|
Fig. 1 Claw-associated protrusion in Xenopus tropicalis. a, b, Feet of an adult X. tropicalis (Nigerian A line) female (a) and male (b) with
the claw-associated protrusion (inset). c, d, Feet of an X. tropicalis (Ivory Coast line) female (c) and male (d) that exhibit a clawed protrusion (inset). eâh,
Feet of an adult X. laevis (e, f) and X. borealis (g, h) female and male with a tiny clawless protrusion (inset). Scale bar in aâh: 10 mm. Images are in ventral
view in aâh. iâl, Bone and cartilage staining of the protrusion in X. tropicalis froglet (i) and adult (j) and the prehallux in X. laevis froglet (k) and adult
(l). Scale bars: 200 μm in i, k and 1 mm in j, l. Images are in anterior view in iâl
|
|
Fig. 2 Ossification of distal phalanges and the sixth protrusion in X. tropicalis. a–d, Bone and cartilage at the distal-most region in the X. tropicalis
hindlimb. a, Stage 58. Ossification of the distal phalanx in digit I was detectable (shown by black arrowhead). b, Stage 59. Substantial ossification
of the distal phalanges of digits I, II and III could be seen. Ossification of the distal element in the sixth protrusion was initiated (shown by red
arrowhead). c, Stage 60. Ossification of the distal phalanges in digits IV and V started to be visible. Note that in all distal elements, ossification is
initiated at the distal ends of the structures. d, The froglet showed complete ossification of the distal elements in all of digits I–V and the
protrusion. Images are anterior views. Proximal is left and dorsal is top. Scale bars: 200 μm
|
|
Fig. 3 Topological relation of the protrusion with muscle and
tendon. a–d, Muscles and bones in the hindlimb feet of X. tropicalis
(a, b) and X. laevis (c, d). Arrowheads indicate the protrusion (a) and
prehallux (c). ip: interphalangei, fa: flexor accessories. (b) and (d) are
high magnification images of those in (a) and (c), respectively. e, f, A
tendon was connected to the distal protrusion of X. tropicalis (e) and
the distal phalanx (digit III) (f) (arrows). f: forceps for highlighting the
tendon. Images in (a–e) are ventral views, and (f) is a posterior view.
Scale bars: 1 mm in (a, c) and 500 μm in (e, f)
|
|
Fig. 4 Development of digits and the sixth protrusion in X. tropicalis. a–d, Digit development in the X. tropicalis hindlimb. a, c, Cartilaginous
primordium of the sixth protrusion was detected at stage 55 (shown by arrowhead). b, d, Two elements of the protrusion were detected
at stage 56. (c) and (d) are high magnification images of those in (a) and (b). Arrowheads and dotted lines indicate cartilaginous
elements of the protrusion. e, f, Development of digits and the prehallux in the X. laevis hindlimb. At stages 55 and 56, cartilaginous
condensation for the prehallux was undetectable. g, Condensation began at stage 57. h–j, External appearance of the protrusion at stage
57 (h) and stage 58 (i, j). j, A high magnification image of the protrusion in (i) that shows a clear, pigmented claw. All images are
ventral views. Scale bars: 250 μm in (a, b, e–g) and 1 mm in (h, i)
|
|
Fig. 5 Molecular marker expression in the developing hindlimb
of X. tropicalis. a-f, Gene expression detected by section in situ
hybridization. a, b, Expression of shh at stages 51 (a) and 52 (b).
c, Expression of sox9 at stage 55. e, Expression of irx1 at stage 55.
Cartilaginous condensation for the anlage of the protrusion
(bracket) was irx1-posititve. d, f, High-magnification images of
those in (c) and (e). Note that irx1 was highly expressed in the
anlage of the protrusion (bracket in f). Cartilaginous primordium
of the protrusion is indicated by the bracket. Scale bars: 200 μm
|
|
Figure S1. Histological analysis of the protrusion of X. tropicalis.
