Click here to close
Hello! We notice that you are using Internet Explorer, which is not supported by Xenbase and may cause the site to display incorrectly.
We suggest using a current version of Chrome,
FireFox, or Safari.
???displayArticle.abstract???
Characterising post-translational regulation of key transcriptional activators is crucial for understanding how cell division and differentiation are coordinated in developing organisms and cycling cells. One important mode of protein post-translational control is by regulation of half-life via ubiquitin-mediated proteolysis. Two key basic Helix-Loop-Helix transcription factors, Neurogenin 2 (Ngn2) and NeuroD, play central roles in development of the central nervous system but despite their homology, Ngn2 is a highly unstable protein whilst NeuroD is, by comparison, very stable. The basis for and the consequences of the difference in stability of these two structurally and functionally related proteins has not been explored. Here we see that ubiquitylation alone does not determine Ngn2 or NeuroD stability. By making chimeric proteins, we see that the N-terminus of NeuroD in particular has a stabilising effect, whilst despite their high levels of homology, the most conserved bHLH domains of these proneural proteins alone can confer significant changes in protein stability. Despite widely differing stabilities of Ngn2, NeuroD and the chimeric proteins composed of domains of both, there is little correlation between protein half-life and ability to drive neuronal differentiation. Therefore, we conclude that despite significant homology between Ngn2 and NeuroD, the regulation of their stability differs markedly and moreover, stability/instability of the proteins is not a direct correlate of their activity.
Fig. 1. Ngn2 is degraded whilst NeuroD is stable despite being ubiquitylated. (A) X. laevis interphase and mitotic egg extracts were supplemented with IVT 35S-labelled Ngn2 or NeuroD and incubated at 21 °C. Samples at increasing time points were analysed by SDSâPAGE followed by autoradiography and quantitative phosphorimaging analysis, calculating the half-lives using first-order rate kinetics, and errors calculated using the Standard Error of the Mean (SEM). n = 2. (B) ClustalW2 [20] analysis of sequences from Ngn2 and NeuroD. The N-terminal domain is bordered in blue; the bHLH domain in red; and the C-terminal domain in green. Lysine residues are highlighted in red. (C) Interphase egg extracts were supplemented with IVT 35S-labelled Ngn2 or NeuroD in the presence of MG132 and His6-ubiquitin and incubated at 20 °C for 90 min. Samples were bound to NiâNTA beads and subjected to SDSâPAGE in reducing or non-reducing conditions and analysed by autoradiography. Lanes are numbered 1â4 as described in the text. n = 2. (For interpretation of the references to colour in this figure legend, the reader is referred to the web version of this article.)
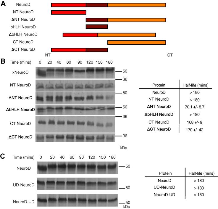
Fig. 2. Stability of NeuroD domains and fusions between NeuroD and an unfolding domain. (A) Schematic of NeuroD domain deletion mutants. (B) NeuroD domain deletion mutants were subjected to degradation assay in interphase egg extract. n = 3. (C) Unfolding domain-fused (UD) proteins were subjected to degradation assay in interphase egg extract. n = 3.
Fig. 3. Analysis of stability of domain-swapped mutants of Ngn2 and NeuroD. (A) Schematic representation of Ngn2 and NeuroD domain-swap proteins. (B) Domain-swapped proteins were subjected to degradation assay in interphase egg extract. n = 4. (C) The average stabilisation relative to wild type (i) Ngn2 and (ii) NeuroD was calculated. Analysis of variance (ANOVA) was performed to determine which proteins were significantly different from (iii) Ngn2 and (iv) NeuroD and these are shown as red bars (reference proteins denoted by blue bars; grey bars show no significant difference from wild type). (For interpretation of the references to colour in this figure legend, the reader is referred to the web version of this article.)
Fig. 4. In vivo proneural activity assayed in developing Xenopus embryos. X. laevis embryos were injected at one cell stage with 50 pg of mRNA encoding chimeric constructs as indicated. Embryos were fixed at Stage 19 for ISH analysis of neural β-tubulin expression and scored for the extent of neurogenesis relative to uninjected controls. (A) Semi-quantitative ISH scoring data [n = 22â36], 0â3 where 0 indicates no increase in neurogenesis to 3, highly extensive neurogenesis throughout the epidermis. (B) Representative images of embryos injected with each construct. (C) X. laevis embryos were injected at one cell stage with 100 pg domain-swap mRNA and analysed by qPCR at stage 19 for neural β-tubulin, xEbf2 or Xath3 expression, relative to uninjected embryos. n = 2. Errors are Standard Error of the Mean (SEM).
