Click here to close
Hello! We notice that you are using Internet Explorer, which is not supported by Xenbase and may cause the site to display incorrectly.
We suggest using a current version of Chrome,
FireFox, or Safari.
J Cell Sci
2003 Aug 01;116Pt 15:3157-64. doi: 10.1242/jcs.00616.
Show Gene links
Show Anatomy links
Thyroid hormone-upregulated expression of Musashi-1 is specific for progenitor cells of the adult epithelium during amphibian gastrointestinal remodeling.
Ishizuya-Oka A
,
Shimizu K
,
Sakakibara S
,
Okano H
,
Ueda S
.
???displayArticle.abstract???
In the amphibian gastrointestine during metamorphosis, the primary (larval) epithelium undergoes apoptosis. By contrast, a small number of undifferentiated cells including stem cells actively proliferate and differentiate into the secondary (adult) epithelium that resembles the mammalian counterpart. In the present study, to clarify whether Musashi-1 (Msi-1), an RNA-binding protein, serves as a marker for progenitor cells of the adult epithelium, we chronologically examined Msi-1 expression in the Xenopus laevis gastrointestine by using in situ hybridization and immunohistochemistry. Similar expression profiles of Msi-1 were observed at both mRNA and protein levels. In both the small intestine and the stomach, the transient expression of Msi-1 during metamorphosis spatio-temporally correlated well with active proliferation of the progenitor cells including stem cells of the adult epithelium but did not with apoptosis of the larval epithelium. As the adult progenitor cells differentiated into organ-specific epithelial cells after active proliferation, Msi-1 expression was rapidly downregulated. Therefore, Msi-1 is useful to identify the adult progenitor cells that actively proliferate before final differentiation in the amphibian gastrointestine. Furthermore, our culture experiments have shown that thyroid hormone (TH) organ-autonomously induces Msi-1 expression only in the adult progenitor cells of the X. laevis intestine in vitro as in vivo. However, TH could not induce Msi-1 expression in the intestinal epithelium separated from the connective tissue, where the adult epithelium never developed. These results suggest that Msi-1 expression is upregulated by TH in the adult progenitor cells under the control of the connective tissue and plays important roles in their maintenance and/or active proliferation during amphibian gastrointestinal remodeling.
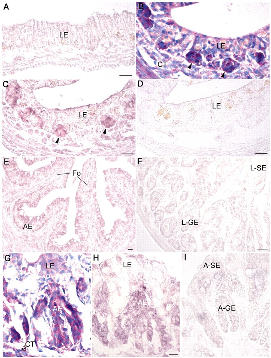
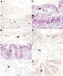
Fig. 2. Developmental expression of Msi-1 mRNA during metamorphosis. Cross-sections of the small intestine (A-E) and the stomach (F-I) were hybridized with the antisense (A,C,E,F,H,I) and sense (D) probes and stained with methyl greenpyronin Y (B,G). (A) Stage 58. No specific signals are detectable. (B-D) Stage 61. Adult progenitor cells (arrowheads) between the larval epithelium (LE) and the connective tissue (CT) are positive. No signals are detectable in the control section (D). (E) Stage 65. The adult epithelium (AE) is almost negative except for very weak signals in the trough of intestinal folds (Fo). (F) Stage 58. No specific signals are detectable in the larval surface (L-SE) and glandular epithelia (L-GE). (G,H) Stage 61. Signals are localized in adult progenitor cells. (I) Stage 65. The adult surface (A-SE) and glandular epithelia (A-GE) are almost negative. Weak signals in the neck region of glands are nonspecific. Bars, 20 µm.