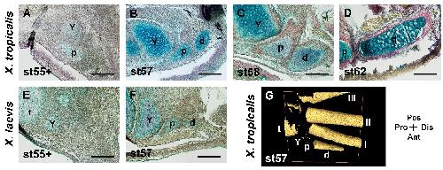
A-D, Alcian blue staining and Elastica van Gieson staining of the protrusion during metamorphosis of X. tropicalis at stages 55+ (A), 57 (B), 58 (C) and 62 (D). E, F, Elastica van Gieson staining of the prehallux of X. laevis at stages 55+ (E) and 57 (F). At stage 55+, the proximal element of the protrusion was detected in X. tropicalis but not in X. laevis. G, 3D reconstruction of ossified elements in the hindlimb of X. tropicalis at froglet stage. Dotted lines indicate cartilaginous elements. t: tibiale, Y: element Y, p: proximal element of the protrusion, d: distal element of the protrusion. Scale bar: 100 μm.
|
|
Figure S2. Cell proliferation and apoptosis in the hindlimb of X. tropicalis and X. laevis. Developing limbs were immunostained for cell proliferation (phosphorylated Histone H3) and apoptosis (active Caspase 3). A-D, Distributions of phosphorylated Histone H3-positive cells in stage 54 and stage 55 limb buds of X. tropicalis (A, B) and X. laevis (C, D). Cell proliferation was evident throughout the limb bud. E-H, Distributions of active Caspase 3-positive cells in stage 54 and stage 55 limb buds of X. tropicalis (E, F) and X. laevis (G, H). Physiological apoptosis was enriched in the apical ectodermal ridge (AER). Note that no detectable difference in cell proliferation or apoptosis was observed between X. tropicalis and X. laevis at these stages. Arrowheads indicate regions where the prehallux anlage is formed. Images are ventral views. Distal is left and anterior is top. Scale bars: 200 μm.
|
|
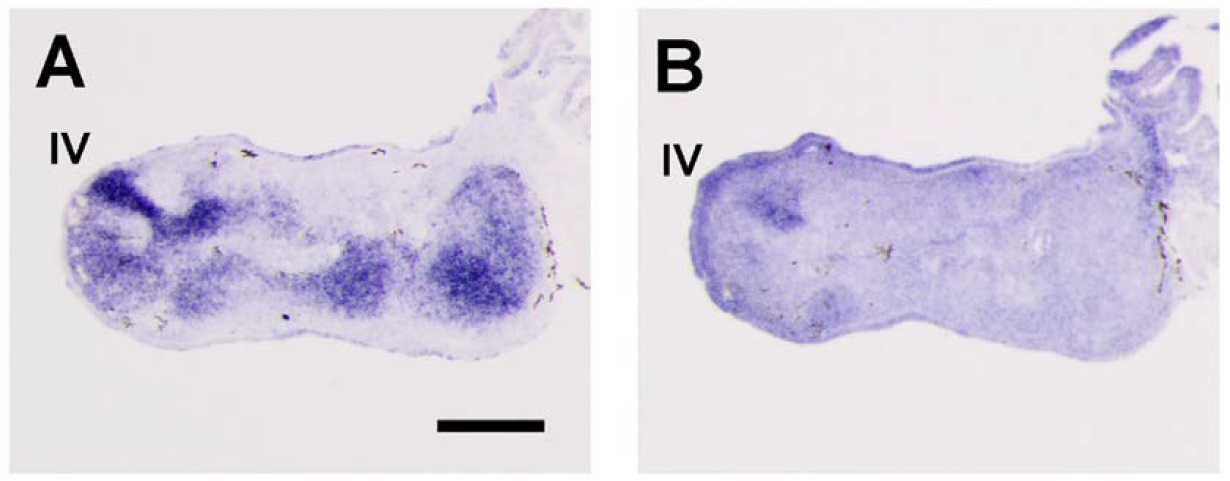
Figure S3. irx1 expression specific for digit condensation of the X. tropicalis hindlimb bud. A, sox9 expression at stage 53. Precartilaginous condensation, including the first visible condensation of digit IV, was detectable. B, irx1 expression at stage 53. irx1 was exclusively expressed in the digit condensation of digit IV at this stage, and other cartilaginous regions were irx1-negative, indicating that irx1 expression is specific for developing digits. Scale bar: 200 μm.
|
|
Figure S4. Skeletal drawings of X. tropicalis and Ranodon (R.) sibiricus.
Left: Outline drawing of skeletal components in the hindlimb of an X. tropicalis froglet. The sixth protrusion is named digit VI. Right: Outline drawing of skeletal components in the hindlimb of an R. sibiricus larva (modified from Vorobyeva, 2014)[35]. It shows the digital anlagen of the sixth digit (we considered it as digit 0) at the larval stage.Figure S4. Skeletal drawings of X. tropicalis and Ranodon (R.) sibiricus.
Left: Outline drawing of skeletal components in the hindlimb of an X. tropicalis froglet. The sixth protrusion is named digit VI. Right: Outline drawing of skeletal components in the hindlimb of an R. sibiricus larva (modified from Vorobyeva, 2014)[35]. It shows the digital anlagen of the sixth digit (we considered it as digit 0) at the larval stage.
|