Click here to close
Hello! We notice that you are using Internet Explorer, which is not supported by Xenbase and may cause the site to display incorrectly.
We suggest using a current version of Chrome,
FireFox, or Safari.
???displayArticle.abstract???
The Anaphase-Promoting Complex (APC) is a multi-subunit E3 ubiquitin ligase that coordinates progression through the cell cycle by temporally and spatially promoting the degradation of key proteins. Many of these targeted proteins have been shown to play important roles in regulating orderly progression through the cell cycle. Using a previously described Drosophila in vitro expression cloning approach, we screened for new substrates of the APC in Xenopus egg extract and identified Drosophila MCPH1 (dMCPH1), a protein encoded by the homolog of a causative gene for autosomal recessive primary microcephaly in humans. The dMCPH1-B splice form, but not the dMCPH1-C splice form, undergoes robust degradation in Xenopus interphase egg extract in a Cdh1-dependent manner. Degradation of dMCPH1-B is controlled by an N-terminal destruction box (D-box) motif as its deletion or mutation blocks dMCPH1-B degradation. dMCPH1 levels are increased in Drosophila morula (APC2) mutant embryos, consistent with dMCPH1 being an APC substrate in vivo. Using a purified, reconstituted system, we show that dMCPH1-B is ubiquitinated by APC(Cdh1), indicating that the effect of APC on dMCPH1-B ubiquitination and degradation is direct. Full-length human MCPH1 (hMCPH1) has been predicted to be an APC substrate based on its interaction with the APC subunit Cdc27. We were not able to detect changes in hMCPH1 levels during the cell cycle in cultured human cells. Overexpression of hMCPH1 (or dMCPH1-B) in developing Xenopus embryos, however, disrupts cell division, suggesting that proper regulation of hMCPH1 and dMCPH1-B activity plays a critical role in proper cell-cycle progression.
???displayArticle.pubmedLink???
24972868
???displayArticle.pmcLink???PMC4154303 ???displayArticle.link???Biol Open ???displayArticle.grants???[+]
Fig. 4. Overexpression of dMCPH1-B or hMCPH1 results in cell-cycle defects. (A) Representative images of whole Xenopus embryos fixed four hours after injection of Mos, GFP, full-length human MCPH1 (hMCPH1), dMCPH1-B, or dMCPH1-BDboxMut RNA at the 2â4-cell stage. Arrows indicate injected halves of embryos. (B) Quantification of Xenopus embryos displaying cell division defects 4â hours post-injection. Total number of embryos injected is indicated in parentheses. *p<0.005 (C) Confocal sections of the uninjected (left) and injected (right) areas of a representative whole embryo following injection with hMCPH1 mRNA. Microtubules, green; DNA, red. Scale bar: 100 µm.
Fig. S1. APC regulates stability of dMCPH1-B and dMCPH1-C. (A) Schematic representation of dMCPH1-B, dMCPH1-C, and hMCPH1. (B) Quantitation of pixel intensity of autoradiogram in Fig. 2B. Percent of initial pixel intensity was plotted over time for radiolabeled dMCPH1-B, dMCPH1- C, or Cyclin B incubated in Xenopus interphase egg extract in the absence or presence of Cdh1. **p,0.005, *p,0.05.
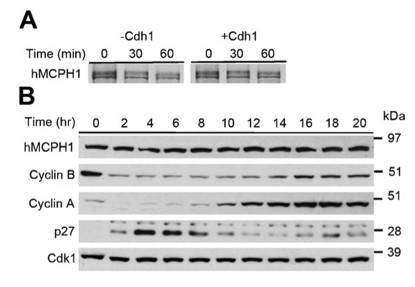
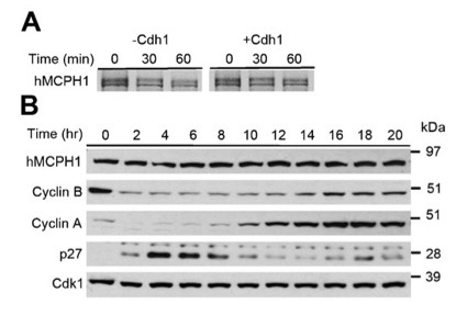
Fig. S2. APC does not regulate the stability of hMCPH1. (A) Autoradiogram of radiolabeled hMCPH1 incubated in Xenopus interphase egg extract in the absence or presence of Cdh1. (B) Levels of hMCPH1 do not notably fluctuate in a cell cycle-dependent manner. Immunoblot analysis of hMCPH1, Cyclin B, Cyclin A, p27, and Cdk1 in lysates derived from synchronized HeLa cells 0â20 hours after nocodazole release. Degradation of Cyclin A and B occurs in prophase and metaphase, respectively, whereas degradation of p27 marks late G1/S.
