Click here to close
Hello! We notice that you are using Internet Explorer, which is not supported by Xenbase and may cause the site to display incorrectly.
We suggest using a current version of Chrome,
FireFox, or Safari.
Cell Cycle
2014 Jan 01;1316:2616-25. doi: 10.4161/15384101.2014.943573.
Show Gene links
Show Anatomy links
Loss of Extended Synaptotagmins ESyt2 and ESyt3 does not affect mouse development or viability, but in vitro cell migration and survival under stress are affected.
???displayArticle.abstract???
The Extended Synaptotagmins (Esyts) are a family of multi-C2 domain membrane proteins with orthologs in organisms from yeast to human. Three Esyt genes exist in mouse and human and these have most recently been implicated in the formation of junctions between endoplasmic reticulum and plasma membrane, as well as the Ca(2+) dependent replenishment of membrane phospholipids. The data are consistent with a function in extracellular signal transduction and cell adhesion, and indeed Esyt2 was previously implicated in both these functions in Xenopus. Despite this, little is known of the function of the Esyts in vivo. We have generated mouse lines carrying homozygous deletions in one or both of the genes encoding the highly homologous Esyt2 and Esyt3 proteins. Surprisingly, esyt2(-/-)/esyt3(-/-) mice develop normally and are both viable and fertile. In contrast, esyt2(-/-)/esyt3(-/-) mouse embryonic fibroblasts display a reduced ability to migrate in standard in vitro assays, and are less resistant to stringent culture conditions and to oxidative stress than equivalent wild type fibroblasts.
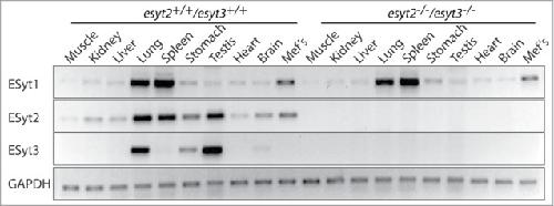
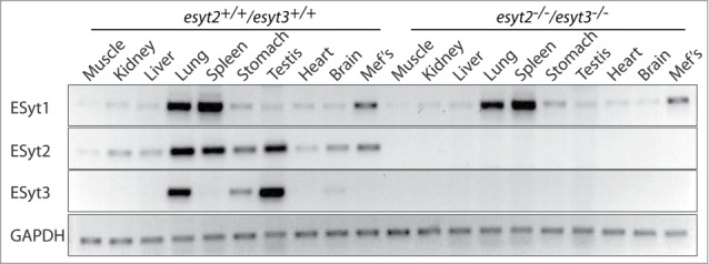
Figure 2. Expression of Esyt1, −2 and −3 mRNA in adult mouse tissues and MEFs. RT-PCR analyzes are shown for tissues from both wild type esyt2+/+/esyt3+/+ and esyt2−/−esyt3−/− mice as compared with GAPDH.
Figure 3. Expression pattern of the esyt2 and −3 genes in early mouse embryos. Expression was determined by conversion of X-Gal (blue-green) by ß-galactosidase produced from the gene inserted into the esyt2 and esyt3 gene loci. Enlarged panels on the right show a limb-bud and the hindbrain region of esyt3+/ß−Gal embryos. “aer” apical ectodermal ridge, “mhb” midbrain-hindbrain boundary, “fb” forelimb bud, “hb” hindlimb bud, “url” and “lrl” upper and lower rhombomere lips, “r2-6” rhombomeres, “ov” otic vesicle, “nt” neural tube, “drg” dorsal root ganglion.
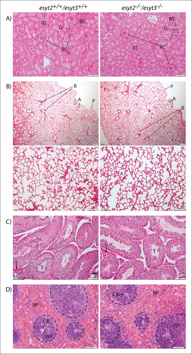
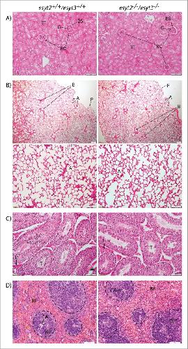
Figure 4. Representative Hematoxylin-Eosin staining of sections obtained from 2 11 month old esyt2−/−esyt3−/− sibling males and 2 11 month old esyt2+/+esyt3+/+ sibling males. Organs displayed were those that showed a strong or differential expression of ESyt1, 2 and 3, see Figure 2. (A) The renal cortex of WT and DKO mice are essentially indistinguishable. Renal tubules (RT) and renal corpuscles (RC) with glomeruli (G) and Bowman's space (BS) are indicated. Scale bars 100 μm. (B) Top panels: Lung sections with pleura (P), bronchioles (B) and alveoli (A) indicated, scale bars 200 μm. Bottom: higher magnification of alveoli, scale bars 100 μm. (C) Testis morphology also appears normal, seminiferous tubules (T) and the surrounding Leydig cells (L) are indicated, scale bars 100 μm. (D) White pulp (WP- encircled) with central arteries (CA) and red pulp (RP) of spleen samples are indicated, scale bars 100 μm.
