|
Fig. 1. Efficiency of paraxis antisense morpholino oligonucleotide. AâD: Dorsal views of Xenopus laevis embryos under a fluorescence stereoscopic microscope; anterior side is uppermost. Yellow arrows indicate the injected side. A: Embryos injected with mRNA that encoding paraxisâGFP (0.4 ng/embryo) showing GFP fluorescence. B: Embryos co-injected with paraxisâGFP mRNA (0.4 ng/embryo) and paraxisMO (30 ng/embryo). paraxisMO inhibits in vivo expression of paraxis-GFP. C: Embryos coinjected with paraxisâGFP mRNA (0.4 ng/embryo) and CtrMO (30 ng/embryo). D: Embryos coinjected with mRNA that encoding RparaxisâGFP (0.4 ng/embryo) and paraxisMO (30 ng/embryo) showing GFP fluorescence. The expression of Rparaxis-GFP was not affected by the presence of paraxisMO. A'âD': Fluorescence and clear field images of each embryo are superposed and shown in merged images. E: Western blot assay, paraxisMO inhibits translation of paraxis-GFP in a dose-dependent manner (lane 1â3) while the expression of Rparaxis-GFP was not affected. Black and blue arrow indicate Paraxis-GFP and Resparaxis-GFP protein product, respectively. g-Tubulin was used as loading control. The negative control was performed using uninjected embryos. F: Densitometric analysis of the expression of GFP show in E. Ctr.(-), negative control.
|
|
Fig. 2. Gross morphology of embryos in experiments of loss and gain function of paraxis gene. Embryos were unilaterally injected with 0.5 ng of DNparaxis-GR mRNA (A), 25 ng of paraxisMO (C), 25 ng of CtrMO (D), or 1 ng of paraxis-GR mRNA (E). B,F: Uninjected control embryos. The alteration of the expression of paraxis in the paraxial mesoderm leads to curvature of anteroposterior axis of the embryos.
|
|
Fig. 3. SEM analysis of Xenopus somitogenesis in paraxis knockdown experiments. Dorsal views of Xenopus embryos at the tail-bud stage. Embryos were unilaterally injected with 1 ng of DNparaxis-GR mRNA (B,D,F), 40 ng of paraxisMO (GâK) or 40 ng of CtrMO (M) together with the lineage tracer FDA. A: The injected side of the embryos was determined by observing the fluorescence of FDA. B: Knockdown of paraxis using DNparaxis-GR leads to the formation of irregular intersomitic boundaries and sometimes fusion of somites was observed. White arrows indicate intersomitic boundaries. C: Schematic representation of B. D: Knockdown of paraxis causes a delay in the rotation of somitic cells during somitogenesis. E: Schematic representation of D. F: Enlargement of D at the level of the transition zone (S0). White arrowheads indicate the orientation of presomitic cells. G: Loss of function of paraxis using paraxisMO morpholino leads to severe cellular disorganization. H,I: Micrographs of the somite injected with paraxis-MO and of uninjected control side, respectively, in which is observed the dermatome cells. J,K: Enlargement of H and I, respectively, in which filopodial extensions are shown. M: Uninjected control embryos. A, anterior; N, notochord; P, posterior; S, somite numbers, according to the nomenclature of somitogenesis (Pourquie and Tam, 2001).
|
|
Fig. 4. SEM analysis of Xenopus somitogenesis in paraxis overexpression experiments. Dorsal views of Xenopus embryos at the tail-bud stage. Embryos were unilaterally injected with 1 ng of paraxis-GR mRNA together with the lineage tracer FDA. A: paraxis overexpression leads to the formation of irregular intersomitic boundaries and a lengthening of the somites (indicated by brackets) that was not observed in control side (indicated by brackets). B: Magnification of control side of A at the level of white arrowhead. C: Magnification of morphant side of A at the level of white arrowhead. N, notochord.
|
|
Fig. 5. Analysis of nuclear organization of myotomal cells in experiments of gain and loss of function of the paraxis gene. Sections were obtained from tail-bud stage embryos unilaterally injected with 1 ng of paraxis-GR mRNA (B,C), 40 ng of paraxisMO (D) or 40 ng of CtrMO (E) together with the lineage tracer FDA. B,C: Frontal section with anterior side uppermost; (DâF) parasagittal section with anterior side to the right. A: The injected side of the embryos was determined by observing the fluorescence of FDA. B: The overexpression of paraxis leads a loss of nuclear organization. Yellow arrows indicate the injected side and white arrows indicate the alignment of nuclei miotomal cells (control side). C: Enlargement of B at the level of white rectangle, wherein is observed the rounded shape of the cells nuclei of the treated side of the embryo (yellow arrowheads). D: Loss of function of paraxis leads to a severe disorganization of myotomal nuclei. E: The microinjection of CtrMO does not affect nuclear organization. F: Uninjected control embryos. N, notochord.
|
|
Fig. 6. Cell adhesion assay in mesoderm explants. The explants were obtained from gastrula embryos bilaterally injected with 20 ng of paraxisMO (A), 40 ng of paraxisMO (B) or 40 ng of CtrMO (C) and cultured until stage 17. A,B: knockdown of paraxis gene leads to disaggregation cell of the mesoderm explants tissue. Yellow arrows indicate disaggregating cells. C: Control mesoderm explants. D: RT-PCR semiquantitative analysis in mesoderm explants. Whole embryos and mesoderm explants from uninjected embryos were used as positive control and explants control, respectively. Knockdown paraxis causes a dose-dependent decrease in the expression of adhesion molecules. E: Densitometric analysis of the expression of adhesion molecules show in D. âRT, negative control.
