Click here to close
Hello! We notice that you are using Internet Explorer, which is not supported by Xenbase and may cause the site to display incorrectly.
We suggest using a current version of Chrome,
FireFox, or Safari.
Dev Dyn
2014 Apr 01;2434:509-26. doi: 10.1002/dvdy.24092.
Show Gene links
Show Anatomy links
The Role of Sdf-1α signaling in Xenopus laevis somite morphogenesis.
Leal MA
,
Fickel SR
,
Sabillo A
,
Ramirez J
,
Vergara HM
,
Nave C
,
Saw D
,
Domingo CR
.
???displayArticle.abstract???
Stromal derived factor-1α (sdf-1α), a chemoattractant chemokine, plays a major role in tumor growth, angiogenesis, metastasis, and in embryogenesis. The sdf-1α signaling pathway has also been shown to be important for somite rotation in zebrafish (Hollway et al., 2007). Given the known similarities and differences between zebrafish and Xenopus laevis somitogenesis, we sought to determine whether the role of sdf-1α is conserved in Xenopus laevis. Using a morpholino approach, we demonstrate that knockdown of sdf-1α or its receptor, cxcr4, leads to a significant disruption in somite rotation and myotome alignment. We further show that depletion of sdf-1α or cxcr4 leads to the near absence of β-dystroglycan and laminin expression at the intersomitic boundaries. Finally, knockdown of sdf-1α decreases the level of activated RhoA, a small GTPase known to regulate cell shape and movement. Our results show that sdf-1α signaling regulates somite cell migration, rotation, and myotome alignment by directly or indirectly regulating dystroglycan expression and RhoA activation. These findings support the conservation of sdf-1α signaling in vertebrate somite morphogenesis; however, the precise mechanism by which this signaling pathway influences somite morphogenesis is different between the fish and the frog.
Figure 3. Sdf-1α and cxcr4 are not required for convergent extension. Keller sandwiches made from stage-10 wild type (A), standard MO (B), sdf-1α MO (C), and cxcr4 MO (D) embryos undergo the characteristic convergent extension to form a long and narrow array of cells. E: Length-to-width ratio of Keller sandwiches reveal no significant differences between explants made from sdf-1α and cxcr4 morphant tissue compared to the controls. Statistical analysis was carried out by using the Student's t-test. Error bars indicate standard error. AC, animal cap; NIMZ, non-involuting marginal zone; IMZ, Involuting marginal zone.
Figure 4. Morpholino depletion of sdf-1α and cxcr4 causes a disruption in somite morphogenesis. Montages of 20à dorsal scans of stage 26 sdf-1α (A.1), cxcr4 (B.1), and standard (C.1) half-morphants highlight the morphologies of cells in the paraxial mesoderm. A.2âC.2: The distribution of the MO along one-half of the embryo is indicated by lissamine fluorescence. A.3âC.3: Whole-mount immunocytochemistry with the muscle-specific antibody, 12/101. A.4âC.4: Black and white images of GAP43 GFP expression. A.5âC.5: Inverted images of the GAP43 GFP expression with pseudo-coloring of cells to highlight a subset of cell shapes within the paraxial mesoderm. Asterisk indicates the first fully rotated somite. Scale bar in A1 applies to all frames. Anterior is at the top.
Figure 5. Scanning electron micrographs reveal cell shapes in sdf-1α and cxcr4 morphant embryos. Dorsal images of a stage-26 wild type (A) standard half-morphant (B) embryos with somites composed of elongated and aligned myotome fibers. C: Dorsal image of a stage-26 sdf-1α half-morphant with irregular intersomitic boundaries and a subset of mytome fibers that straddle two segments on the experimental side. D: Dorsal image of a stage-26 cxcr4 half-morphant embryo with disorganized cells and incomplete intersomitic boundaries on the experimental side. Cross-sections of the PSM in wild type embryos at stages 25 (E) and 23 (I). Cross-section through the PSM of stage-26 standard (F), sdf-1α (G), and cxcr4 (H) half-morphant embryos. White tracing highlights the shape of the PSM and includes both the prospective myotome and dermatome. Red tracings highlight the shape of a subset of prospective myotome cells. Scale bar in A applies to all frames except E. Anterior is at the top (AâD). Dorsal is at the top (EâI).
