Click here to close
Hello! We notice that you are using Internet Explorer, which is not supported by Xenbase and may cause the site to display incorrectly.
We suggest using a current version of Chrome,
FireFox, or Safari.
???displayArticle.abstract???
Vertebrate neurogenesis requires inhibition of endogenous bone morphogenetic protein (BMP) signals in the ectoderm. Blocking of BMPs in animal cap explants causes the formation of anterior neural tissues as a default fate. To identify genes involved in the anterior neural specification, we analyzed gene expression profiles using a Xenopus Affymetrix Gene Chip after BMP-4 inhibition in animal cap explants. We found that the xCyp26c gene, encoding a retinoic acid (RA) degradation enzyme, was upregulated following inhibition of BMP signaling in early neuroectodermal cells. Whole-mount in situ hybridization analysis showed that xCyp26c expression started in the anterior region during the early neurula stage. Overexpression of xCyp26c weakly induced neural genes in animal cap explants. xCyp26c abolished the expression of all trans-/cis-RA-induced posterior genes, but not basic FGF-induced posterior genes. Depletion of xCyp26c by morpholino-oligonucleotides suppressed the normal formation of the axis and head, indicating that xCyp26c plays a critical role in the specification of anterior neural tissue in whole embryos. In animal cap explants, however, xCyp26c morpholinos did not alter anterior-to-posterior neural tissue formation. Together, these results suggest that xCyp26c plays a specific role in anterior-posterior (A-P) neural patterning of Xenopus embryos.
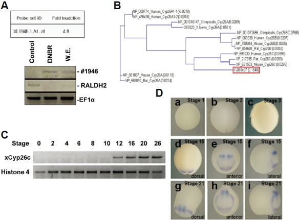
Fig. 1. Induction of xCyp26c by blocking BMP in animal cap explants and the expression pattern of xCyp26c in whole embryos. (A) Selection of the ‘Xl.1946.1.A1_at’ gene induced by DNBR in a cDNA microarray. The expression of ‘Xl.1946.1.A1_at’ was confirmed by RT-PCR. (B) Phylogenetic relationships among the xCYP26 proteins. (C) Developmental expression of xCyp26c. RT-PCR analysis was performed at various stages, as indicated (Nieuwkoop and Faber, 1956). Histone 4 or EF1α serve as an RNA loading control. (D) Spatial expression patterns of xCyp26c. Whole-mount in situ hybridization analysis of xCyp26c was performed during oocyte to tail bud stages. Views of whole embryos at the stages are indicated on top of each column. xCyp26c was expressed in the presumptive anterior neural ectoderm, and the expression continued to the tail bud stage.
Fig. 2. Induction of neural genes by overexpression of xCyp26c in animal cap explants. Xenopus embryos at the one cell stage or two-cell stage were injected in the animal pole with xCyp26c mRNA. Animal caps were dissected from the injected embryos at stages 8–9 and cultured to stage 12 (A) or 24 (B). RT-PCR was then performed to detect expression of the indicated genes. EF1α serves as a RNA loading control.
Fig. 3. Inhibition of all-trans and 9-cis retinoic acid-induced posteriorization by overexpression of xCyp26c in animal cap explants. xCyp26c was injected with DNBR, and animal caps were treated with all-trans retinoic acid (AT-RA) (A), 9-cis retinoic acid (9cRA) (B), and basic FGF (bFGF) (C) at stage 8 and then cultured to stage 24. The expression pattern of marker genes were analyzed by RT-PCR.
Fig. 4. Inhibition of normal head and axis formation by depletion of endogenous xCyp26c. Morpholino activity was confirmed by Western blot. (B) Embryos injected with 40 ng of MO-xCyp26c did not have head structures and had short axis formation. (C) xCyp26c was injected with DNBR and animal caps were cultured to stage 24. Expression patterns of Otx2 and HoxB9 were analyzed by RT-PCR.
Abu-Abed,
The retinoic acid-metabolizing enzyme, CYP26A1, is essential for normal hindbrain patterning, vertebral identity, and development of posterior structures.
2001, Pubmed
Abu-Abed,
The retinoic acid-metabolizing enzyme, CYP26A1, is essential for normal hindbrain patterning, vertebral identity, and development of posterior structures.
2001,
Pubmed
Blumberg,
An essential role for retinoid signaling in anteroposterior neural patterning.
1997,
Pubmed
,
Xenbase
Dale,
Bone morphogenetic protein 4: a ventralizing factor in early Xenopus development.
1992,
Pubmed
,
Xenbase
de Roos,
Expression of retinoic acid 4-hydroxylase (CYP26) during mouse and Xenopus laevis embryogenesis.
1999,
Pubmed
,
Xenbase
Doniach,
Basic FGF as an inducer of anteroposterior neural pattern.
1995,
Pubmed
Dosch,
Bmp-4 acts as a morphogen in dorsoventral mesoderm patterning in Xenopus.
1997,
Pubmed
,
Xenbase
Fujii,
Metabolic inactivation of retinoic acid by a novel P450 differentially expressed in developing mouse embryos.
1997,
Pubmed
Gamse,
Vertebrate anteroposterior patterning: the Xenopus neurectoderm as a paradigm.
2000,
Pubmed
,
Xenbase
Gavalas,
Retinoid signalling and hindbrain patterning.
2000,
Pubmed
Glinka,
Head induction by simultaneous repression of Bmp and Wnt signalling in Xenopus.
