XB-ART-50752
Dev Dyn
2015 Aug 01;2448:988-1013. doi: 10.1002/dvdy.24295.
Show Gene links
Show Anatomy links
Functional analysis of Hairy genes in Xenopus neural crest initial specification and cell migration.
Vega-López GA
,
Bonano M
,
Tríbulo C
,
Fernández JP
,
Agüero TH
.
???displayArticle.abstract???
Neural crest formation is one of the fundamental processes in the early stages of embryonic development in vertebrates. This transient and multipotent embryonic cell population is able to generate a variety of tissues and cell types in the adult body. hairy genes are transcription factors that contain a basic helix-loop-helix domain which binds to DNA. In Xenopus three hairy genes are known: hairy1, hairy2a, and hairy2b. The requirement of hairy genes was explored in early neural crest development although the late requirements of these genes during neural crest maintenance, migration and derivatives formation are still unknown. In this work, we extended the analysis of Xenopus hairy genes expression patterns and described new domains of expression. Functional analysis showed that hairy genes are required for the induction and migration of the neural crest and for the control of apoptosis. Moreover, we showed that hairy genes function as transcriptional repressors and that they are down-regulated by bone morphogenetic protein-Smad signaling and positively regulated by the Notch/Delta-Su(h) pathway. Our results indicate that hairy genes have a functional equivalence between them and that they are required for multiple processes during neural crest development.
???displayArticle.pubmedLink??? 25997789
???displayArticle.link??? Dev Dyn
Species referenced: Xenopus
Genes referenced: bmp4 bmpr1a dll1 eef1a2 elavl1 foxd3 hes1 hes4 krt12.4 notch1 pax3 smad10 snai1 snai2 sox2
???displayArticle.morpholinos??? hes4 MO5
Phenotypes: Xla Wt + {ca}notch1-GR (Fig.2.j) [+]
Xla Wt + {ca}notch1-GR
(Fig.2.n)
Xla Wt + {ca}rbpj-notch1{del}-GR (Fig.2.g)
Xla Wt + {ca}rbpj-notch1{del}-GR (Fig.2.h)
Xla Wt + {ca}rbpj-notch1{del}-GR (Fig.2.i)
Xla Wt + {dn}bmp4 (Fig.2.a)
Xla Wt + {dn}bmp4 (Fig.2.d)
Xla Wt + {dn}bmpr1a (Fig.2.b)
Xla Wt + {dn}bmpr1a (Fig.2.e)
Xla Wt + {dn}dll1 (Fig.2.k)
Xla Wt + {dn}dll1 (Fig.2.l)
Xla Wt + {dn}dll1 (Fig.2.m)
Xla Wt + {dn}hes1-GR + DEX (fig.10.d)
Xla Wt + {dn}hes1-GR + DEX (fig.6.m)
Xla Wt + {dn}hes1-GR + DEX (fig.6.n, p)
Xla Wt + {dn}hes1-GR + DEX (fig.6.o, p)
Xla Wt + {dn}hes1-GR + DEX (fig.9.d)
Xla Wt + {dn}hes1-GR + DEX + aphidicolin + hydroxyurea (fig.7.d)
Xla Wt + {dn}hes1-GR + DEX + aphidicolin + hydroxyurea (fig.7.j)
Xla Wt + {dn}hes4-GR + DEX (fig.10.e)
Xla Wt + {dn}hes4-GR + DEX (fig.10.f)
Xla Wt + {dn}hes4-GR + DEX (fig.11.a)
Xla Wt + {dn}hes4-GR + DEX (fig.11.b)
Xla Wt + {dn}hes4-GR + DEX (fig.11.c)
Xla Wt + {dn}hes4-GR + DEX (fig.11.d)
Xla Wt + {dn}hes4-GR + DEX (fig.6.q)
Xla Wt + {dn}hes4-GR + DEX (fig.6.r, t)
Xla Wt + {dn}hes4-GR + DEX (fig.6.s, t)
Xla Wt + {dn}hes4-GR + DEX (fig.6.u)
Xla Wt + {dn}hes4-GR + DEX (fig.6.v, x)
Xla Wt + {dn}hes4-GR + DEX (fig.6.w, x)
Xla Wt + {dn}hes4-GR + DEX (fig.9.e)
Xla Wt + {dn}hes4-GR + DEX (fig.9.f)
Xla Wt + {dn}hes4-GR + DEX + aphidicolin + hydroxyurea (fig.7.e)
Xla Wt + {dn}hes4-GR + DEX + aphidicolin + hydroxyurea (fig.7.f)
