Click here to close
Hello! We notice that you are using Internet Explorer, which is not supported by Xenbase and may cause the site to display incorrectly.
We suggest using a current version of Chrome,
FireFox, or Safari.
???displayArticle.abstract???
Techniques for studying RNA-protein interactions have lagged behind those for DNA-protein complexes as a consequence of the complexities associated with working with RNA. Here we present a method for the modification of the existing In Situ Hybridisation-Proximity Ligation Assay (ISH-PLA) protocol to adapt it to the study of RNA regulation (rISH-PLA). As proof of principle we used the well-characterised interaction of the Xenopus laevis Staufen RNA binding protein with Vg1 mRNA, the complex of which co-localises to the vegetal pole of Xenopus oocytes. The applicability of both the Stau1 antibody and the Locked Nucleic Acid probe (LNA) recognising Vg1 mRNA were independently validated by whole-mount Immunohistochemistry and whole-mount in situ hybridisation assays respectively prior to combining them in the rISH-PLA assay. The rISH-PLA assay allows the identification of a given RNA-protein complex at subcellular and single cell resolution, thus avoiding the lack of spatial resolution and sensitivity associated with assaying heterogenous cell populations from which conventional RNA-protein interaction detection techniques suffer. This technique will be particularly usefully for studying the activity of RNA binding proteins (RBPs) in complex mixtures of cells, for example tissue sections or whole embryos.
???displayArticle.pubmedLink???
26824753
???displayArticle.pmcLink???PMC4732756 ???displayArticle.link???PLoS One
Fig 1. Schematic of the ISH-PLA modified for use with RNA (rISH-PLA).
The ISH-PLA technique has been developed for the analysis of the co-localisation of protein complexes and specific DNA sequences. In this paper the method is adapted for RNA. (A) In vivo interaction of Vg1 mRNA (blue) with Xenopus Staufen (black). (B) In the first step a biotinylated LNA probe (green with biotin indicated in red) targets a specific RNA sequence close to the binding site of XStau1 in the Vg1 mRNA is added (see results section for details on LNA probe design). (C) Two primary antibodies raised in different species are added. In this case a rabbit antibody (dark blue) targets the XStau1 and a mouse antibody (purple) targets the biotin label in the LNA probe. (D) Two secondary PLA species-specific antibodies (light blue and orange) conjugated to oligonucleotides are then added. Since the LNA probe and the protein are in close proximity the secondary antibodies and their conjugated oligonucleotides are consequently also in close proximity. (E) The conjugated oligonucleotides are joined and circularised by DNA ligation upon introduction of linear connector oligonucleotide (dark purple). (F) The two oligonucleotides then commence rolling circle replication (the amplified circular DNA molecule is annotated in green). After the amplification reaction, fluorescent labelled complementary oligonucleotide probes are added to highlight the product.
doi:10.1371/journal.pone.0147967.g001
Fig 2. Western Blot and Whole-mount Immunohistochemistry using rabbit anti-Stau1 antibody.
(A) Protein was prepared from Xenopus laevis embryos at stages 5â32 and yolk removed from the extraction; protein corresponding to one or a half (D) oocyte equivalents was separated by 12% SDS-PAGE and transferred to a nitrocellulose membrane prior to probing with a staufen specific antibody. A single, strong band of 80 kDa, corresponding to the molecular weight of staufen was detected. (B) Whole-mount Immunohistochemistry was performed on Xenopus laevis oocytes stage IV and V using the anti-Staufen antibody. The oocytes were visualised with Alexa Fluor® 647 donkey anti-rabbit antibody, which recognises the rabbit anti-XStau1 antibody, and photographed by confocal microscopy at 644 nm (left panel) and also by light microscopy (right panel) to identify the vegetal pole. (C) No signal was detected in the control samples where no primary antibody was present; the confocal image is shown on the left panel and light microscopy image on the right.
doi:10.1371/journal.pone.0147967.g002
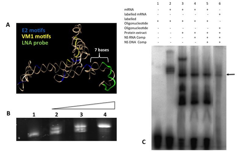
Fig 3. The proposed probe sequence can interact with both Vg1 mRNA and staufen protein.
