|
Figure 1. Histology of the developing Xenopus laevis foregut and respiratory system. A: Xenopus laevis embryos images at different developmental stages from Nieuwkoop and Faber (1994). B: Schematic illustrations of the foregut region of the embryo at the indicated developmental stages. Endoderm is yellow and respiratory endoderm is blue. CâQ: Hematoxylin/eosin stained sections of the developing foregut / respiratory system / lungs at the indicated stages; plane of section is indicated in (B) and endoderm is outlined by dashed yellow line in CâH. Abbreviations: alv, alveolar sac; cart, cartilage; eso, esophagus; fge, foregut endoderm; h, heart; lb, lung bud; lpm, lateral plate mesosderm; ltg, laryngo-tracheal groove nc, notochord; pa, pulmonary artery; phx, pharynx; pv, pulmonary vein; sp, septae; tr, trachea. Scale barâ=â0.1 mm or 0.5 mm as indicated.Download figure to PowerPoint
|
|
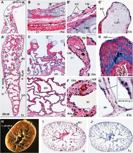
Figure 2. Histology of the adult Xenopus laevis lung. AâG: Longitudinal sections of an adult Xenopus laevis lung including (A) the proximal and (Aâ²) distal regions. B: 20à view of proximal main bronchi showing the epithelial lining and bronchi walls with cartilage plate surrounded by layers of smooth muscle and connective tissue containing a major blood vessel. Bâ²: Detail view of boxed area in (B) showing the epithelial cells in close apposition to capillaries. C: 5à view of the proximal lung showing major septa containing a pulmonary vein and terminal cartilage nodules with smaller septa forming alveoli. Câ²: 20à view of a cartilage nodule at the end of the major septa. Câ²: 20à view showing the tip of an alveolar septa. D: 40à view of an alveolar septa tip stained with Mason's Trichrome showing collagen fibers (blue) and muscle fibers (red). E: 5à view of smaller alveoli at the lung periphery. F: 40à view of the bloodâair interface in the small alveolar walls. G: In situ hybridization of sftpc (dark purple staining) showing expression in epithelial pneumocytes. H: Brightfield of the adult Xenopus lung (distal portion) cut in a transverse plane immediately after dissection. I,J: Hematoxylin/eosin-stained (I) and (J) Alcian blue-stained transverse sections Abbreviations: alv, alveolar space; at, arteriole; br, bronchiolar space; cap, capillary; cart, cartilage; epi, epithelial cell; pv, pulmonary vein; sm, smooth muscle; sp, septae.Download figure to PowerPoint
|
|
Figure 3. Molecular characterization of the developing Xenopus foregut and respiratory epithelium. A: Schematic of the developing foregut region and respiratory system at the indicated developmental stages, with endoderm in yellow, heart (h) in orange, and respiratory epithelium in blue. BâY: Whole-mount in situ hybridization with the indicated probes to whole embryos at NF32 (B,F,J), NF33 (N), NF35 (R), NF38 (V) or to isolated guts at NF42 (C,G,K,O,S,W) or to lung/tracheal/esophageal regions dissected at NF49 (D,H,L,P,T,X) or NF59 (E,I,M,Q,U,Y). Abbreviations: e, esophagus; fg, foregut; h, heart; lb, lung bud; lg, lung; lv, liver; st, stomach; tr, trachea; ty, thyroid. Scale barâ=â0.5 mmDownload figure to PowerPoint
|
|
Figure 4. Immunofluorescence analysis of DâV foregut patterning and trachea-esophagus separation in Xenopus. AâO: Confocal immunostaining of the Xenopus foregut showing transverse sections at three positions along the anteriorâposterior axis at the indicated stages showing protein expression of Sox2 (blue), Nkx2.1 (red), and FoxF1 (green). P: Transverse section through the E9.5 mouse foregut showing similar expression of Sox2 (blue) Nkx2.1 (red) and FoxF1 (green). Q,R: Transverse sections of the Xenopus foregut at NF36 and NF42 showing P63 expression (white) in the dorsal foregut (Q) and esophagus (R). Abbreviations: dfg, dorsal foregut; eso, esophagus; fge, foregut epithelium; h, heart; lb, lung bud; lpm, lateral plate mesoderm; nc, notochord; s, somite; st, stomach; tr, trachea; ubb, ultimobrachial body; vfg, ventral foregut. Scale barâ=â0.1 mm.Download figure to PowerPoint
|
|
