|
Fig. 1. Characterization of regenerative stages of Xenopus laevis. Hematoxylin and eosin staining of longitudinal sections of spinal cord from uninjured animals and at 2, 6, 10 and 20 dpt in pre-metamorphic stage 50 (AâE) and 54 (FâJ) respectively. Magnifications shown in black box for stage 50 (Aâ²âEâ²) and 54 (Fâ²âJâ²). Samples of swim trajectories (top, single representative animals for each step) and graphs of the total time animals spent swimming in 5 min at stage 50 (K) and stage 54 (L) in sham-operated animals and in animals with spinal cord transection at 0, 5, 10, 20 and 30 dpt. Dotted line: injury site or ablation gap, yellow arrowheads: meningeal layer, arrow: cell clusters, vz: ventricular zone, svz: sub-ventricular zone. Scale bar (AâJ) 100 µm; (Aâ²âJâ²) 30 µm. * Pâ¤0.05. (For interpretation of the references to color in this figure legend, the reader is referred to the web version of this article.)
|
|
Fig. 2. Characterization of non-regenerative stages of Xenopus laevis. Hematoxylin and eosin staining of longitudinal sections of spinal cords from uninjured animals and at 2, 6, 10 and 20 dpt in pro-metamorphic stage 56 (AâE) and post-metamorphic stage 66 (FâJ) respectively. Black boxes indicate magnifications for stage 56 (Aâ²âEâ²) and 66 (Fâ²âJâ²). Samples of swim trajectories (top, single representative animals for each step) and graphs of the total time animals spent swimming in 5 min at stage 56 (K) and stage 66 (L) in sham-operated animals and in animals with spinal cord transection at 0, 5, 10, 20 and 30 dpt. Dotted line: injury site or ablation gap, yellow arrowheads: meningeal layer, arrow: cell clusters, vz: ventricular zone, svz: sub-ventricular zone. Scale bar (AâE) 100 µm; (FâJ) 200 µm; (Aâ²âJâ²) 30 µm. (For interpretation of the references to color in this figure legend, the reader is referred to the web version of this article.)
|
|
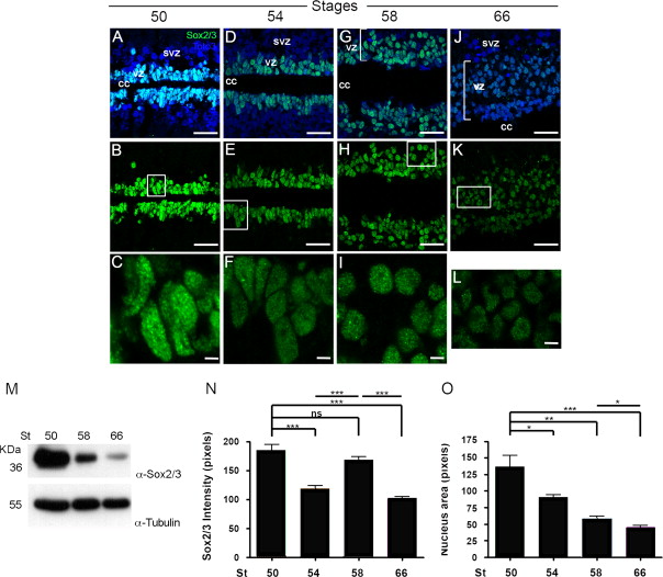
Fig. 3. Analysis of Sox2/3 expression in the spinal cord in non-regenerative and regenerative stages. (A–L) Longitudinal cryosections through the spinal cord of animals at stage 50 (A–C), 54 (D–F), 58 (G–I) and 66 (J–L), analyzed by immunostaining for Sox2/3 (green) and staining for TOTO3 (nuclei, blue). A, D, G and J. Double labeling for Sox2/3 and TOTO3. B,E,H and K. Sox2/3 only. (C, F, I and L) Higher magnification images of regions shown in white boxes in B, E, H, K. (M) Western blot showing immunolabeling for Sox2/3 in tadpoles (stage 50–58) and froglets (stage 66). α-tubulin immunolabeling is shown as a loading control. (N) Analysis of the signal intensity of Sox2/3 immunolabeling in of B,E,H and K. (O) Analysis of the area of the nuclei of C,F,I and L. cc: central channel, vz: ventricular zone and svz: sub-ventricular zone. Scale bars (A, B, D, E, G, H, J and K) 20 µm; (C, F, I and L) 2 µm. *P <0.05, **P<0.01, and ***P<0.001. (For interpretation of the references to color in this figure legend, the reader is referred to the web version of this article.)