(A) The predicted 3D structure of the Vg1 mRNA 3’ UTR with the E2 motifs (blue), VM1 motifs (yellow) highlighted. The LNA probe (green) was designed to hybridise seven bases away from the last 3’ E2 motif, in close proximity to the predicted binding site of the protein complex that includes the Stau1 protein. (B) Syber gold stained EMSA, lane 1 control 3’UTR Vg1 mRNA (60nM). Lanes 2–5, increasing titration of the probe sequence DNA analogue: 30, 60 and 300 nM. (C) EMSA using acrylamide gel analysis. Lane 1, radiolabelled DNA probe sequence alone; lane 2–5 contain probe and 600 nM in vitro transcribed Vg1 3’UTR; Lane 3 in addition contains one oocyte equivalent of protein extract; lanes 4 and 5 are as lane 3 but with the addition of RNA and DNA non-specific competitors respectively. Lane 6 contains radiolabelled in vitro transcribed Vg1 3’ UTR in the presence of unlabelled probe sequence and one oocyte equivalent total protein extract along with DNA and RNA competitors.
doi:10.1371/journal.pone.0147967.g003
Fig 4. WISH using the biotinylated LNA probe in stage IV-V oocytes.
(A) Whole-mount in-situ hybridisation was performed in Xenopus laevis stage IV and V oocytes. The oocytes were stained with an Alexa Fluor® 647 goat anti-mouse antibody which recognises the mouse anti-biotin antibody which recognises the biotin in the LNA probe. Confocal images at 644 nm are shown (left panel) alongside light microscopy images (right panel). (B) No signal was detected in the control samples when no primary antibody was used. Again confocal images are presented to the left and light microscopy images on the right.
doi:10.1371/journal.pone.0147967.g004
Fig 5. rISH-PLA assay for RNA analysis in stage IV-V oocytes.
A. Whole-mount in-situ hybridisation proximity ligation assay was performed on Xenopus laevis stage IV and V oocytes. The oocytes where visualised by confocal microscopy at 644 nm, which shows localisation of Vg1-XStau1 complex in the vegetal pole of the oocytes. B. The control oocytes were incubated with an alternative primary antibody (rabbit anti AcH4) to assess specificity. No fluorescence is detected in the control samples (lower panel).
doi:10.1371/journal.pone.0147967.g005
Allison,
Two distinct Staufen isoforms in Xenopus are vegetally localized during oogenesis.
2004, Pubmed,
Xenbase
Allison,
Two distinct Staufen isoforms in Xenopus are vegetally localized during oogenesis.
2004,
Pubmed
,
Xenbase
Bheda,
Epigenetics reloaded: the single-cell revolution.
2014,
Pubmed
Bilinski,
Electron microscopy, immunostaining, cytoskeleton visualization, in situ hybridization, and three-dimensional reconstruction of Xenopus oocytes.
2010,
Pubmed
,
Xenbase
Braasch,
Locked nucleic acid (LNA): fine-tuning the recognition of DNA and RNA.
2001,
Pubmed
Burnette,
"Western blotting": electrophoretic transfer of proteins from sodium dodecyl sulfate--polyacrylamide gels to unmodified nitrocellulose and radiographic detection with antibody and radioiodinated protein A.
1981,
Pubmed
Dale,
Secretion and mesoderm-inducing activity of the TGF-beta-related domain of Xenopus Vg1.
1993,
Pubmed
,
Xenbase
Dumont,
Oogenesis in Xenopus laevis (Daudin). I. Stages of oocyte development in laboratory maintained animals.
1972,
Pubmed
,
Xenbase
Filipowicz,
Mechanisms of post-transcriptional regulation by microRNAs: are the answers in sight?
2008,
Pubmed
Goljanek-Whysall,
myomiR-dependent switching of BAF60 variant incorporation into Brg1 chromatin remodeling complexes during embryo myogenesis.
