Click here to close
Hello! We notice that you are using Internet Explorer, which is not supported by Xenbase and may cause the site to display incorrectly.
We suggest using a current version of Chrome,
FireFox, or Safari.
Dev Dyn
2016 Jan 01;2451:34-46. doi: 10.1002/dvdy.24358.
Show Gene links
Show Anatomy links
lin28 proteins promote expression of 17∼92 family miRNAs during amphibian development.
Warrander F
,
Faas L
,
Kovalevskiy O
,
Peters D
,
Coles M
,
Antson AA
,
Genever P
,
Isaacs HV
.
???displayArticle.abstract???
BACKGROUND: Lin28 proteins are post-transcriptional regulators of gene expression with multiple roles in development and the regulation of pluripotency in stem cells. Much attention has focussed on Lin28 proteins as negative regulators of let-7 miRNA biogenesis; a function that is conserved in several animal groups and in multiple processes. However, there is increasing evidence that Lin28 proteins have additional roles, distinct from regulation of let-7 abundance. We have previously demonstrated that lin28 proteins have functions associated with the regulation of early cell lineage specification in Xenopus embryos, independent of a lin28/let-7 regulatory axis. However, the nature of lin28 targets in Xenopus development remains obscure.
RESULTS: Here, we show that mir-17∼92 and mir-106∼363 cluster miRNAs are down-regulated in response to lin28 knockdown, and RNAs from these clusters are co-expressed with lin28 genes during germ layer specification. Mature miRNAs derived from pre-mir-363 are most sensitive to lin28 inhibition. We demonstrate that lin28a binds to the terminal loop of pre-mir-363 with an affinity similar to that of let-7, and that this high affinity interaction requires to conserved a GGAG motif.
CONCLUSIONS: Our data suggest a novel function for amphibian lin28 proteins as positive regulators of mir-17∼92 family miRNAs.
Figure 1.
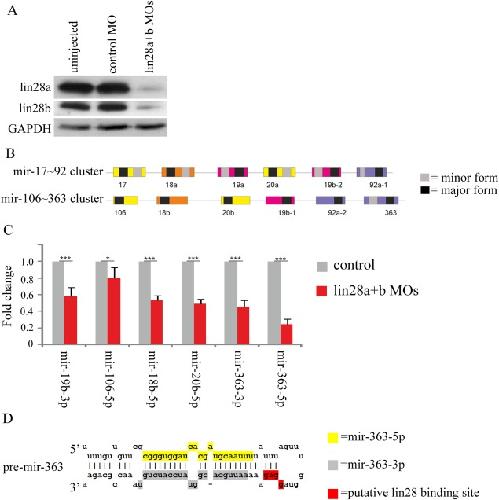
A: Western blot analysis of endogenous lin28a and lin28b expression in embryos injected with a total of 12.5âng/embryo of lin28 MOs in the compound knockdown compared with CMOâinjected and uninjected control embryos at stage 16. GAPDH was used as a loading control. B: Scale diagram showing the genomic organisation of Xenopus mirâ17â¼92 and mirâ106â¼363 clusters. Coloured boxes indicate preâmiRNA sequences, with each colour corresponding to paralog groupings based on seed sequence. Where known, the black and grey boxes, respectively, represent the major and minor forms derived from a common precursor. C: qRTâPCR was performed on embryos injected with 10âng each/embryo of lin28a1, a2 and b MOs and control embryos, at stage 10.5. Fold change in expression of miRNAs is shown compared with controls and normalised using U6 by the 2âÎÎCt method. Fold change is given as average of 3 biological replicates, with error bars representing SE. D: Predicted secondary structure of Xenopus preâmirâ363. The sequences of mature mirâ363â5p, mirâ363â3p, and the putative lin28 binding site are indicated.
Figure 2.
A: Western blot analysis of lin28 proteins at stage 10.5 in control embryos and embryos injected with 1âng of mRNAs coding for either lin28a1, lin28a2 or lin28b. GAPDH was used as a loading control. B: Phenotype of control embryos and embryos overexpressing either lin28a1, lin28a2, or lin28b at stage 38. C: qRTâPCR was performed on embryos injected with control embryos and either 1âng of mRNAs coding for lin28a1, a2 or b MOs at stage 10.5. Fold change in expression of miRNAs is shown compared with controls and normalised using U6 by the 2âÎÎCt method. Fold change is given as average of 3 biological replicates, with error bars representing SE.
Figure 3.
