Click here to close
Hello! We notice that you are using Internet Explorer, which is not supported by Xenbase and may cause the site to display incorrectly.
We suggest using a current version of Chrome,
FireFox, or Safari.
???displayArticle.abstract???
The earliest step in heart formation in vertebrates occurs during gastrulation, when cardiac tissue is specified. Dorsoanterior endoderm is thought to provide a signal that induces adjacent mesodermal cells to adopt a cardiac fate. However, the nature of this signalling and the precise role of endoderm are unknown because of the close proximity and interdependence of mesoderm and endoderm during gastrulation. To better define the molecular events that underlie cardiac induction, we have sought to develop a simple means of inducing cardiac tissue. We show that the transcription factor GATA4, which has been implicated in regulating cardiac gene expression, is sufficient to induce cardiac differentiation in Xenopus embryonic ectoderm (animal pole) explants, frequently resulting in beating tissue. Lineage labelling experiments demonstrate that GATA4 can trigger cardiac differentiation not only in cells in which it is present, but also in neighbouring cells. Surprisingly, cardiac differentiation can occur without any stable differentiation of anterior endoderm and is in fact enhanced under conditions in which endoderm formation is inhibited. Remarkably, cardiac tissue is formed even when GATA4 activity is delayed until long after explants have commenced differentiation into epidermal tissue. These findings provide a simple assay system for cardiac induction that may allow elucidation of pathways leading to cardiac differentiation. Better knowledge of the pathways governing this process may help develop procedures for efficient generation of cardiomyocytes from pluripotent stem cells.
Fig. 6. GATA4 does not induce cardiac tissue precociously, and acts both non-cell- and cell-autonomously to induce cardiomyocytes. Cardiac actin-GFP transgenic embryos were injected with GATA4 (A-C), or with GATA4 together with rhodamine-dextran as a lineage tracer (G,H), in one blastomere at either the four- or eight-cell stage. Temporally correct cardiac differentiation was documented by observation of GFP. The cardiac actin promoter is active in both skeletal and cardiac muscletissue. GATA4 does not induce skeletal muscle (Fig. 1), and it also fails to induce GFP at stages 17 (A) and 24 (B), when the transgene is active in skeletal muscle of sibling control embryos (D,E). GFP activity in GATA4-injected explants (C) is only detected when it is also present in the heart of sibling embryos (F). In G and H injected tissue was detected by rhodamine fluorescence (red); overlap with GFP is evident (yellow). Most GFP fluorescence is distinct from the rhodamine signal, which demonstrates the non-cell-autonomous action of GATA4. However, the areas of overlap also suggest cell-autonomous action of GATA4. (F) Stage 40 control sibling embryo showing cardiac-GFP expression in the heart (h) and somites (s). (I-K) Embryos were injected with GATA4 together with Cerberus in one blastomere at the four- or eight-cell stage, and biotinylated dextran was co-injected as a lineage tracer. MLC2 expression at stage 38 was detected by in situ hybridisation (pale blue in J), and the injected part of explant is revealed in whole mount (I) or on sections (K) as magenta staining. Overlap of the two colours creates a purple signal (arrow), which indicates a cell-autonomous action of GATA4. Embryos are shown with the anterior end to the left. (L) Cell-cell interactions are not required for GATA4 action until at least stage 16. Animal pole explants injected with GATA4-GR were dispersed in Ca2+/Mg2+-free medium after excision. GATA4 was subsequently activated by dexamethasone. Single-cell suspensions were cultured with constant gentle agitation to prevent spontaneous formation of cell contacts. Cells were re-aggregated at an indicated stage by the addition of Ca2+ and pelleting, and were cultured until sibling controls reached stage 37/38. Note that viability of cells kept in suspension until stage 16 is low, as revealed by poor EF1α recovery; nevertheless, cardiac markers were still detectable.
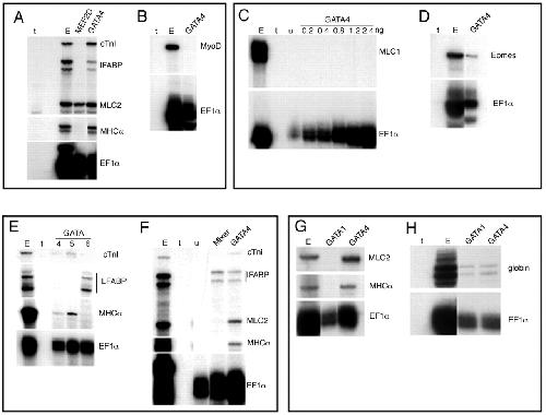
Fig. 1.