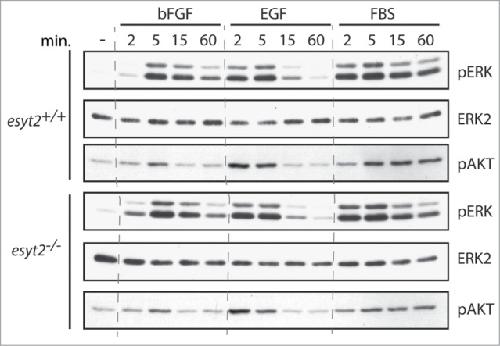
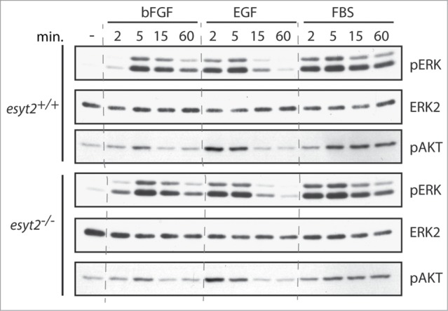
Figure 5. Response of ERK and AKT to extracellular stimulation in esyt2â/â MEFs. Esyt2+/+ and esyt2â/â MEFs were treated at 0Â min. with FGF, EGF and FBS and activation of ERK and AKT followed at the indicated times using phospho-specific antibodies (pERK (â1 and â2) and pAKT). ERK2 was detected using a specific antibody and was used as loading control.
Bisson,
Mice lacking both mixed-lineage kinase genes Mlk1 and Mlk2 retain a wild type phenotype.
2008, Pubmed
Bisson,
Mice lacking both mixed-lineage kinase genes Mlk1 and Mlk2 retain a wild type phenotype.
2008,
Pubmed
Bowes,
Xenbase: gene expression and improved integration.
2010,
Pubmed
,
Xenbase
Chang,
Feedback regulation of receptor-induced Ca2+ signaling mediated by E-Syt1 and Nir2 at endoplasmic reticulum-plasma membrane junctions.
2013,
Pubmed
Coomber,
In vitro endothelial wound repair. Interaction of cell migration and proliferation.
1990,
Pubmed
Creutz,
Characterization of the yeast tricalbins: membrane-bound multi-C2-domain proteins that form complexes involved in membrane trafficking.
2004,
Pubmed
Giordano,
PI(4,5)P(2)-dependent and Ca(2+)-regulated ER-PM interactions mediated by the extended synaptotagmins.
2013,
Pubmed
Giroux,
Embryonic death of Mek1-deficient mice reveals a role for this kinase in angiogenesis in the labyrinthine region of the placenta.
1999,
Pubmed
,
Xenbase
Groer,
Structural characterization of soluble E-Syt2.
2008,
Pubmed
Hama,
Scale: a chemical approach for fluorescence imaging and reconstruction of transparent mouse brain.
2011,
Pubmed
Jean,
The endocytic adapter E-Syt2 recruits the p21 GTPase activated kinase PAK1 to mediate actin dynamics and FGF signalling.
2012,
Pubmed
,
Xenbase
Jean,
Extended-synaptotagmin-2 mediates FGF receptor endocytosis and ERK activation in vivo.
2010,
Pubmed
,
Xenbase
Kopec,
Homology of SMP domains to the TULIP superfamily of lipid-binding proteins provides a structural basis for lipid exchange between ER and mitochondria.
2010,
Pubmed
Lee,
Diverse membrane-associated proteins contain a novel SMP domain.
2006,
Pubmed
Liou,
Unveiling physiological functions of extended synaptotagmins.
2015,
Pubmed
Manford,
ER-to-plasma membrane tethering proteins regulate cell signaling and ER morphology.
2012,
Pubmed
McMahon,
Molecular mechanism and physiological functions of clathrin-mediated endocytosis.
2011,
Pubmed
Min,
E-Syts, a family of membranous Ca2+-sensor proteins with multiple C2 domains.
2007,
Pubmed
Morris,
Cloning and preliminary characterization of a 121 kDa protein with multiple predicted C2 domains.
1999,
Pubmed
Thisse,
Functions and regulations of fibroblast growth factor signaling during embryonic development.
2005,
Pubmed
Toulmay,
A conserved membrane-binding domain targets proteins to organelle contact sites.
2012,
Pubmed
Xu,
Structure and Ca²⁺-binding properties of the tandem C₂ domains of E-Syt2.
2014,
Pubmed
Zúñiga,
Disruption of six Saccharomyces cerevisiae novel genes and phenotypic analysis of the deletants.
1999,
Pubmed