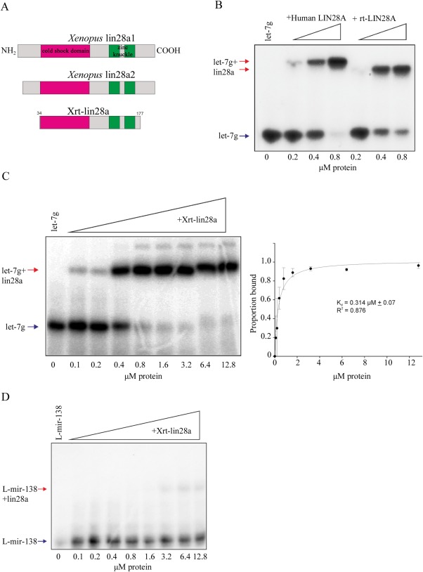
A: Scale diagram of the Xenopus proteins used in this study. Cold shock domains are shaded magenta and zinc knuckles green. B: EMSA performed with 32P‐labelled L‐let‐7g and indicated concentrations of human recombinant LIN28A protein, either full‐length or truncated (rt). Arrows indicate labelled RNA (blue) and LIN28A‐RNA complex (red). C: EMSA performed with 32P‐labelled L‐let‐7g and indicated concentrations of Xrt‐lin28a. Gel shown is representative of n = 3. Arrows indicate labelled RNA (blue) and lin28‐RNA complex (red). Band intensities were quantified from three independent experiments and the proportion bound was calculated. Data were fit by nonlinear regression as described in Materials and Methods. Bmax = 1.017. D: EMSA performed with 32P‐labelled L‐mir‐138 and indicated concentrations of Xrt‐lin28a. Arrows indicate RNA and lin28a‐RNA complex. Gel shown is representative of n = 3. Arrows indicate labelled RNA (blue) and lin28‐RNA complex (red).
Figure 4.
A: EMSA performed with 32P‐labelled L‐mir‐363 and indicated concentrations of Xrt‐lin28a. Gel shown is representative of n = 3. Band intensities were quantified from three independent experiments and the proportion bound was calculated. Data were fitted by nonlinear regression as described in Materials and Methods. Bmax = 0.962. B: EMSA performed with 32P‐labelled L‐mir‐363 and 1 μM of Xrt‐lin28a (except for RNA only lane). Arrows indicate RNA and lin28a‐RNA complex. Reactions were competed with unlabelled RNA of L‐mir‐363 or L‐mir‐138 in excess levels as indicated. Band intensities were quantified and proportion of RNA bound was calculated. Gel shown is representative of n = 2. Arrows indicate labelled RNA (blue) and lin28‐RNA complex (red). C: EMSA performed with 32P‐labelled mL‐mir‐363 and indicated concentrations of Xrt‐lin28a. Gel shown is representative of n = 3.
Figure 5.
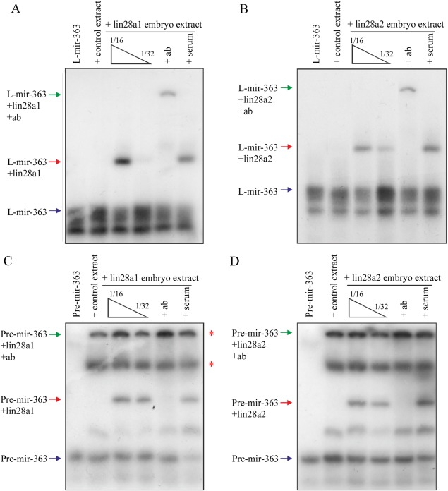
A,B: EMSAs performed with 32P‐labelled L‐mir‐363 and embryo extract from uninjected controls or embryos injected with 1 ng of either (A) lin28a1 or (B) lin28a2. Embryo extract was used at 1/16 dilution for lanes 2–3, 5–6, and at 1/32 dilution for lower concentration of overexpressing extract in lane 4. Arrows indicate unbound RNA (blue), lin28‐RNA complex (red), and supershift complex of antibody‐lin28‐RNA (green). + Ab = 1/20 dilution α‐lin28a, + ser = 1/20 dilution preimmune bleed serum, both incubated with protein on ice for 20 min before addition of probe. C,D: EMSAs performed with 32P‐labelled pre‐mir‐363 and embryo extract from uninjected controls or embryos injected with 1 ng of either (C) lin28a1 or (D) lin28a2. Embryo extract was used at 1/8 dilution for lanes 2–3, 5–6, and at 1/16 dilution for lower concentration of overexpressing extract in lane 4. Arrows indicate unbound RNA (blue), lin28‐RNA complex (red), and supershift complex of antibody‐lin28‐RNA (green). + Ab = 1/20 dilution α‐lin28a, + ser = 1/20 dilution preimmune bleed serum, both incubated with protein on ice for 20 min before addition of probe.
Figure 6.
