|
Fig. 1. dlx Expression in X. laevis at st. 33/34. Lateral views with anterior to left (A, C, E, G, I and K) and anterior views (B, D, F, H, J and L) of larvae stained by ISH for (A and B) dlx1, (C and D) dlx2, (E and F) dlx3-a, (G and H) dlx4, (I and J) dlx5, and (K and L) dlx6-a. The position of the stomodeum is indicated by an oval in all anterior views. (MâP) Schematic of dlx expression in the X. laevis (M and N) and mouse (O and P) cranial neural crest cells. See figure for key. Lateral views in (M) and (O), anterior views in (N) and (P). For X. laevis, the ventral blue domain is shown with grey stripes to indicate the expression of dlx3 in this region weakly. For mouse, data were used from both Jeong et al., 2008 and Depew et al., 2002. cg, cement gland; np, nasal placode; op, otic placode; st, stomodeum. Each PA is labeled by number.
|
|
Fig. 2. Transcription factor expression in the nascent X. laevis head skeleton at st. 33/34. Lateral views with anterior to left (A, C, E, G, I, K, M, O, Q, S, U and W), and anterior views (B, D, F, H, J, L, N, P, R, T, V and X) of st. 33/34 larvae stained by ISH. The position of the stomodeum is indicated by an oval in all anterior views. (A and B) emx2 is expressed centrally in PAs. (C and D) nkx3-2-b transcripts are found both in ventro-medial PA1 mesenchyme (arrow), and endoderm in more posterior PAs. (E and F) nkx3-3 is expressed in the region of the nascent jaw joint (arrow), as well as ectoderm around the stomodeum and more posterior arches, and endorderm in the pharyngeal pouches. (G and H) hand1 transcripts are found in ventral CNCCs. (I and J) msx1-b expression in the neurocranium, PAs, and FNP. Arrow in (I) indicates dorsal PA CNCC expression. (K and L) satb2 is expressed contiguously throughout ventral PAs, and at the junction of the antero-dorsal PA1 and FNP. (M and N) gsc-b is detected ventrally in the anteriormost 4 PAs. (O and P) tbx3-a transcripts are found in anterior PA1/frontonasal mesenchyme, as well as both CNCCs and endoderm of PAs 1, 3, 4, 5, and 6 (see Fig. S3Q). (Q and R) alx1 is expressed throughout the future neurocranium and the antero-dorsal PA1. (S and T) alx4 is expressed throughout the future neurocranium and antero-dorsal PA1, as well as the ventral PAs. (U and V) prrx1 is detected in the neurocranium and FNP, as well as the dorsal and ventral PAs. (W and X) pou3f3 is expressed in a domain branching PA1 and PA2, and strongly in the developing brain.
|
|
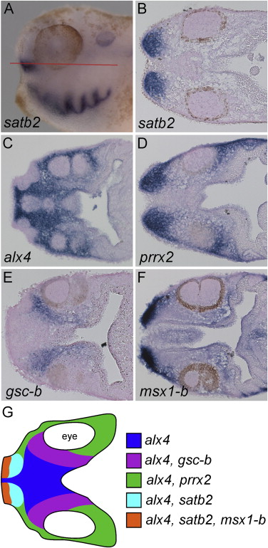
Fig. 3. Expression domains in the forming suprarostral plate, ethmoid plate, and trabecular cartilages at st. 37/38. Anterior to left in all panels. (A) Whole-mount lateral view of satb2 at st. 37/38; red line depicts the approximate plane of section used to assess gene expression in all subsequent panels. (B) satb2 is expressed dorsal to the PAs in the suprarostral plate at st. 37/38. (C) alx4 marks all aspects of the future neurocramium ventral to the eyes and brain. (D) prrx2 is found only in a lateral subset of the suprarostal plate, ethmoid plate, and trabeculae. (E) gsc-b is detected in the trabeculae and a small portion of the lateral ethmoid plate. (F) msx1-b is expressed strongly in the future suprarotal plate. (G) A summary scheme of the expressions shown in (B)â(F).
