Click here to close
Hello! We notice that you are using Internet Explorer, which is not supported by Xenbase and may cause the site to display incorrectly.
We suggest using a current version of Chrome,
FireFox, or Safari.
???displayArticle.abstract???
Suppression of bone morphogenetic protein (BMP) signaling induces neural induction in the ectoderm of developing embryos. BMP signaling inhibits eural induction via the expression of various neural suppressors. Previous research has demonstrated that the ectopic expression of dominant negative BMP receptors (DNBR) reduces the expression of target genes down-stream of BMP and leads to neural induction. Additionally, gain-of-function experiments have shown that BMP downstream target genes such as MSX1, GATA1b and Vent are involved in the suppression of neural induction. For example, the Vent1/2 genes are involved in the suppression of Geminin and Sox3 expression in the neural ectodermal region of embryos. In this paper, we investigated whether PV.1, a BMP downstream target gene, negatively regulates the expression of FoxD5b, which plays a role in maintaining a neural progenitor population. A promoter assay and a cyclohexamide experiment demonstrated that PV.1 negatively regulates FoxD5b expression.
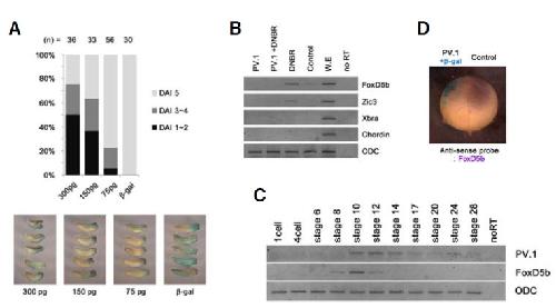
Fig. 1. PV.1 suppresses neural gene expression. (A) PV.1 RNAs of PV.1 was injected as indicated at the one-cell stage. Phenotypical changes were observed at stage 33. DAI means the dorso- anterior index. (B) PV.1 (500 pg) was either injected alone or co-injected with DNBR (1 ng) at the one-cell stage. Animal cap explants were dissected at stage 8, incubated until stage 10 and then RT-PCR was performed for the analysis of relative gene expression. ODC, loading control; noRT, control reaction without reverse transcriptase; WE, Whole embryo as a positive control; chordin, Dorsal mesodermal marker; Xbra, mesodermal marker; FoxD5b and Zic3, early neural marker. (C) The temporal expression pattern of FoxD5b and PV.1 were analyzed using RT-PCR at various developmental stages as indicated. (D) PV.1 RNAs were injected into one side of each of the two cell embryos. These embryos were processed for whole mount in situ hybridization with anti-sense probe of FoxD5b at stage 10. The injected side of the embryos is indicated by Beta-gal staining. The blue dotted line indicates the dorsal lip.
Fig. 2. PV.1 reduces FoxD5b and Zic3 expression. (A, B) Embryos were injected with RNAs (PV.1, 500 pg and DNBR, 1 ng) at the one-cell stage as indicated. Animal explants were dissected at stage 8 and incubated in the animal cap media containing DMSO or cyclohexamide (CHX, 5 ng/ml) until stage 10. RT-PCR was performed to analyze the relative FoxD5a and Zic3 expressions. Data are shown as the means ± the S.D. of the values from at least 3 independent experiments. Differences were considered significant at P < 0.05.
Fig. 3. PV.1 reduces the promoter activity of FoxD5b. (A) Embryos were co-injected with the -1336 construct (20 pg) and PV.1 (500 pg) at the one-cell stage and incubated until stage 10. Luciferase activity was measured as described in the âMaterials and Methodsâ. (B) The graph shows regions of high similarity based upon the NCBI-BLAST results. (C) Schematic representation of the serially truncated FoxD5b promoter constructs. (D) The embryos were injected with FoxD5b promoter alone or with PV.1 as indicated. Luciferase activities were measured at stage 10. The data are shown as the means ± the S.D. of the values from at least three independent experiments. Differences were considered significant at P < 0.05.
Fig. 4. PV.1 regulates FoxD5b expression indirectly via the putative Hox binding site. (A) Embryos were co-injected -1336 construct with RNAs (PV.1, 500 pg and DNBR, 1 ng) at the one-cell stage as indicated. Embryos were harvested at stage 10 for analyses of the relative luciferase gene expressions using RT-PCR. (B) Schematic representation of -301_(m)Hox construct (C) The -301 or -301_(m) Hox constructs were either injected alone or co-injected with PV.1 at the one-cell stage. Luciferase activity was measured at stage 10. (D) RNAs of PV.1 (500 pg) were injected at the one-cell stage. Animal caps were dissected at stage 8 and incubated until stage 10. RT-PCR was performed for the analysis of the expression of the indicated genes. The data are shown as the means ± the S.D.s of the values of at least three independent experiments. Differences were considered significant at P < 0.05.
Ault,
A novel homeobox gene PV.1 mediates induction of ventral mesoderm in Xenopus embryos.
