|
Fig. 1.
Maturin predicted protein sequence, conservation and expression during Xenopus laevis
embryonic development. (A) Maturin protein sequence alignment. Predicted amino acid
sequence of X. laevis Maturin aligned with putative orthologs from other vertebrates.
Periods indicate amino acid identity, while gaps (dashes) were inserted to optimize the
alignment. The 29-residue Maturin Motif is indicated by a red over-line. Aspartic (D) and
glutamic (E) amino acids in the acidic domain are labeled with asterisks. The four positions
at which nonconservative changes of highly acidic amino acids have taken place are
indicated with a caret (^). (B) Amino acid identity among vertebrate Maturins. Percent
identity shared with X. laevis Maturin is shown. Genbank accession numbers are: X. laevis
BC045253, H. sapiens NM_152793 (C7orf41), M. musculus BC042507 (2410066E13Rik),
G. gallus XM_003640720.1, D. rerio NM_001144806. (C) Detection of maturin and pax6
transcripts using RT-PCR. Gene specific primers were used to detect maturin and pax6
transcripts in total RNA isolated from eggs (E) and whole embryos of the indicated
developmental stage. Histone h4 was used as a loading control. (DâK) Maturin expression in developing embryos. Whole mount in situ hybridization was used to detect Xenopus laevis
maturin expression. Developmental stage is indicated above each panel. (E) Stage 9 embryo
cut open with a razor following whole mount in situ hybridization. An, animal; Veg, vegetal;
b, blastocoel; A, anterior; P, posterior; np, neural plate; ef, eye field; nc, neural crest; D,
dorsal; V, ventral; sc, spinal cord; ov, optic vesicle; e, eye. Scale bars = 400μm.
|
|
Fig. 2.
Maturin expression during neural differentiation. Expression of maturin (A–K),
differentiation (A′–K′) and proliferation markers (A″–K″) in frog (A–D″), zebrafish (E–H″)
and mouse (I–K″) neural tissues. Expression of maturin (A–K) and tubb2b (A′–D′) was
determined using in situ hybridization. Differentiating neurons were identified by GFP
immunolabeling to detect elav3l:GFP transgene expression in zebrafish (green in E′–H′) and
by acTUBB3b (orange in I′–K′) immunolabeling in mouse. Proliferating neuroblasts were
identified by either BrdU in Xenopus (pink in A″–D″) or PCNA immunolabeling in
zebrafish and mouse (orange in E″– H″ and green in I″– K″). Nuclei were stained blue with
DAPI (A″–D″). Inset in panel D is magnified view of region encompassing the dorsal CMZ.
MZ, marginal zone; VZ, ventricular zone; LP, lens placode; gc, ganglion cells; *, retinal periphery; L, lens; G, ganglion cell layer; I, inner plexiform layer; P, photoreceptor layer;
NE, neuroepithelium; CP, cortical plate; IZ, intermediate zone; DCL, differentiated cell
layer; NBL, neuroblastic layer. Scale bars, 50 μm.
|
|
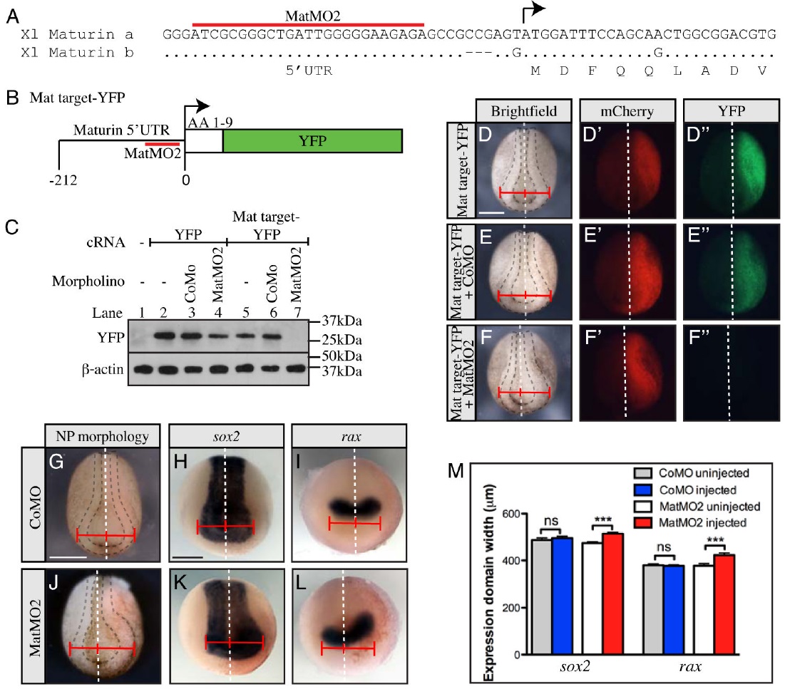
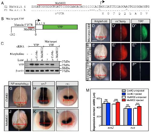
Fig. 3.
