Click here to close
Hello! We notice that you are using Internet Explorer, which is not supported by Xenbase and may cause the site to display incorrectly.
We suggest using a current version of Chrome,
FireFox, or Safari.
???displayArticle.abstract??? Thyroid hormone (TH) receptor (TR) expression begins early in development in all vertebrates when circulating TH levels are absent or minimal, yet few developmental roles for unliganded TRs have been established. Unliganded TRs are expected to repress TH-response genes, increase tissue responsivity to TH, and regulate the timing of developmental events. Here we examined the role of unliganded TRα in gene repression and development in Xenopus tropicalis. We used transcription activator-like effector nuclease gene disruption technology to generate founder animals with mutations in the TRα gene and bred them to produce F1 offspring with a normal phenotype and a mutant phenotype, characterized by precocious hind limb development. Offspring with a normal phenotype had zero or one disrupted TRα alleles, and tadpoles with the mutant hind limb phenotype had two truncated TRα alleles with frame shift mutations between the two zinc fingers followed by 40-50 mutant amino acids and then an out-of-frame stop codon. We examined TH-response gene expression and early larval development with and without exogenous TH in F1 offspring. As hypothesized, mutant phenotype tadpoles had increased expression of TH-response genes in the absence of TH and impaired induction of these same genes after exogenous TH treatment, compared with normal phenotype animals. Also, mutant hind limb phenotype animals had reduced hind limb and gill responsivity to exogenous TH. Similar results in methimazole-treated tadpoles showed that increased TH-response gene expression and precocious development were not due to early production of TH. These results indicate that unliganded TRα delays developmental progression by repressing TH-response genes.
Figure 2. TRα TALEN founder developmental phenotypes. A, mCherry mRNA was coinjected with TRα TALEN mRNA into a single blastomere of two-cell stage embryos. Ventral view of the injected tadpole shows mCherry expression only on the left side of its body. B and C, Hind limb and skin phenotype are shown. B, Ventral view of the lower abdomen and proximal part of tail shows different developmental progression in the hind limbs between uninjected and injected sides. White arrows point to side views of the hind limb on each side to show the alteration of not just limb length but stage of limb development. C, Skin on the injected side of a NF stage 57 tadpole shows advanced iridophore development (gold skin color, black triangles). Thicker skin obscures the ultimobranchial body visible only on the uninjected side (white triangle). The dotted line delineates the uninjected and injected sides. D, Histogram of hind limb stage difference in TRα TALEN founders. When the stage of hind limb development on the uninjected side was NF stage 49, the difference in stage compared with the injected side was determined and plotted in the histogram. The hind limb on the injected side was always more advanced, typically by 1 to 1.5 stages (n = 42 injected animals from the same clutch). Tadpoles that lacked a stage difference were not quantified. HL, hind limb.
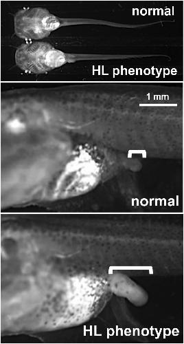
Figure 3. Hind limb phenotype in F1 offspring. Representative sibling offspring from a pair of TRα TALEN founders were imaged at feeding stage (upper panel). The developmental difference in hind limbs is shown in the lower panels. The hind limbs are bracketed. HL, hind limb.
Figure 4. Derepression of TH-response genes in hind limb phenotype tadpoles. Total RNA from whole bodies of F1 normal or hind limb (HL) phenotype tadpoles at NF stage 48–49 and NF stage 50–51, respectively, was isolated from four clutches [clutches 6, 7, 9, and 11 (Supplemental Table 1)] was isolated to analyze mRNA expression before TH circulation begins at NF stages 54–55. HL phenotype animals had higher expression levels of TRβ (A), ST3 (B), and KLF9 (C) mRNA than normal animals. D, The TALEN-induced mutation in TRα had no effect on its mRNA expression levels, which were not significantly different in normal and hind limb phenotype animals (n = 4–6); bars show expression levels relative to the housekeeping gene rpL8, and error bars represent SD. Significance levels for a one-way ANOVA were: *, P < .05; **, P < 0.01; ***, P < 0.001.
Figure 5. Impaired induction of TH-response genes in hind limb phenotype tadpoles. Total RNA from whole bodies of sibling F1 normal or hind limb (HL) phenotype tadpoles at NF stages 48–49 and NF stages 50–51, respectively, was isolated after treatment with 0, 2, or 10 nM T3 for 24 hours. The mRNA expression levels of TRβ (A), ST3 (B), and KLF9 (C) were significantly higher in normal tadpoles treated with 2 or 10 nM T3. Uninduced levels were increased for TRβ and KLF9 in HL phenotype tadpoles, as in Figure 4. n = 4–6, bars show expression levels relative to the housekeeping gene rpL8, and error bars represent standard deviation. One-way ANOVA showed significant differences for most comparisons, P < .05; *, < 0.01; **, < 0.001; ***.