Xla Wt + {dn}hes4-GR + DEX + aphidicolin + hydroxyurea (fig.7.k)
Xla Wt + {dn}hes4-GR + DEX + aphidicolin + hydroxyurea (fig.7.l)
Xla Wt + hes1-GR + DEX (fig.10.a)
Xla Wt + hes1-GR + DEX (fig.6.a)
Xla Wt + hes1-GR + DEX (fig.6.b,d)
Xla Wt + hes1-GR + DEX (fig.6.c,d)
Xla Wt + hes1-GR + DEX (fig.9.a)
Xla Wt + hes1-GR + DEX + aphidicolin + hydroxyurea (fig.7.a)
Xla Wt + hes1-GR + DEX + aphidicolin + hydroxyurea (fig.7.g)
Xla Wt + hes4-GR + DEX (fig.10.b)
Xla Wt + hes4-GR + DEX (fig.10.c)
Xla Wt + hes4-GR + DEX (fig.6.e)
Xla Wt + hes4-GR + DEX (fig.6.f,h)
Xla Wt + hes4-GR + DEX (fig.6.g,h)
Xla Wt + hes4-GR + DEX (fig.6.i)
Xla Wt + hes4-GR + DEX (fig.6.i, l)
Xla Wt + hes4-GR + DEX (fig.6.k, l)
Xla Wt + hes4-GR + DEX (fig.9.b)
Xla Wt + hes4-GR + DEX (fig.9.c)
Xla Wt + hes4-GR + DEX + aphidicolin + hydroxyurea (fig.7.b)
Xla Wt + hes4-GR + DEX + aphidicolin + hydroxyurea (fig.7.c)
Xla Wt + hes4-GR + DEX + aphidicolin + hydroxyurea (fig.7.h)
Xla Wt + hes4-GR + DEX + aphidicolin + hydroxyurea (fig.7.i)
Xla Wt + hes4-GR-EnR + DEX (fig.4.a)
Xla Wt + hes4-GR-EnR + DEX (fig.4.b)
Xla Wt + hes4-GR-EnR + DEX (fig.4.e)
Xla Wt + hes4-GR-EnR + DEX (fig.4.f)
Xla Wt + hes4-Hsa.E1A-GR + DEX (fig.4.c)
Xla Wt + hes4-Hsa.E1A-GR + DEX (fig.4.d)
Xla Wt + hes4 MO (fig.13.b)
Xla Wt + hes4 MO (fig.5.g)
Xla Wt + hes4 MO (fig.5.h)
Xla Wt + hes4 MO (fig.5.i)
Xla Wt + hes4 MO (fig.5.j)
Xla Wt + hes4 MO (fig.9.g)
Xla Wt + hes4 MO + DEX (fig.4.g)
Xla Wt + hes4 MO + DEX (fig.4.h)
Xla Wt + smad4.2 (Fig.2.c)
Xla Wt + smad4.2 (Fig.2.f)
Xla Wt + {ca}rbpj-notch1{del}-GR (Fig.2.g)
Xla Wt + {ca}rbpj-notch1{del}-GR (Fig.2.h)
Xla Wt + {ca}rbpj-notch1{del}-GR (Fig.2.i)
Xla Wt + {dn}bmp4 (Fig.2.a)
Xla Wt + {dn}bmp4 (Fig.2.d)
Xla Wt + {dn}bmpr1a (Fig.2.b)
Xla Wt + {dn}bmpr1a (Fig.2.e)
Xla Wt + {dn}dll1 (Fig.2.k)
Xla Wt + {dn}dll1 (Fig.2.l)
Xla Wt + {dn}dll1 (Fig.2.m)
Xla Wt + {dn}hes1-GR + DEX (fig.10.d)
Xla Wt + {dn}hes1-GR + DEX (fig.6.m)
Xla Wt + {dn}hes1-GR + DEX (fig.6.n, p)
Xla Wt + {dn}hes1-GR + DEX (fig.6.o, p)
Xla Wt + {dn}hes1-GR + DEX (fig.9.d)
Xla Wt + {dn}hes1-GR + DEX + aphidicolin + hydroxyurea (fig.7.d)
Xla Wt + {dn}hes1-GR + DEX + aphidicolin + hydroxyurea (fig.7.j)
Xla Wt + {dn}hes4-GR + DEX (fig.10.e)
Xla Wt + {dn}hes4-GR + DEX (fig.10.f)
Xla Wt + {dn}hes4-GR + DEX (fig.11.a)
Xla Wt + {dn}hes4-GR + DEX (fig.11.b)
Xla Wt + {dn}hes4-GR + DEX (fig.11.c)
Xla Wt + {dn}hes4-GR + DEX (fig.11.d)
Xla Wt + {dn}hes4-GR + DEX (fig.6.q)
Xla Wt + {dn}hes4-GR + DEX (fig.6.r, t)
Xla Wt + {dn}hes4-GR + DEX (fig.6.s, t)
Xla Wt + {dn}hes4-GR + DEX (fig.6.u)
Xla Wt + {dn}hes4-GR + DEX (fig.6.v, x)
Xla Wt + {dn}hes4-GR + DEX (fig.6.w, x)
Xla Wt + {dn}hes4-GR + DEX (fig.9.e)
Xla Wt + {dn}hes4-GR + DEX (fig.9.f)
Xla Wt + {dn}hes4-GR + DEX + aphidicolin + hydroxyurea (fig.7.e)
Xla Wt + {dn}hes4-GR + DEX + aphidicolin + hydroxyurea (fig.7.f)
Xla Wt + {dn}hes4-GR + DEX + aphidicolin + hydroxyurea (fig.7.k)
Xla Wt + {dn}hes4-GR + DEX + aphidicolin + hydroxyurea (fig.7.l)
Xla Wt + hes1-GR + DEX (fig.10.a)
Xla Wt + hes1-GR + DEX (fig.6.a)
Xla Wt + hes1-GR + DEX (fig.6.b,d)
Xla Wt + hes1-GR + DEX (fig.6.c,d)
Xla Wt + hes1-GR + DEX (fig.9.a)
Xla Wt + hes1-GR + DEX + aphidicolin + hydroxyurea (fig.7.a)
