Click here to close
Hello! We notice that you are using Internet Explorer, which is not supported by Xenbase and may cause the site to display incorrectly.
We suggest using a current version of Chrome,
FireFox, or Safari.
Phosphorylation and arginine methylation mark histone H2A prior to deposition during Xenopus laevis development.
Wang WL
,
Anderson LC
,
Nicklay JJ
,
Chen H
,
Gamble MJ
,
Shabanowitz J
,
Hunt DF
,
Shechter D
.
???displayArticle.abstract???
BACKGROUND: Stored, soluble histones in eggs are essential for early development, in particular during the maternally controlled early cell cycles in the absence of transcription. Histone post-translational modifications (PTMs) direct and regulate chromatin-templated transactions, so understanding the nature and function of pre-deposition maternal histones is essential to deciphering mechanisms of regulation of development, chromatin assembly, and transcription. Little is known about histone H2A pre-deposition modifications nor known about the transitions that occur upon the onset of zygotic control of the cell cycle and transcription at the mid-blastula transition (MBT).
RESULTS: We isolated histones from staged Xenopus laevis oocytes, eggs, embryos, and assembled pronuclei to identify changes in histone H2A modifications prior to deposition and in chromatin. Soluble and chromatin-bound histones from eggs and embryos demonstrated distinct patterns of maternal and zygotic H2A PTMs, with significant pre-deposition quantities of S1ph and R3me1, and R3me2s. We observed the first functional distinction between H2A and H4 S1 phosphorylation, as we showed that H2A and H2A.X-F (also known as H2A.X.3) serine 1 (S1) is phosphorylated concomitant with germinal vesicle breakdown (GVBD) while H4 serine 1 phosphorylation occurs post-MBT. In egg extract H2A/H4 S1 phosphorylation is independent of the cell cycle, chromatin assembly, and DNA replication. H2AS1ph is highly enriched on blastula chromatin during repression of zygotic gene expression while H4S1ph is correlated with the beginning of maternal gene expression and the lengthening of the cell cycle, consistent with distinct biological roles for H2A and H4 S1 phosphorylation. We isolated soluble H2A and H2A.X-F from the egg and chromatin-bound in pronuclei and analyzed them by mass spectrometry analysis to quantitatively determine abundances of S1ph and R3 methylation. We show that H2A and H4 S1ph, R3me1 and R3me2s are enriched on nucleosomes containing both active and repressive histone PTMs in human A549 cells and Xenopus embryos.
CONCLUSIONS: Significantly, we demonstrated that H2A phosphorylation and H4 arginine methylation form a new class of bona fide pre-deposition modifications in the vertebrate embryo. We show that S1ph and R3me containing chromatin domains are not correlated with H3 regulatory PTMs, suggesting a unique role for phosphorylation and arginine methylation.
Figure 1. H2A and H2A.X-F S1 phosphorylation and R3 methylation are enriched on pronuclei, while H4 S1 phosphorylation is DNA concentration dependent. (A) Pronuclei were assembled in egg extract and chromatin was isolated through a sucrose cushion at 0, 15, 30, 60, and 90 min post incubation. Isolated chromatin proteins were immunoblotted as shown (right five lanes). Input egg extract, purified pronuclear histones, and sperm histones were also immunoblotted (left three lanes). (B) Egg extract was incubated with increasing concentrations of plasmid DNA (0, 5, 10, 25, and 50 ng/μL) for 0, 2, or 4 h. Samples of the total reaction were immunoblotted as shown.
Figure 2. H2A and H2A.X-F S1 phosphorylation is independent of DNA replication and the cell cycle. (A) Sperm chromatin was incubated in egg extract with the addition of BSA (control) or the addition of 150 ng of Geminin to inhibit DNA replication. The reactions were flash-frozen at 0, 30, or 90 min and chromatin was isolated through a sucrose cushion and immunoblotted as shown. The migration positions of H2A.X-F, H2A, and H4 are indicated. (B) Double-stranded DNA bound to streptavidin beads was incubated in egg extract for 0, 15, 30, or 60 min, then isolated and washed. Precipitated protein was immunoblotted for H2A, H3, H4, and S1ph as indicated. (C) Sperm chromatin was incubated in cycling egg extract and aliquots were flash-frozen every 15 min, from 0 to 180 min. Chromatin was isolated through a sucrose cushion and immunoblotted as shown. Interphase and mitosis were observed by DAPI-stained chromatin and noted at the top of the panel.
