Click here to close
Hello! We notice that you are using Internet Explorer, which is not supported by Xenbase and may cause the site to display incorrectly.
We suggest using a current version of Chrome,
FireFox, or Safari.
???displayArticle.abstract???
BACKGROUND: Basic Helix Loop Helix (bHLH) proneural transcription factors are master regulators of neurogenesis that act at multiple stages in this process. We have previously demonstrated that multi-site phosphorylation of two members of the proneural protein family, Ngn2 and Ascl1, limits their ability to drive neuronal differentiation when cyclin-dependent kinase levels are high, as would be found in rapidly cycling cells. Here we investigate potential phospho-regulation of proneural protein NeuroD4 (also known as Xath3), the Xenopus homologue of Math3/NeuroM, that functions downstream of Ngn2 in the neurogenic cascade.
RESULTS: Using the developing Xenopus embryo system, we show that NeuroD4 is expressed and phosphorylated during primary neurogenesis, and this phosphorylation limits its ability to drive neuronal differentiation. Phosphorylation of up to six serine/threonine-proline sites contributes additively to regulation of NeuroD4 proneural activity without altering neuronal subtype specification, and number rather than location of available phospho-sites is the key for limiting NeuroD4 activity. Mechanistically, a phospho-mutant NeuroD4 displays increased protein stability and enhanced chromatin binding relative to wild-type NeuroD4, resulting in transcriptional up-regulation of a range of target genes that further promote neuronal differentiation.
CONCLUSIONS: Multi-site phosphorylation on serine/threonine-proline pairs is a widely conserved mechanism of limiting proneural protein activity, where it is the number of phosphorylated sites, rather than their location that determines protein activity. Hence, multi-site phosphorylation is very well suited to allow co-ordination of proneural protein activity with the cellular proline-directed kinase environment.
???displayArticle.pubmedLink???
26084567
???displayArticle.pmcLink???PMC4494719 ???displayArticle.link???Neural Dev ???displayArticle.grants???[+]
Fig. 1 NeuroD4 is expressed and phosphorylated during primary neurogenesis (A-C). a Protein sequence alignment for human, mouse and Xenopus NeuroD4 homologues using Clustal W. The conserved bHLH domain is indicated in green and SP/TP sites are highlighted in red. A consensus line is also shown below the alignment to indicate the degree of conservation of amino acids at each position: (*) denotes identical residues in all three sequences; (:) denotes highly conserved residues; (.) denotes weakly conserved residues. b Endogenous expression of NeuroD4 at stage 14 (i) and neural-β-tubulin at stage 17 (ii) was determined by whole mount ISH (white arrows correspond to zones of primary neurogenesis; TG = trigeminal ganglia). Dorso-ventral views, anterior up, stages as indicated. c Western Blot analysis of extracts from stage 13 embryos injected with an HA-tagged wild type (WT) NeuroD4 mRNA, either with or without protein phosphatase treatment. Tubulin was used as a loading control
Fig. 2 Phospho-mutant 6T/S-A NeuroD4 has increased proneural activity relative to WT NeuroD4 (a-g). a Schematic representation of WT NeuroD4 and full phospho-mutant 6 T/S- A NeuroD4 protein sequences, indicating the relative positions of the six SP or TP sites that have been mutated to AP sites. b-g Two-cell stage embryos were unilaterally injected with 100 pg of either WT or 6T/S-A NeuroD4 mRNA, and at stage 18, gene expression was assayed by qRT-PCR (b), or by whole mount ISH (d-g) with representative embryo images shown in (c). For qRT-PCR analysis (b) significance is calculated as described in the methods section for phospho-mutant NeuroD4 relative to WT NeuroD4 (blue adjoining lines and stars) and relative to uninjected control embryos (shown with black stars) [n = 5]; (p <0.05) = *; (p <0.025) = **; (p <0.0125) = ***. For ISH analysis, embryos were scored according to the scale described in Additional file 1 for expression of neural-β-tubulin (D [n = 100â115]), p27Xic1 (E [n = 24-33]), xMyt1 (F [n = 26-32]), and xNeuroD1 (G [n = 23- 28]). Views in (C [i-iii]) are dorso-ventral (DV); views in (C [iv]) are rostro-caudal (RC) with dorsal surface facing up, trigeminal ganglia indicated by arrows. All images show injected side to the right.