Xla Wt + hes1-GR + DEX + aphidicolin + hydroxyurea (fig.7.g)
Xla Wt + hes4-GR + DEX (fig.10.b)
Xla Wt + hes4-GR + DEX (fig.10.c)
Xla Wt + hes4-GR + DEX (fig.6.e)
Xla Wt + hes4-GR + DEX (fig.6.f,h)
Xla Wt + hes4-GR + DEX (fig.6.g,h)
Xla Wt + hes4-GR + DEX (fig.6.i)
Xla Wt + hes4-GR + DEX (fig.6.i, l)
Xla Wt + hes4-GR + DEX (fig.6.k, l)
Xla Wt + hes4-GR + DEX (fig.9.b)
Xla Wt + hes4-GR + DEX (fig.9.c)
Xla Wt + hes4-GR + DEX + aphidicolin + hydroxyurea (fig.7.b)
Xla Wt + hes4-GR + DEX + aphidicolin + hydroxyurea (fig.7.c)
Xla Wt + hes4-GR + DEX + aphidicolin + hydroxyurea (fig.7.h)
Xla Wt + hes4-GR + DEX + aphidicolin + hydroxyurea (fig.7.i)
Xla Wt + hes4-GR-EnR + DEX (fig.4.a)
Xla Wt + hes4-GR-EnR + DEX (fig.4.b)
Xla Wt + hes4-GR-EnR + DEX (fig.4.e)
Xla Wt + hes4-GR-EnR + DEX (fig.4.f)
Xla Wt + hes4-Hsa.E1A-GR + DEX (fig.4.c)
Xla Wt + hes4-Hsa.E1A-GR + DEX (fig.4.d)
Xla Wt + hes4 MO (fig.13.b)
Xla Wt + hes4 MO (fig.5.g)
Xla Wt + hes4 MO (fig.5.h)
Xla Wt + hes4 MO (fig.5.i)
Xla Wt + hes4 MO (fig.5.j)
Xla Wt + hes4 MO (fig.9.g)
Xla Wt + hes4 MO + DEX (fig.4.g)
Xla Wt + hes4 MO + DEX (fig.4.h)
Xla Wt + smad4.2 (Fig.2.c)
Xla Wt + smad4.2 (Fig.2.f)
???attribute.lit??? ???displayArticles.show???
|
|
Figure 1 Comparative expression pattern of hairy genes. Whole-mount in situ hybridization analysis of spatio-temporal hairy genes expression. AâC, EâG, IâK, M, and OâS: Dorsal view of Xenopus laevis embryos; anterior side is on the right. N: Dorsoâlateral view. D, H, L: Lateral view. Mâ², Nâ², Oâ²,Qâ², Râ²: Transversal sections. Dashed lines in M, N, O, P, Q and R indicate the sites of transverse section shown in Mâ², Nâ², Oâ², Pâ² Qâ² and Râ², respectively. A: hairy1 transcripts are first detected since the early neurula stage (stage 11.5) in the dorsal region of embryos at the neural plate (black arrowheads) and neural plate borders (white arrowheads). B,C: During neurulation (stages 13â16), hairy1 is expressed in the neural plate borders (arrowheads) and surrounding the anterior neural plate (asterisk). At stage 16 the increased expression in the anterior neural plate is remarkable. D: Stage 20 embryo. Arrowheads show the expression from the dorsal to the anteriorâventral region. The red arrowhead shows the anterior expression in the optic vesicle. Arrowheads show the expression in different placodes (see text). E: hairy2a transcripts are first detected since the early neurula stage (stage 11) in the dorsal region of embryos at the neural plate border (yellow and black arrowheads) and in the prechordal mesoderm (white arrowheads). F,G: During neurulation (stages 13â16), hairy2a expression is predominant in the anterior neural fold (yellow arrows), in the neural crest region (black arrowheads) and in the prospective floor plate (white arrowheads). H: Stage 22 embryo. The expression of hairy2a can be seen in the cephalic streams of migrating neural crest cells (black arrowheads) and in the optic placode (red arrowhead). I: Early expression of hairy2b can be observed in the anterior neural fold (yellow arrow), in the lateral neural fold (black arrowhead) and in the posterior part or the neural plate (white arrowhead). J,K: During neurulation (stages 13â16), the expression of hairy2b can