Click here to close
Hello! We notice that you are using Internet Explorer, which is not supported by Xenbase and may cause the site to display incorrectly.
We suggest using a current version of Chrome,
FireFox, or Safari.
???displayArticle.abstract???
Axolotls (Ambystoma mexicanum) can completely regenerate lost limbs, whereas Xenopus laevis frogs cannot. During limb regeneration, a blastema is first formed at the amputation plane. It is thought that this regeneration blastema forms a limb by mechanisms similar to those of a developing embryonic limb bud. Furthermore, Xenopus laevis frogs can form a blastema after amputation; however, the blastema results in a terminal cone-shaped cartilaginous structure called a "spike." The causes of this patterning defect in Xenopus frog limb regeneration were explored. We hypothesized that differences in chondrogenesis may underlie the patterning defect. Thus, we focused on chondrogenesis. Chondrogenesis marker genes, type I and type II collagen, were compared in regenerative and nonregenerative environments. There were marked differences between axolotls and Xenopus in the expression pattern of these chondrogenesis-associated genes. The relative deficit in the chondrogenic capacity of Xenopus blastema cells may account for the absence of total limb regenerative capacity.
???displayArticle.pubmedLink???
26186213
???displayArticle.pmcLink???PMC4506045 ???displayArticle.link???PLoS One
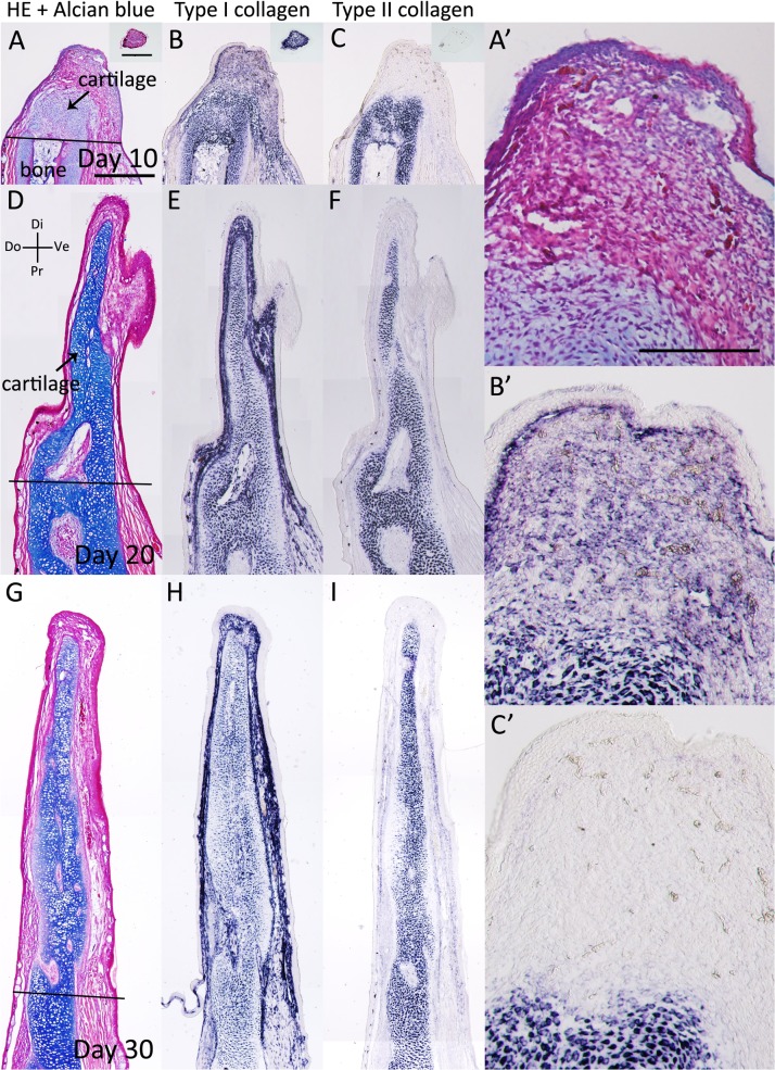
Fig 2. Type I and type II collagen expression patterns in the axolotl blastema.(A-C) The axolotl blastema at 10 days postamputation. (A) HE and Alcian blue staining. (B) Type I collagen expression was analyzed by in situ hybridization. Type I collagen-expressing cells were observed in the blastemamesenchyme and the proximalbone wound region. (C) There was no detectable type II collagen expression. (D-F) At 20 days postamputation. (D) HE and Alcian blue staining. (E) Type I collagen expression was observed in the dermal layer and the proximalbone wound region. (F) Type II collagen expression was observed in the Alcian blue-positive cartilaginous region. (G-I) At 30 days postamputation. (G) HE and Alcian blue staining. (H) Type I collagen expression was observed in the dermal layer and the proximalbone wound region. (I) Type II collagen expression was observed in the Alcian blue-positive cartilaginous region. A-I are shown at the same magnification. Aâ, Bâ, Câ, Gâ, Gâ, Hâ, Hâ, Iâ and Iâ are higher magnification images of A, B, C, G, H and I, respectively and Aâ-Câ, Gâ-Hâ and Gâ-Hâ are same magnification, Scale bar in A is 1 mm. Scale bar in Aâ is 500 μm. Black bars indicate amputated lines. Black arrowheads indicate type I collagen expression.