GATA4 induces cardiac-specific genes in the absence of skeletal muscle. (A) RNase protection assay showing induction by GATA4 of three cardiac markers, as well as the gut marker IFABP (intestinal fatty acid binding protein). Note that MEF2D induces only MLC2 and not the complete cardiogenic programme. (B,C) Absence of myogenic factor MYOD at stage 18, as well as skeletal muscle marker MLC1 (myosin light chain 1), in Gata4-injected animal pole explants. A wide range of Gata4 mRNA doses were injected to rule out concentration-dependent effect on MLC1 expression. (D) Eomesodermin is induced by GATA4 at stage 10.5. (E) GATA4 and GATA5 are efficient inducers of cardiac tissue, whereas GATA6 is more efficient in inducing LFABP (liver fatty acid binding protein). (F) Mixer and GATA4 induce guttissue (IFABP), whereas only GATA4 additionally induces cardiac tissue. GATA4 induces IFABP in some, but not all experiments where cardiac markers were induced (data not shown). GATA1 does not induce cardiac tissue (G), whereas both GATA1 and GATA4 induce blood marker globin (H). Samples for RNA expression analysis were collected at stage 37/38. (EF1α: elongation factor 1 α; t: transfer RNA control; u: uninjected animal caps; E: embryo control.)
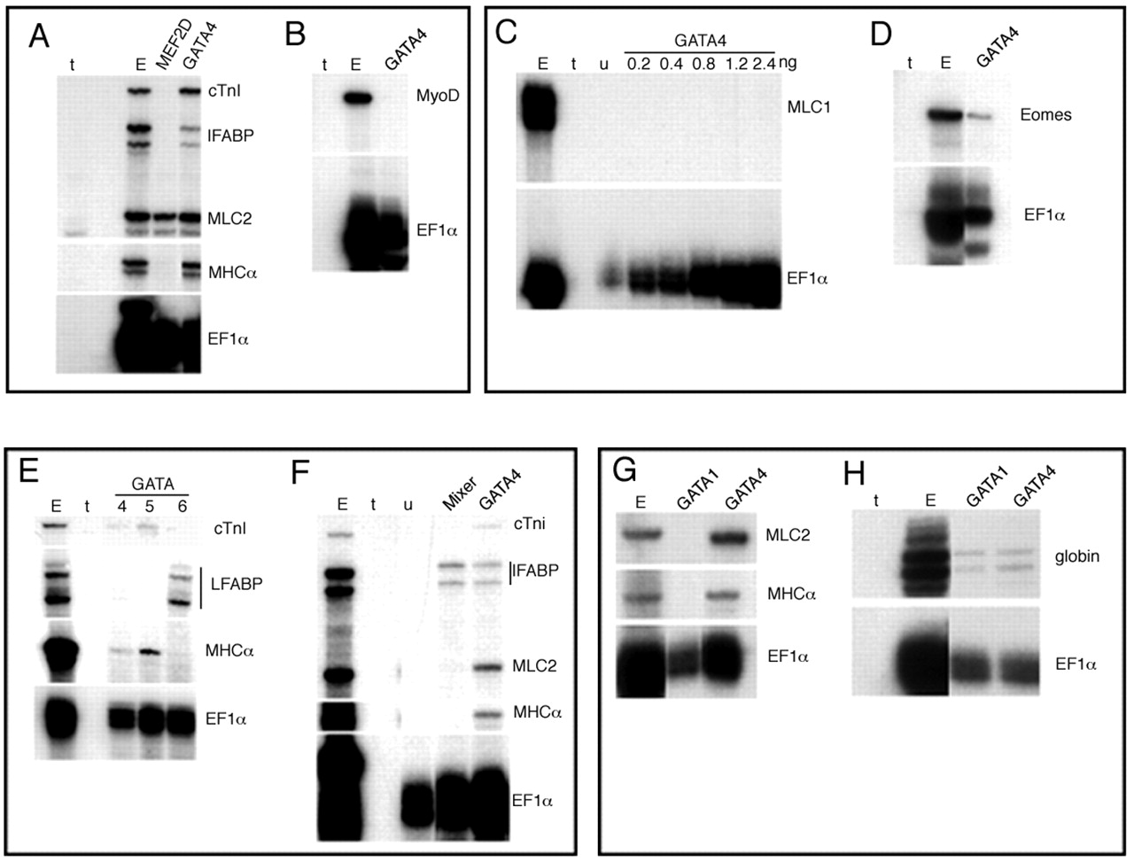
Fig. 2.