be observed in the prospective neural crest region (black arrowheads), in the anterior neural fold (yellow arrowhead), in the prospective floor plate (white arrowheads), and a transversal expression in the middle of the neural plate (green arrowhead). L: Stage 21 embryo. hairy2b expression is shown in migratory cephalic neural crest (black arrowheads) and the optic placode (red arrowhead). MâR: Double in situ hybridizations for hairy and foxd3, or sox2. Mâ²âNâ²: Transverse sections of St. 15 neurula embryos displayed in MâN showing that hairy1 (Mâ², purple, arrowheads) expression is surrounded by foxd3 (neural crest expression, turquoise, asterisk), and hairy1 expression (N, purple) is located at the outer limit (arrowheads) of the neural plate domain revealed by sox2 gene expression (turquoise, white asterisk). Oâ²âRâ²: Transverse sections of St. 15 neurula embryos displayed in OâS showing that hairy2a and hairy2b (turquoise) expression overlaps with foxd3 (purple) in the neural crest territory (Oâ² and Râ², black asterisk: foxd3 neural crest expression) and is complementary with sox2 (turquoise) expressions (Pâ²,Râ²). np, neural plate. |
|
|
Figure 2 hairy genes are regulated by Notch and BMP pathways. AâF: One blastomere of a 8- to 16-cell stage embryo was injected with mRNA of CM-bmp4 (250 pg; A, D) or DN-bmpr (500 pg; B, E). Note the expansion of hairy2b or hairy2a markers (respectively, arrowheads). In smad4 (1 ng) a decreased expression of hairy2a (C) or hairy2b (F) can be observed with respect to the control. GâI: Microinjection of Su(H)Ank-MT-GR mRNA (700 ng). Note the expansion of the expression of hairy1 (G), hairy2a (H), and hairy2b (I) on the injected side with respect the control. KâM: Microinjection of delta-Stu mRNA (1 ng). Note the decrease in hairy1 (K), hairy2a (L) and hairy2b (M). J,N: Microinjection of icd22-GR (700 ng). Note the expansion in hairy2a (J) and hairy2b (N) expressions. |
|
|
Figure 3 Temporal requirement of Notch/Delta signaling during early neural crest development. AâG: Groups of NC explants were isolated from hairy constructs mRNA injected embryos and cultured from stage 12.5 to 14. Inset in AâC and EâG: the fluorescent picture verifies the injection. AâC: hairy-GR activator constructs inject explants strongly express pax3. DâG: DNhairy-GR constructs inject explants showed no changes with respect to control NC (D). HâO: Neural crest explants (NC) were prepared by dissection of the neural crest. Groups of explants were fixed immediately after excision (left), at stages 13 or 17. Groups of explants were cultured until stages 17 or 22 in the presence or absence of DAPT (see text for details). H,L: NC explants removed from embryos at different stages express foxd3 when fixed at the moment of dissection. I: NC explants dissected from stage 13 embryos and cultured until stage 17 express foxd3. J: The NC explants isolated at stage 13 and cultured until stage 17 in the presence of 100 μM DAPT lose foxd3 expression. K: The hairy2b-GR mRNA strongly rescued foxd3 expression of DAPT treated NC explants. M: NC explants dissected at stage 17 cultured until stage 23 shown foxd3 expression. N: DAPT treatment of NC explants isolated from stage 17 embryos produced inhibition of foxd3 expression. O: The hairy2b-GR mRNA strongly rescued foxd3 expression of DAPT treated NC explants. |