Figure 6. Reduced hind limb responsivity to TH in hind limb phenotype tadpoles. Normal and hind limb (HL) mutant phenotype tadpoles from the same clutch were treated with 0 or 10 nM T3 for 7 days. Hind limbs in mutant phenotype tadpoles (middle row) were compared with normal tadpoles of the same age (top row, age matched) or at the same stage (bottom row, stage matched). In the absence of T3, hind limbs advanced up to two stages in 7 days in normal and mutant phenotype tadpoles, (compare day 0-T3 and day 7-T3). In the presence of T3 (compare day 0-T3 and day 7+T3), hind limbs in normal tadpoles advanced from NF stage 48 to NF stage 51 (top row) or from NF stage 53 to NF stage 57 (bottom row), whereas hind limbs of mutant phenotype tadpoles advanced from NF stages 53 to NF stage 55. Importantly, the effect of T3 in mutant hind limbs (no difference in stage but slight increase in hind limb length) was greatly reduced compared with the effect in normal tadpoles of the same stage (compare day 7-T3 and day 7+T3). Hind limb images were photographed with the same magnification. This experiment was repeated with a sample size of four to six with similar results.
Figure 7. Reduced gill responsivity to TH in hind limb phenotype tadpoles. Normal and hind limb (HL) mutant phenotype tadpoles were the same individuals as in Figure 6. Gills in mutant phenotype tadpoles (middle row) were compared with normal tadpoles of the same age (top row, age matched) or at the same stage (bottom row, stage matched). In the presence of T3, gill resorption in normal tadpoles (top and bottom rows) occurred to a greater extent than in mutant phenotype tadpoles (middle row) (the clear area seen in mutant phenotype tadpoles is larger than in normal tadpoles, near white brackets). Gill images were photographed with the same magnification. This experiment was repeated with a sample size of four to six with similar results.
Bernal,
Thyroid hormone receptor activity in the absence of ligand: physiological and developmental implications.
2013, Pubmed
Bernal,
Thyroid hormone receptor activity in the absence of ligand: physiological and developmental implications.
2013,
Pubmed
Bilesimo,
Specific histone lysine 4 methylation patterns define TR-binding capacity and differentiate direct T3 responses.
2011,
Pubmed
,
Xenbase
Buchholz,
Molecular and developmental analyses of thyroid hormone receptor function in Xenopus laevis, the African clawed frog.
2006,
Pubmed
,
Xenbase
Buchholz,
A dominant-negative thyroid hormone receptor blocks amphibian metamorphosis by retaining corepressors at target genes.
2003,
Pubmed
,
Xenbase
Buchholz,
Gene-specific changes in promoter occupancy by thyroid hormone receptor during frog metamorphosis. Implications for developmental gene regulation.
2005,
Pubmed
,
Xenbase
Cai,
Expression of type II iodothyronine deiodinase marks the time that a tissue responds to thyroid hormone-induced metamorphosis in Xenopus laevis.
2004,
Pubmed
,
Xenbase
Chassande,
Do unliganded thyroid hormone receptors have physiological functions?
2003,
Pubmed
Chassande,
Identification of transcripts initiated from an internal promoter in the c-erbA alpha locus that encode inhibitors of retinoic acid receptor-alpha and triiodothyronine receptor activities.
1997,
Pubmed
Damm,
Protein encoded by v-erbA functions as a thyroid-hormone receptor antagonist.
1989,
Pubmed
Fairclough,
An immunocytochemical analysis of the expression of thyroid hormone receptor alpha and beta proteins during natural and thyroid hormone-induced metamorphosis in Xenopus.
1997,
Pubmed
,
Xenbase
Flamant,
Congenital hypothyroid Pax8(-/-) mutant mice can be rescued by inactivating the TRalpha gene.
2002,
Pubmed
Furlow,
Induction of larval tissue resorption in Xenopus laevis tadpoles by the thyroid hormone receptor agonist GC-1.
2004,
Pubmed
,
Xenbase
Grimaldi,
Mechanisms of thyroid hormone receptor action during development: lessons from amphibian studies.
2013,
Pubmed
,
Xenbase
Hollar,
Higher thyroid hormone receptor expression correlates with short larval periods in spadefoot toads and increases metamorphic rate.
2011,
Pubmed
,
Xenbase
Hoopfer,
Basic transcription element binding protein is a thyroid hormone-regulated transcription factor expressed during metamorphosis in Xenopus laevis.
