|
Fig. 1. Isolation of Xenopus BMP-3b and BMP-3 cDNAs. (A) Protein sequence comparison of Xenopus BMP-3b and BMP-3 with rat orthologues. Conserved
amino acid residues in all four proteins are dotted and same amino acids within BMP-3b or BMP-3 are shaded. Dashes indicate spaces introduced to optimize
alignment. Boxes represent cleavage sites; one is tetrabasic and the other is an alternative site determined by protein purification and N-terminal sequence
analysis. GenBank Accession nos. for xBMP-3b and xBMP-3 are AB059564 and AB059563, respectively. (B) Phylogenetic relationships among complete
precursors of human, zebrafish, and Xenopus BMP proteins. Dendrogram was generated by using the UPGMA method (GENETYX program, SDC Ltd,
Japan). We used the underlined proteins (Figs. 5 and 6). Although ADMP is considered to be a BMP-3-like protein, it is more closely related to BMP-2 and
BMP-4. XBMP-7 (Nishimatsu et al., 1992) has been renamed xBMP-7R, since a Xenopus orthologue of mammalian BMP-7 (OP-1) has been identified (Wang
et al., 1997).
|
|
Fig. 2. Xenopus BMP-3b and BMP-3 are expressed in dorsal ectodermal and mesodermal tissues. (A) Temporal expression analyzed by RT-PCR. BMP-3b
and BMP-3 are expressed at quite low levels. After whole-mount in situ hybridization, embryos were stained for 6 days to detect xBMP-3b (BâO) and
overnight for xBMP-3 (PâX). (B) Dorsal view of stage 11 embryo. Anterior region faces top. BMP-3b expression appears on dorsolateral ectoderm before
neural plate is visible. Expression extends to entire neural plate until stage 12.5 (C), and localizes upon four stripes at neural plate midline and edge. (D)
Expression in anterior neural plate at stage 14. Solid line indicates level of section. (E) Sagittal section of embryo. Anterior faces left. BMP-3b expression
is intense in ectoderm and faint in mesoderm and endoderm. Arrows highlight BMP-3b expression in prechordal plate. (F) Lateral view of stage 24 embryo.
BMP-3b is expressed in hindbrain and dorsal side of otic vesicle and neural tube. (G) BMP-3b is expressed in lips of somites and transiently in the heart.
(H) Close-up view of (G). (I) Dorsal view of (H). (J) Ventral view of (H) highlights BMP-3b expression in ventricular chamber. (K) Transverse section
through trunk of embryo in (H). BMP-3b is expressed in both epaxial and hypaxial dermamyotome, and dorsal half of neural tube. (L) At stage 41, expression
in dermamyotome is restricted to tail. (M) Close-up of head shown in (L). BMP-3b is expressed in dorsal side of otic vesicles, optic cup, nasal pit, stomodeum,
and ventral visceral pouches. (N) Dorsal view of embryo shown in (M). (O) Transverse section of embryo shown in (L). BMP-3b is expressed in head
mesoderm around notochord and neural tube. (P) Vegetal view of stage 10.5 embryo. Dorsal faces top. BMP-3 is expressed in ectoderm and mesoderm. (Q)
Sagittal section of embryo shown in (P). Dorsal side is to right. (R) Sagittal section of stage 15 embryo. Anterior faces left. BMP-3 is expressed in prechordal
plate and chordamesoderm. (S) BMP-3 expression appears around otic vesicle at stage 24. (T) At stage 30, BMP-3 is expressed in cranial neural crest
derivatives and cement gland. (U) Close up view of head shown in (T). (V) Dorsal view of (U). (W) Transverse section through head in (T). BMP-3 is
localized in anterior neurocranium and dorsomedial wall of otic vesicle. (X) Transverse section through trunk. BMP-3 expression is restricted to notochord.
|
|
Fig. 3. BMP-3b and BMP-3 have apparently different dorsalizing activities in Xenopus embryos. (AâC) Xenopus embryos injected with BMP-3b or BMP-3
mRNA. Overexpression of BMP-3b led to ectopic head formation, whereas BMP-3 generated aberrant tail formation. Synthetic mRNAs (1 ng each) encoding
xBMP-3b (A), xBMP-3 (B), or -galactosidase ( -gal; C) were injected into marginal zone of two ventral blastomeres at the four cell stage. (DâG)
Differentiation of ventral marginal zone explants (VMZs) injected with BMP-3b or BMP-3. Typical explants are shown in circles. (D) VMZs injected with
rBMP-3b RNA generated head-like structures, consisting of an eye and cement glands (68%, n 15). (E) VMZs injected with rBMP-3 elongated and formed
melanocytes (93%, n 15). (F) Control VMZs developed cylindrical structures. (G) These VMZs were harvested at stage 41 and scored by RT-PCR.