Fig 3. Type I and type II collagen expression patterns during bone fracture healing in axolotl.(A-C) The axolotl fracture at 10 days postwounding. (A) HE and Alcian blue staining. (B) Type I collagen-expressing cells were observed at the bone wound site. (C) The type II collagen expression area was smaller than the type I collagen expression area. (D-F) The axolotl fracture at 20 days postwounding. (D) HE and Alcian blue staining. A cartilaginous callus was observed in the fracture plane. (E) Type I collagen expression. (F) Type II collagen expression. (G-I) The fracture at 30 days postwounding. (G) HE and Alcian blue staining. (H) Type I collagen expression. (I) Type II collagen expression. A-F are shown at same magnification. G-I are at same magnification. Scale bars in A and G are 500 μm. Black bars indicate the bone fracture plane.
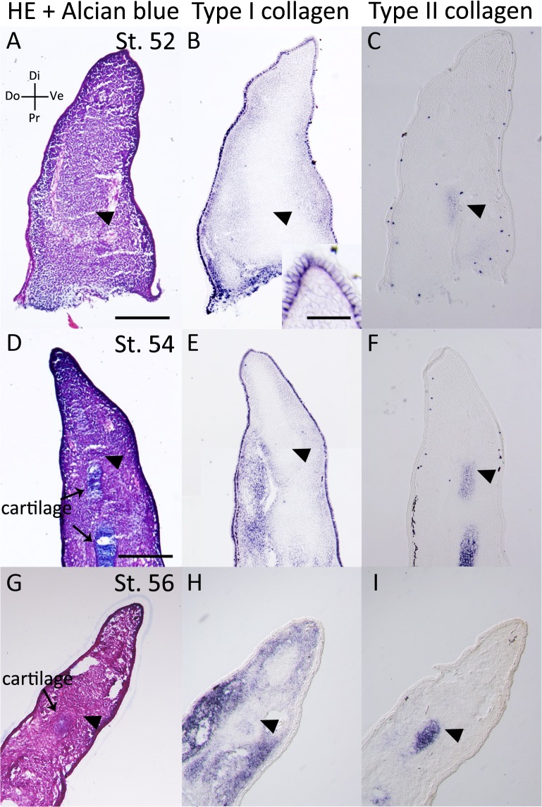
Fig 4. Type I and type II collagen expression patterns in the Xenopus limb bud.(A-C) The st. 52 Xenopus limb bud. (A) HE and Alcian blue staining. (B) Type I collagen expression. (C) Type II collagen expression. (D-F) The distal part of the st. 54 Xenopus limb bud. (D) HE and Alcian blue staining. (E) Type I collagen expression. (F) Type II collagen expression. (G-I) The distal part of the st. 56 Xenopus limb bud. (G) HE and Alcian blue staining. (H) Type I collagen expression. (I) Type II collagen expression. A-C are shown at same magnification. D-I are at same magnification. Scale bars in A, B insert, D are 500 μm, 200 μm, 100 μm, respectively. Arrowheads indicate presumed cartilaginous regions.
Fig 5. Type I and Type II collagen expression patterns in Xenopus stage 52 and stage 56 limb bud blastemas.(A-C) On day 10 following zeugopod amputation at st. 52 limb bud. (A) HE and Alcian blue staining. (B) Type I collagen expression. Type I collagen expression was weak in the distal region. (C) Type II collagen expression. (D-F) On day 10 following zeugopod amputation at st. 56 limb bud. (D) HE and Alcian blue staining. (E) Type I collagen expression. Type I collagen expression was observed throughout the entire mesenchymal region. (F) Type II collagen expression. A-C are shown at the same magnification. D-F are shown at the same magnification. Aâ-Fâ are higher magnification images of A-F, respectively. Scale bars in A, D, Câ, Dâ, are 200 μm, 500 μm, 1 mm, 250 μm, respectively. Black bars indicate amputated planes. Arrowheads indicate estimated cartilage forming areas.