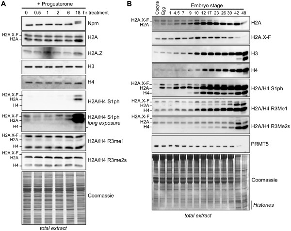
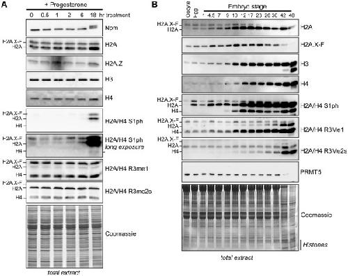
Figure 3. H2A and H2A.X-F are dynamically modified during oocyte maturation and early development. (A) Stage VI oocytes were treated with 15 μM progesterone and samples from 0, 0.5, 1, 2, 6, and 18 h post-treatment were collected, frozen, and lysed for immunoblot analysis as shown. Total protein is shown in the Coomassie stained gel at the bottom. The migration positions of H2A.X-F, H2A, and H4 are indicated. (B) Pooled oocytes, eggs, and fertilized embryos through stage 48 were collected, frozen, and lysed. Total protein samples were immunoblotted as shown. Total protein is shown in the Coomassie stained gel at the bottom. The migration positions of H2A.X-F, H2A, and H4 are indicated.
Figure 4. Soluble and chromatin-bound histone isolation reveals distinct patterns of H2A and H2A.X-F modification during early development. (A) Cartoons of the embryo stages that we collected (drawings Copyright 1994 from Normal Table of Xenopus Laevis (Daudin) by Faber et al. Reproduced by permission of Garland Science/Taylor & Francis LLC). (B) Embryo fractionation scheme: five embryos per stage were collected, lysed, and homogenized, centrifuged at 1,000 g and the supernatant containing soluble histones was removed. The pellet was washed in the lysis buffer and then sonicated. This material was used as the chromatin fraction. (C) Equivalent volume of total soluble protein from the staged embryo fractionation was immunoblotted for linker histones, core histones, and the conserved H2A/H2A.X-F/H4 modifications as shown. Total soluble protein is shown in the Coomassie stained gel at the bottom. The period of transcriptional repression post fertilization is indicated at the bottom. The migration positions of H2A.X-F, H2A, and H4 are indicated on the left. (D) Equivalent volume of total chromatin protein from the staged embryo fractionation was immunoblotted for linker histones, core histones, and the conserved H2A/H2A.X-F/H4 modifications as shown. Total chromatin protein is shown in the Coomassie stained gel at the bottom. The stained histone protein bands are annotated. The period of transcriptional repression post fertilization is indicated at the bottom. The migration positions of H2A.X-F, H2A, and H4 are indicated on the right.
Figure 5. Soluble and chromatin-bound histone isolation analysis of H3 PTMs during early development. (A) As in Figure 3, equivalent volume of total soluble protein from the staged embryo fractionation was immunoblotted for H3, H4, and H3 K9me3, K27me3, K4me3, and K36me3. Total soluble protein is shown in the Coomassie stained gel at the bottom. The period of transcriptional repression post fertilization is indicated at the bottom. (B) Equivalent volume of total chromatin protein from the staged embryo fractionation was immunoblotted for H3, H4, and H3 K9me3, K27me3, K4me3, and K36me3. Total chromatin protein is shown in the Coomassie stained gel at the bottom. The stained histone protein bands are annotated.
Figure 6. Example high resolution MS1 scans of H2A.X-F 1–31. Shown are high resolution MS1 scans of various PTM states seen on the [M + 4H]+4 ions of the 1–31 residue, chymotrypsin-generated peptides of H2A.X-F1 and -F2 from egg and pronuclei. All ions exhibiting a charge state of +4 are labeled. As an example, in panel A, differences of 14 Da, 56 Da, and 80 Da are noted to represent the addition of methylations/acetylations, priopionylations (Kpr and Spr), and phosphorylations, respectively. Note that H2As are 100% α-N-terminally acetylated and in the absence of acetylation, lysines are propionylated. Since the Δm for an acetylation is 42 Da while the Δm for a priopionylation is 56 Da, the K5ac form of the peptide appears at a lower mass than the α-N-acetylated (‘unmodified’) form of the peptide. Also note that serine residues can be propionylated at low levels. (A) H2A.X-F1 from egg. (B) H2A.X-F1 from pronuclei. (C) H2A.X-F2 from egg. (D) H2A.X-F2 from pronuclei.