Fig. 3 Similar levels of proneural activity are seen amongst single site mutants (a-d). a Schematic representation of the single site phospho-mutant NeuroD4 constructs demonstrating the relative position of the SP or TP site mutated to AP in each. Two-cell stage embryos were unilaterally injected with 100 pg mRNA of the respective NeuroD4 construct and assayed at stage 18 for expression of neural-β-tubulin by qRT-PCR (B[n = 3]), or whole embryo ISH (C[n = 51-77]) with representative images shown in (d). Views are dorso-ventral with injected side to the right; (p <0.05) = *; (p <0.025) = **; (p <0.0125) = ***
Fig. 4 Similar levels of proneural activity are seen amongst paired site mutants (a-d). a Schematic representation of the paired site phospho-mutant NeuroD4 constructs. Two-cell stage embryos were unilaterally injected with 100 pg mRNA of the respective NeuroD4 construct and assayed at stage 18 for expression of neural-β-tubulin by qRT-PCR (B[n = 3]), or whole embryo ISH (C[n = 62-79]) with representative images shown in (d). Views are dorso-ventral with injected side to the right; (p <0.05) = *; (p <0.025) = **; (p <0.0125) = ***
Fig. 5 Cumulative mutation of phosphorylation sites creates step-wise increases in proneural activity (a-d). a Schematic representation of the phospho-mutant series of constructs demonstrating the SP and/or TP sites that are mutated to AP sites in each. The series consists of cumulative mutation of sites, working from N to C termini. Two-cell stage embryos were unilaterally injected with 100 pg mRNA of the respective NeuroD4 construct and assayed at stage 18 for expression of neural-β-tubulin by qRT-PCR (B[n = 3]), or whole embryo ISH (C[n = 59-77]) with representative images shown in (d). Views are dorso-ventral with injected side to the right; (p <0.05) = *; (p <0.025) = **; (p <0.0125) = ***
Fig. 6 Both WT and 6T/S-A NeuroD4 generate predominantly sensory neurons (a-e). Embryos were unilaterally injected at the two-cell stage with 100 pg of either WT or 6T/S-A NeuroD4 mRNA and at stage 18, embryos were assayed by qRT-PCR for expression of pan neuronal gene neural-β-tubulin, sensory neuron marker xHox11L2, motor neuron marker xHb9 or interneuron marker xVsx1 (a, b). Data is shown on two separate graphs due to differences in scale [n = 3]. Whole embryo ISH was also conducted to compare the pattern of expression of neural-β-tubulin and xHox11L2 (c) [n = 30â38]. Views in (c) are all dorso- ventral with injected side to the right; (p <0.05) = *; (p <0.025) = **; (p <0.0125) = ***
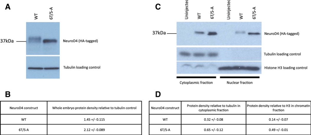
Fig. 7 6T/S-A NeuroD4 shows enhanced protein stability and enhanced chromatin binding relative to WT NeuroD4 (a-d). Embryos were injected at the one cell stage with 200 pg mRNA encoding HA-tagged versions of either WT or 6T/S-A NeuroD4. a Western blot analysis on extracts prepared from stage 13 embryos, with tubulin as a loading control. b The density of the protein band for WT or 6T/S-A NeuroD4 was quantified and expressed relative to the tubulin loading control of each sample. Mean values are shown from independent duplicate samples with the standard error of the mean. c At stage 14, cross-linking and chromatin isolation were performed prior to western blot analysis as before. No HA-tagged NeuroD4 protein was detected in the uninjected embryos confirming antibody specificity, and no tubulin protein was detected in the chromatin fraction. d NeuroD4 protein bands were again quantified relative to tubulin or histone H3 bands for cytoplasmic and chromatin fractions respectively. Mean values are shown from independent duplicate samples with the standard error of the mean.