Fig 6. Type I and Type II collagen expression patterns in the Xenopus blastema.(A-C) The Xenopus blastema at 10 days postamputation. Insert indicates Proximal-Distal axis sections. (A) HE and Alcian blue staining. (B) Type I collagen expression. (C) Type II collagen expression. (D-F) The Xenopus blastema at 20 days postamputation. (D) HE and Alcian blue staining. (E) Type I collagen expression. (F) Type II collagen expression. (G-I) The Xenopus blastema at 30 days postamputation. (G) HE and Alcian blue staining. (H) Type I collagen expression. (I) Type II collagen expression. A-I are shown at the same magnification. Aâ, Bâ and Câ are higher magnification images of A, B and C, respectively. Scale bars in A are 500 μm. Scale bar in Aâ is 200 μm.
Fig 7. Type I and type II collagen expression patterns during Xenopus fracture healing.(A-C) The Xenopus fracture at 10 days postwounding. A cartilaginous callus was observed in the bone wound plane. (A) HE and Alcian blue staining. (B) Type I collagen-expressing cells were observed at the bone wound site. (C) The type II collagen expression area was smaller than the type I collagen expression area. (D-F) The Xenopus fracture at 20 days postwounding. (D) HE and Alcian blue staining. (E) Type I collagen expression. (F) Type II collagen expression. (G-I) The Xenopus fracture at 30 days postwounding. (G) HE and Alcian blue staining. (H) Type I collagen expression. (I) Type II collagen expression. All panels are shown at the same magnification. Scale bar is 200 μm. Black bars indicate amputated planes. Arrowheads indicate the gap of the amputated bone.
Fig 8. Type I and type II collagen expression patterns in Xenopus ALM blastemas.(A-H) The Xenopus ALM blastema. (A-D) The Xenopus ALM blastema at 10 days postoperation. (A) HE and Alcian blue staining. (B) Type I collagen expression. (C) Type II collagen expression. (E-H) The Xenopus ALM with deep wound blastema at 20 days postoperation. (E) HE and Alcian blue staining. (F) Type I collagen expression. (G) Type II collagen expression. (I-T) The Xenopus ALM with deep wound blastema. (I-L) The Xenopus ALM with deep wound blastema at 10 days postoperation. (I) HE and Alcian blue staining. (J) Type I collagen expression. (K) Type II collagen expression. (M-P) The Xenopus ALM with deep wound blastema at 20 days postoperation. (M) HE and Alcian blue staining. (N) Type I collagen expression. (O) Type II collagen expression. (Q-T) The Xenopus ALM with deep wound blastema at 30 days postoperation. (Q) HE and Alcian blue staining. (R) Type I collagen expression. (S) Type II collagen expression. (D, H, L, P, T) Control of in situ hybridization experiments. Sense probe of type I collagen. All are shown at the same magnification. Scale bar is 500 μm. Black arrowheads indicate wound line. White arrowheads indicate bone cracked region.
Fig 9. Xenopus ALM blastema cells do not have cartilaginous differentiation capacity.(A) The scheme of the experiment. (B-E) Xenopus ALM blastema cells were grafted to the bone wound site. (B) HE and Alcian blue staining. Bâ is a lower magnification image of B. Black lines indicate bone crack area. (C) Alcian blue staining. The cartilaginous callus was visualized by Alcian blue stain. (D, E) Grafted cells were PKH26-positive (red). PKH26-positive cells were not observed in cartilaginous callus. White arrow heads indicate PKH26-positive cells. (F-I) Deep wound ALM blastema cells were grafted to the bone wound site. (F) HE and Alcian blue staining. (G) Alcian blue staining. (H, I) Grafted cells were observed in the cartilaginous callus. (J-M) Control experiment. Normal blastema cells were grafted to the bone wound site. (J) HE and Alcian blue staining. (K) Alcian blue staining. (L, M) Grafted cells were observed in the cartilaginous callus. B-M are shown at the same magnification. Scale bar in B is 200 μm. Scale bar in Bâ is 500 μm.
Fig 1.