Aguado-Llera,
The basic helix-loop-helix region of human neurogenin 1 is a monomeric natively unfolded protein which forms a "fuzzy" complex upon DNA binding.
2010, Pubmed
Aguado-Llera,
The basic helix-loop-helix region of human neurogenin 1 is a monomeric natively unfolded protein which forms a "fuzzy" complex upon DNA binding.
2010,
Pubmed
Ali,
Cell cycle-regulated multi-site phosphorylation of Neurogenin 2 coordinates cell cycling with differentiation during neurogenesis.
2011,
Pubmed
,
Xenbase
Andresen,
Transient structure and dynamics in the disordered c-Myc transactivation domain affect Bin1 binding.
2012,
Pubmed
Bertrand,
Proneural genes and the specification of neural cell types.
2002,
Pubmed
Chenna,
Multiple sequence alignment with the Clustal series of programs.
2003,
Pubmed
Ellenberger,
Crystal structure of transcription factor E47: E-box recognition by a basic region helix-loop-helix dimer.
1994,
Pubmed
Follis,
Structural rationale for the coupled binding and unfolding of the c-Myc oncoprotein by small molecules.
2008,
Pubmed
Hindley,
Post-translational modification of Ngn2 differentially affects transcription of distinct targets to regulate the balance between progenitor maintenance and differentiation.
2012,
Pubmed
,
Xenbase
Koyano-Nakagawa,
Activation of Xenopus genes required for lateral inhibition and neuronal differentiation during primary neurogenesis.
1999,
Pubmed
,
Xenbase
Lee,
Conversion of Xenopus ectoderm into neurons by NeuroD, a basic helix-loop-helix protein.
1995,
Pubmed
,
Xenbase
Ma,
Crystal structure of MyoD bHLH domain-DNA complex: perspectives on DNA recognition and implications for transcriptional activation.
1994,
Pubmed
Massari,
Helix-loop-helix proteins: regulators of transcription in eucaryotic organisms.
2000,
Pubmed
McDowell,
Non-canonical ubiquitylation of the proneural protein Ngn2 occurs in both Xenopus embryos and mammalian cells.
2010,
Pubmed
,
Xenbase
McDowell,
Non-canonical ubiquitylation: mechanisms and consequences.
2013,
Pubmed
Murre,
Structure and function of helix-loop-helix proteins.
1994,
Pubmed
Pekosz,
Identification of a membrane targeting and degradation signal in the p42 protein of influenza C virus.
2000,
Pubmed
Prakash,
An unstructured initiation site is required for efficient proteasome-mediated degradation.
2004,
Pubmed
Prakash,
Substrate selection by the proteasome during degradation of protein complexes.
2009,
Pubmed
Roark,
Complex regulation controls Neurogenin3 proteolysis.
2012,
Pubmed
,
Xenbase
Seo,
Neurogenin and NeuroD direct transcriptional targets and their regulatory enhancers.
2007,
Pubmed
,
Xenbase
Thoma,
Ectopic expression of neurogenin 2 alone is sufficient to induce differentiation of embryonic stem cells into mature neurons.
2012,
Pubmed
Thomas,
Transcriptional regulation: Kamikaze activators.
2000,
Pubmed
Thrower,
Recognition of the polyubiquitin proteolytic signal.
2000,
Pubmed
Vernon,
The cdk inhibitor p27Xic1 is required for differentiation of primary neurones in Xenopus.
2003,
Pubmed
,
Xenbase
Vosper,
Ubiquitylation on canonical and non-canonical sites targets the transcription factor neurogenin for ubiquitin-mediated proteolysis.
2009,
Pubmed
,
Xenbase
Vosper,
Regulation of neurogenin stability by ubiquitin-mediated proteolysis.
2007,
Pubmed
,
Xenbase
Zarrine-Afsar,
The family feud: do proteins with similar structures fold via the same pathway?
2005,
Pubmed