclin-B–Cdk1 activity (H1K). Efficacy of Arpp19 depletion is shown. (F) Interphase extracts were devoid of Cdc27 (ΔCdc17; by immunodepletion) and induced to enter into mitosis by GwlK72M addition. After 40 min, extracts were first forced to exit mitosis by Cdk1 depletion and were subsequently depleted of Arpp19 (or not) by immunoprecipitation. Phosphorylation on Ser875 and Thr194 of Gwl, and on Thr320 of PP1, as well as ectopic GwlK72M and cyclin B levels and cyclin-B–Cdk1 activity are shown. Asterisks denote non-specific bands recognised by the antibodies. Inter, interphase.
Fig. 3.
PP1 depletion prevents Gwl inactivation upon meiotic exit by maintaining its phosphorylation on Ser875. (A) CSF extracts supplemented with human wild-type or K72M T194A double mutant (GwlK72M/T194A) forms of Gwl were devoid (ΔPP1) (or not) of PP1 after pull down using His6-tagged NIPP1 or control proteins prior to CamK2 addition, and the phosphorylation of the indicated sites of Gwl, as well as ectopic Gwl levels, cyclin B degradation and cyclin-B–Cdk1 activity, were assessed. Efficacy of PP1 depletion is shown. Activity of human Gwl (γ33Arpp19) was measured as described in Materials and Methods in CSF and interphase extracts and compared to the level obtained in CSF (depleted or not of PP1) 60 min after CamK2 addition. Time (min) after treatment is shown across the top of the blots. (B) CSF extracts supplemented with human wild-type Gwl were devoid (or not) of PP1 after pull down using inhibitor 2 (I2 PD) or control His6-tagged proteins prior to CamK2 addition, and the phosphorylation of the indicated residues of Gwl, as well as the ectopic Gwl levels, cyclin B degradation and cyclin-B–Cdk1 activity, were assessed. (C) PP1 pull down. The supernatant (SN) and the CSF extracts supplemented with His6–NIPP1-binding domain were assessed for the levels of PP1 and the A and C subunits of PP2A [PP2A(A) and PP2A(C), respectively]. IP, immunoprecipitation; WB, western blotting. Asterisks denote non-specific bands recognised by the antibodies.
Fig. 4.
PP1 is also involved in dephosphorylation of Ser875 on Gwl upon mitotic exit. (A) CSF extracts were first immunoprecipitated with anti-PP1 (ΔPP1) antibodies or with control (ΔCT) antibodies, and subsequently depleted of Gwl (ΔGwl). The phosphorylation of Cdc27, Cdc25, Tyr15 of Cdk1 (pTyr 15) and the levels of cyclin B (cyc B) and of H1K activity were monitored by western blotting (WB). (B) CSF extracts were depleted of PP1 and subsequently submitted to a control or Arpp19 (ΔArpp19) depletion. The phosphorylation of the two activating sites of Gwl, as well as the levels of ectopic Gwl, cyclin B and the activity of cyclin-B–Cdk1 (H1K) are shown. (C) Interphase extracts were depleted of Cdc27 and subsequently forced to enter into mitosis by the addition of cyclin A (hCycA). Extracts were then depleted (or not) of PP1, supplemented with hGwl and forced to exit mitosis by immunoprecipitation of Cdks (ΔCdks). Some of the PP1- and Cdk-depleted extract was subsequently depleted of Arpp19, and the phosphorylation on the different residues of Gwl, and the ectopic Gwl levels, cyclin B stability and H1K activity, were measured. hGwl activity was measured in extracts that had been depleted (or not) of PP1 60 min after Cdks immunoprecipitation and was compared to that obtained in CSF and interphase extracts that had been supplemented with the same amount of this ectopic kinase. Asterisks denote non-specific bands recognised by the antibodies. Int, Inter, interphase egg extracts.
Fig. 5.
PP1 and PP2A-B55 both dephosphorylate Gwl on Thr194 and Ser875 in vitro. (A) Interphase extracts were depleted of Cdc27, supplemented with GwlK72M, depleted of PP1 (ΔPP1) and Cdks (ΔCdks) by immunoprecipitation, and finally depleted (or not) of Arpp19. Phosphorylation of Ser875 and Thr194 of Gwl, as well as ectopic Gwl levels (hGwl), the stability of cyclin B (cyc B) and cyclin-B–Cdk1 activity (H1K) are shown. Asterisks denote non-specific bands recognised by the antibodies. (B) Phosphorylated hGwl and active PP2A were obtained by GST pull down and immunoprecipitation from CSF and interphase extracts, respectively, and incubated together with or without ThioArpp19 at room temperature for a dephosphorylation assay. Samples were recovered at the indicated times (min) and monitored for phosphorylation of Gwl on Ser875 and Thr194. Protein levels of Gwl and the PP2A A [PP2A(A)] and C [PP2A(C)] subunits were also assessed. (C) A dephosphorylation assay was performed as described in B, except that active PP1 was obtained by His pull down from interphase extracts that had been supplemented with ectopic His6–PP1 and the NIPP1 inhibitor instead of ThioArpp19. (D) Working model showing the mechanisms by which cyclin B degradation promotes Gwl inactivation and mitotic exit. Full arrows represents active pathway in mitotic exit; dashed arrows represent inactive pathways in mitotic exit. ‘A’, PP2A subunit A; B55, B55 subunit of PP2A; ‘C’, PP2A subunit C; P, phosphate group.
Figure S1: GwlK72M displays increased Arpp19 phosphorylation activity
compared to wild type human Gwl (hGwl). Equal amounts (300 ng) of recombinant
GST-hGwl and GST-GwlK72M were mixed with 20 µl of phosphorylation mix, 1µg of
His-Arpp19 and 2 µCi [γ33]ATP. Thirty minutes later reactions were stopped by adding
Laemmli sample buffer and submitted to SDS-PAGE. High molecular weight part of
the gel was used for western blot analysis with anti-Gwl antibodies whereas low
molecular weight part was first stained with Coomassie blue to visualise Arpp19 levels
and subsequently used for autoradiography.