Figure 6. Quantification of the sdf-1α and cxcr4 morphant phenotypes. A: Using four categories that range from ânormalâ to âsevere,â sdf-1α, cxcr4, and standard morphant phenotypes are scored. B: Dorsal confocal scans of stage 26 embryos with MO (red) present on the left side, provide examples of the four phenotypic categories ranging from âNormalâ to âSevereâ. Embryos are stained for GAP43 GFP (white) and 12/101 (green). C: A stacked bar graph shows that knockdown of sdf-1α lead to a less severe phenotype in comparison to knockdown of cxcr4. However, knockdown of either sdf-1α or cxcr4 leads to a considerable disruption in muscle formation in comparison to the standard morphants.
Figure 7. Morpholino-resistant cxcr4* mRNA rescues the cxcr4 morphant phenotype. A: Top: Comparison between endogenous cxcr4 and MO-resistant cxcr4* 5â² coding region sequences (MO binding site). Bottom: Diagram of the experimental strategy, which consists of embryos injected at the one-cell stage with cxcr4 MO, and at the two-cell stage with MO-resistant cxcr4* mRNA and EGFP mRNA (lineage tracer) in one of two blastomeres. B: A merged image of a stage-25 cxcr4 MO rescued embryo. Bottom left: Diagram of an embryo indicating the region imaged. Subsequent series shows individual channels: B': lissamine-tagged cxcr4 MO; B'': muscle fibers stained with 12/101; B''': AlexaFluor anti-GFP indicating the rescued side. Anterior is at the top. C: Graph showing the percentages in which a specific half of the embryo (injected or non-injected) has a longer axis. In some cases neither side is longer and is thus, scored as ânone.â
Figure 8. β1-integrin distribution in sdf-1α and cxcr4 morphant tissue. Merged images (MO-lissamine, 12/101, and β1-integrin) of stage-26 embryos (A) sdf-1α and (B) cxcr4 half-morphant embryos. A',B': Distribution of the lissamine-tagged MO. A'',B'': Expression pattern of the muscle-specific marker, 12/101. A''',B''': Images were converted to black and white to better visualize the distribution of β1-integrin staining on the morphant side in comparison to the wild type side. Scale bar in A applies to all frames. Anterior is at the top.
Figure 9. Dystroglycan expression in sdf-1α and cxcr4 half morphants. Stage-26 (A) sdf-1α, (B) cxcr4, and standard (C) half-morphant embryos showing a merged imaged (MO-lissamine, 12/101 and dystroglycan). A'âB': Distribution of the lissamine-tagged MO. A''âB'': Immunolocalization of the muscle-specific marker, 12/101. A'''âB''': Images were converted to black and white to better visualize the distribution of dystroglycan on the morphant side in comparison to the control side. Scale bar in A applies to all frames. Anterior is at the top.
Figure 1. Experimental approach to the morpholino knockdown of sdf-1α and cxcr4. A: A schematic of the experiment in which one blastomere at the 2-cell stage is injected with a specific morpholino (MO) such that only half of the embryo is morphant. The embryo is then allowed to develop to tailbud stages and then fixed and analyzed. B: A table indicating the specific amounts of MO injected into the fertilized egg or one blastomere at the two-cell stage.
Figure 2. Time-lapse imaging of sdf-1α and cxcr4 half-morphant embryos. Live time-lapse images of wild type embryos (A-E), standard half-morphants (F-J), sdf-1α half-morphants (K-O), and cxcr4 half-morphants (P-S) as they proceed from gastrulation to the formation of early stage tadpoles (stages 26-28). Scale bar in A applies to all frames.