A: Developmental time course for expression of pri‐miR‐17∼92 and pri‐miR‐106∼363 was undertaken using RT‐PCR. L8 was used as a loading control. Image is representative of n=2. miR‐17‐92 = 669 bp, miR‐106‐363 = 639 bp, L8 = 435 bp. B: In situ hybridisations showing expression of pri‐miR‐17∼92 and pri‐miR‐106∼363 RNAs in early development. Vegetal views of early gastrula stage 10.5 embryos, with the dorsal side is to the top. Arrows indicate the dorsal blastopore lip. C: In situ hybridisation using an anti‐sense LNA probe showing mir‐363‐3p expression in early development. Vegetal views of gastrula stages 10 and 10.5 are shown, with dorsal‐side to the top. An animal to vegetal bisect of a stage 10 embryo is shown with the animal hemisphere to the top and dorsal to the right. A dorsal view of a late neurula stage 19 embryo, anterior to the left. Plane of bisection (black line), dorsal blastopore lip (bl) and neural plate (np) are indicated. D: In situ hybridisation using an anti‐sense LNA probe showing mir‐363‐5p expression in early development. Vegetal views of gastrula stages 10 and 11 are shown, with dorsal‐side to the top. An animal to vegetal bisect of a stage 10 embryo is shown with the animal hemisphere to the top and dorsal to the right. A dorsal view of a late neurula stage 19 embryo, anterior to the left. Plane of bisection (black line) is indicated.
Branney,
Characterisation of the fibroblast growth factor dependent transcriptome in early development.
2009, Pubmed,
Xenbase
Branney,
Characterisation of the fibroblast growth factor dependent transcriptome in early development.
2009,
Pubmed
,
Xenbase
de Pontual,
Germline deletion of the miR-17∼92 cluster causes skeletal and growth defects in humans.
2011,
Pubmed
Faas,
Lin28 proteins are required for germ layer specification in Xenopus.
2013,
Pubmed
,
Xenbase
Guil,
The multifunctional RNA-binding protein hnRNP A1 is required for processing of miR-18a.
2007,
Pubmed
Harland,
In situ hybridization: an improved whole-mount method for Xenopus embryos.
1991,
Pubmed
,
Xenbase
Heo,
Lin28 mediates the terminal uridylation of let-7 precursor MicroRNA.
2008,
Pubmed
Heo,
TUT4 in concert with Lin28 suppresses microRNA biogenesis through pre-microRNA uridylation.
2009,
Pubmed
Khokha,
Depletion of three BMP antagonists from Spemann's organizer leads to a catastrophic loss of dorsal structures.
2005,
Pubmed
,
Xenbase
Marcelis,
Genotype-phenotype correlations in MYCN-related Feingold syndrome.
2008,
Pubmed
Mayr,
Mechanisms of Lin28-mediated miRNA and mRNA regulation--a structural and functional perspective.
2013,
Pubmed
Mendell,
miRiad roles for the miR-17-92 cluster in development and disease.
2008,
Pubmed
Michlewski,
Antagonistic role of hnRNP A1 and KSRP in the regulation of let-7a biogenesis.
2010,
Pubmed
Mogilyansky,
The miR-17/92 cluster: a comprehensive update on its genomics, genetics, functions and increasingly important and numerous roles in health and disease.
2013,
Pubmed
Moss,
The cold shock domain protein LIN-28 controls developmental timing in C. elegans and is regulated by the lin-4 RNA.
1997,
Pubmed
Olive,
mir-17-92, a cluster of miRNAs in the midst of the cancer network.
2010,
Pubmed
Ouchi,
The heterochronic genes lin-28a and lin-28b play an essential and evolutionarily conserved role in early zebrafish development.
2014,
Pubmed
Piskounova,
Determinants of microRNA processing inhibition by the developmentally regulated RNA-binding protein Lin28.
2008,
Pubmed
Reece-Hoyes,
Cloning and expression of the Cdx family from the frog Xenopus tropicalis.
2002,
Pubmed
,
Xenbase
Shyh-Chang,
Lin28: primal regulator of growth and metabolism in stem cells.
2013,
Pubmed
Shyh-Chang,
Lin28 enhances tissue repair by reprogramming cellular metabolism.
2013,
Pubmed
Sweetman,
FGF-4 signaling is involved in mir-206 expression in developing somites of chicken embryos.
2006,
Pubmed
,
Xenbase
Sweetman,
In situ detection of microRNAs in animals.
2011,
Pubmed
Vadla,
lin-28 controls the succession of cell fate choices via two distinct activities.
2012,
Pubmed
Ventura,
Targeted deletion reveals essential and overlapping functions of the miR-17 through 92 family of miRNA clusters.
2008,
Pubmed
Viswanathan,
Selective blockade of microRNA processing by Lin28.
2008,
Pubmed
Viswanathan,
Lin28: A microRNA regulator with a macro role.
2010,
Pubmed
Wilson,
MicroRNA profiling of human-induced pluripotent stem cells.
2009,
Pubmed
Winterbottom,
Conserved and novel roles for the Gsh2 transcription factor in primary neurogenesis.
2010,
Pubmed
,
Xenbase