Additional file 1. Representative embryo images to demonstrate semi-quantitative scoring system used for in situ hybridisation data. Neurogenesis was graded by comparing the extent and pattern of neural β-tubulin expression following in situ hybridisation on the injected side of the embryo relative to the uninjected side and uninjected control embryos. Scores were assigned as: 0, no difference; +1, mild increase in neurogenesis within the neural plate, with or without occasional ectopic neurons on the injected side; +2, moderate increase in neurogenesis with ectopic expression of neural β-tubulin occurring in patches on the injected side and sometimes bilaterally; +3, marked increase in neurogenesis with extensive ectopic expression of neural β-tubulin in a more homogenous pattern on the injected side and sometimes bilaterally (1396kb)
neurod4 (neuronal differentiation 4) gene expression in Xenopus laevis embryo, assayed via in situ hybridization, NF stage 14, dorsal view, anterior up.
Akagi,
Requirement of multiple basic helix-loop-helix genes for retinal neuronal subtype specification.
2004, Pubmed
Akagi,
Requirement of multiple basic helix-loop-helix genes for retinal neuronal subtype specification.
2004,
Pubmed
Ali,
Cell cycle-regulated multi-site phosphorylation of Neurogenin 2 coordinates cell cycling with differentiation during neurogenesis.
2011,
Pubmed
,
Xenbase
Ali,
The phosphorylation status of Ascl1 is a key determinant of neuronal differentiation and maturation in vivo and in vitro.
2014,
Pubmed
,
Xenbase
Bellefroid,
X-MyT1, a Xenopus C2HC-type zinc finger protein with a regulatory function in neuronal differentiation.
1996,
Pubmed
,
Xenbase
Bertrand,
Proneural genes and the specification of neural cell types.
2002,
Pubmed
Briscoe,
Specification of neuronal fates in the ventral neural tube.
2001,
Pubmed
Castro,
A novel function of the proneural factor Ascl1 in progenitor proliferation identified by genome-wide characterization of its targets.
2011,
Pubmed
Chenna,
Multiple sequence alignment with the Clustal series of programs.
2003,
Pubmed
Chitnis,
Primary neurogenesis in Xenopus embryos regulated by a homologue of the Drosophila neurogenic gene Delta.
1995,
Pubmed
,
Xenbase
Chitnis,
Control of neurogenesis--lessons from frogs, fish and flies.
1999,
Pubmed
,
Xenbase
Curtis,
Concise review: Blood relatives: formation and regulation of hematopoietic stem cells by the basic helix-loop-helix transcription factors stem cell leukemia and lymphoblastic leukemia-derived sequence 1.
2012,
Pubmed
D'Autilia,
Cloning and developmental expression of the Xenopus homeobox gene Xvsx1.
2006,
Pubmed
,
Xenbase
Errico,
Identification of substrates for cyclin dependent kinases.
2010,
Pubmed
,
Xenbase
Farah,
Generation of neurons by transient expression of neural bHLH proteins in mammalian cells.
2000,
Pubmed
Hardwick,
Nervous decision-making: to divide or differentiate.
2014,
Pubmed
Hindley,
Post-translational modification of Ngn2 differentially affects transcription of distinct targets to regulate the balance between progenitor maintenance and differentiation.
2012,
Pubmed
,
Xenbase
Imayoshi,
Oscillatory control of bHLH factors in neural progenitors.
2014,
Pubmed
Jarman,
atonal is a proneural gene that directs chordotonal organ formation in the Drosophila peripheral nervous system.
1993,
Pubmed
Jarman,
The specificity of proneural genes in determining Drosophila sense organ identity.
1998,
Pubmed
Kageyama,
Regulation of mammalian neural development by helix-loop-helix transcription factors.
1995,
Pubmed
Koyano-Nakagawa,
Activation of Xenopus genes required for lateral inhibition and neuronal differentiation during primary neurogenesis.
1999,
Pubmed
,
Xenbase
Lee,
A regulatory network to segregate the identity of neuronal subtypes.