1996, Pubmed,
Xenbase
Ault,
A novel homeobox gene PV.1 mediates induction of ventral mesoderm in Xenopus embryos.
1996,
Pubmed
,
Xenbase
Ault,
The homeobox gene PV.1 mediates specification of the prospective neural ectoderm in Xenopus embryos.
1997,
Pubmed
,
Xenbase
Chung,
Neuregulin induces the expression of mesodermal genes in the ectoderm of Xenopus laevis.
1999,
Pubmed
,
Xenbase
Dale,
BMP signalling in early Xenopus development.
1999,
Pubmed
,
Xenbase
Dale,
A gradient of BMP activity specifies dorsal-ventral fates in early Xenopus embryos.
1999,
Pubmed
,
Xenbase
Dosch,
Bmp-4 acts as a morphogen in dorsoventral mesoderm patterning in Xenopus.
1997,
Pubmed
,
Xenbase
Fetka,
Neuroectodermal specification and regionalization of the Spemann organizer in Xenopus.
2000,
Pubmed
,
Xenbase
Friedle,
Cooperative interaction of Xvent-2 and GATA-2 in the activation of the ventral homeobox gene Xvent-1B.
2002,
Pubmed
,
Xenbase
Gawantka,
Antagonizing the Spemann organizer: role of the homeobox gene Xvent-1.
1995,
Pubmed
,
Xenbase
Glinka,
Head induction by simultaneous repression of Bmp and Wnt signalling in Xenopus.
1997,
Pubmed
,
Xenbase
Hawley,
Disruption of BMP signals in embryonic Xenopus ectoderm leads to direct neural induction.
1995,
Pubmed
,
Xenbase
Hwang,
Active repression of organizer genes by C-terminal domain of PV.1.
2003,
Pubmed
,
Xenbase
Hwang,
Antimorphic PV.1 causes secondary axis by inducing ectopic organizer.
2002,
Pubmed
,
Xenbase
Jackson,
Update of human and mouse forkhead box (FOX) gene families.
2010,
Pubmed
Katoh,
Cancer genetics and genomics of human FOX family genes.
2013,
Pubmed
Katoh,
Human FOX gene family (Review).
2004,
Pubmed
Kuroda,
Default neural induction: neuralization of dissociated Xenopus cells is mediated by Ras/MAPK activation.
2005,
Pubmed
,
Xenbase
Lee,
FoxD5 mediates anterior-posterior polarity through upstream modulator Fgf signaling during zebrafish somitogenesis.
2009,
Pubmed
Lee,
Direct response elements of BMP within the PV.1A promoter are essential for its transcriptional regulation during early Xenopus development.
2011,
Pubmed
,
Xenbase
Moore,
Morphogenetic movements underlying eye field formation require interactions between the FGF and ephrinB1 signaling pathways.
2004,
Pubmed
,
Xenbase
Pohl,
Of Fox and Frogs: Fox (fork head/winged helix) transcription factors in Xenopus development.
2005,
Pubmed
,
Xenbase
Rogers,
Sox3 expression is maintained by FGF signaling and restricted to the neural plate by Vent proteins in the Xenopus embryo.
2008,
Pubmed
,
Xenbase
Rogers,
Neural induction and factors that stabilize a neural fate.
2009,
Pubmed
,
Xenbase
Shibata,
GATA-1 inhibits the formation of notochord and neural tissue in Xenopus embryo.
1998,
Pubmed
,
Xenbase
Smith,
Dorsalization and neural induction: properties of the organizer in Xenopus laevis.
1983,
Pubmed
,
Xenbase
Sullivan,
foxD5a, a Xenopus winged helix gene, maintains an immature neural ectoderm via transcriptional repression that is dependent on the C-terminal domain.
2001,
Pubmed
,
Xenbase
Suzuki,
Xenopus msx1 mediates epidermal induction and neural inhibition by BMP4.
1997,
Pubmed
,
Xenbase
Taylor,
Tcf- and Vent-binding sites regulate neural-specific geminin expression in the gastrula embryo.
2006,
Pubmed
,
Xenbase
Wacker,
The initiation of Hox gene expression in Xenopus laevis is controlled by Brachyury and BMP-4.
2004,
Pubmed
,
Xenbase
Wilson,
Induction of epidermis and inhibition of neural fate by Bmp-4.
1995,
Pubmed
,
Xenbase
Xu,
A dominant negative bone morphogenetic protein 4 receptor causes neuralization in Xenopus ectoderm.
1995,
Pubmed
,
Xenbase
Yan,
Notch signaling downstream of foxD5 promotes neural ectodermal transcription factors that inhibit neural differentiation.
2009,
Pubmed
,
Xenbase
Yan,
foxD5 plays a critical upstream role in regulating neural ectodermal fate and the onset of neural differentiation.
2009,
Pubmed
,
Xenbase
Yu,
An amphioxus winged helix/forkhead gene, AmphiFoxD: insights into vertebrate neural crest evolution.
2002,
Pubmed