Injection of BMP-3b and BMP-3 caused expression of dorsal markers (cardiac actin and NCAM), and repression of a ventral marker ( globin). BMP-3b
also elevated anterior tissue markers such as cement gland (xAG1), lens ( B1-crystallin), and retina (rhodopsin). EF1 is an internal loading control. Emb
RT and RT are controls for cDNA synthesis and for genomic DNA contamination, respectively. (H) Analysis of early markers in embryos coinjected
with -gal (100 pg), and either BMP-3b or BMP-3 (1 ng). Light blue staining represents area injected with BMP-3b (left) or BMP-3 (center). Brown staining
represents expression of Otx2 (top panel), and Xwnt-8 (middle panel), and cerberus (bottom panel). All panels are vegetal views of embryos with dorsal aspect
top. Injection of BMP-3b mRNA triggered ectopic Otx2 expression (top left), whereas injection of BMP-3b and BMP-3 reduced endogenous Xwnt8
expression (middle). BMP-3b did not induce cerberus expression, indicating that BMP-3b is involved in head formation independently of, or downstream
from, cerberus.
|
|
Fig. 4. BMP-3b triggers head formation in an intrinsic developmental pathway. To examine head formation by BMP-3b, we performed lineage tracing and
rescue of embryos exposed to UV. (A) Injection of rBMP-3b mRNA (1 ng) rescued anterior structure of UV-ventralized embryos. Cells expressing BMP-3b
were localized in head region (60%, n 15). (B) Section of an embryo shown in (A). Cells were labeled in notochord (nt), heart (ht), optic cup, and adjacent
to cement gland, suggesting that cells expressing BMP-3b differentiated into âhead-forming cellsâ and organized head structures. (C) Cells expressing BVg1
(50 pg), an organizer inducer, were localized in endoderm, suggesting that they induced head-forming cells (50%, n 14; Thomsen and Melton, 1993). (D)
Injection of cerberus (1 ng) led to formation of smaller head than that with BMP-3b (60%, n 25; Bouwmeester et al., 1996). (I) Control embryo.
|
|
Fig. 5. Distinct activities of BMP-3b and BMP-3 are caused by differences in
their pro-domains. (A) Chimera analysis of BMP-3b and BMP-3 for localizing
BMP-3b head-forming activity. Pro-domain of BMP-3b protein is required for
head formation. Activity and score of head formation are tabulated on the right.
Numbers represent positions of recombination. (B) Schematic representation
of chimeras between either BMP-3b or BMP-3, and BMP-2. Pro-domains of
BMP-3b and BMP-3 were fused to ligand domain of BMP-2, and ligand
domain of BMP-3b was combined with BMP-2 pro-domain. Synthetic mRNAs
encoding these chimeras were injected into marginal zones of two ventral
blastomeres at the four cell stage. (C) Injecting BMP3b/2 chimera mRNA (1
ng) perturbed tail formation and induced cement gland (arrows) (96%, n
25). (D) Overexpression of BMP3/2 mRNA (500 pg) ventralized embryos
(100%, n 25). (E) BMP2/3b chimera (50 pg) generated same phenotype as
BMP-3 (100%, n 24). (F) Animal cap assay of chimera functions. Caps
injected with mRNAs (200 pg each) were isolated at stage 8.5, and harvested
at stage 23 to score by RT-PCR. BMP-3b induced NCAM and xAG1, whereas
BMP-3 induced these markers and HoxB9. BMP3b/2 and BMP2/3b chimeras
induced NCAM and xAG1, whereas BMP3/2 induced globin, suggesting that
pro-domain of BMP-3, but not of BMP-3b allows cleavage of ligand domain.
Moreover, ligand domains of BMP-3 and BMP-3b have activity antagonistic
to that of BMP-2. We also found that BMP-2 and its cleavage site mutant
(cmBMP-2) induced HoxB9, a posterior neural marker. This observation may
relate to a previous finding that HoxB9 is expressed weakly in lateral plate
mesoderm as well as in the spinal chord (Wright et al., 1990; see also Fig. 9J).
|
|
Fig. 6. BMP-3b and BMP-3 differentially interact with TGF- family members.
Synthetic mRNAs for BMP-2 (A), ADMP (B), Xnr1 (C), derrie`re (D),
and caALK4 receptor (E) were injected into animal caps and their mesoderminducing
activities were challenged by increasing doses of BMP-3b or BMP-3.
Combinations and doses (pg) of each mRNA sample are indicated above lanes.
Animal caps were harvested at stage 12 for scoring by RT-PCR. Brachyury
(XBra) and NCAM served as pan-mesodermal and pan-neural markers, respectively.
A 25-fold excess of BMP-3b (*) interfered with Xbra expression by all
ligands, whereas BMP-3 reduced expression induced by BMP-2 and ADMP.