Type I and type II collagen expression patterns in the axolotl limb bud.(A-C) The stage (st.) 36 axolotl limb bud. (A) HE and Alcian blue staining. There was no Alcian blue-positive region. (B) Type I collagen expression was analyzed by in situ hybridization. (C) Type II collagen expression was not observed. (D-F) The st. 39 axolotl limb bud. (D) HE and Alcian blue staining. (E) Type I collagen expression was observed in the dermal layer and the limb bud mesenchyme, but not in the cartilage-forming region. (F) Type II collagen expression was observed in the cartilaginous region. (G-I) The st. 42 axolotl limb bud. (G) HE and Alcian blue staining. (H) Type I collagen expression. (I) Type II collagen expression was observed in Alcian blue-positive cartilaginous regions. A-C are shown at same magnification. D-I are at same magnification. All scale bars are 200 μm.
Asahina,
Expression of genes of type I and type II collagen in the formation and development of the blastema of regenerating newt limb.
1999, Pubmed
Asahina,
Expression of genes of type I and type II collagen in the formation and development of the blastema of regenerating newt limb.
1999,
Pubmed
Carlson,
Expression of Msx-2 during development, regeneration, and wound healing in axolotl limbs.
1998,
Pubmed
Christensen,
Apical epithelial cap morphology and fibronectin gene expression in regenerating axolotl limbs.
2000,
Pubmed
DENT,
Limb regeneration in larvae and metamorphosing individuals of the South African clawed toad.
1962,
Pubmed
Devlin,
In situ hybridization reveals differential spatial distribution of mRNAs for type I and type II collagen in the chick limb bud.
1988,
Pubmed
Endo,
A stepwise model system for limb regeneration.
2004,
Pubmed
Endo,
Analysis of gene expressions during Xenopus forelimb regeneration.
2000,
Pubmed
,
Xenbase
Gardiner,
The migration of dermal cells during blastema formation in axolotls.
1986,
Pubmed
Gardiner,
The molecular basis of amphibian limb regeneration: integrating the old with the new.
2002,
Pubmed
Hirata,
Dermal fibroblasts contribute to multiple tissues in the accessory limb model.
2010,
Pubmed
Kragl,
Cells keep a memory of their tissue origin during axolotl limb regeneration.
2009,
Pubmed
Lee,
Regeneration of limb joints in the axolotl (Ambystoma mexicanum).
2012,
Pubmed
Makanae,
Nerve independent limb induction in axolotls.
2013,
Pubmed
Makanae,
Implication of two different regeneration systems in limb regeneration.
2014,
Pubmed
,
Xenbase
Makanae,
Co-operative Bmp- and Fgf-signaling inputs convert skin wound healing to limb formation in urodele amphibians.
2014,
Pubmed
Makanae,
Early regulation of axolotl limb regeneration.
2012,
Pubmed
Mitogawa,
Ectopic blastema induction by nerve deviation and skin wounding: a new regeneration model in Xenopus laevis.
2014,
Pubmed
,
Xenbase
Muneoka,
Cellular contribution to supernumerary limbs in the axolotl, Ambystoma mexicanum.
1984,
Pubmed
Muneoka,
Evidence that patterning mechanisms in developing and regenerating limbs are the same.
1982,
Pubmed
Muneoka,
Cellular contribution to supernumerary limbs resulting from the interaction between developing and regenerating tissues in the axolotl.
1984,
Pubmed
Satoh,
Regulation of dermal fibroblast dedifferentiation and redifferentiation during wound healing and limb regeneration in the Axolotl.
2008,
Pubmed
Satoh,
Nerve-induced ectopic limb blastemas in the Axolotl are equivalent to amputation-induced blastemas.
2007,
Pubmed
Satoh,
Neurotrophic regulation of fibroblast dedifferentiation during limb skeletal regeneration in the axolotl (Ambystoma mexicanum).
2010,
Pubmed
Satoh,
Muscle formation in regenerating Xenopus froglet limb.
2005,
Pubmed
,
Xenbase
Sessions,
Evidence that regenerative ability is an intrinsic property of limb cells in Xenopus.
1988,
Pubmed
,
Xenbase
Suzuki,
Limb regeneration in Xenopus laevis froglet.
2006,
Pubmed
,
Xenbase
Torok,
Sonic hedgehog (shh) expression in developing and regenerating axolotl limbs.
1999,
Pubmed
von der Mark,
Study of differential collagen synthesis during development of the chick embryo by immunofluroescence. II. Localization of type I and type II collagen during long bone development.
1976,
Pubmed