Click here to close
Hello! We notice that you are using Internet Explorer, which is not supported by Xenbase and may cause the site to display incorrectly.
We suggest using a current version of Chrome,
FireFox, or Safari.
Anat Cell Biol
2014 Mar 01;471:18-27. doi: 10.5115/acb.2014.47.1.18.
Show Gene links
Show Anatomy links
Expression and localization of Rdd proteins in Xenopus embryo.
Lim JC
,
Kurihara S
,
Tamaki R
,
Mashima Y
,
Maéno M
.
???displayArticle.abstract???
The previous study has shown that repeated D domain-like (Rdd) proteins, a group of novel secretory proteins consisting of repeated domains of a cysteine-rich sequence, are involved in the process of blood vessel formation in Xenopus embryo. We performed further experiments to examine the localization of Rdd proteins in embryogenesis. Detection of tagged Rdd proteins expressed in blastomeres showed that Rdd proteins formed a high molecular weight complex and existed in the extracellular space. A rabbit antibody against the Rdd synthetic peptide identified a single band of 28 kD in embryonic tissue extract. By whole-mount immunostaining analysis, signal was detected in the regions of inter-somites, vitelline veins, and branchial arches at the tailbud stage. Staining of Rdd was remarkably reduced in the embryos injected with vascular endothelial growth factor Morpholino. We suggest that Rdd proteins interact with a molecule(s) associated with vascular precursor cells.
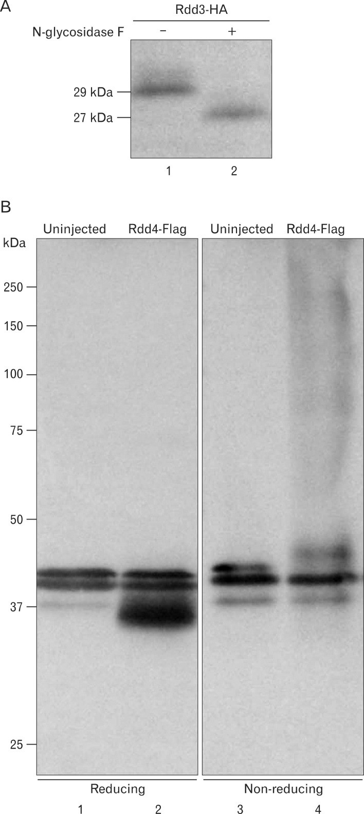
Fig 1. Biochemical properties of Rdd proteins. (A) rdd3-ha mRNA was injected into 2-cell-stage embryos. The embryos were cultured until the late neurula stage. Western blot analysis was performed with extracted proteins after treatment with N-glycosidase F (lane 2) or no treatment (lane 1). The signal of Rdd3-HA was shifted by N-glycosidase F treatment, indicating that recombinant Rdd3 protein was N-glycosylated. (B) Western blot analysis was performed with extracted proteins from uninjected or rdd4-flag mRNA-injected embryos under the reducing (lanes 1 and 2) or non-reducing (lanes 3 and 4) condition. Rdd4-Flag appeared as a single band under the reducing condition (lane 2), but it showed a smear at the high molecular weight range under the non-reducing condition (lane 4).
Fig 2. Localization of recombinant Rdd3 protein in the intercellular region. val-flag mRNA (Flag-tagged Val protein) (A-C) or rdd3-flag mRNA (Flag-tagged Rdd3 protein) (D-I) together with mif-myc mRNA (coding for Myc-tagged Mif protein) were injected into a single blastomere at the 16-cell stage. Animal cap explants were isolated and cultured until the early tailbud stage (st. 20). Explants were stained with anti-Myc and anti-Flag antibodies simultaneously and the reaction was visualized with Alexa488-based fluorescence (A, D, H) and Cy3-based fluorescence (B, E, G). Positive signal for Mif protein shows descendant cells of the RNA-injected single cell at the 16-cell stage (A, D, G). The border between the injected and uninjected cells is indicated by a white dotted line. Merged images of the double staining are also shown (C, F, I). Val-Flag protein was detected in the nuclei of cells that had been injected with mif-myc mRNA (C, C'). On the other hand, Rdd3-Flag protein was stained in the cytoplasm of Mif-positive cells and also stained in the intercellular region of Mif-negative cells (F, F'). Exchange of the second antibodies between Cy3-conjugated IgG and Alexa488-conjugated IgG gave the same results (I, I'). Scale bars in panels I and I'=50 µm (A-I), 50 µm (C', F', I').