|
|
Fig. 7. paraxis knockout disrupts the expression of the cell adhesion marker FoxC1. Embryos were unilaterally injected with 20 ng of paraxisMO or 20 ng of CtrMO, cultured until neurula stage and subsequently processed for in situ hybridization assay. A: The loss of function of paraxis reduces the expression of the FoxC1 gene in PSM (indicated by arrow). B: Control embryo injected with CtrMO.
|
|
Fig. 8. paraxis knockout reduces the Fibronectin expression. Embryos were bilaterally injected with 20 ng of paraxisMO or 20 ng of CtrMO, cultured until tail-bud stage and subsequently processed for western blot assay. A: The loss of function of paraxis leads to a mild reduction of Fibronectin expression. g-Tubulin was used as loading control. B: Densitometric analysis of the expression of Fibronectin shown in A.
|
|
Fig. 9. Overexpression of paraxis increases cell adhesion. A: RT-PCR semiquantitative analysis of adhesion markers in animal cap explants obtained from embryos injected with 0.4 ng of paraxis-GR mRNA and cultured in the presence of Activin A and dexamethasone until stage 17. Injected explants cultured in the absence of dexamethasone were used as caps control, the positive control consisting of whole embryos at stage 17. The gain of function of paraxis causes an increase in the expression of molecules involved in cell adhesion. B: Densitometric analysis of the expression of adhesion molecules show in A. âRT, negative control.
|
|
Fig. 10. paraxis depletion disrupts the expression of myogenic markers. Embryos were unilaterally injected with 1 ng of DNparaxis-GR mRNA (AâD), 40 ng of paraxisMO (EâG, IâK, and QâS), 40 ng of CtrMO (H, M and T), or a blend of 40 ng of paraxisMO and 0.2 ng of Rparaxis-GFP mRNA (N and O), and subsequently processed for in situ hybridization assay (AâO) or immunohistochemical (QâT). AâC,EâG: The loss of function of paraxis reduces the expression of the MyoD myogenic marker in PSM and somites (indicated by arrow). D: Control embryo injected with the DNparaxis- GR mRNA and cultured in the absence of dexamethasone. H: CtrMO morpholino does not affect the expression of MyoD myogenic marker. I,J: The loss of function of paraxis reduces the expression of Myf-5 myogenic marker. K: Transverse section at the dotted line of J. M: CtrMO does not affect the expression of Myf-5. N,O: The downregulation of MyoD and Myf-5 expression by paraxisMO is rescued by coinjection with Rparaxis-GR construct. P: Numerical summary illustrating the penetrance of effect of paraxis knockdown and the rescue of myogenic markers expression. Q: The loss of function of paraxis reduces the expression of the 12/101 myogenic marker. R: Control side of Q. S: Transverse section of Q. T: Control embryo. Insets A and E, transverse section at the dotted line.
|
|
Fig. 11. Quantification of the effect of paraxis knockdown on myogenic expression in mesoderm explants assay. A: RT-PCR semiquantitative analysis of expression of myogenic markers in mesoderm explants obtained from embryos injected with 20 and 40 ng of paraxisMO, 40 ng of CtrMO or uninjected embryos. Loss of function of paraxis causes a dose-dependent decrease in the expression of myogenic markers. B: Densitometric analysis of A. âRT, negative control.
|
|
Fig. 12. Gain of function of paraxis increases myogenic markers expression. Embryos were unilaterally injected with 1 ng of paraxis-GR mRNA and processed for in situ hybridization assay. AâC,EâF: The gain of function of paraxis increases the expression of myogenic markers Myf-5 and MyoD (indicated by arrow). B: Transverse section at level of the dotted line. D: Control side of C. G: Control embryo cultured in the absence of dexamethasone. H: Numerical summary illustrating penetrance of gain of function of paraxis in myogenic markers expression.
|
|
Fig. 13. Quantification of the effect of paraxis gain of function on myogenic markers expression in animal caps assay. A: RT-PCR semiquantitative analysis of myogenic markers in animal cap explants obtained from embryos injected with 0.4 ng of paraxis-GR mRNA and cultured in the presence of Activin A and dexamethasone. Injected explants cultured in the absence of dexamethasone were used as caps control. The gain of function of paraxis causes an increase in the expression of MyoD and Myf-5 genes and is capable of inducing pax3 expression in the animal caps tissue. B: Densitometric analysis of A. âRT, negative control.
|
|
Fig. 14. paraxis knockdown disrupts the expression of chondrogenic markers. Embryos were unilaterally injected with 10 ng of paraxisMO and processed for in situ hybridization assay. A,C,E: The loss of function of paraxis reduces the expression of chondrogenic markers pax1, pax9 and Col2a, respectively. B,D,F: Control side of embryo. A0âF0: Enlargement of AâF at the level of the black rectangle. G: Numerical summary illustrating penetrance of the loss of function of paraxis in chondrogenic markers expression.
|
|
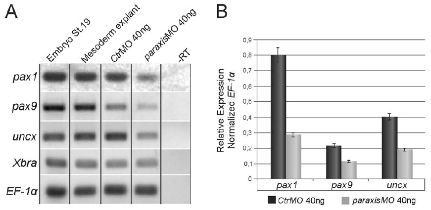
Fig. 15. Quantification of the effect of paraxis knockdown on chondrogenic expression in mesoderm explants assay. A: RT-PCR semiquantitative analysis of chondrogenic markers in mesoderm explants obtained from embryos injected with paraxisMO, CtrMO or uninjected. The loss function of paraxis causes a decrease in the expression of pax1, pax9, and uncx chondrogenic markers. B: Densitometric analysis of A. âRT, negative control.
|