2008,
Pubmed
Lee,
Conversion of Xenopus ectoderm into neurons by NeuroD, a basic helix-loop-helix protein.
1995,
Pubmed
,
Xenbase
Li,
Phosphorylation regulates OLIG2 cofactor choice and the motor neuron-oligodendrocyte fate switch.
2011,
Pubmed
Ma,
Identification of neurogenin, a vertebrate neuronal determination gene.
1996,
Pubmed
,
Xenbase
Ma,
Regulation of motor neuron specification by phosphorylation of neurogenin 2.
2008,
Pubmed
Mazurier,
Ascl1 as a novel player in the Ptf1a transcriptional network for GABAergic cell specification in the retina.
2014,
Pubmed
,
Xenbase
McDowell,
Phosphorylation in intrinsically disordered regions regulates the activity of Neurogenin2.
2014,
Pubmed
,
Xenbase
Moore,
Posttranslational mechanisms control the timing of bHLH function and regulate retinal cell fate.
2002,
Pubmed
,
Xenbase
Nguyen,
p27kip1 independently promotes neuronal differentiation and migration in the cerebral cortex.
2006,
Pubmed
Olson,
Properties of ectopic neurons induced by Xenopus neurogenin1 misexpression.
1998,
Pubmed
,
Xenbase
Patterson,
Hox11-family genes XHox11 and XHox11L2 in xenopus: XHox11L2 expression is restricted to a subset of the primary sensory neurons.
1999,
Pubmed
,
Xenbase
Pauklin,
The cell-cycle state of stem cells determines cell fate propensity.
2013,
Pubmed
Perron,
X-ngnr-1 and Xath3 promote ectopic expression of sensory neuron markers in the neurula ectoderm and have distinct inducing properties in the retina.
1999,
Pubmed
,
Xenbase
Philpott,
Lineage selection and plasticity in the intestinal crypt.
2014,
Pubmed
Powell,
Context dependence of proneural bHLH proteins.
2008,
Pubmed
Pufall,
Variable control of Ets-1 DNA binding by multiple phosphates in an unstructured region.
2005,
Pubmed
Rashbass,
The DNA-binding protein E12 co-operates with XMyoD in the activation of muscle-specific gene expression in Xenopus embryos.
1992,
Pubmed
,
Xenbase
Roztocil,
NeuroM, a neural helix-loop-helix transcription factor, defines a new transition stage in neurogenesis.
1997,
Pubmed
Saha,
Dorsal-ventral patterning during neural induction in Xenopus: assessment of spinal cord regionalization with xHB9, a marker for the motor neuron region.
1997,
Pubmed
,
Xenbase
Salazar,
Allosteric regulation of the transcription factor NFAT1 by multiple phosphorylation sites: a mathematical analysis.
2003,
Pubmed
Seo,
The SWI/SNF chromatin remodeling protein Brg1 is required for vertebrate neurogenesis and mediates transactivation of Ngn and NeuroD.
2005,
Pubmed
,
Xenbase
Seo,
Neurogenin and NeuroD direct transcriptional targets and their regulatory enhancers.
2007,
Pubmed
,
Xenbase
Song,
Phosphorylation of nuclear MyoD is required for its rapid degradation.
1998,
Pubmed
Takebayashi,
Conversion of ectoderm into a neural fate by ATH-3, a vertebrate basic helix-loop-helix gene homologous to Drosophila proneural gene atonal.
1997,
Pubmed
,
Xenbase
Vernon,
The cdk inhibitor p27Xic1 is required for differentiation of primary neurones in Xenopus.
2003,
Pubmed
,
Xenbase
Wang,
The role of combinational coding by homeodomain and bHLH transcription factors in retinal cell fate specification.
2005,
Pubmed
,
Xenbase
Wylie,
Ascl1 phospho-status regulates neuronal differentiation in a Xenopus developmental model of neuroblastoma.
2015,
Pubmed
,
Xenbase
Yan,
bHLH genes and retinal cell fate specification.
2005,
Pubmed