|
|
Figure 4 hairy genes work as transcriptional repressor. AâH: One blastomere of a four- to eight-cell stage embryo was injected with 700 pg of mRNA of hairy2a and hairy2b repressor construct (A,B, E,F) or the hairy2a and hairy2b activator construct (C,D, G,H), treated with dexamethasone at stage 12.5 and fixed at stage 16, and the expression of neural crest markers snail2 (A,C,E,G) and foxd3 (B,D,F,H) were analyzed. Arrowhead shows injected side. Note that the snail2 repressor construct (hairy2-GR-EnR) produced an expansion in neural crest markers on the injected side (A,B, E,F) while the hairy2a and hairy2b activator lead to inhibition in the expression of the markers (C,D, G,H). |
|
|
Figure 5 hairy2b is required for early neural crest specification in Xenopus embryos. AâP: Dorsal views. AâF: In vitro and in vivo efficiency of hairy2b antisense morpholino oligonucleotide (hairy2bMO). Embryos under a fluorescence stereo microscope; anterior side is on the right. White arrowheads indicate the injected side. Aâ²,Bâ²,Dâ²,Eâ²,Fâ²: Fluorescence and clear field images of each embryo are shown in merged images. AâAâ²: Embryo injected with mRNA encoding hairy2bGFP (1 ng/embryo) showing GFP fluorescence on the treated side. BâBâ²: Embryo injected with hairy2bGFP mRNA (1 ng/embryo) and control antisense morpholino oligonucleotide (ControlMO, 20 ng/embryo). CâCâ²,DâDâ²: Embryos injected with hairy2bGFP mRNA (1 ng/embryo) and hairy2bMO (CâCâ², low dose (l), 5 ng/embryo; D and Dâ², high dose (h), 10 ng/embryo). No embryo shows GFP fluorescence at a high dose of hairy2bMO. E,F: Embryo injected with mRNA encoding CRhairy2bGFP (EâEâ², 1 ng/embryo) alone or co-injected with hairy2bMO (FâFâ², high dose (h), 10 ng/embryo) showing GFP fluorescence on the treated side. GâP: Analysis of hairy2bMO effects on neural crest early specification. Dorsal views, anterior side is on the right. Black arrowheads indicate the injected side. G,H: hairy2bMO-injected embryos show inhibition of foxd3 and snail2 neural crest markers, respectively. I,J: The expression of the neural plate marker sox2 and the epidermal marker xk81a are expanded on the hairy2bMO-treated side. K,P: Co-injection of hairy2bMO and hairy1-GR or hairy2a-GR or hairy2b-GR mRNA rescues, snail2 (KâM) and sox2 (NâP) expression. The hairy genes rescue the expression of foxd3 in the neural crest (KâM) and the expression of sox2 in the neural plate (NâP). |
|
|
Figure 6 hairy genes participate in the early formation of neural crest cells. AâX: Dorsal views of Xenopus laevis embryos; anterior side is on the right. The injected side is indicated by an arrowhead. Embryos were injected into one blastomere at the 8- to 16-cell stage with 700 ng of mRNA, treated with dexamethasone stage 11 until neurula stages and fixed, and the expression of several markers was analyzed by in situ hybridization. No change was observed in the control injected embryos nonincubated with dexamethasone (insets in A, E, I, M, Q, and U). AâL: Gain of function. hairy activator constructs mRNA-injected embryos show increased