|
|
Fig. 4. Proliferation of Sox2/3+ cells in response to spinal cord injury. (AâP) Immunolabeling for BrdU and Sox2/3 in stage 50 or 66 animals at designated times after spinal cord transection show dramatic increases in proliferation in regenerative stages but not non-regenerative stages. Spinal cords were transected and animals were treated for 16 h with BrdU and fixed at 2, 6 or 10 dpt. Horizontal sections through the spinal cord were analyzed by double immunofluorescence BrdU (green) and Sox2/3 (red) from uninjured animals and at 2, 6 and 20 dpt in tadpoles stage 50 (AâH) and uninjured, 2, 6 and 10 dpt in froglets stage 66 (IâP). (B, D, F, H, J, L, N and P) Higher magnifications of regions shown in black boxes for A, C, E, G, I, K, M and O. Arrow and arrowheads in C, D and F: BrdU+Sox2/3+ cells and BrdU+ Sox2/3- respectively. vz: ventricular zone and svz: sub-ventricular zone. Nuclei: TOTO3 (blue). Scale bars are as indicated. (For interpretation of the references to color in this figure legend, the reader is referred to the web version of this article.)
|
|
Fig. 5. In vivo time-lapse imaging of Sox2/3+ cells in response to spinal cord injury. (A) Schematic representation of in vivo electroporation and imaging by 2 Photon Microscopy of pSox3: GFP in the spinal cord of stage 50 tadpoles. Double immunofluorescence in sagittal sections of the spinal cord for (B) GFP (green), Sox2 immunolabeling (red), (C) CldU (red). Co-localization analysis is shown in (Bâ² and Câ²) in a pseudo-color scale. (DâS) Z-stacks of in vivo 2 photon microscope images of GFP-expressing cells after electroporation, show a control sham animal at (D) 1 day after electroporation (dpe), (E) 2 dps, (F) 4 dps, (G) 6 dps. After SCI, the increase in total number of GFP+ cells is shown in (H) at 2 dpe, (I) 2 dpt, (J) 3 dpt, (K) 4 dpt, (Hâ²âKâ²) magnifications of (HâK). (LâS) Migration of GFP+ cells to the gap injury site is shown in (L) at 1 dpe, (M) 1 dpt, (N) 3 dpt, (O) 7 dpt, magnifications of (LâO) in (Lâ²âOâ²), and no migration in (P) at 1 dpe, (Q) 1 dpt, (R) 3 