2014,
Pubmed
,
Xenbase
Gomez,
Detection of histone modifications at specific gene loci in single cells in histological sections.
2013,
Pubmed
Joseph,
Mutant Vg1 ligands disrupt endoderm and mesoderm formation in Xenopus embryos.
1998,
Pubmed
,
Xenbase
Kechavarzi,
Dissecting the expression landscape of RNA-binding proteins in human cancers.
2014,
Pubmed
Kishore,
Deciphering the role of RNA-binding proteins in the post-transcriptional control of gene expression.
2010,
Pubmed
Koos,
Analysis of protein interactions in situ by proximity ligation assays.
2014,
Pubmed
Lewis,
Conserved and clustered RNA recognition sequences are a critical feature of signals directing RNA localization in Xenopus oocytes.
2004,
Pubmed
,
Xenbase
Licatalosi,
RNA processing and its regulation: global insights into biological networks.
2010,
Pubmed
Llewellyn,
A-form DNA structure is a determinant of transcript levels from the Xenopus gata2 promoter in embryos.
2009,
Pubmed
,
Xenbase
Mattick,
RNA regulation: a new genetics?
2004,
Pubmed
Mowry,
Vegetal messenger RNA localization directed by a 340-nt RNA sequence element in Xenopus oocytes.
1992,
Pubmed
,
Xenbase
Myers,
Targeted and extended acetylation of histones H4 and H3 at active and inactive genes in chicken embryo erythrocytes.
2001,
Pubmed
Naftelberg,
Regulation of alternative splicing through coupling with transcription and chromatin structure.
2015,
Pubmed
Niranjanakumari,
Reversible cross-linking combined with immunoprecipitation to study RNA-protein interactions in vivo.
2002,
Pubmed
Obernosterer,
Locked nucleic acid-based in situ detection of microRNAs in mouse tissue sections.
2007,
Pubmed
Rosa,
Long Noncoding RNA Regulation of Pluripotency.
2016,
Pubmed
Scarlett,
Intact RNA-binding domains are necessary for structure-specific DNA binding and transcription control by CBTF122 during Xenopus development.
2004,
Pubmed
,
Xenbase
Shankman,
KLF4-dependent phenotypic modulation of smooth muscle cells has a key role in atherosclerotic plaque pathogenesis.
2015,
Pubmed
Silahtaroglu,
Detection of microRNAs in frozen tissue sections by fluorescence in situ hybridization using locked nucleic acid probes and tyramide signal amplification.
2007,
Pubmed
Szabo,
Statistically based splicing detection reveals neural enrichment and tissue-specific induction of circular RNA during human fetal development.
2015,
Pubmed
Tallafuss,
Temporally and spatially restricted gene expression profiling.
2014,
Pubmed
Thomsen,
Processed Vg1 protein is an axial mesoderm inducer in Xenopus.
1993,
Pubmed
,
Xenbase
Ule,
CLIP: a method for identifying protein-RNA interaction sites in living cells.
2005,
Pubmed
Van Assche,
RNA-binding proteins involved in post-transcriptional regulation in bacteria.
2015,
Pubmed
van Kouwenhove,
MicroRNA regulation by RNA-binding proteins and its implications for cancer.
2011,
Pubmed
Vester,
LNA (locked nucleic acid): high-affinity targeting of complementary RNA and DNA.
2004,
Pubmed
Wang,
CLIP: construction of cDNA libraries for high-throughput sequencing from RNAs cross-linked to proteins in vivo.
2009,
Pubmed
Weeks,
A maternal mRNA localized to the vegetal hemisphere in Xenopus eggs codes for a growth factor related to TGF-beta.
1987,
Pubmed
,
Xenbase
Yoon,
Xenopus Staufen is a component of a ribonucleoprotein complex containing Vg1 RNA and kinesin.
2004,
Pubmed
,
Xenbase
Zhao,
A proline-rich protein binds to the localization element of Xenopus Vg1 mRNA and to ligands involved in actin polymerization.
2001,
Pubmed
,
Xenbase