expression of snail2 (A,E,I) while neural plate marker sox2 (B,F,J) and epidermis marker xk81a (C,G,K) are reduced. D,H,L: Embryos labeled by double in situ hybridization for sox2 and xk81a genes showing the increase in prospective neural crest region (black brackets) in the injected side (arrowheads). MâX: Loss of function. Conversely, DNhairy constructs mRNA-injected embryos show that neural crest markers snail2 are reduced in the injected side (M,Q,U) while neural plate marker sox2 (N,R,V) and the epidermis marker xk81a (O,S,W) are slightly increased. Pâ², Tâ², Xâ²: Rescue of DNhairy by coinjecting mRNA of hairy activator constructs. The phenotype of the neural crest marker foxd3 was rescued by the co-injection of hairy1-GR (Pâ²), hairy2a-GR (Tâ²) and hairy2b-GR (Xâ²). P,T,X: Embryos labeled by double in situ hybridization for sox2 and xk81a genes showing the decrease in prospective neural crest territory (black brackets indicate width) in the injected side. |
|
|
Figure 7 hairy genes do not control cell proliferation during neural crest specification. AâR: Dorsal views of Xenopus laevis embryos; anterior side is on the right. The injected side is indicated by an arrowhead. Embryos injected into one blastomere at the 8- to 16-cell stage with 700 ng of hairy constructs mRNA were treated with dexamethasone and HUA (hydroxiurea 20 mM, aphidicolin 150 μM) at stage 11 until neurula stages and fixed. AâL: hairy inducible constructs mRNA or DNhairy constructs mRNA-injected embryos were incubated in the presence of HUA inhibitors mix until the neurula stage. The expression of foxd3 was analyzed by in situ hybridization. hairy inducible constructs produced an expanded foxd3 labeling (AâC) and DNhairy constructs caused a decrease in foxd3 labeling (DâF). hairy constructs reduced the expression of sox2 marker in the neural plate (GâI) and DNhairy constructs produced an expansion in sox2 labeling (JâL). The presence of HUA caused no changes in the foxd3 and sox2 phenotype after hairy gain or loss of function. MâR: Whole-mount anti-phospho H3 immunohistochemistry labeling was performed as indicated in the Experimental Procedures section. The injected side can be recognized by the fluorescence of the lineage tracer fluorescein dextran and is indicated by a white arrowhead. S: Quantification of phospho-H3 labeling for hairy constructs-microinjected embryos. No significant changes were observed in cell proliferation caused by the microinjection of hairy or DNhairy inducible constructs. T: No significant anti-histone H3 staining was observed in embryos treated only with HUA. |
|
|
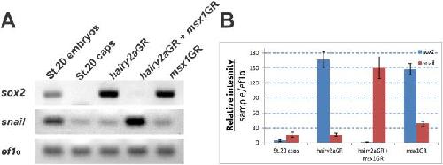
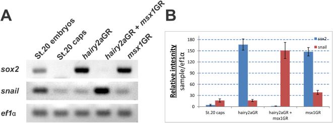
Figure 8 hairy2a activity on naive ectodermal tissue. Each blastomere of a 2-cell stage embryo was injected with 1 ng of inducible construction mRNA of hairy2aGR, msx1GR or a mixture of both genes. The embryos developed until stage 8, and then animal caps were isolated and incubated with dexamethasone from equivalent stage 11 until stage 20. Total mRNA was isolated and analyzed by RT-PCR. A: The expression of ectodermal tissue markers sox2 (neural plate) and snail1 (neural crest) was assessed. The expression of ef1α was analyzed as a loading control for each sample. B: Quantitation of gene expression results shown in panel A. The results are expressed as relative intensity values (calculated as the ratio between each sample band intensity and its corresponding ef1α band intensity à 100). |