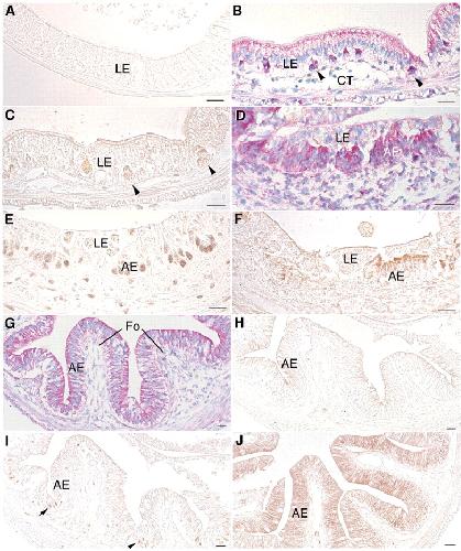
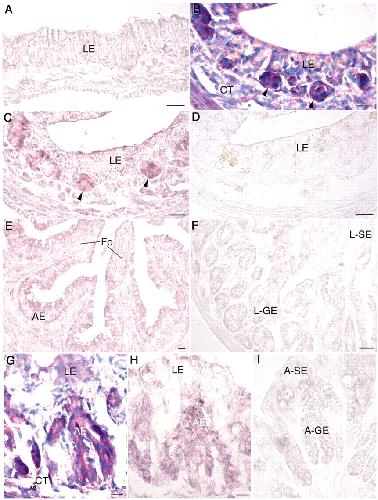
Fig. 3. Msi-1 expression correlates spatio-temporally with adult progenitor cells during intestinal remodeling. Cross-sections were immunostained with Msi-1 (A,C,F,H), PCNA (E,I) and IFABP (J) antibodies and stained with methyl green-pyronin Y (B,D,G). (A) Stage 57. The larval epithelium (LE) is negative for Msi-1. (B,C) Stage 60. Progenitor cells of the adult epithelium between the larval epithelium and the connective tissue (CT) are weakly positive for Msi-1 (arrowheads). (D-F) Stage 61. The adult epithelium (AE), where PCNA-positive cells are localized, is positive for Msi-1. The degenerating larval epithelium remains negative. (G-J) Stage 63. The adult epithelium completely replaces the larval one. Msi-1-immunoreactivity is weakly detectable only in the trough of newly formed folds (Fo), where PCNA-positive cells are localized (I; arrows). IFABP immunoreactivity increases in intensity from the crest to the trough of the folds. Bars, 20 µm.
Fig. 4. Coexpression of Msi-1 and PCNA in the intestine (A) and the stomach (B) at stage 61. Msi-1 (green) and PCNA (red) double-positive cells (arrows) are localized in the adult epithelium (AE) but not in the larval epithelium (LE). CT, connective tissue. Bars, 20 µm.
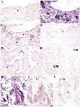
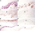
Fig. 5. Msi-1 expression correlates with adult progenitor cells during gastric remodeling. Cross-sections were immunostained with Msi-1 (B,C,G,J,L), PCNA (D,F,K) and Pg (I) antibodies, and stained with methyl green-pyronin Y (A,E,H). (A-D) Stage 60. Progenitor cells of the adult epithelium appear in the basal region of larval glands (L-GE) and are positive for Msi-1 (A,B; arrowheads). Msi-1 immunoreactivity is localized in the cytoplasm of these cells, which are actively proliferating (C,D; arrows). L-SE, larval surface epithelium; M, muscles. (E-G) Stage 61. The adult epithelium (AE) is positive for Msi-1, whereas the larval epithelium (LE) remains negative. CT, connective tissue. (H-J) Stage 62. The adult epithelium completely replaces the larval one and begins to differentiate into the surface (A-SE) and glandular epithelia (A-GE) expressing Pg (I). Msi-1 immunoreactivity becomes weak. (K,L) Stage 66. Msi-1 immunoreactivity is weakly detectable only in the neck region of glands, where proliferating cells are localized (arrows). Bars, 20 µm.
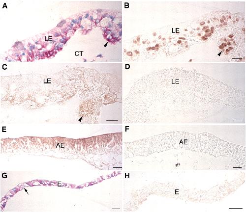
Fig. 6. TH upregulates Msi-1 expression in adult progenitor cells of isolated intestines in vitro in the presence of the connective tissue (A-F) but not in its absence (G,H). Cross-sections were immunostained with Msi-1 (C,D,F,H), PCNA (B) and IFABP (E) antibodies and stained with methyl green-pyronin Y (A,G). (A-C) Day 5 in the presence of TH. Adult progenitor cells, which are identified as islets between the larval epithelium (LE) and the connective tissue (CT), are actively proliferating and positive for Msi-1 (arrowhead). (D) Day 5 in the absence of TH. The larval epithelium remains negative. (E,F) Day 7 in the presence of TH. The adult epithelium is differentiated into the absorptive epithelium expressing IFABP and negative for Msi-1. (G,H) Day 5 in the epithelium (E) alone in the presence of TH. Some cells of the simple epithelium are negative for pyronin-Y staining (arrow), whereas the others are positive at various intensities. The epithelium remains negative for Msi-1. Bars, 20 µm.