Fig. 3. Production of anti-sera against a synthetic peptide from the Rdd3 amino acid sequence. (A) Western blot analysis was performed with anti-HA antibody or anti-Rdd antibody to detect HA-tagged recombinant Rdd proteins. Anti-HA antibody reacted with Rdd2, Rdd3, and Rdd4 proteins (lanes 1-3), while anti-Rdd antibody reacted with Rdd3 and Rdd4 (lanes 5 and 6). (B) Absorption of anti-serum with Rdd (lane2) or control (lane 3) peptide indicated specific reaction of the antibody with Rdd4 protein in Western blot analysis.
Fig 5. Concomitant localization of Rdd3 protein with blood vessel formation. Whole-mount in situ hybridization (A) and whole-mount immunostaining (B) analyses were performed to show tie-2 expression and Rdd protein localization in tailbud (st. 32) embryos. Embryos were injected with vascular endothelial growth factor Morpholino oligo (VEGF MO) (9.2 pmol/embryo) (d-f ) or H2O (a-c) in the marginal zone at the 4-cell stage. (A) In the control embryo, tie-2 was expressed in the vitelline vein (b, arrowheads), intermediate mesoderm (c, white arrowheads) and branchial arches (c, arrowheads). Localization of tie-2 expression was lost in the VEGF MO-injected embryo (d-f ). (B) Rdd protein was detected in the vitelline vein (b, arrowheads), intersomite region (c, white arrowheads), and branchial arches (c, arrowheads). Localization of Rdd protein was lost in the VEGF MO-injected embryo (d-f ). Scale bars=0.5 mm (A, B).
Carmeliet,
Abnormal blood vessel development and lethality in embryos lacking a single VEGF allele.
1996, Pubmed
Carmeliet,
Abnormal blood vessel development and lethality in embryos lacking a single VEGF allele.
1996,
Pubmed
Chen,
C/EBPalpha initiates primitive myelopoiesis in pluripotent embryonic cells.
2009,
Pubmed
,
Xenbase
Ciau-Uitz,
Tel1/ETV6 specifies blood stem cells through the agency of VEGF signaling.
2010,
Pubmed
,
Xenbase
Cleaver,
Neovascularization of the Xenopus embryo.
1997,
Pubmed
,
Xenbase
Cleaver,
VEGF mediates angioblast migration during development of the dorsal aorta in Xenopus.
1998,
Pubmed
,
Xenbase
Costa,
spib is required for primitive myeloid development in Xenopus.
2008,
Pubmed
,
Xenbase
Dale,
Bone morphogenetic protein 4: a ventralizing factor in early Xenopus development.
1992,
Pubmed
,
Xenbase
Dalgin,
GATA-2 functions downstream of BMPs and CaM KIV in ectodermal cells during primitive hematopoiesis.
2007,
Pubmed
,
Xenbase
Ferrara,
Heterozygous embryonic lethality induced by targeted inactivation of the VEGF gene.
1996,
Pubmed
Gao,
Species diversity in the structure of zonadhesin, a sperm-specific membrane protein containing multiple cell adhesion molecule-like domains.
1998,
Pubmed
Hardy,
A sperm membrane protein that binds in a species-specific manner to the egg extracellular matrix is homologous to von Willebrand factor.
1995,
Pubmed
Iraha,
Common and distinct signals specify the distribution of blood and vascular cell lineages in Xenopus laevis embryos.
2002,
Pubmed
,
Xenbase
Jones,
DVR-4 (bone morphogenetic protein-4) as a posterior-ventralizing factor in Xenopus mesoderm induction.
1992,
Pubmed
,
Xenbase
Kazanskaya,
The Wnt signaling regulator R-spondin 3 promotes angioblast and vascular development.
