|
Fig. 1. Expression of pigment cells in the 6-day regenerating tail in the absence (a, c) or presence (b, d) of phenylthiourea (PTU); amputated at stage 50. a, b Wild type regenerating tail observed under transmitted light. c, d Mutant regenerating tail observed under incident light. Dashed lines indicate amputation level. Many melanophores appeared in the wild type regenerating tail in the absence of PTU (a). However, few melanophores appeared in the wild type regenerating tail in the presence of PTU (b). In contrast, white pigment cells (arrows) appeared in the mutant regenerating tail in both the absence (c) and presence (d) of PTU. Barâ500 μm
|
|
Fig. 2. Effect of PTU on the number of differentiated pigment cells in the 5-day regenerating tail of the wild type (a) and the mutant (b); amputated at stage 50. a Melanophores were counted in the wild type regenerating tail in the absence (control; nâ=â24) or presence (PTU; nâ=â21) of PTU. b White pigment cells were counted in the mutant regenerating tail in the absence (control; nâ=â18) or presence (PTU; nâ=â15) of PTU. The number of melanophores in the wild type regenerating tail in the presence of PTU was statistically different from that in the absence of PTU (t-test, *Pâ<â0.001). However, the number of white pigment cells in the mutant regenerating tail in the presence of PTU was not statistically different from that in the absence of PTU (t-test, Pâ>â0.3)
|
|
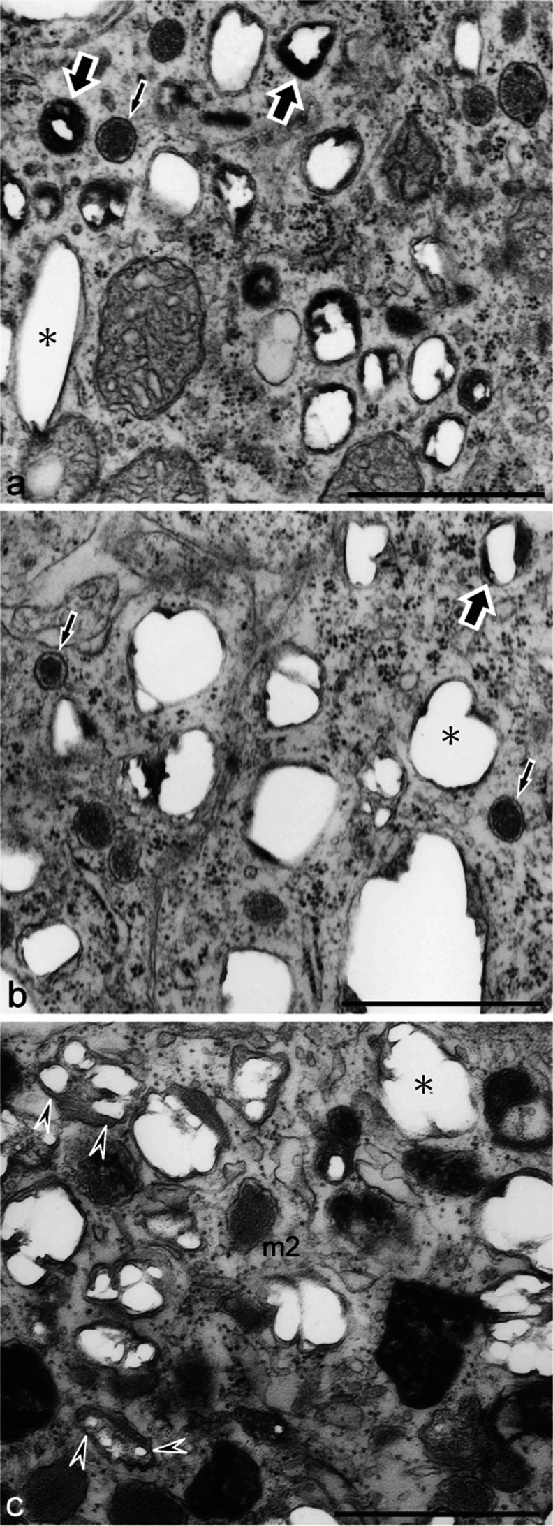
Fig. 3. Ultrastructural characteristics of pigment cells that differentiated in the 18-day regenerating tail in the absence (a, c) or presence (b, d) of PTU (amputated at stage 50). a, b Ultrastructure of melanophores in the wild type regenerating tail. c, d Ultrastructure of white pigment cells in the mutant regenerating tail. Wild type melanophores in the absence of PTU (a) were filled with stage IV melanosomes (m4), whereas melanophores in the presence of PTU (b) contained stage II melanosomes (m2) and stage III melanosomes (m3). White pigment cells in both the absence (c) and presence (d) of PTU contained irregular-shaped reflecting platelets (asterisks), stage II melanosomes (m2), and stage III melanosomes (m3). The quantitative data on pigment organelles in the absence or presence of PTU are presented in Table 1 (wild type) and Table 2 (mutant). Barâ1 μm
|
|
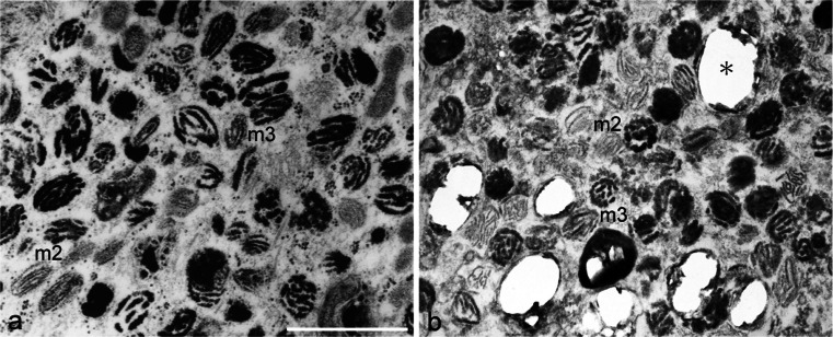
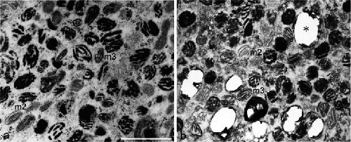
Fig. 4. Ultrastructural comparison between mutant melanophores (a) and white pigment cells (b) in culture. Mutant melanophores in culture contained stage II melanosomes (m2), stage III melanosomes (m3), and few mature melanosomes. Cultured white pigment cells in the mutant contained stage II melanosomes (m2), stage III melanosomes (m3), and irregular-shaped reflecting platelets (asterisk). Few mature melanosomes were present in white pigment cells. Bar 1 μm