Figure 5. Immunofluorescence analysis of the extracellular matrix and basement membrane surrounding the Xenopus foregut and lung buds. AâR: Confocal immunostaining of transverse sections through the NF35 Xenopus foregut at three positions along the anteriorâposterior axis showing protein expression of (AâC) Fibronectin, (DâFâ²) Heparin sulfate proteoglycans, (GâI) FoxF1, (JâL) Laminin alpha-1, and (MâO) Chondroitin sulfate proteoglycans. Abbreviations: bm, basement membrane; dfg, dorsal foregut; lb, lung bud; lpm, lateral plate mesoderm; vfg, ventral foregut. Scale barâ=â0.1 mm.Download figure to PowerPoint
|
|
Figure 6. Expression of Wnt pathway components in the Xenopus foregut. AâN: In situ hybridization using indicated probes to NF34/35 embryos. Aâ²âNâ²: Vibratome sections through the foregut with endoderm outlined by the yellow dashed line. The arrowhead indicates the presumptive lung region.Download figure to PowerPoint
|
|
Figure 7. Activity of the canonical Wnt signaling pathway in the Xenopus foregut. AâLâ²: Confocal immunostaining of Tg(7xtcf:degfp) transgenic Xenopus tropicalis embryos, which express destabilized enhanced GFP in cell responding to Wnt/β-catenin signaling. Transverse sections show protein expression of Nkx2.1 (red) or Sox2 (blue) and eGFP (green) in the foregut at NF32 (AâBâ²), NF33 (CâE), NF35 (GâI), and NF42 (JâL). EGFP expression is first detected in the ventral foregut at NF32 before Nkx2.1 (Aâ²). By NF33 Nkx2.1 is activated and the Sox2 expression domain (white bracket) becomes down regulated (BâCâ²) in the EGFP expressing ventral endoderm. Abbreviations: dfg, dorsal foregut endoderm; eso, esophagus; lb, lung bud; lpm, lateral plate mesoderm; ltg, laryngo-tracheal grove; st, stomach; tr, trachea; vfg, ventral foregut endoderm. Scale barâ=â0.1 mm.Download figure to PowerPoint
|
|
Figure 8. Expression of FGF pathway components in the Xenopus foregut. AâF: In situ hybridization using indicated probes to NF34/35 embryos. Aâ²âFâ²: vibratome sections through the foregut with endoderm outlined by the yellow dashed line. GâR: Confocal immunostaining of phosphorylated FGFR1 (GâL) and phosphorylated ERK1/2 (MâR) in the foregut at the indicated stages. Abbreviations: dfg, dorsal foregut; eso, esophagus; h, heart; lb, lung bud; lpm, lateral plate mesoderm; ltg, laryngo-tracheal groove; st, stomach; tr, trachea.Download figure to PowerPoint
|
|
Figure 9. Expression of BMP pathways components in the Xenopus foregut. AâF: In situ hybridization using indicated probes to NF34/35 embryos. Aâ²âFâ²: Vibratome sections through the foregut with endoderm outlined by the yellow dashed line. GâLâ²: Confocal immunostaining of pSmad1 (red) and eGFP (green) in the foregut of Tg(7xtcf:degfp) transgenic Xenopus tropicalis embryos at NF35 (GâI) and NF42 (JâL). Abbreviations: br, primary bronchi; dfg, dorsal foregut endoderm; eso, esophagus; lb, lung bud; lpm, lateral plate mesoderm; ltg, laryngo-tracheal grove; st, stomach; tr, trachea; vfg, ventral foregut endoderm.Download figure to PowerPoint
|
|
Fig. 10. Functional epistasis of Wnt/b-catenin, FGF, and BMP pathways. AâO: Wnt/b-catenin is necessary and sufficient downstream of FGF to induce respiratory fate. Embryos were injected at the 4-cell stage in both dorsal anterior blastomeres with control-MOs or wnt2/2b-MOs (10 ng/ blastomere) and then injected at the 8-cell stage dorsal-vegetally with 800 pg iFGFR1 mRNA (400 pg/blastomere). Subsequently embryos were treated from stages NF25âNF35 with either, DMSO, PD173074 (100 mM), DMH1 (20 mM), or AP20187 (2 mM to induce the iFGFR1 construct activ- ity). Embryos were analyzed at NF34/35 by in situ hybridization for nkx2.1 expression (A, D, G, J, and M) or by for Nkx2.1 (red), Sox2 (blue), and FoxF1 (green) (B, E, H, K, N). At NF42 siblings were analyzed by in situ hybridization for sftpc expression (C, F, I, L, O). PâY: The expansion of respiratory fate by Wnt/b-catenin requires BMP signaling. Embryos were injected at the 4-cell stage in both dorsal-anterior blastomeres with control-MOs or wnt2/2b-MOs (10 ng/blastomere) and then injected at the 8-cell stage dorsal-vegetally with 800 pg GR-LefdN-BCTA mRNA (400 pg/blastomere). Subsequently the embryos were treated with DMSO, DMH-1, or PD173047 from NF25-35, and then with dex from NF28-35 and analyzed by in situ hybridization for nkx2.1 at NF35 (P,R,T,V,X) and sftpc at NF42 (Q,S,U,W,Y).
|