Click here to close
Hello! We notice that you are using Internet Explorer, which is not supported by Xenbase and may cause the site to display incorrectly.
We suggest using a current version of Chrome,
FireFox, or Safari.
???displayArticle.abstract???
BACKGROUND: Transcriptional regulation is normally based on the recognition by a transcription factor of a defined base sequence in a process of direct read-out. However, the nucleic acid secondary and tertiary structure can also act as a recognition site for the transcription factor in a process known as indirect read-out, although this is much less understood. We have previously identified such a transcriptional control mechanism in early Xenopus development where the interaction of the transcription factor ilf3 and the gata2 promoter requires the presence of both an unusual A-form DNA structure and a CCAAT sequence. Rapid identification of such promoters elsewhere in the Xenopus and other genomes would provide insight into a less studied area of gene regulation, although currently there are few tools to analyse genomes in such ways.
RESULTS: In this paper we report the implementation of a novel bioinformatics approach that has identified 86 such putative promoters in the Xenopus genome. We have shown that five of these sites are A-form in solution, bind to transcription factors and fully validated one of these newly identified promoters as interacting with the ilf3 containing complex CBTF. This interaction regulates the transcription of a previously uncharacterised downstream gene that is active in early development.
CONCLUSIONS: A Perl program (APTE) has located a number of potential A-form DNA promotor elements in the Xenopus genome, five of these putative targets have been experimentally validated as A-form and as targets for specific DNA binding proteins; one has also been shown to interact with the A-form binding transcription factor ilf3. APTE is available from http://www.port.ac.uk/research/cmd/software/ under the terms of the GNU General Public License.
Figure 1.
A combined promoter sequence consists of an A-form promoter element followed by a direct read-out promoter motif. The APE row indicates the signs of the APE values for the sequence in the Base row; with X denoting undetermined APE values [11]. The main parameters are the number of negative APE values in the APS (apelen), and the gap between the APS and the motif.
Figure 2.
The five selected sequences and their predicted binding proteins. Each of the putative promoter elements (ppe) sequences are within 500 bp 5′ of the transcription start site of the genes-gdi3, gtf2, kif27, thrsp and unknown1, The key elements with potential gene regulatory function are underlined with grey arrows. The black arrow above each oligonucleotide indicates a putative transcription factor binding site and its direction of binding. The putative transcription factor binding sites were predicted using the EMBOSS database run through Geneious R7 7.1.4.
Figure 3.
The putative promoter element is A-form and binds ilf3
in vitro
. (a) Duplex 36 bp oligonucleotides corresponding to the five identified putative promoter elements display A-form DNA characteristics as observed by circular dichroism. (b) These duplex oligonucletides are shifted in EMSA experiments, these complexes are competed by titration of unlabelled self-competitor but not by CCAAT box containing B-form duplexes. The specific complexes are indicated by arrows. (c) The sequence of the B-form competitor used in the EMSA is shown, the CCAAT box is indicated in bold.
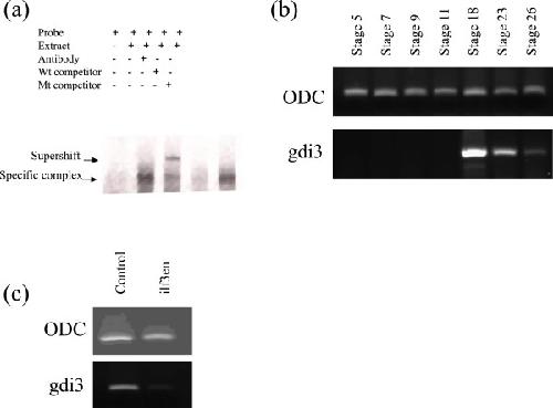
Figure 4.
The expression of
gdi3
mRNA is maximal at neurula stage and can be modulated by ilf3. (a) The complex gdi3 specific complex can be supershifted by addition of anti-ilf3 antibody. (b) The gdi3 gene expression is zygotic and peaks at neurula stage 18 when ilf3 is known to be nuclear and active. (c) Expression of gdi3 is ablated relative to an internal control, ODC, by exogenous expression a dominant-negative form of ilf3 (ilf3en) which acts at the transcriptional level.
Basham,
An A-DNA triplet code: thermodynamic rules for predicting A- and B-DNA.
1995, Pubmed
Basham,
An A-DNA triplet code: thermodynamic rules for predicting A- and B-DNA.
1995,
Pubmed
Bass,
Binding properties of newly identified Xenopus proteins containing dsRNA-binding motifs.
1994,
Pubmed
,
Xenbase
Borden,
The activating transcription factor region within the E2A promoter exists in a novel conformation.
1993,
Pubmed
Brooks,
Making sense of G-quadruplex and i-motif functions in oncogene promoters.
2010,
Pubmed
Bycroft,
NMR solution structure of a dsRNA binding domain from Drosophila staufen protein reveals homology to the N-terminal domain of ribosomal protein S5.
1995,
Pubmed
Cazanove,
Methylation of Xilf3 by Xprmt1b alters its DNA, but not RNA, binding activity.
2008,
Pubmed
,
Xenbase
Champ,
Distributions of Z-DNA and nuclear factor I in human chromosome 22: a model for coupled transcriptional regulation.
2004,
Pubmed
Chen,
Indirect readout of DNA sequence at the primary-kink site in the CAP-DNA complex: alteration of DNA binding specificity through alteration of DNA kinking.
2001,
Pubmed
Fairall,
The DNA binding site of the Xenopus transcription factor IIIA has a non-B-form structure.
1989,
Pubmed
,
Xenbase
Llewellyn,
A-form DNA structure is a determinant of transcript levels from the Xenopus gata2 promoter in embryos.
2009,
Pubmed
,
Xenbase
Mauro,
The role of the minor groove substituents in indirect readout of DNA sequence by 434 repressor.
2003,
Pubmed
McGeehan,
Structural analysis of the genetic switch that regulates the expression of restriction-modification genes.
2008,
Pubmed
Ohkuma,
Binding site-dependent direct activation and repression of in vitro transcription by Drosophila homeodomain proteins.
1990,
Pubmed
Orford,
Band-shift analysis using crude oocyte and embryo extracts from Xenopus laevis.
1999,
Pubmed
,
Xenbase
Parker,
Local DNA topography correlates with functional noncoding regions of the human genome.
2009,
Pubmed
Ramos,
RNA recognition by a Staufen double-stranded RNA-binding domain.
2000,
Pubmed
Scarlett,
Intact RNA-binding domains are necessary for structure-specific DNA binding and transcription control by CBTF122 during Xenopus development.
2004,
Pubmed
,
Xenbase
Steinbach,
Quantitative analysis of mRNA levels in Xenopus embryos by reverse transcriptase-polymerase chain reaction (RT-PCR).
1999,
Pubmed
,
Xenbase