Fig. S3. Xenopus embryos express hMCPH1-Myc, dMCPH1-B-Myc, and dMCPH1-BDboxMut-Myc at similar levels. Immunoblot for Myc and tubulin (loading control) of lysates derived from Xenopus embryos after injection with mRNA encoding hMCPH1-Myc, dMCPH1-B-Myc, or dMCPH1-BDboxMut-Myc.
Confocal sections of the uninjected Xenopus embryo, NF stage 10.5 stained with Tuba4b Ab2 (DM1A, Sigma) Microtubules, green; DNA, red. Scale bar: 100 um.
Alderton,
Regulation of mitotic entry by microcephalin and its overlap with ATR signalling.
2006, Pubmed
Alderton,
Regulation of mitotic entry by microcephalin and its overlap with ATR signalling.
2006,
Pubmed
Araki,
A novel motif governs APC-dependent degradation of Drosophila ORC1 in vivo.
2005,
Pubmed
Ayad,
Tome-1, a trigger of mitotic entry, is degraded during G1 via the APC.
2003,
Pubmed
,
Xenbase
Brautigan,
Cell cycle oscillation of phosphatase inhibitor-2 in rat fibroblasts coincident with p34cdc2 restriction.
1990,
Pubmed
Brunk,
Microcephalin coordinates mitosis in the syncytial Drosophila embryo.
2007,
Pubmed
Budhavarapu,
Regulation of E2F1 by APC/C Cdh1 via K11 linkage-specific ubiquitin chain formation.
2012,
Pubmed
Fang,
Direct binding of CDC20 protein family members activates the anaphase-promoting complex in mitosis and G1.
1998,
Pubmed
,
Xenbase
Fang,
The checkpoint protein MAD2 and the mitotic regulator CDC20 form a ternary complex with the anaphase-promoting complex to control anaphase initiation.
1998,
Pubmed
,
Xenbase
Funabiki,
The Xenopus chromokinesin Xkid is essential for metaphase chromosome alignment and must be degraded to allow anaphase chromosome movement.
2000,
Pubmed
,
Xenbase
Gavvovidis,
A novel MCPH1 isoform complements the defective chromosome condensation of human MCPH1-deficient cells.
2012,
Pubmed
Glotzer,
Cyclin is degraded by the ubiquitin pathway.
1991,
Pubmed
,
Xenbase
Gruber,
MCPH1 regulates the neuroprogenitor division mode by coupling the centrosomal cycle with mitotic entry through the Chk1-Cdc25 pathway.
2011,
Pubmed
Ivanovska,
The Drosophila MOS ortholog is not essential for meiosis.
2004,
Pubmed
,
Xenbase
Jackson,
Identification of microcephalin, a protein implicated in determining the size of the human brain.
2002,
Pubmed
King,
Expression cloning in the test tube.
1997,
Pubmed
King,
A 20S complex containing CDC27 and CDC16 catalyzes the mitosis-specific conjugation of ubiquitin to cyclin B.
1995,
Pubmed
,
Xenbase
King,
Mutagenic analysis of the destruction signal of mitotic cyclins and structural characterization of ubiquitinated intermediates.
1996,
Pubmed
,
Xenbase
Kulkarni,
Building a pseudo-atomic model of the anaphase-promoting complex.
2013,
Pubmed
Lee,
Drosophila genome-scale screen for PAN GU kinase substrates identifies Mat89Bb as a cell cycle regulator.