|
|
Fig. 4. Expression maps of larval gnathostome head skeletons. Combinatorial transcription factor expressions mapped to the head of a representative shark (Scyliorhinus canicula), ray-finned fish (zebrafish; Danio rerio), frog (Xenopus laevis), and mouse (Mus musculus). All schemes are depicted with anterior to left. Data for the shark, fish, and mouse were taken from current literature (see main text for citations); these maps represent our interpretation of published expression data. Extrapolating from these four organisms, we have reconstructed a hypothetical expression map for the gnathostome common ancestor. nkx3.2 expression in PA1 is uniquely indicated by a black outline. Colored question marks on the shark indicate our prediction of correspondingly colored expression domains which may be present in the shark head. satb2 in parentheses indicates a lack of this data in shark only (in both light and dark grey domains). pou3f3, gsc, and tbx2/3 were excluded from this map for simplicity.
|
|
Fig. 5. Unique gene expression in the X. laevis PA2. All larvae are shown in lateral view with anterior to left. (A and B) dlx2 is expressed throughout migratory PA CNCCs at (A) st. 27, but at (B) st. 28 it becomes sharply downregulated in the dorsal PA2 (the future columella; arrow in B). (C) Coinciding with dlx2 down-regulation, emx2 is expressed at st. 28 in the dorsal PA2 (arrow). At st. 35/36, (D) dlx2 and (E) dlx5 uniquely share part of their dorsal boundary in PA2. Orange and yellow dotted lines show the boundary of dlx2 and dlx5, respectively, while the red solid line indicates their shared border. (F) barx1, and (G) sox9-a also display conspicuous down-regulation in the dorsal PA2 at st. 33/34 (arrows in F and G).
|
|
Fig. 6. Gene expression in the intramandibular and primary jaw joint. Lateral views (AâC), dorsal views (IâM), and sections (EâG) are all shown with anterior to the left. Anterior views in (D and H). All black arrows mark the primary jaw joint, and all black arrowheads mark the intramandibular joint. (AâC) lateral views of whole-mount ISH for (A) nkx3-2-b, (B) nkx3-3, and (C) gdf5 at st. 41. Red lines depict the plane of section in the corresponding panel below each whole-mount photo, black arrows mark the future primary jaw joint, and the black arrowhead marks the future intramandibular joint. (D) Anterior view of whole-mount ISH for gdf5 at st. 45. (EâG) Sections of st. 41 larvae showing expressions in the future intramandibular and primary jaw joints. (E) nkx3-2-b is expressed in a broad domain surrounding the nascent primary jaw joint (black arrow), and also medially in the future infrarostral (white arrowhead) and future basihyal (white arrow). (F) nkx3-3 expression is found in the primary jaw joint (black arrow). (G) gdf5 expression is found in the nascent intramandibular joints (black arrowheads), and primary jaw joint (black arrow). (H) st. 45 whole-mount ISH for nkx3-2-a, shows expression in the primary jaw joint (black arrow). (IâL) dorsal views of st. 45 whole-mount ISH showing mandibular expression of (I) hand1, (J) barx1, (K) hand2-a+barx1 (double ISH; see Methods section), and (L) gdf5. Black arrowheads mark the future intramandibular joints. (M) Dorsal view with a ventral focal plane of a st. 48 X. laevis larva stained with alcian blue. Black arrowheads mark the intramandibular joints, black arrow marks the right primary jaw joint. (N and O) schematics of expressions showing hand2 (red), barx1 (green), and nkx3.2 (blue) in the mandibular arch. (N) wt and barx1 mutant zebrafish mandibular expression (adapted from Fig. 9B of Nichols et al., 2013). (O) st. 41 and st. 45 X. laevis mandible expression. The barx1 mutant zebrafish takes on a larval morphology strikingly similar to that of an anuran, with an extra joint forming within Meckelâs cartilage. Black arrowhead indicates the position of the future intramandibular joint. ir, infrarostral; mc, Meckelâs cartilage; pq, palatoquadrate.
|
|
Fig. S1.