|
|
Figure 9 hairy genes participate in the control of apoptosis during neural crest initial development. AâH: Dorsal views of Xenopus laevis embryos; anterior side is on the right. The injected side, indicated by an arrowhead, is also recognizable by the presence of the lineage tracer FDx (turquoise). Wholemount TUNEL labeling was performed as indicated in the Experimental Procedures section. Embryos were injected into one blastomere at the 8- to 16-cell stage with 700 ng of hairy inducible constructs mRNA (AâC), DNhairy constructs mRNA (DâF), hairyMO (G), or ControlMO (H), incubated until stage 17 and fixed. For inducible constructs, dexamethasone was added at stage 14, after the initial specification of neural crest. I: Quantification of TUNEL labeling for hairy construction-microinjected embryos (see Experimental Procedures section). The changes in apoptosis status caused by the microinjection of hairy constructions mRNA were statistically significant (Student t-test: **P ⤠0.05; *P ⤠0.1). |
|
|
Figure 10 hairy genes are involved in the control of neural crest migration. AâF: One blastomere of a 8- to 16-cell stage embryo was injected with 700 ng of inducible constructs mRNA and FDA as a linage tracer (turquoise, arrowhead). Embryos were fixed at stage 21â22. The overexpression of the hairy inducible constructs increased the migration of cephalic neural crest cells (snail2, AâC) compared with the control side (Aâ²âCâ²). The overexpression of the hairy inducible dominant negative constructs reduced the migration of the cephalic neural crest (snail2, D,E) in comparison with the control side (Dâ²âEâ²). The leading edge of cephalic stream migration is indicated by a dashed line. |
|
|
Figure 11 hairy genes are differentially required for the neural crest migration process. The anterior side of the embryos is on the right. One blastomere of a 8- to 16-cell stage embryo was injected with mRNA encoding inducible constructions of hairy2 genes and were cultured until stage 17 or 20 when the construction was activated with dexamethasone. After activation, embryos were cultured until stages 21 or 23, respectively, and the expression pattern of the snail2 marker was analyzed. Black arrowheads indicate the injected side, which can be also recognized by the turquoise FDA staining. A,C: The overexpression of the dominant negative inducible constructs markedly decreased the migration of cephalic neural crest cells when dexamethasone was added at the beginning of neural crest cell migration (stage 17), in comparison with the control side (Aâ²âDâ²). B,D: Neural crest cephalic migration was slightly inhibited when DNhairy2 inducible constructs were activated at stage 20 when the migration was occurring. The leading edge of cephalic streams migration is indicated by a dashed line. EâH: Co-injection of DNhairy2 mRNA and mRNA encoding a different hairy2 gene inducible construct. E,G: The effects of reduced migration of DNhairy2a on the expression of the ectodermal marker snail2 were rescued by the co-injection of hairy2b. F,H: The effects of reduced migration of DNHairy2b on the expression of the ectodermal marker snail2 were partially rescued by directed co-injection of hairy2a. |