dpt, (S) 8 dpt. Fold change of Sox3-GFP+ cells in sham control animals (T), after injury (U) and migration to the gap injury (V). Scale bar in (BâCâ²; DâG; HâK; LâO; PâS) 100 µm, (Hâ²âKâ²; Lâ²âOâ²) 50 µm. (For interpretation of the references to color in this figure legend, the reader is referred to the web version of this article.)
|
|
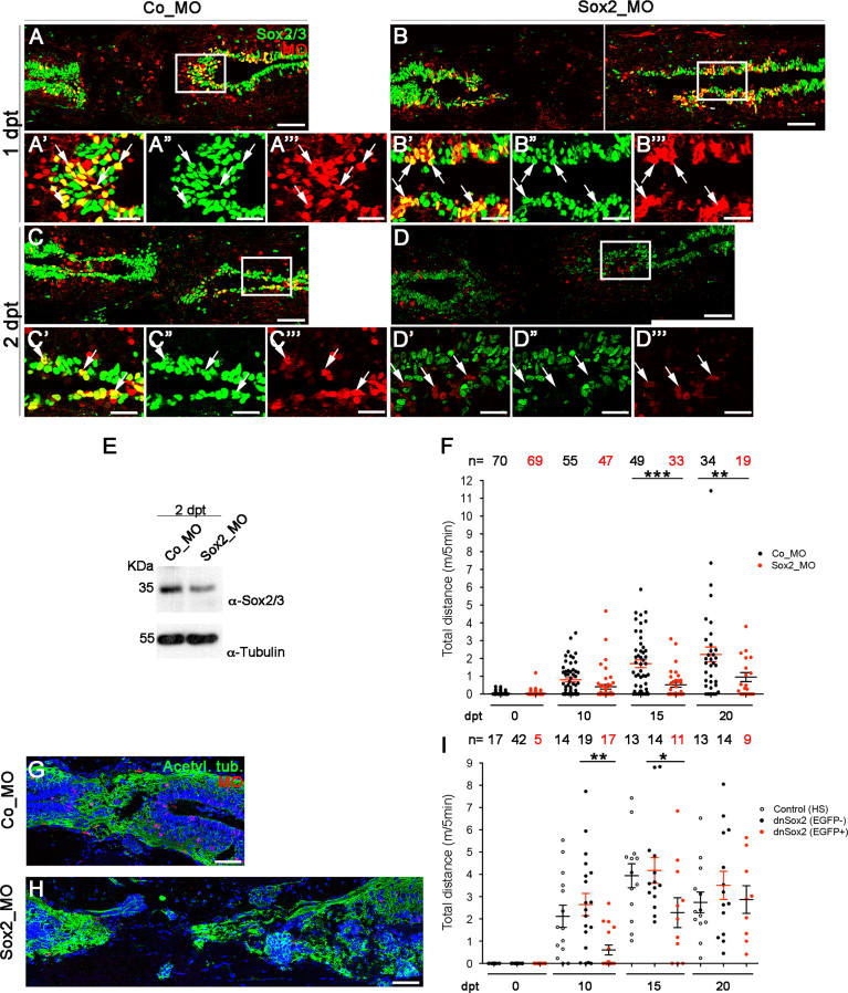
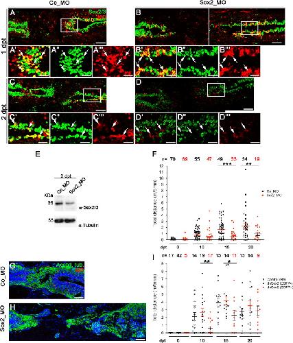
Fig. 6. Sox2 is required for functional recovery after spinal cord injury. (AâDâ²â²) Tadpoles at stage 50 were electroporated with control lissamine-tagged morpholino (Co_MO, red) and Sox2 lissamine-tagged morpholino (Sox2_MO, red), transected, and analyzed by immunofluorescence against Sox2/3 (green) in longitudinal sections at 1 (AâBâ²â²) and 2 (CâDâ²â²) dpt. (Aâ², Aâ², Aâ²â²), (Bâ², Bâ², Bâ²â²), (Câ², Câ², Câ²â²) and (Dâ², Dâ², Dâ²â²) magnification of insets showed in A, B, C, D respectively. Arrows: co-localization of morpholino with Sox2/3 antibody. (E) Western blot of Sox2/3 in Co_MO and Sox2_MO. (F) Graph of the total distance swam by tadpoles electroporated with Co_MO (black circles) and Sox2_MO (red circles). (GâH) Immunofluorescence of acetylated tubulin in spinal cord longitudinal sections of electroporated Co_MO tadpoles (G) and Sox2_MO (H) after 15 days post electroporation and transection. Morpholino (red) acetylated tubulin (green) and nuclei (blue). Pictures are representative of the results observed in two independent experiments. (I) Graph of the total distance swam by transgenic tadpoles. All animals received a heat shock one day before transection and at 1 and 2 dpt. Red circles: animals that overexpress dnSox2 (EGFP+), black circles transgenic animals that do not overexpress the transgene (EGFPâ) and empty circles correspond to control animals. m/5 min: meters in 5 min. Scale bar in (AâD) 100 µm, (Aâ²âAâ²; BââBâ²; Câ²âCâ²; Dâ²âDâ²; GâH) 20 µm. *P<0.05, **P<0.01, and ***P<0.001. (For interpretation of the references to color in this figure legend, the reader is referred to the web version of this article.)