Gradual loss of cardiogenic activity of GATA4. Cardiac tissue can be induced after gastrulation, and even during tailbud stages. (A) GataA4-GR was activated by the addition of dexamethasone (dex) at stage 9, 12, 13.5 or 20. (B) Sox17α is efficiently induced when Gata4 is activated at stage 9, but is induced poorly when it is activated at stage 13. Nkx2.5 and Nkx2.3 are expressed in uninjected animal caps (see also Fig. 5). (C) LFABP is only induced if Gata4-GR is activated at stage 9, but not at stage 13. Two different experiments are shown, and an additional two yielded the same result. Analysis was performed at stage 37/8 (A,C) and stage 18 (B), respectively.
Fig. 3.
SOX17-dependent endoderm and canonical WNT signalling antagonise GATA4. (A) Expression of XWNT8 from the cytoskeletal actin promoter (CSKA) completely inhibits GATA4-mediated cardiogenesis. (B) SOX17βEnR and the WNT antagonist DKK1 greatly synergise with GATA4 when the latter is activated either at stage 9 or at stage 13. (C) Cerberus, a tri-valent inhibitor of Nodal, BMP and WNT ligands also synergises with GATA4. (D) Chordin does not inhibit GATA4-mediated cardiac tissue formation, confirming that BMP is not required. (E) DKK1, Cerberus and GATA4 antagonise β-catenin/TCF-dependent transcription in animal caps. The TOPFLASH reporter was co-injected with internal control TK-Renilla luciferase together with indicated RNA. Animal caps were collected at stage 13, and baseline level of normalised luciferase activity (TOPFLASH alone) was set at 100%. Data from three experiments were used. (F) No LFABP can be detected under conditions of efficient cardiac tissue induction. All samples were analysed for RNA expression at stage 37/8.
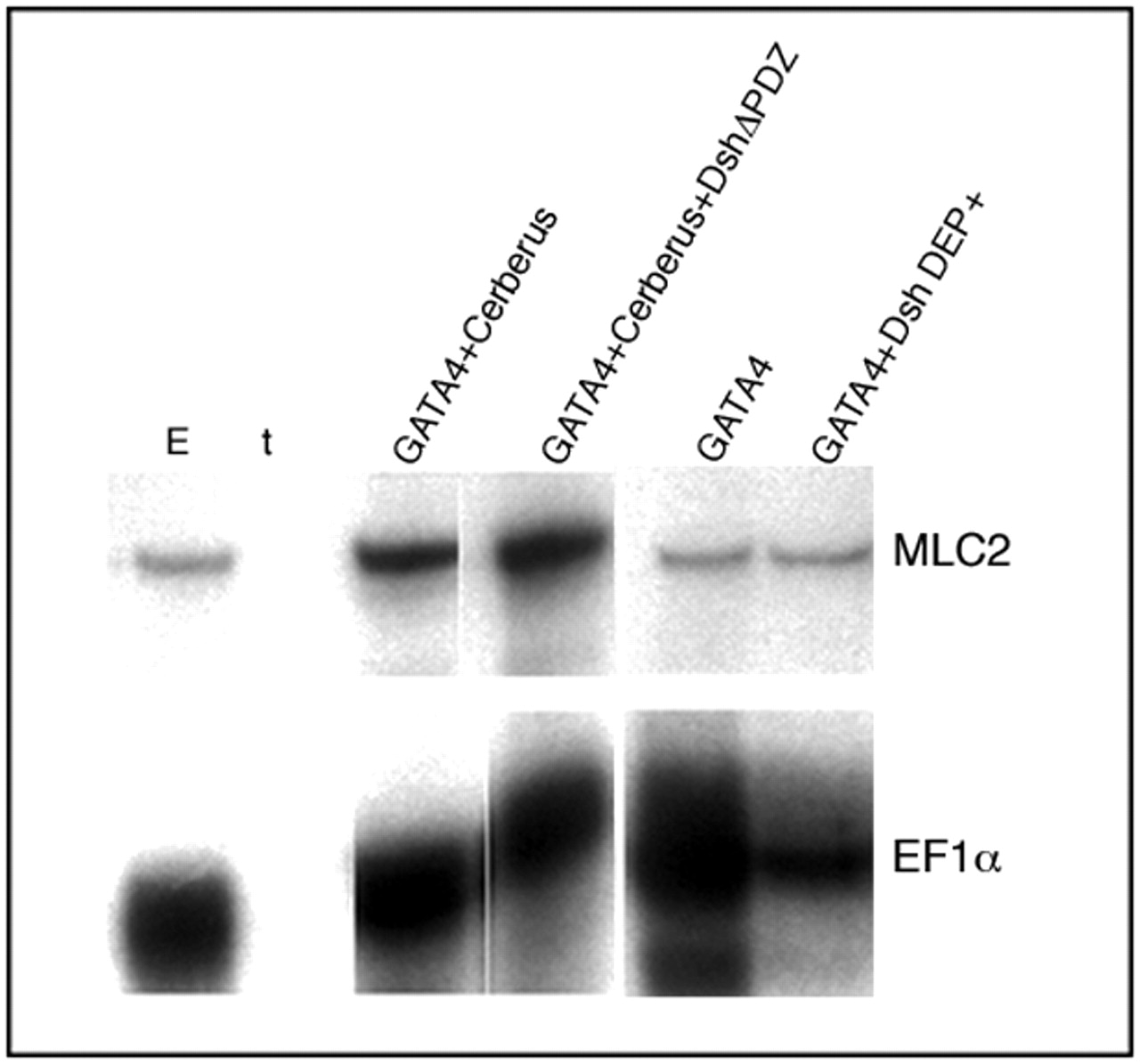
Fig. 4.