2002,
Pubmed
,
Xenbase
Kawahara,
Developmental and regional expression of thyroid hormone receptor genes during Xenopus metamorphosis.
1991,
Pubmed
,
Xenbase
Lazar,
Thyroid hormone receptors: multiple forms, multiple possibilities.
1993,
Pubmed
Lee,
The D domain of the thyroid hormone receptor alpha 1 specifies positive and negative transcriptional regulation functions.
1993,
Pubmed
Livak,
Analysis of relative gene expression data using real-time quantitative PCR and the 2(-Delta Delta C(T)) Method.
2001,
Pubmed
Mai,
Thyroid hormone receptor alpha is a molecular switch of cardiac function between fetal and postnatal life.
2004,
Pubmed
Mittag,
Athyroid Pax8-/- mice cannot be rescued by the inactivation of thyroid hormone receptor alpha1.
2005,
Pubmed
Morte,
Deletion of the thyroid hormone receptor alpha 1 prevents the structural alterations of the cerebellum induced by hypothyroidism.
2002,
Pubmed
Nagaya,
Second zinc finger mutants of thyroid hormone receptor selectively preserve DNA binding and heterodimerization but eliminate transcriptional activation.
1996,
Pubmed
Nagaya,
Heterodimerization preferences of thyroid hormone receptor alpha isoforms.
1996,
Pubmed
Nakajima,
Regulation of thyroid hormone sensitivity by differential expression of the thyroid hormone receptor during Xenopus metamorphosis.
2012,
Pubmed
,
Xenbase
Ocasio,
Design and characterization of a thyroid hormone receptor alpha (TRalpha)-specific agonist.
2006,
Pubmed
,
Xenbase
Patterton,
Transcriptional activation of the matrix metalloproteinase gene stromelysin-3 coincides with thyroid hormone-induced cell death during frog metamorphosis.
1995,
Pubmed
,
Xenbase
Puzianowska-Kuznicka,
Both thyroid hormone and 9-cis retinoic acid receptors are required to efficiently mediate the effects of thyroid hormone on embryonic development and specific gene regulation in Xenopus laevis.
1997,
Pubmed
,
Xenbase
Rastinejad,
Structural determinants of nuclear receptor assembly on DNA direct repeats.
1995,
Pubmed
Sachs,
Nuclear receptor corepressor recruitment by unliganded thyroid hormone receptor in gene repression during Xenopus laevis development.
2002,
Pubmed
,
Xenbase
Sachs,
Dual functions of thyroid hormone receptors during Xenopus development.
2000,
Pubmed
,
Xenbase
Sachs,
Unliganded thyroid hormone receptor function: amphibian metamorphosis got TALENs.
2015,
Pubmed
,
Xenbase
Sakuma,
Efficient TALEN construction and evaluation methods for human cell and animal applications.
2013,
Pubmed
,
Xenbase
Sakuma,
Repeating pattern of non-RVD variations in DNA-binding modules enhances TALEN activity.
2013,
Pubmed
,
Xenbase
Sap,
Repression of transcription mediated at a thyroid hormone response element by the v-erb-A oncogene product.
1989,
Pubmed
Sato,
A role of unliganded thyroid hormone receptor in postembryonic development in Xenopus laevis.
2007,
Pubmed
,
Xenbase
Shi,
Unliganded thyroid hormone receptor regulates metamorphic timing via the recruitment of histone deacetylase complexes.
2013,
Pubmed
,
Xenbase
Shi,
Dual functions of thyroid hormone receptors in vertebrate development: the roles of histone-modifying cofactor complexes.
2009,
Pubmed
,
Xenbase
Shi,
Tadpole competence and tissue-specific temporal regulation of amphibian metamorphosis: roles of thyroid hormone and its receptors.
1996,
Pubmed
,
Xenbase
Stolow,
Xenopus sonic hedgehog as a potential morphogen during embryogenesis and thyroid hormone-dependent metamorphosis.
1995,
Pubmed
,
Xenbase
Suzuki,
High efficiency TALENs enable F0 functional analysis by targeted gene disruption in Xenopus laevis embryos.
2013,
Pubmed
,
Xenbase
Tata,
Early metamorphic competence of Xenopus larvae.
1968,
Pubmed
,
Xenbase
Winter,
Thyroid hormone receptor alpha1 is a critical regulator for the expression of ion channels during final differentiation of outer hair cells.
2007,
Pubmed
Yaoita,
A correlation of thyroid hormone receptor gene expression with amphibian metamorphosis.
1990,
Pubmed
,
Xenbase
Yaoita,
Xenopus laevis alpha and beta thyroid hormone receptors.
1990,
Pubmed
,
Xenbase