Expression of dlx genes and mef2c. Gene and stage are indicated in figure. Anterior to left in all lateral views, anterior to top in all sections. For those genes with a section shown, the plane of section is shown as a red line on the corresponding whole-mount panel. (Q) at stage 37/38, the dlx4 signal in the pharynx is mostly due to riboprobe trapping (arrows in Q and S), though some expression in the posterior arch CNCCs remains. (HH) expression of mef2c is detected in pharyngeal CNCCs (arrows).
|
|
Fig. S2.
Expression of emx2, nkx3-2-b, nkx3-3, hand1, hand2-a msx1-b, and msx2. Gene and stage are indicated in figure. Anterior to left in all lateral views, anterior to top in E, N, dorsal to top in II. For those genes with a section shown, the plane of section is shown as a red line on the corresponding whole-mount panel. (J and N) nkx3-3 is expressed in CNCCs where the primary jaw joint will eventually form (arrow).
|
|
Fig. S3.
Expression of satb2, gsc-b, tbx3-a, and tbx2-a. Gene and stage are indicated in figure. Anterior to left in all lateral views, anterior to top in all sections. For those genes with a section shown, the plane of section is shown as a red line on the corresponding whole-mount panel. (Q) tbx3-a is expressed in both CNCCs (black arrow) and endoderm (white arrow) of the PAs.
|
|
Fig. S4.
Expression of alx1, alx4, prrx1, prrx2, pou3f3, barx1, and sox9-a. Gene and stage are indicated in figure. Anterior to left in all lateral views. Red line in (O) shows plane of section in (T).
|
|
Fig. S5.
Gene expression in the intramandibular joint, PA1, and PA2 derivatives. Gene and stage are indicated in figure. Lateral view with anterior to left (A), anterior views (B, D and H) and anteroventral views (C, E, F and I), and sections with anterior to left (G and K). (B) gdf5 expression between the suprarostal and ethmoid plate (arrow). (E and F) black line shows the outline of the lower jaw. (G) gdf5 is expressed in tissue flanking the future basihyal (white arrows). (H) nkx3-3 is expressed in the lateral portion of the primary jaw joint (arrow). (J) nkx3-2-b is expressed within the future basihyal (white arrowhead).
|
|
Fig. S6.
Progression of cartilage differentiation in X. laevis as revealed by alcian blue reactivity. View is indicated in figure. (A and E) at st. 41 heavy staining in the hyoid is seen, with no reactivity in the posterior PAs. (B and F) at st. 43, staining becomes apparent in the intermediate/ventral aspect of the posterior arches (arrows). (C and D) at stage 46, the majority of all future head skeleton elements have begun glycosaminoglycan deposition. (D) a dorsal view with a ventral focal plane of at st. 48 when head skeleton differentiation is largely complete.
|
|
alx4 (ALX homeobox 4) gene expression in Xenopus laevis embryo, assayed via in situ hybridization, NF stage 34, lateral view, anterior left, dorsal up.
|
|
barx1 (BARX homeobox 1) gene expression in Xenopus laevis embryo, assayed via in situ hybridization, NF stage 34, lateral view, anterior left, dorsal up.
|
|
dlx1 (distal-less homeobox 1) gene expression in Xenopus laevis embryo, assayed via in situ hybridization, NF stage 34, lateral view, anterior left, dorsal up.
|
|
dlx4(distal-less homeobox 4) gene expression in Xenopus laevis embryo, assayed via in situ hybridization, NF stage 34, lateral view, anterior left, dorsal up.
|
|
nkx3-3 (NK3 homeobox 2) gene expression in Xenopus laevis embryo, assayed via in situ hybridization, NF stage 36, lateral view, anterior left, dorsal up.
|
|
|
|
prrx2 (paired related homeobox 2) gene expression in Xenopus laevis embryo, assayed via in situ hybridization, NF stage 34, lateral view, anterior left, dorsal up.
|
|
satb2 (SATB homeobox 2) gene expression in Xenopus laevis embryo, assayed via in situ hybridization, NF stage 36, lateral view, anterior left, dorsal up.
|
|
dlx6 (distal-less homeobox 6) gene expression in Xenopus laevis embryo, assayed via in situ hybridization, NF stage 35, lateral view, anterior left, dorsal up.
|
|
|