The Dishevelled-dependent WNT/PCP pathway is not required for GATA4-mediated cardiogenesis. Injection of Dishevelled (Dsh) δPDZ dominant-negative construct, which inhibits both canonical and PCP WNT pathways, does not alter induction of the cardiac marker MLC2 by GATA4 and Cerberus. Similarly, Dishevelled DEP+, a PCP pathway-specific dominant-negative construct, does not affect induction of MLC2 by GATA4.
Fig. 5.
BMP4 inhibits early Nkx2.5 expression but not cardiogenesis: injected Gata4 elevates endogenous Gata4 and Gata5 mRNA levels. (A) Nkx2.5 and Nkx2.3 are present in uninjected animal caps (stage 16). BMP4 leads to the disappearance of these transcripts in the presence of ectopic GATA4. (B) BMP4 does not prevent cardiogenesis induced by GATA4 in the presence of Dkk1 or the elevation of Nkx2.5 at tadpole stages (stage 37/38). (C) Injected Gata4 induces endogenous Gata4 and Gata5 mRNA at the tadpole stage, along with cardiac markers. Both endogenous Gata4 and Gata5 mRNAs were detectable in uninjected explants at gastrula and neurula stages, at levels that were not significantly changed by ectopic GATA4 (data not shown).
Fig. 7.
A model of the action of GATA4 in ectodermal explants. (A) GATA4 converts embryonic ectoderm to both endodermal and cardiomyocyte fates. Endoderm and WNT/β-catenin antagonise cardiac tissue formation. (B) The dominant-negative Sox17 construct and the WNT antagonist Dkk1 each promote cardiomyocyte fate at the expense of endodermal fate. Sox17βEnR could inhibit the endoderm-inducing activity and promote the cardiogenic activity of GATA4 directly (1), and/or prevent the maintenance of endoderm (2), and/or convert endoderm to cardiomyocytes (3). WNT/β-catenin could interfere with cardiogenesis either directly or indirectly by promoting endoderm formation (Lickert et al., 2002).