Figure 7. Nucleosome immunoprecipitation demonstration of S1ph and R3me1/2 s coenrichment with active and repressive histone PTMs. (A) Chromatin from A549 cells was digested with micrococcal nuclease and immunoprecipitated with anti-H3K4me3, H3K9me3, and H3K27me3 antibodies. Precipitated histones were blotted for H2A, H3, H4, H3K4me3, K9me3, K27me3, S1ph, R3me1, and R3me2s as indicated. (B) Chromatin from stage 13 Xenopus embryos was digested with micrococcal nuclease and immunoprecipitated with control IgG, anti-H3K4me3, and H3K9me3 antibodies. Precipitated histones were blotted for H2A, H3, H4, H3K4me3, K9me3, S1ph, R3me1, and R3me2s as indicated.
Figure 8. Model of the location and timing of H2A PTMs pre and post deposition during embryogenesis. (A) N-terminal amino acid sequence of Xenopus laevis canonical H2A and H2A.X-F. The modifications we observed by antibody or by mass spectrometry are illustrated: α-N-acetylated and lysine acetylation (green), Ser 1 phosphorylation (blue), Arg 3 mono-methylation (red) and dimethylation (purple). (B) Summary of R3 methylation (me1 and me2) and phosphorylation (ph) found on pre-deposition H2A (red) and H2A.X-F (blue) in the oocyte and laid egg soluble fractions, where they are bound to the chaperone Nucleoplasmin. * = PTMs not observed in immunoblots, ° = only observed in immunoblots. Oocyte histone PTMs were not assayed by mass spectrometry so the cartoon in the left-most column only represents immunoblot data. Co-occupancy of PTMs on a single histone tail was solely identified by mass spectrometry. (C) Summary of R3 methylation and phosphorylation found on chromatin associated H2A and H2A.X-F in embryos. PTMs found on pre-mid blastula transition (MBT) embryos are shown on the left, while post-MBT embryos are shown on the right. * = PTMs not observed in immunoblots, ° = PTMs only observed in immunoblots. The boxed legend references panels B and C. Co-occupancy of PTMs on a single histone tail was solely identified by mass spectrometry.
Banaszynski,
Analysis of histones and chromatin in Xenopus laevis egg and oocyte extracts.
2010, Pubmed,
Xenbase
Banaszynski,
Analysis of histones and chromatin in Xenopus laevis egg and oocyte extracts.
2010,
Pubmed
,
Xenbase
Barber,
The enhancement of histone H4 and H2A serine 1 phosphorylation during mitosis and S-phase is evolutionarily conserved.
2004,
Pubmed
,
Xenbase
Bedford,
Protein arginine methylation in mammals: who, what, and why.
2009,
Pubmed
Branscombe,
PRMT5 (Janus kinase-binding protein 1) catalyzes the formation of symmetric dimethylarginine residues in proteins.
2001,
Pubmed
Burton,
Epigenetic reprogramming and development: a unique heterochromatin organization in the preimplantation mouse embryo.
2010,
Pubmed
Capurso,
A histone arginine methylation localizes to nucleosomes in satellite II and III DNA sequences in the human genome.
2012,
Pubmed
Compton,
Optimization of electron transfer dissociation via informed selection of reagents and operating parameters.
2012,
Pubmed
Dilworth,
Two complexes that contain histones are required for nucleosome assembly in vitro: role of nucleoplasmin and N1 in Xenopus egg extracts.
1987,
Pubmed
,
Xenbase
Earley,
Front-end electron transfer dissociation: a new ionization source.
2013,
Pubmed
Finn,
Vertebrate nucleoplasmin and NASP: egg histone storage proteins with multiple chaperone activities.
2012,
Pubmed
Garcia,
Resetting the epigenetic histone code in the MRL-lpr/lpr mouse model of lupus by histone deacetylase inhibition.
2005,
Pubmed
Garcia,
Chemical derivatization of histones for facilitated analysis by mass spectrometry.
2007,
Pubmed
Girardot,
PRMT5-mediated histone H4 arginine-3 symmetrical dimethylation marks chromatin at G + C-rich regions of the mouse genome.
2014,
Pubmed
Govin,
Genome-wide mapping of histone H4 serine-1 phosphorylation during sporulation in Saccharomyces cerevisiae.
2010,
Pubmed
Hair,
Control of gene expression in Xenopus early development.
1998,
Pubmed
,
Xenbase
Hake,
Expression patterns and post-translational modifications associated with mammalian histone H3 variants.
2006,
Pubmed
Hake,
Serine 31 phosphorylation of histone variant H3.3 is specific to regions bordering centromeres in metaphase chromosomes.
2005,
Pubmed
Jenkins,
Dynamic alterations in the paternal epigenetic landscape following fertilization.
2012,
Pubmed
Kim,
NAD+-dependent modulation of chromatin structure and transcription by nucleosome binding properties of PARP-1.
