Click here to close
Hello! We notice that you are using Internet Explorer, which is not supported by Xenbase and may cause the site to display incorrectly.
We suggest using a current version of Chrome,
FireFox, or Safari.
Cooperative inhibition of bone morphogenetic protein signaling by Smurf1 and inhibitory Smads.
Murakami G
,
Watabe T
,
Takaoka K
,
Miyazono K
,
Imamura T
.
???displayArticle.abstract???
Smad ubiquitin regulatory factor (Smurf) 1 binds to receptor-regulated Smads for bone morphogenetic proteins (BMPs) Smad1/5 and promotes their degradation. In addition, Smurf1 associates with transforming growth factor-beta type I receptor through the inhibitory Smad (I-Smad) Smad7 and induces their degradation. Herein, we examined whether Smurf1 negatively regulates BMP signaling together with the I-Smads Smad6/7. Smurf1 and Smad6 cooperatively induced secondary axes in Xenopus embryos. Using a BMP-responsive promoter-reporter construct in mammalian cells, we found that Smurf1 cooperated with I-Smad in inhibiting BMP signaling and that the inhibitory activity of Smurf1 was not necessarily correlated with its ability to bind to Smad1/5 directly. Smurf1 bound to BMP type I receptors via I-Smads and induced ubiquitination and degradation of these receptors. Moreover, Smurf1 associated with Smad1/5 indirectly through I-Smads and induced their ubiquitination and degradation. Smurf1 thus controls BMP signaling with and without I-Smads through multiple mechanisms.
Figure 1. Smurf1 and Smad6 synergistically inhibit endogenous BMP signaling in Xenopus embryos. (A) Smad6 (500 pg) and Smurf1 (500 pg) RNAs were injected near the ventral midline of four-cell embryos. Resultant phenotypes are shown (top, secondary axis; middle panel, hyperdorsalized embryo). When 1000 pg of β-globin RNA was injected, embryos developed normally (bottom). (B) RNAs encoding β-globin (1000 pg), Smurf1 (1000 pg), Smad6 (1000 pg), or Smurf1 (250 pg) and Smad6 (250 pg) were injected near the animal pole of two-cell embryos. Animal caps were isolated from embryos at blastula stage 8 and cultured to stage 23. RNAs were extracted from pooled caps and control embryos and subjected to RT-PCR analysis. WE, whole embryo.
Figure 2. Smurf1 cooperates with Smad6 in cultured cells. (A) Effects of Smurf1 on the transcriptional activity of c.a.ALK6 in the presence of Smad5(WT) or Smad5(ÎPY) were examined using 3GC2-Lux assay. R mutant Mv1Lu cells were cotransfected with 3GC2-lux luciferase construct and various combinations of c.a.ALK6, Smad5(WT), Smad5(ÎPY), Smad7, and Smurf1 cDNAs. + and ++ are 0.1 and 0.3 μg of DNA, respectively, transfected in R mutant cells. (B) Binding of Smurf1(CA) to Smad5(WT) and Smad5(ÎPY) was examined in transfected COS7 cells. A Smurf1 mutant Smurf1(CA), which has a mutation in the HECT domain and fails to recruit ubiquitin ligase activity, was used for binding assays, including this experiment. COS7 cells were transfected with the indicated plasmids and subjected to FLAG-immunoprecipitation (IP) followed by Myc-immunoblotting (Blot). The top panel shows the interaction and the lower three panels the expression of each protein.
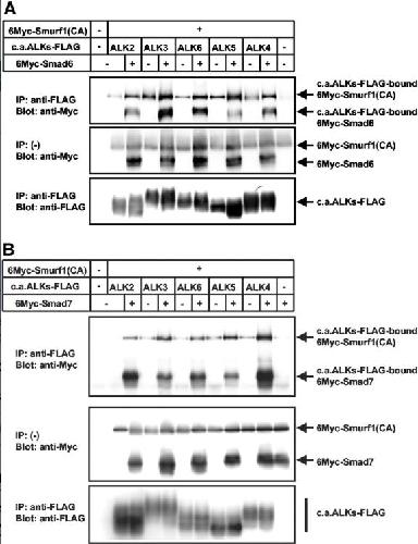
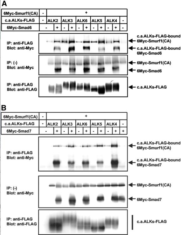
Figure 3. Smurf1 interacts with BMP type I receptors via I-Smads. Binding of Smurf1 to different type I receptors for BMPs in the presence of Smad6 (A) or Smad7 (B) was examined. COS7 cells were transfected with FLAG-tagged constitutively active forms of type I receptors for the TGF-β superfamily proteins (c.a.ALK2-FLAG, c.a.ALK3-FLAG, and c.a.ALK6-FLAG for BMPs; and c.a.ALK5-FLAG and c.a.ALK4-FLAG for TGF-β and activin) and 6Myc-tagged Smurf1(CA) in the presence or absence of 6Myc-tagged Smad6 (A) or 6Myc-tagged Smad7 (B). Cell lysates were subjected to FLAG-immunoprecipitation (IP) followed by Myc-immunoblotting (Blot). The top panels show the interaction and the lower two panels the expression of each protein.