|
|
Figure 12 hairy2b participates during neural crest migration. AâC: Transplantation of neural crest made in stage 16â17 embryos cultured until stage 23â24. Lateral views. Anterior side of the embryos is on the right. The three streams of cranial neural crest migration heads are indicated by white arrowheads. Transplanted tissues came from embryos injected with FDA (3.5 μg / embryo) (AâAâ²); 700 pg mRNA of DNHairy2b-GR without dexamethasone (BâBâ²) and with dexamethasone (CâCâ²). AâAâ²: FDA-neural crest transplant in normal recipient embryos. Note cell migration and migratory streams (arrowhead in Aâ²). BâBâ²: Neural crest transplantation containing the inducible protein DNHairy2b-GR with FDA in normal recipient embryos ithout the addition of dexamethasone. Note the normal migration, similar to the one performed only with FDA (arrowheads in Bâ²). CâCâ²: Transplant identical to (B) with the addition of dexamethasone. Note that neural crest migration is inhibited. Op, optic vesicle. All photographs taken through a fluorescence microscope were captured under the same conditions. |
|
|
Figure 13 hairy genes are involved in the formation of craniofacial cartilage derived from neural crest. Embryos were injected in one blastomere at the 16-cell stage; cartilage was visualized after Alcyan-blue staining and analyzed at stage 45. A,B,D: Anterior part is toward the top, ventral view. Arrowheads indicate the injected side. At stage 45, hairy2bMO-injected (B) embryos show a reduction in cranial cartilage while ControlMO-injected (A) embryos show no changes in the same cartilage. C: Diagram of the effects of hairy2bMO on head cartilage of a Xenopus tadpole. CH, ceratohyal cartilage; CB, ceratobranchial cartilage; BH, basihyal cartilage; Ir, infrarrostral; M, Meckel cartilage. EâH: Normal cartilage formation was completely rescued by co-injection of hairy2bMO and hairy1-GR mRNA. E,F: Analysis of melanocyte (Stage 38) formation in embryos injected with 700 ng of hairy2b-GR (E,G) and DNhairy2b-GR (F,H) mRNA. Injected embryos do not show inhibition in melanocyte development. |
|
|
Figure 14 Diagram representing a unified model of the signals involved in neural crest development. Three ectodermal domains are shown (neural plate, neural crest and nonneural ectoderm) and four underlying mesodermal domains (axial, paraxial, intermediate, and lateral). The blue gradient represents BMP activity in the ectoderm. In the lateral domain to the neural crest Notch/Delta signal activates the hairy1 gene that is also involved in neurogenesis in the neural plate and in the specification of the placodes in the nonneural domain. Some regulatory relationships described in this work involving hairy genes are shown in the neural crest region. References: Arrows indicate activation or positive relationships; truncated arrows indicate inhibitory or negative relationships. M, mesoderm. Modified from Huang and Saint-Jeannet ([1]). |