2004,
Pubmed
Krishnamoorthy,
Phosphorylation of histone H4 Ser1 regulates sporulation in yeast and is conserved in fly and mouse spermatogenesis.
2006,
Pubmed
Maller,
Cell cycle transitions in early Xenopus development.
2001,
Pubmed
,
Xenbase
Martin,
Subfemtomole MS and MS/MS peptide sequence analysis using nano-HPLC micro-ESI fourier transform ion cyclotron resonance mass spectrometry.
2000,
Pubmed
McGarry,
Geminin, an inhibitor of DNA replication, is degraded during mitosis.
1998,
Pubmed
,
Xenbase
Méchali,
Genetic and epigenetic determinants of DNA replication origins, position and activation.
2013,
Pubmed
Nashun,
Dramatic replacement of histone variants during genome remodeling in nuclear-transferred embryos.
2011,
Pubmed
Nicklay,
Analysis of histones in Xenopus laevis. II. mass spectrometry reveals an index of cell type-specific modifications on H3 and H4.
2009,
Pubmed
,
Xenbase
Ong,
A practical recipe for stable isotope labeling by amino acids in cell culture (SILAC).
2006,
Pubmed
Pollack,
The human homologue of the yeast proteins Skb1 and Hsl7p interacts with Jak kinases and contains protein methyltransferase activity.
1999,
Pubmed
Rossetto,
Histone phosphorylation: a chromatin modification involved in diverse nuclear events.
2012,
Pubmed
Ruthenburg,
Multivalent engagement of chromatin modifications by linked binding modules.
2007,
Pubmed
Saeki,
Linker histone variants control chromatin dynamics during early embryogenesis.
2005,
Pubmed
,
Xenbase
Schneider,
Stage-specific histone modification profiles reveal global transitions in the Xenopus embryonic epigenome.
2011,
Pubmed
,
Xenbase
Schroeder,
A neutral loss activation method for improved phosphopeptide sequence analysis by quadrupole ion trap mass spectrometry.
2004,
Pubmed
Shechter,
A distinct H2A.X isoform is enriched in Xenopus laevis eggs and early embryos and is phosphorylated in the absence of a checkpoint.
2009,
Pubmed
,
Xenbase
Shechter,
Analysis of histones in Xenopus laevis. I. A distinct index of enriched variants and modifications exists in each cell type and is remodeled during developmental transitions.
2009,
Pubmed
,
Xenbase
Shechter,
ATR and ATM regulate the timing of DNA replication origin firing.
2004,
Pubmed
,
Xenbase
Shintomi,
Nucleosome assembly protein-1 is a linker histone chaperone in Xenopus eggs.
2005,
Pubmed
,
Xenbase
Talbert,
A unified phylogeny-based nomenclature for histone variants.
2012,
Pubmed
Taverna,
How chromatin-binding modules interpret histone modifications: lessons from professional pocket pickers.
2007,
Pubmed
Tee,
Prmt5 is essential for early mouse development and acts in the cytoplasm to maintain ES cell pluripotency.
2010,
Pubmed
Thomson,
The nucleosomal response associated with immediate-early gene induction is mediated via alternative MAP kinase cascades: MSK1 as a potential histone H3/HMG-14 kinase.
1999,
Pubmed
Torres-Padilla,
Histone arginine methylation regulates pluripotency in the early mouse embryo.
2007,
Pubmed
Turinetto,
High basal γH2AX levels sustain self-renewal of mouse embryonic and induced pluripotent stem cells.
2012,
Pubmed
Udeshi,
Methods for analyzing peptides and proteins on a chromatographic timescale by electron-transfer dissociation mass spectrometry.
2008,
Pubmed
Wang,
Histone modifications and mitosis: countermarks, landmarks, and bookmarks.
2013,
Pubmed
Wei,
Phosphorylation of histone H3 at serine 10 is correlated with chromosome condensation during mitosis and meiosis in Tetrahymena.
1998,
Pubmed
Wei,
Phosphorylation of histone H3 is required for proper chromosome condensation and segregation.
1999,
Pubmed
Wilczek,
Protein arginine methyltransferase Prmt5-Mep50 methylates histones H2A and H4 and the histone chaperone nucleoplasmin in Xenopus laevis eggs.
2011,
Pubmed
,
Xenbase
Zhang,
Phosphorylation of histone H2A inhibits transcription on chromatin templates.
2004,
Pubmed
Zhao,
PRMT5-mediated methylation of histone H4R3 recruits DNMT3A, coupling histone and DNA methylation in gene silencing.
2009,
Pubmed