Click here to close
Hello! We notice that you are using Internet Explorer, which is not supported by Xenbase and may cause the site to display incorrectly.
We suggest using a current version of Chrome,
FireFox, or Safari.
Figure 2. Nuclear coexpression of IQGAP1 and Dvl is correlated with cyclin D1 and c-myc expression.Coexpression of IQGAP1 (A) and Dvl (C) in the nucleus of lung adenocarcinoma. Coexpression of IQGAP1 (B) and Dvl (D) in the nucleus of lung squamous cell carcinoma. Positive expression of cyclin D1 (E) and c-myc (G) in lung adenocarcinoma. Positive expression of cyclin D1 (F) and c-myc (H) in lung squamous cell carcinoma. Original magnification, 400×; scale bar, 20 µm.
Figure 3. Kaplan–Meier analysis showing overall survival among NSCLC patients.(A) a.the group with IQGAP1 and Dvl noncoexpression in the cytoplasm and nucleus (61 cases); b.the group with IQGAP1 and Dvl coexpression in the cytoplasm and nucleus (50 cases) (B) a.the group with IQGAP1 and Dvl noncoexpression in the cytoplasm and nucleus (61 cases); b.the group with IQGAP1 and Dvl coexpression in the cytoplasm (42 cases); c.the group with IQGAP1 and Dvl coexpression in the nucleus (8 cases).
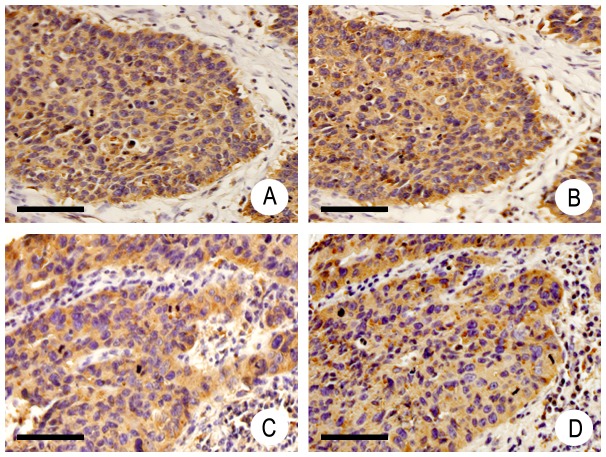
Figure 1. Coexpression of IQGAP1 (A, C) and Dvl (B, D) in the cytoplasm of NSCLC.AâB: adenocarcinoma; CâD: squamous cell carcinoma. Original magnification, 400Ã; scale bar, 20 µm.
Brown,
IQGAP1 in cellular signaling: bridging the GAP.
2006, Pubmed
Brown,
IQGAP1 in cellular signaling: bridging the GAP.
2006,
Pubmed
Fukata,
Rac1 and Cdc42 capture microtubules through IQGAP1 and CLIP-170.
2002,
Pubmed
Fukukawa,
Activation of the non-canonical Dvl-Rac1-JNK pathway by Frizzled homologue 10 in human synovial sarcoma.
2009,
Pubmed
Gan,
Nuclear Dvl, c-Jun, beta-catenin, and TCF form a complex leading to stabilization of beta-catenin-TCF interaction.
2008,
Pubmed
Goto,
IQGAP1 functions as a modulator of dishevelled nuclear localization in Wnt signaling.
2013,
Pubmed
,
Xenbase
Itoh,
Nuclear localization is required for Dishevelled function in Wnt/beta-catenin signaling.
2005,
Pubmed
,
Xenbase
Kholmanskikh,
Calcium-dependent interaction of Lis1 with IQGAP1 and Cdc42 promotes neuronal motility.
2006,
Pubmed
Lee,
Identification of transmembrane protein 88 (TMEM88) as a dishevelled-binding protein.
2010,
Pubmed
,
Xenbase
Liu,
An immunohistochemical analysis-based decision tree model for estimating the risk of lymphatic metastasis in pN0 squamous cell carcinomas of the lung.
2011,
Pubmed
Mateer,
Actin filament binding by a monomeric IQGAP1 fragment with a single calponin homology domain.
2004,
Pubmed
Nakamura,
Expression pattern of the scaffold protein IQGAP1 in lung cancer.
2005,
Pubmed
Wang,
Overexpression of IQGAP1 in human pancreatic cancer.
2013,
Pubmed
Watanabe,
Interaction with IQGAP1 links APC to Rac1, Cdc42, and actin filaments during cell polarization and migration.
2004,
Pubmed
Wei,
Dishevelled family proteins are expressed in non-small cell lung cancer and function differentially on tumor progression.
2008,
Pubmed
Zhao,
Dishevelled-1 and dishevelled-3 affect cell invasion mainly through canonical and noncanonical Wnt pathway, respectively, and associate with poor prognosis in nonsmall cell lung cancer.
2010,
Pubmed
Zhu,
Dvl2-dependent activation of Daam1 and RhoA regulates Wnt5a-induced breast cancer cell migration.
2012,
Pubmed