Maturin knockdown results in neural plate expansion. (A–F″) Design and test of Maturin
morpholino activity. (A) Sequence alignment of a and b homeologs of X. laevis maturin
showing relative position of the Maturin morpholino MatMO2 (red overline). (B) Schematic
of the Mat target-YFP reporter construct used to test morpholino activity. (C) Western blots
were used to detect the expression of YFP and β-actin (loading control) in extracts prepared
from embryos injected with the indicated morpholino, and cRNA coding for YFP or Mat
target-YFP. (D–F″) Brightfield (D, E and F), mCherry fluorescent (D′, E′ and F′) and YFP
fluorescent (D″, E″ and F″) images of stage 15 embryos unilaterally injected with cRNA for
mCherry and Mat target-YFP alone (D – D″), with CoMO (E–E″), or MatMO2 (F–F″). (G–
M) Neural plate expansion following Maturin knockdown. The extent of neural plate
expansion was determined by comparing the distance between the embryonic midline (white
dashed line) and outer edge of the neural ridge on the control (uninjected) and injected side
of embryos injected with CoMO (G–I) or MatMO2 (J–L). In situ hybridization for sox2 (H,
K) and rax (I, L) was used to more precisely quantitate the extent of neural plate expansion
(M). Graph shows the size of the sox2 and rax expression domains in the uninjected and
injected side of either CoMO or MatMO2 embryos. Error bars show the s.e.m. Asterisks
indicate P-values calculated using a one-way ANOVA analysis (ns P>0.05; *** P<0.0001).
Right side (viewer’s perspective) of all embryos is the injected side. Scale bars, 400μm.
|
|
Fig. 4.
Maturin knockdown increases neural cell number without reducing cell death or inducing
neural cell fate. (A–C) Neural plate cell density in MatMO2-injected embryos. (A) Diagram
illustrating the predicted effect on cell density if a change in cell size is responsible for
neural plate expansion. (B) The number of nuclei (Blue - DAPI) in a 100 μm by 200 μm
region on either side of the midline of embryos unilaterally injected with MatMO2 and GFP
cRNA (green) was determined. Inset shows how the embryos were positioned for
sectioning. (C) Average number of nuclei observed in 0.02 mm2 area. (D, E) Neural plate
cell number in MatMO2-injected embryos. (D) Neural plate sections were stained for sox2
expression (red) and DAPI (blue). Dashed line indicates embryonic midline, and the lateral
extent of sox2 expression is indicated by the arrowheads. Inset shows how the embryos were
positioned for sectioning. (E) Total number of cells (nuclei) within the sox2 expression
domain. (F–H) TUNEL staining was used to detect cell death in CoMO- (F) and MatMO2-
injected embryos (G). Insets in F and G show the location of the 0.138 mm2 area on the
control and injected side of each embryo scored to generate results (H). (I) RT-PCR for
ncam1, tubb2b, actc1 (actin, alpha cardiac muscle 1) and H4 on animal cap explants from
embryos injected into both blastomere at the 2-cell stage with CoMO, MatMO2, noggin or
neurog2. Actc1 was used to confirm neural induction resulting from nog and neurog2
injection was direct (not via mesoderm induction) (Hemmati-Brivanlou and Melton, 1994).