Figure 10. Laminin expression is severely diminished by the depletion of sdf-1α and cxcr4. Stage-26 (A) sdf-1α, (B) cxcr4, and (C) standard half-morphant embryos showing a merged imaged (12/101 and laminin). A'-C': Distribution of the muscle-specific marker, 12/101. A''-C'': Immunolocalization of laminin on the morphant side in comparison to the control side. Scale bar in A applies to all frames. Anterior is at the top.
Figure 11. Cell transplantations reveal a role for cxcr4 in the migration of lower lip mesoderm cells. A: Cells from standard, sdf-1α, or cxcr4 morphant embryos were grafted from the upper lateral lip (ULL) region of the blastopore at the mid-gastrula stage to either the ULL or lower lip (LL) region of wild type host embryos at the same stage. B: Grafted embryos developed to stage 39 at which time their ability to form myotome fibers was determined. Confocal images showing that standard (C), sdf-1α (D), and cxcr4 (E) morphant cells give rise to myotome fibers when grafted to the ULL region of wild type embryos. F: A confocal image showing cxcr4 morphant cells grafted to the LL region fail to migrate dorsally and remain closely associated with their original position near the future anus of the tadpole (see white star).
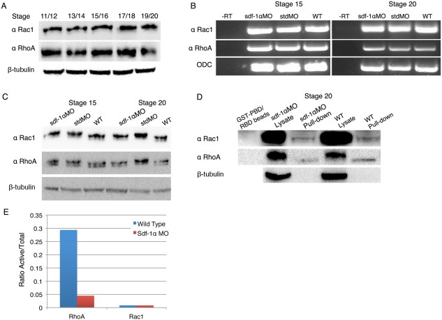
Figure 12. RhoA and Rac1 activation through sdf-1α signaling pathway. A: Western blot analysis reveals the constant presence of Rac1 and RhoA protein between X. laevis stages 11 and 20. β-Tubulin was used as a protein loading control. B: RT-PCR analysis shows that Rac1 and RhoA are expressed in sdf-1α morphants at the same level as in the standard morphants and wild type embryos at stages 15 and 20. ODC was included as a loading control. C: Western blot analysis shows no difference in total Rac1 and RhoA protein levels between sdf-1α morphants and controls (standard morphant and wild type embryos) at stages 15 and 20. β-Tubulin was used as a protein loading control. D: Western blot analysis shows the level of activated RhoA and Rac1 in stage-20 sdf-1α morphant and wild type embryos. β-Tubulin was included as a protein loading control. E: A graph showing the ratio between active and total Rac1 and RhoA proteins at stage 20 in sdf-1α morphants and controls.
Afonin,
Cell behaviors associated with somite segmentation and rotation in Xenopus laevis.
2006, Pubmed,
Xenbase
Afonin,
Cell behaviors associated with somite segmentation and rotation in Xenopus laevis.
2006,
Pubmed
,
Xenbase
Arakawa,
Control of axon elongation via an SDF-1alpha/Rho/mDia pathway in cultured cerebellar granule neurons.
2003,
Pubmed
Bartolomé,
Stromal cell-derived factor-1alpha promotes melanoma cell invasion across basement membranes involving stimulation of membrane-type 1 matrix metalloproteinase and Rho GTPase activities.
2004,
Pubmed
Benard,
Characterization of rac and cdc42 activation in chemoattractant-stimulated human neutrophils using a novel assay for active GTPases.
1999,
Pubmed
Braun,
Xenopus laevis Stromal cell-derived factor 1: conservation of structure and function during vertebrate development.
2002,
Pubmed
,
Xenbase
Cao,
Tissue-specific expression of an Ornithine decarboxylase paralogue, XODC2, in Xenopus laevis.
2001,
Pubmed
,
Xenbase
Carretero-Ortega,
Phosphatidylinositol 3,4,5-triphosphate-dependent Rac exchanger 1 (P-Rex-1), a guanine nucleotide exchange factor for Rac, mediates angiogenic responses to stromal cell-derived factor-1/chemokine stromal cell derived factor-1 (SDF-1/CXCL-12) linked to Rac activation, endothelial cell migration, and in vitro angiogenesis.