|
|
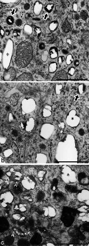
Fig. 5. Reflecting platelet organellogenesis in iridophores and white pigment cells. a, b Ultrastructure of wild type (a) and mutant (b) iridophores that were allowed to differentiate in culture. c Ultrastructure of white pigment cells in the mutant regenerating tail. Spherical vesicles with electron-dense material (a, b, small arrows) were present in both wild type and mutant iridophores. Spherical vesicles subsequently accumulated crystals that were lost partially during fixation and thin-sectioning, leaving âpartial holesâ (large arrows) in the sections. Mature reflecting platelets were characterized by âempty holesâ (asterisk). Reflecting platelets of wild type iridophores were rectangular (a, asterisk); however, those of mutant iridophores were irregular in size and shape (b, asterisk). White pigment cells in the mutant contained irregular-shaped reflecting platelets (c, asterisk) and stage II melanosomes with internal lamellar structures (m2). Note that reflecting platelets in white pigment cells were formed from stage II melanosomes (c, arrowheads), but not from spherical vesicles that were observed in iridophores (b). Barâ1 μm
|
|
Fig. 6. Spatial expression of the ferritin H subunit mRNA in the middle region of the tail in the wild type (a, b) and the mutant (c, d) at stage 48. Whole mount in situ hybridization (WISH) was performed by using sense (a, c) or antisense (b, d) digoxigenin (DIG)-labeled RNA probes. Tadpoles were bleached to remove melanin before hybridization in this experiment. With a sense probe of the ferritin H subunit mRNA, no staining was observed in the tail of both the wild type (a) and the mutant (c) in the negative control. Use of an antisense probe in WISH detected strong staining in the lateral lines (arrowheads) of both the wild type (b) and the mutant (d). In addition, specific expression of the ferritin H subunit mRNA was detected in white pigment cells (d, large arrows), which were present around the dorsal side of the spinal cord (sc) in the mutant (nc notochord). Although melanophores were present around the dorsal side of the spinal cord in the wild type, no staining was observed in melanophores (b). Note that staining was also detected in some epidermal cells (small arrows) in both the wild type (b) and the mutant (d). Barâ100 μm
|
|