H4 was used as a loading control. Controls included RNA isolated from whole embryos and
processed without (WE-RT) and with (WE) reverse transcriptase, as well as uninjected
animal cap explants. Similar results were obtained from two independent experiments and
when explants were cultured to the equivalent of stg 22. (J–L) Sox2 in situ hybridization on
Martinez-De Luna et al. Page 21
embryos injected into one ventral blastomere at the 8-cell stage with noggin (J), CoMO (K)
or MatMO2 (L). The injected side is on the right (viewer’s perspective). In the graphs the
error bars show the s.e.m. P-values obtained using Student’s t-test: ns,not significant;
*P=0.0101; ***P<0.0001. Scale bars, (B)=100 μm; (F and J)=400 μm.
|
|
Fig. 5.
Maturin knockdown inhibits differentiation of neural progenitors. (A–C) Whole mount in
situ hybridization for tubb2b following Maturin knockdown. tubb2b expression in CoMO
injected (A), uninjected (B), or MatMO2 injected embryos (C). A similar effect on tubb2b
expression was also observed with MatMO1 (Fig. S1G). (D–F) Proliferation in Morpholinoinjected
embryos. Proliferating cells were labeled using pHH3 whole mount immunostaining
in CoMO (D) and MatMO2 injected embryos (E). Insets in D and E show the 0.138 mm2
area on the control and injected side of each embryo in which pHH3-positive cells were
counted to generate the results (F). (G–I) Whole mount in situ hybridization for tubb2b after
maturin overexpression. tubb2b expression in β-Gal (G) and maturin cRNA (H) injected
embryos. In all panels of this figure, the injected side is to the right (viewer’s perspective).
The s.e.m. is shown. P-values obtained using Student’s t-test: **P=0.0023. Scale bars,
400μm.
|
|
Fig. 6.
Maturin transcription is induced by, and Maturin function is required for the activity of, the
proneural transcription factors. (A–D′) Anterior (A–D) and lateral (A′–D′) views of maturin
expression in embryos misexpressing YFP-only (A, A′), neurog2 (B, B′), neurod1 (C, C′),
and ebf3 (D, D′), respectively. Arrows show areas normally lacking maturin (A, A′), express
ectopic maturin when proneural transcription factors are misexpressed (B–D′). (E–M) One
blastomere of 2-cell staged embryos were injected with the indicated proneural transcription
factor alone (E, H and K), with control (F, I and L) or Maturin (G, J and M) morpholinos.
The effects on tubb2b expression were detected by whole mount in situ hybridization at
stage 15. Right side (viewer’s perspective) is the injected side. Scale bar, 400μm.
|
|
Fig. 7.
Maturin and Pak3 synergy. (A–K) Embryos were injected unilaterally into one blastomere at
the 2-cell stage with the indicated morpholino(s) and/or cRNA(s). At stage 15 in situ
hybridization was used to determine the effect on tubb2b expression. (L, M) Graphs
illustrate the percent of embryos with additional tubb2b-positive cells in the lateral stripe,
when injected with sub-maximal amounts of maturin, myrPak3, pak3 or the indicated
combination of cRNAs. Scale bars, 400μm. Injected side in all embryos is right side
(viewer’s perspective).
|
|
Fig. 8.
Proposed gene network illustrating the most likely position of Maturin in the proneural
pathway. Maturin and Pak3 function together downstream of the proneural transcription
factors to promote differentiation of the primary neurons. Our results are consistent with
models in which Maturin and Pak3 form a complex (A), or function independently (B). In
both models, Maturin and Pak3 are both required for normal primary neurogenesis.
|
|
mturn (maturin, neural progenitor differentiation regulator homolog) gene expression in Xenopus laevis embryo, assayed via in situ hybridization, NF stage 9, horizontal view, animal up.
|
|
mturn (maturin, neural progenitor differentiation regulator homolog) gene expression in Xenopus laevis embryo, assayed via in situ hybridization, NF stage 15, dorsal view, anterior up.
|
|
mturn (maturin, neural progenitor differentiation regulator homolog) gene expression in Xenopus laevis embryo, assayed via in situ hybridization, NF stage 20, dorsal view, anterior up.
|
|
mturn (maturin, neural progenitor differentiation regulator homolog) gene expression in Xenopus laevis embryo, assayed via in situ hybridization, NF stage 31, lateral view, anterior right, dorsal up.
|