2010,
Pubmed
Chockalingam,
Dystrophin-glycoprotein complex and Ras and Rho GTPase signaling are altered in muscle atrophy.
2002,
Pubmed
Danilchick,
Xenopus laevis: Practical uses in cell and molecular biology. Pictorial collage of embryonic stages.
1991,
Pubmed
,
Xenbase
Devoto,
Identification of separate slow and fast muscle precursor cells in vivo, prior to somite formation.
1996,
Pubmed
Fukui,
SDF-1 alpha regulates mesendodermal cell migration during frog gastrulation.
2007,
Pubmed
,
Xenbase
Habas,
Activation of Rho and Rac by Wnt/frizzled signaling.
2006,
Pubmed
,
Xenbase
Habas,
Coactivation of Rac and Rho by Wnt/Frizzled signaling is required for vertebrate gastrulation.
2003,
Pubmed
,
Xenbase
Hamilton,
The formation of somites in Xenopus.
1969,
Pubmed
,
Xenbase
Hemmati-Brivanlou,
Inhibition of activin receptor signaling promotes neuralization in Xenopus.
1994,
Pubmed
,
Xenbase
Henry,
Interactions between muscle fibers and segment boundaries in zebrafish.
2005,
Pubmed
Hidalgo,
In vivo analyzes of dystroglycan function during somitogenesis in Xenopus laevis.
2009,
Pubmed
,
Xenbase
Hollway,
Whole-somite rotation generates muscle progenitor cell compartments in the developing zebrafish embryo.
2007,
Pubmed
Jaffe,
Rho GTPases: biochemistry and biology.
2005,
Pubmed
Keller,
Regional expression, pattern and timing of convergence and extension during gastrulation of Xenopus laevis.
1988,
Pubmed
,
Xenbase
Kim,
The role of paraxial protocadherin in selective adhesion and cell movements of the mesoderm during Xenopus gastrulation.
1998,
Pubmed
,
Xenbase
Kintner,
Monoclonal antibodies identify blastemal cells derived from dedifferentiating limb regeneration.
,
Pubmed
,
Xenbase
Kragtorp,
Integrin alpha5 is required for somite rotation and boundary formation in Xenopus.
2007,
Pubmed
,
Xenbase
Krneta-Stankic,
Temporal and spatial patterning of axial myotome fibers in Xenopus laevis.
2010,
Pubmed
,
Xenbase
Moepps,
Characterization of a Xenopus laevis CXC chemokine receptor 4: implications for hematopoietic cell development in the vertebrate embryo.
2000,
Pubmed
,
Xenbase
Moriyoshi,
Labeling neural cells using adenoviral gene transfer of membrane-targeted GFP.
1996,
Pubmed
Ren,
Regulation of the small GTP-binding protein Rho by cell adhesion and the cytoskeleton.
1999,
Pubmed
Shirozu,
Structure and chromosomal localization of the human stromal cell-derived factor 1 (SDF1) gene.
1995,
Pubmed
,
Xenbase
Snow,
Dynamic formation of microenvironments at the myotendinous junction correlates with muscle fiber morphogenesis in zebrafish.
2009,
Pubmed
Tahinci,
Distinct functions of Rho and Rac are required for convergent extension during Xenopus gastrulation.
2003,
Pubmed
,
Xenbase
Tan,
The Galpha13-Rho signaling axis is required for SDF-1-induced migration through CXCR4.
2006,
Pubmed
Wallingford,
Calcium signaling during convergent extension in Xenopus.
2001,
Pubmed
,
Xenbase
Wedlich,
The distribution of fibronectin and laminin in the somitogenesis of Xenopus laevis.
1989,
Pubmed
,
Xenbase
Wünnenberg-Stapleton,
Involvement of the small GTPases XRhoA and XRnd1 in cell adhesion and head formation in early Xenopus development.
1999,
Pubmed
,
Xenbase
Youn,
Somitogenesis in the amphibian Xenopus laevis: scanning electron microscopic analysis of intrasomitic cellular arrangements during somite rotation.
1981,
Pubmed
,
Xenbase