2008,
Pubmed
,
Xenbase
Kelley,
Ventral expression of GATA-1 and GATA-2 in the Xenopus embryo defines induction of hematopoietic mesoderm.
1994,
Pubmed
,
Xenbase
Koibuchi,
The effect of VEGF on blood vessels and blood cells during Xenopus development.
2006,
Pubmed
,
Xenbase
Liu,
Fli1 acts at the top of the transcriptional network driving blood and endothelial development.
2008,
Pubmed
,
Xenbase
Maeno,
The role of BMP-4 and GATA-2 in the induction and differentiation of hematopoietic mesoderm in Xenopus laevis.
1996,
Pubmed
,
Xenbase
Maéno,
A truncated bone morphogenetic protein 4 receptor alters the fate of ventral mesoderm to dorsal mesoderm: roles of animal pole tissue in the development of ventral mesoderm.
1994,
Pubmed
,
Xenbase
Maéno,
The Localization of Precursor Cells for Larval and Adult Hemopoietic Cells of Xenopus Laevis in two Regions of Embryos: Amphibian embryo/Hemopoietic precursor cells/Chimera).
1985,
Pubmed
,
Xenbase
Maéno,
Differential participation of ventral and dorsolateral mesoderms in the hemopoiesis of Xenopus, as revealed in diploid-triploid or interspecific chimeras.
1985,
Pubmed
,
Xenbase
Maéno,
Distinct mechanisms control the timing of differentiation of two myeloid populations in Xenopus ventral blood islands.
2012,
Pubmed
,
Xenbase
Martin,
Hypaxial muscle migration during primary myogenesis in Xenopus laevis.
2001,
Pubmed
,
Xenbase
Mead,
Primitive erythropoiesis in the Xenopus embryo: the synergistic role of LMO-2, SCL and GATA-binding proteins.
2001,
Pubmed
,
Xenbase
Mead,
SCL specifies hematopoietic mesoderm in Xenopus embryos.
1998,
Pubmed
,
Xenbase
Meadows,
Kruppel-like factor 2 cooperates with the ETS family protein ERG to activate Flk1 expression during vascular development.
2009,
Pubmed
,
Xenbase
Nagao,
Constitutive over-expression of VEGF results in reduced expression of Hand-1 during cardiac development in Xenopus.
2007,
Pubmed
,
Xenbase
Saito,
Identification and expression of ventrally associated leucine-zipper (VAL) in Xenopus embryo.
2010,
Pubmed
,
Xenbase
Salanga,
ETS family protein ETV2 is required for initiation of the endothelial lineage but not the hematopoietic lineage in the Xenopus embryo.
2010,
Pubmed
,
Xenbase
Shain,
Sodium dodecyl sulfate (SDS)-based whole-mount in situ hybridization of Xenopus laevis embryos.
1996,
Pubmed
,
Xenbase
Shibata,
A role of D domain-related proteins in differentiation and migration of embryonic cells in Xenopus laevis.
2008,
Pubmed
,
Xenbase
Suzuki,
A truncated bone morphogenetic protein receptor affects dorsal-ventral patterning in the early Xenopus embryo.
1994,
Pubmed
,
Xenbase
Suzuki,
Xenopus laevis macrophage migration inhibitory factor is essential for axis formation and neural development.
2004,
Pubmed
,
Xenbase
Tran,
Wnt/beta-catenin signaling is involved in the induction and maintenance of primitive hematopoiesis in the vertebrate embryo.
2010,
Pubmed
,
Xenbase
Verweij,
Full-length von Willebrand factor (vWF) cDNA encodes a highly repetitive protein considerably larger than the mature vWF subunit.
1986,
Pubmed
Walmsley,
Adult and embryonic blood and endothelium derive from distinct precursor populations which are differentially programmed by BMP in Xenopus.
2002,
Pubmed
,
Xenbase
Walmsley,
Fibroblast growth factor controls the timing of Scl, Lmo2, and Runx1 expression during embryonic blood development.
2008,
Pubmed
,
Xenbase