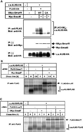
Figure 4. Smurf1âI-Smad complexes target ALK6 for ubiquitin-dependent degradation. (A) Smad6 enhances ubiquitination and degradation of ALK6 by Smurf1. Ubiquitination of c.a.ALK6 by Smad6âSmurf1 complexes was examined. 293T cells were transfected with the indicated plasmids and treated with 2.5 μM of lactacystin for 24 h before cell lysis. Lysates from cells were subjected to anti-FLAG immunoprecipitation followed by anti-HA immunoblotting. Polyubiquitination species of constitutively active forms of ALK6 ([FLAG-Ub]n-c.a.ALK6-HA) are indicated in the top panel. (B and C) Smurf1âSmad7 complex induced rapid turnover of ALK6. COS7 cells were transfected with c.a.ALK6-FLAG, FLAG-Smurf1, and/or Myc-Smad7. [35S]methionine- and cysteine-labeled cell lysates were immunoprecipitated by FLAG antibody. Immune complexes were subjected to SDS-PAGE and examined using a Fuji BAS 2500 bio-imaging analyzer. Arrowheads indicate the premature form of ALK6.
Figure 5. Smad6 recruits BMP-specific R-Smads to Smurf1 and enhances their ubiquitination and degradation. (A) Association of Smad6 with Smad1 is enhanced by treatment with proteasomal inhibitor lactacystin. COS7 cells were transfected with the indicated plasmids and treated with 2.5 μM lactacystin for 24 h before cell lysis. Lysates from cells were subjected to FLAG-immunoprecipitation (IP) followed by Myc-immunoblotting (Blot). (B) Interaction of Smurf1 with Smad5 is enhanced in the presence of Smad6. COS7 cells were transfected with the indicated plasmids, and lysates from cells were subjected to FLAG-IP followed by Blot.
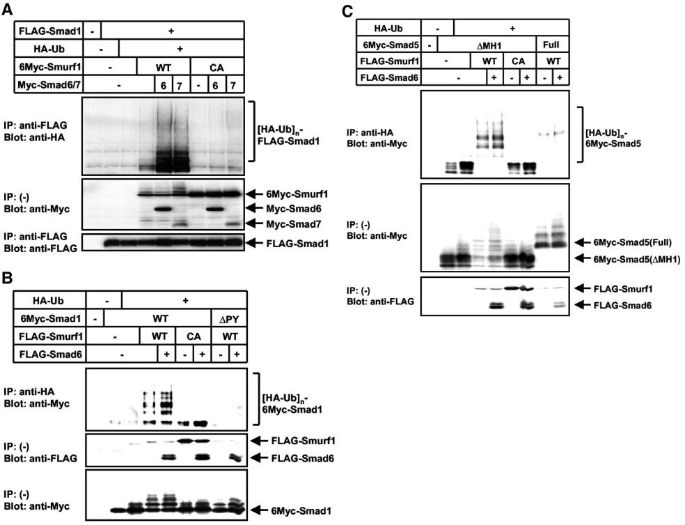
Figure 6. Smad6/7 enhances ubiquitination and degradation of Smad1/5 by Smurf1. Ubiquitination of Smad1 (A and B) or Smad5 (C) by Smurf1 was examined. 293T cells were transfected with the indicated plasmids and treated with 2.5 μM lactacystin for 24 h before cell lysis. Lysates from cells were subjected to anti-FLAG immunoprecipitation followed by anti-HA immunoblotting (A) or anti-HA immunoprecipitation followed by anti-Myc immunoblotting (B and C). Polyubiquitinated species of Smads, [HA-Ub]n-FLAG-Smad1 (A), [HA-Ub]n-6Myc-Smad1 (B), and [HA-Ub]n-6Myc-Smad5 (C), are indicated in the top panels. Levels of expression of Smad1 or 5, Smad6/7, and Smurf1 were confirmed by immunoblotting and are shown in the bottom two panels.