1997,
Pubmed
,
Xenbase
Graff,
Studies with a Xenopus BMP receptor suggest that ventral mesoderm-inducing signals override dorsal signals in vivo.
1994,
Pubmed
,
Xenbase
Harland,
Formation and function of Spemann's organizer.
1997,
Pubmed
Harland,
In situ hybridization: an improved whole-mount method for Xenopus embryos.
1991,
Pubmed
,
Xenbase
Hemmati-Brivanlou,
Ventral mesodermal patterning in Xenopus embryos: expression patterns and activities of BMP-2 and BMP-4.
1995,
Pubmed
,
Xenbase
Hemmati-Brivanlou,
Inhibition of activin receptor signaling promotes neuralization in Xenopus.
1994,
Pubmed
,
Xenbase
Hollemann,
Regionalized metabolic activity establishes boundaries of retinoic acid signalling.
1998,
Pubmed
,
Xenbase
Hwang,
Antimorphic PV.1 causes secondary axis by inducing ectopic organizer.
2002,
Pubmed
,
Xenbase
Hwang,
Active repression of organizer genes by C-terminal domain of PV.1.
2003,
Pubmed
,
Xenbase
Jones,
Establishment of a BMP-4 morphogen gradient by long-range inhibition.
1998,
Pubmed
,
Xenbase
Jones,
DVR-4 (bone morphogenetic protein-4) as a posterior-ventralizing factor in Xenopus mesoderm induction.
1992,
Pubmed
,
Xenbase
Kessler,
Vertebrate embryonic induction: mesodermal and neural patterning.
1994,
Pubmed
,
Xenbase
Knecht,
Mechanisms of dorsal-ventral patterning in noggin-induced neural tissue.
1997,
Pubmed
,
Xenbase
Kolm,
Xenopus hindbrain patterning requires retinoid signaling.
1997,
Pubmed
,
Xenbase
Kudoh,
Distinct roles for Fgf, Wnt and retinoic acid in posteriorizing the neural ectoderm.
2002,
Pubmed
Lee,
The function of heterodimeric AP-1 comprised of c-Jun and c-Fos in activin mediated Spemann organizer gene expression.
2011,
Pubmed
,
Xenbase
Lee,
Direct response elements of BMP within the PV.1A promoter are essential for its transcriptional regulation during early Xenopus development.
2011,
Pubmed
,
Xenbase
MacLean,
Cloning of a novel retinoic-acid metabolizing cytochrome P450, Cyp26B1, and comparative expression analysis with Cyp26A1 during early murine development.
2001,
Pubmed
Mason,
Neural induction: do fibroblast growth factors strike a cord?
1996,
Pubmed
Nebert,
Clinical importance of the cytochromes P450.
2002,
Pubmed
Ray,
CYP26, a novel mammalian cytochrome P450, is induced by retinoic acid and defines a new family.
1997,
Pubmed
Ruiz i Altaba,
Retinoic acid modifies the pattern of cell differentiation in the central nervous system of neurula stage Xenopus embryos.
1991,
Pubmed
,
Xenbase
Sakai,
The retinoic acid-inactivating enzyme CYP26 is essential for establishing an uneven distribution of retinoic acid along the anterio-posterior axis within the mouse embryo.
2001,
Pubmed
Schmidt,
Drosophila short gastrulation induces an ectopic axis in Xenopus: evidence for conserved mechanisms of dorsal-ventral patterning.
1995,
Pubmed
,
Xenbase
Sirbu,
Shifting boundaries of retinoic acid activity control hindbrain segmental gene expression.
2005,
Pubmed
Smith,
Dorsalization and neural induction: properties of the organizer in Xenopus laevis.
1983,
Pubmed
,
Xenbase
Summerton,
Morpholino antisense oligomers: design, preparation, and properties.
1997,
Pubmed
,
Xenbase
Suzuki,
A truncated bone morphogenetic protein receptor affects dorsal-ventral patterning in the early Xenopus embryo.
1994,
Pubmed
,
Xenbase
Tahayato,
Cyp26C1 encodes a novel retinoic acid-metabolizing enzyme expressed in the hindbrain, inner ear, first branchial arch and tooth buds during murine development.
2003,
Pubmed
Tanibe,
Retinoic acid metabolizing factor xCyp26c is specifically expressed in neuroectoderm and regulates anterior neural patterning in Xenopus laevis.
2008,
Pubmed
,
Xenbase
Wawersik,
Conditional BMP inhibition in Xenopus reveals stage-specific roles for BMPs in neural and neural crest induction.
2005,
Pubmed
,
Xenbase
White,
Identification of the retinoic acid-inducible all-trans-retinoic acid 4-hydroxylase.
1996,
Pubmed
Xu,
A dominant negative bone morphogenetic protein 4 receptor causes neuralization in Xenopus ectoderm.
1995,
Pubmed
,
Xenbase
Xu,
Studies on the role of fibroblast growth factor signaling in neurogenesis using conjugated/aged animal caps and dorsal ectoderm-grafted embryos.
1997,
Pubmed
,
Xenbase
Xu,
Opposite effects of FGF and BMP-4 on embryonic blood formation: roles of PV.1 and GATA-2.
1999,
Pubmed
,
Xenbase
Yoon,
PV.1 induced by FGF-Xbra functions as a repressor of neurogenesis in Xenopus embryos.
2014,
Pubmed
,
Xenbase
Yoon,
PV.1 suppresses the expression of FoxD5b during neural induction in Xenopus embryos.
2014,
Pubmed
,
Xenbase