|
|
Fig. 7. SCI induces neurogenesis in regenerative stage animals. (AâBâ²) Immunofluorescence of the Doublecortin (Dcx, red) in spinal cord transversal cryosections at stage 50 in sham (A, Aâ²) and 2 dpt (B, Bâ²) animals. Nuclei: Hoescht (blue). (C) Western blot of Dcx in sham and 1, 2, 6 dpt tadpoles (upper panel) and Tubulin (bottom panel) as loading control. (DâEâ²) In situ hybridization of neuroD and neurogenin2 in 2 dps (D, E) and 2 dpt (Dâ²âEâ²) tadpoles. (F) Dynamic expression of neurogenin3 for RT-qPCR in tadpoles (R) and froglets (NR) in 1, 2 and 6 dpt. (GâLâ²) Z-stack of in vivo imaging of Sox3: GFP electroporated cells after spinal injury showing early differentiation to neuronal morphology in: animal I at (G) 2 dpe, (H) 2 dpt and (I) 4 dpt, and animal II at (J) 2 dpe, (K) 3 dpt and (L) 5 dpt. Magnifications of (GâI) and (JâL) are show in (Gâ²âIâ²) and (Jâ²âLâ²) respectively. vz: ventricular zone. Scale bar in (AâBâ²) 20 µm (GâL) 100 µm, (Gâ²âLâ²) 50 µm. (For interpretation of the references to color in this figure legend, the reader is referred to the web version of this article.)
|
|
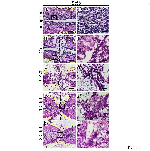
Fig. S1: Stage 58 animals are non-regenerative. Regenerative capability evaluated by histological analysis. Hematoxilin and eosin stain of longitudinal sections of spinal cord in untransected (uninjured) animals and at 2, 6, 10 and 20 dpt in pro-metamorphic stage 58 (A, B, C, D, E). Magnifications shown in black box are respectively (A′, B′, C′, D′, E′). Dotted line: injury site or ablation gap, yellow arrowheads: meningeal layer. Scale bar (A–E) 100 µm; (A′–E′) 30 µm.
|
|
Fig. S2: Sox2/ Sox3 expression during metamorphosis. (A and B) Dynamic expression of Sox2 and Sox3 for RT-qPCR during metamorphosis. (C) Quantification of Sox2/3+/BrdU+ cells present in the spinal cord at different stages of metamorphosis (see Fig. 3 A and I). ⁎P<0.05, ⁎⁎P<0.01, and ⁎⁎⁎P<0.001.
|
|
Fig. S3: Proliferation of Sox2/3+cells in response to spinal cord injury in transverse sections. Animals at stage 50 were analyzed by double immunofluorescence BrdU (green) and Sox2/3 (red) from spinal cord in transverse sections in uninjured animals (uninjured, A, A′) and at 2 dpt (B–E′). Magnifications of (A–E) are show in (A′ –E′). (F) Quantification of Sox2/3+/BrdU+ cells present in different areas of the injured spinal cord shown in (A′–E′). (G) Quantification of Sox2/3+/BrdU+ cells present in the ablation gap shown in (Fig. 4). (H) Quantification of Sox2/3+ cells present in the ablation gap shown in (Fig. 4). Scale bar in (A–E) 100 µm (A′–E′) 50 µm. ⁎P<0.05, ⁎⁎P<0.01, and ⁎⁎⁎P<0.001.
|
|
Fig. S4: Transgenesis for Sox3: GFP. (A–D) One-cell stage embryos were injected with 50pg of pSox3: GFP. At stage 20 (A–B) and 40 (C–D) its transgenesis was confirmed by observing their fluorescence in the stereoscope.
|
|
Fig. S5: cDNA and morpholino sequences. Alignments of sequences of cDNAs with the sequences of morpholino antisense oligonucleotides used.
|
|
Fig. S6: Effect of dnSox2 in spinal cord regeneration. (A) Schematic representation of the protocol used for the heat shock and transection in stage 50 tadpoles. (B–C) dnSox2 F1 tadpoles were analyzed at stage 50 by immunofluorescence in flat mounts at 15 dpt. dnSox2 (EGFP+, B–B″) and dnSox2 (EGFP-, C–C″). EGFP (green), acetylated tubulin (red) and nuclei (blue). Scale bar in (B–C″) 100 µm.
|
|
Fig. S7: Effect of Sox3_MO in spinal cord regeneration. Graph of the total distance swam by tadpoles electroporated with Co_MO (black circles), Sox2a_MO (red circles), Sox3_MO (blue circles) and Sox2a_MO+Sox3_MO (green circles). m/5 min: meters in 5 min.
|
|
Fig. S8: In vivoelectroporation of pSox3: GFP reveals neuronal differentiation in response to spinal cord injury in stage 50 tadpoles. (A) Schematic time line of in vivo electroporation of pSox3: GFP in the spinal cord and imaging by in vivo time lapse 2 photon microscopy. (B) Fold change of GFP+ cells with neural morphology after SCI.
|