Figure 7. Inhibition of BMP signaling by Smurf1 through multiple mechanisms. In the absence of BMP signaling, Smurf1 interacts with BMP-specific R-Smads and induces their degradation to maintain low basal levels of them. In the presence of BMP signaling, Smurf1 targets activated type I receptors and BMP-specific R-Smads for ubiquitin-dependent degradation. I-Smads, induced by BMPs, act as adaptors in this process.
Bonni,
TGF-beta induces assembly of a Smad2-Smurf2 ubiquitin ligase complex that targets SnoN for degradation.
2001, Pubmed
Bonni,
TGF-beta induces assembly of a Smad2-Smurf2 ubiquitin ligase complex that targets SnoN for degradation.
2001,
Pubmed
Cho,
Molecular nature of Spemann's organizer: the role of the Xenopus homeobox gene goosecoid.
1991,
Pubmed
,
Xenbase
Clarke,
Müllerian inhibiting substance signaling uses a bone morphogenetic protein (BMP)-like pathway mediated by ALK2 and induces SMAD6 expression.
2001,
Pubmed
Ebisawa,
Smurf1 interacts with transforming growth factor-beta type I receptor through Smad7 and induces receptor degradation.
2001,
Pubmed
Fukuchi,
Ligand-dependent degradation of Smad3 by a ubiquitin ligase complex of ROC1 and associated proteins.
2001,
Pubmed
Gouédard,
Engagement of bone morphogenetic protein type IB receptor and Smad1 signaling by anti-Müllerian hormone and its type II receptor.
2000,
Pubmed
Hanyu,
The N domain of Smad7 is essential for specific inhibition of transforming growth factor-beta signaling.
2001,
Pubmed
Hata,
Smad6 inhibits BMP/Smad1 signaling by specifically competing with the Smad4 tumor suppressor.
1998,
Pubmed
,
Xenbase
Heldin,
TGF-beta signalling from cell membrane to nucleus through SMAD proteins.
1997,
Pubmed
Hershko,
The ubiquitin system.
1998,
Pubmed
Hogan,
Bone morphogenetic proteins: multifunctional regulators of vertebrate development.
1996,
Pubmed
Imamura,
Smad6 inhibits signalling by the TGF-beta superfamily.
1997,
Pubmed
Ishida,
Smad6 is a Smad1/5-induced smad inhibitor. Characterization of bone morphogenetic protein-responsive element in the mouse Smad6 promoter.
2000,
Pubmed
Kavsak,
Smad7 binds to Smurf2 to form an E3 ubiquitin ligase that targets the TGF beta receptor for degradation.
2000,
Pubmed
,
Xenbase
Kawabata,
Smad proteins exist as monomers in vivo and undergo homo- and hetero-oligomerization upon activation by serine/threonine kinase receptors.
1998,
Pubmed
Kawabata,
Signal transduction by bone morphogenetic proteins.
1998,
Pubmed
Lin,
Smurf2 is a ubiquitin E3 ligase mediating proteasome-dependent degradation of Smad2 in transforming growth factor-beta signaling.
2000,
Pubmed
Macías-Silva,
Specific activation of Smad1 signaling pathways by the BMP7 type I receptor, ALK2.
1998,
Pubmed
,
Xenbase
Miyazono,
Divergence and convergence of TGF-beta/BMP signaling.
2001,
Pubmed
Nakao,
Identification of Smad7, a TGFbeta-inducible antagonist of TGF-beta signalling.
1997,
Pubmed
,
Xenbase
Nakayama,
Xenopus Smad8 acts downstream of BMP-4 to modulate its activity during vertebrate embryonic patterning.
1998,
Pubmed
,
Xenbase
Podos,
The DSmurf ubiquitin-protein ligase restricts BMP signaling spatially and temporally during Drosophila embryogenesis.
2001,
Pubmed
Reddi,
Bone and cartilage differentiation.
1994,
Pubmed
Takase,
Induction of Smad6 mRNA by bone morphogenetic proteins.
1998,
Pubmed
ten Dijke,
Identification of type I receptors for osteogenic protein-1 and bone morphogenetic protein-4.
1994,
Pubmed
Tsuneizumi,
Daughters against dpp modulates dpp organizing activity in Drosophila wing development.
1997,
Pubmed
,
Xenbase
Visser,
The serine/threonine transmembrane receptor ALK2 mediates Müllerian inhibiting substance signaling.
2001,
Pubmed
Zhang,
Regulation of Smad degradation and activity by Smurf2, an E3 ubiquitin ligase.
2001,
Pubmed
,
Xenbase
Zhu,
A SMAD ubiquitin ligase targets the BMP pathway and affects embryonic pattern formation.
1999,
Pubmed
,
Xenbase