Both of BMP-3b and BMP-3 alone induced NCAM expression in animal caps
(A), indicating that they are neural inducers.
|
|
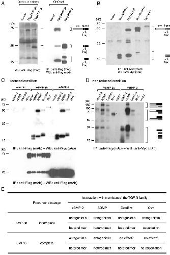
Fig. 7. Divergence of proteolytic processing and heterodimer formation of BMP-3b and BMP-3. (A) Less BMP-3b than BMP-3 precursor was cleaved in
Xenopus embryos and in CHO cells. Extracts of embryos injected with Flag-tagged BMP mRNAs (left panel) and conditioned media of CHO cells transfected
with the plasmid DNAs (right panel) were Western blotted. Controls were from wild type embryos and from CHO cells that had been transfected with vector
DNA, respectively. All samples were resolved under reducing conditions. Molecular mass (kDa) of proteins (left), deduced structures, and Flag epitope (right)
are shown. Two bands generated by N-glycosylation were grouped at about 25 and 16 kDa, respectively (lane: BMP-3 expressed in CHO cells). (B)
Myc-tagged proteins of the TGF- family were constructed and expressed in CHO cells to test interactions with BMP-3b and BMP-3. Although we
transfected cells with equal amounts of each plasmid, Xnr1 precursor was not effectively processed and secreted from CHO cells. (C, D) Immunoprecipitation
and Western blotting revealed that BMP-3b directly interacted with all TGF- members, whereas BMP-3 interacted with all except Xnr1, in CHO cells.
Coprecipitated BMP-3b and BMP-3 are shown at 75 and 25 kDa in (C). Apparent molecular weight of Xnr1 (*) under reducing and nonreducing conditions
did not change, suggesting that BMP-3b forms noncovalent complexes with Xnr1. (E) Summary of molecular characteristics of BMP-3b and BMP-3 including
results of Figs. 5 and 6. Both BMP-3b and BMP-3 oppose BMP-2 and ADMP. BMP-3b also blocks derrie`re and Xnr1. Types of BMP-3b antagonism are
instructed by the pro-domain, which controls cleavage and assembly of the ligand domain. Incomplete processing of BMP-3b might reduce mesoderminducing
activity of derrie`re and complex formation between BMP-3b and Xnr1 might result in altered Xnr1 function.
|
|
Fig. 8. Inhibition of both xBMP-3b and cerberus causes headless embryos. (A) Specificity of morpholino antisense oligonucleotides (MO) of xBMP-3b,
xBMP-3 and cerberus. Translation of mRNAs encoding Xenopus proteins is inhibited, but neither rat BMP-3b/3 nor mdCerberus are affected by MOs. Target
sequences for cerberus MO are altered in mdCerberus mutant, but not the amino acid sequences. Messenger RNAs and proteins were prepared from plasmid
DNAs as described in Materials and methods. (B) Schematic diagram of embryonic stage and injection point of MOs. (CâE) Independent injections of
xBMP-3b, xBMP-3, and cerberus MOs (10 ng) did not perturb Xenopus embryos. (F, G) Simultaneous injection of xBMP-3b and cerberus MOs (5 ng each)
led to headlessness (54%, n 22), whereas that of xBMP-3 and cerberus MOs did not (0%, n 21). (H) Injection of -catenin MO (10 ng) caused headless
embryos (92%, n 25). (IâL) Histological sections of embryos injected with xBMP-3b and cerberus MOs (F), xBMP-3 and cerberus MOs (G), -catenin
MO (H), and wild type. sm, somite; nc, notochord; sc, spinal cord; bi, blood island.
|
|
Fig. 9. Repression of xBMP-3b and cerberus leads to impaired gastrulation
movements. Lineage of cells targeted by MOs and expression of
marker genes were monitored at gastrula, neurula and tadpole stages.
(Left) Embryos injected with MOs for both xBMP-3b and cerberus.
(Right) Control embryos injected with globin MO. Light blue staining
represents cells targeted by MOs. Brown staining represents expression
of markers as indicated on right corner. Dorsal side faces top in panels
of gastrula and tadpole, and anterior side faces top in panels of neurula.
Injection of MOs for xBMP-3b and cerberus did not affect dorsal lip
formation and expression of organizer genes at beginning of gastrulation,
but led to delayed blastopore closure and downregulation of Otx2
expression by neurula stage. Consequently, suppressing xBMP-3b and
cerberus functions elevated expression of a ventralâposterior marker,
Xcad1.
|
|
Fig. 10. Rescue of embryos injected with MOs for xBMP-3b and cerberus. Headless embryos were recovered by coinjecting plasmids encoding rBMP-3b
and mdCerberus. See Table 3 for summary of results, and Fig. 8 legend for mdCerberus. (A, B) Injection of rBMP-3b DNA (100 pg) with MOs (5 ng each)
completely rescued embryos, whereas that of mdCerberus (100 pg) restored head structure. (C) Simultaneous injection of rBMP-3b and mdCerberus DNAs
(50 pg each) recovered head, but not tail structure. (D) Control embryos injected with MOs for xBMP-3b and cerberus.
|
|
bmp3 (bone morphogenetic protein 3) gene expression in Xenopus laevis embryo, assayed via in situ hybridization, NF stage 24, lateral view, anterior left, dorsal up.
|
|
bmp3 (bone morphogenetic protein 3) gene expression in Xenopus laevis embryo, assayed via in situ hybridization, NF stage 30, lateral view, anterior left, dorsal up.
|
|
gdf10 (growth differentiation factor 10) gene expression in Xenopus laevis embryo, assayed via in situ hybridization, NF stage 14, anterior view, dorsal up.
|
|
gdf10 (growth differentiation factor 10) gene expression in Xenopus laevis embryo, assayed via in situ hybridization, NF stage 36, lateral view, anterior left, dorsal up.
|