Fig. 7. Expression of the ferritin H subunit mRNA in white pigment cells but not in melanophores. Photographs of the posterior region of the wild type tail (a-d) and the mutant tail (e-h) at stage 48. WISH was performed with sense (a, b, e, f) or antisense (c, d, g, h) DIG-labeled RNA probes (sc spinal cord). Tadpoles were bleached after BM purple staining. The same fields before (a, c, e, g) and after (b, d, f, h) bleaching are shown. In the negative control, with a sense probe of the ferritin H subunit mRNA, no staining was observed in the tail of the wild type (a, b) or the mutant (e, f). Before bleaching, dendritic black melanophores (a) were distinguished from punctate white pigment cells (e), which appeared brown under transmitted light. Melanin was bleached effectively in both melanophores (b) and white pigment cells (f). Staining with an antisense probe indicated that white pigment cells (g, h, arrows), but not melanophores (c, d), expressed the ferritin H subunit mRNA. Note that staining was also detected in the dorsal longitudinal anastomosing vessel (asterisks) in both the wild type (c, d) and the mutant (g, h). Barâ100 μm
|
|
Fig. 8. Ferritin H subunit mRNA is not expressed in the eye in the wild type (a) and the mutant (b) at stage 48. WISH was performed with sense (not shown) or antisense DIG-labeled RNA probes, and tadpoles were bleached after BM purple staining (op olfactory pit). No staining was observed in the eye in either the wild type (a) or the mutant (b). In contrast, expression of the ferritin H subunit mRNA was detected in the lateral lines (arrowheads) and some epidermal cells (arrows). Barâ100 μm
|
|
Fig. 9. Representation of pigment organellogenesis in melanophores (a, b), iridophores (c, d), and white pigment cells (e). a, b Melanosome formation in wild type (a) and mutant (b) melanophores. c, d Reflecting platelet formation in wild type (c) and mutant (d) iridophores. e Pigment organellogenesis in white pigment cells in the mutant. In wild type melanophores, melanin deposition occurs in stage II melanosomes to form partially melanized stage III melanosomes (a, 1) and then fully melanized stage IV melanosomes are formed (a, 2). Melanin is also deposited in stage II melanosomes to form stage III melanosomes (b, 1’) in mutant melanophores; however, few melanosomes become fully melanized (b, 2’). PTU inhibits melanosome maturation from stage III melanosomes to stage IV melanosomes in melanophores. In wild type iridophores, spherical vesicles with electron-dense material accumulate crystals (c, 3), which grow larger and exhibit rectangular reflecting platelets (c, 4). Crystals are also accumulated in spherical vesicles with electron-dense material in mutant iridophores (d, 3’); however, reflecting platelets become irregular in shape (d, 4’). In white pigment cells, melanosome formation (e, 1’, 2’) occurs in the same manner as described in mutant melanophores (b, 1’, 2’). In addition, some stage II melanosomes accumulate crystals in white pigment cells (e, 3’), and irregular-shaped reflecting platelets are formed (e, 4’)
|