2005,
Pubmed
,
Xenbase
Leung,
SET nuclear oncogene associates with microcephalin/MCPH1 and regulates chromosome condensation.
2011,
Pubmed
Lin,
BRIT1/MCPH1 is a DNA damage responsive protein that regulates the Brca1-Chk1 pathway, implicating checkpoint dysfunction in microcephaly.
2005,
Pubmed
Lorca,
Fizzy is required for activation of the APC/cyclosome in Xenopus egg extracts.
1998,
Pubmed
,
Xenbase
Lunardi,
A genome-scale protein interaction profile of Drosophila p53 uncovers additional nodes of the human p53 network.
2010,
Pubmed
McGarry,
Geminin, an inhibitor of DNA replication, is degraded during mitosis.
1998,
Pubmed
,
Xenbase
Min,
Substrate targeting by the ubiquitin-proteasome system in mitosis.
2012,
Pubmed
Peart,
APC/C(Cdc20) targets E2F1 for degradation in prometaphase.
2010,
Pubmed
Peng,
BRIT1/MCPH1 links chromatin remodelling to DNA damage response.
2009,
Pubmed
Peters,
The anaphase promoting complex/cyclosome: a machine designed to destroy.
2006,
Pubmed
Pfleger,
Substrate recognition by the Cdc20 and Cdh1 components of the anaphase-promoting complex.
2001,
Pubmed
,
Xenbase
Pfleger,
The KEN box: an APC recognition signal distinct from the D box targeted by Cdh1.
2000,
Pubmed
,
Xenbase
Pfleger,
Inhibition of Cdh1-APC by the MAD2-related protein MAD2L2: a novel mechanism for regulating Cdh1.
2001,
Pubmed
,
Xenbase
Ponting,
Evolution of primary microcephaly genes and the enlargement of primate brains.
2005,
Pubmed
Raff,
The roles of Fzy/Cdc20 and Fzr/Cdh1 in regulating the destruction of cyclin B in space and time.
2002,
Pubmed
Rai,
BRIT1 regulates early DNA damage response, chromosomal integrity, and cancer.
2006,
Pubmed
Rankin,
Sororin, a substrate of the anaphase-promoting complex, is required for sister chromatid cohesion in vertebrates.
2005,
Pubmed
,
Xenbase
Reed,
The Drosophila gene morula inhibits mitotic functions in the endo cell cycle and the mitotic cell cycle.
1997,
Pubmed
Rickmyre,
The Drosophila homolog of MCPH1, a human microcephaly gene, is required for genomic stability in the early embryo.
2007,
Pubmed
Singh,
Molecular basis for the association of microcephalin (MCPH1) protein with the cell division cycle protein 27 (Cdc27) subunit of the anaphase-promoting complex.
2012,
Pubmed
Stapleton,
The Drosophila gene collection: identification of putative full-length cDNAs for 70% of D. melanogaster genes.
2002,
Pubmed
Tibelius,
Microcephalin and pericentrin regulate mitotic entry via centrosome-associated Chk1.
2009,
Pubmed
Trimborn,
Misregulated chromosome condensation in MCPH1 primary microcephaly is mediated by condensin II.
2006,
Pubmed
Tunquist,
Under arrest: cytostatic factor (CSF)-mediated metaphase arrest in vertebrate eggs.
2003,
Pubmed
,
Xenbase
Wei,
Degradation of the SCF component Skp2 in cell-cycle phase G1 by the anaphase-promoting complex.
2004,
Pubmed
,
Xenbase
Woods,
Autosomal recessive primary microcephaly (MCPH): a review of clinical, molecular, and evolutionary findings.
2005,
Pubmed
Yamashita,
MCPH1 regulates chromosome condensation and shaping as a composite modulator of condensin II.
2011,
Pubmed
,
Xenbase
Yang,
MCPH1/BRIT1 cooperates with E2F1 in the activation of checkpoint, DNA repair and apoptosis.
2008,
Pubmed
Zou,
Identification of a vertebrate sister-chromatid separation inhibitor involved in transformation and tumorigenesis.
1999,
Pubmed
,
Xenbase