Click here to close
Hello! We notice that you are using Internet Explorer, which is not supported by Xenbase and may cause the site to display incorrectly.
We suggest using a current version of Chrome,
FireFox, or Safari.
Bin-Nun N
,
Lichtig H
,
Malyarova A
,
Levy M
,
Elias S
,
Frank D
.
???displayArticle.abstract???
Protein tyrosine kinase 7 (PTK7) is a transmembrane protein expressed in the developing Xenopus neural plate. PTK7 regulates vertebrate planar cell polarity (PCP), controlling mesodermal and neural convergent-extension (CE) cell movements, neural crest migration and neural tube closure in vertebrate embryos. Besides CE phenotypes, we now show that PTK7 protein knockdown also inhibits Wnt/β-catenin activity. Canonical Wnt signaling caudalizes the neural plate via direct transcriptional activation of the meis3 TALE-class homeobox gene, which subsequently induces neural CE. PTK7 controls meis3 gene expression to specify posteriortissue and downstream PCP activity. Furthermore, PTK7 morphants phenocopy embryos depleted for Wnt3a, LRP6 and Meis3 proteins. PTK7 protein depletion inhibits embryonic Wnt/β-catenin signaling by strongly reducing LRP6 protein levels. LRP6 protein positively modulates Wnt/β-catenin, but negatively modulates Wnt/PCP activities. The maintenance of high LRP6 protein levels by PTK7 triggers PCP inhibition. PTK7 and LRP6 proteins physically interact, suggesting that PTK7 stabilization of LRP6 protein reciprocally regulates both canonical and noncanonical Wnt activities in the embryo. We suggest a novel role for PTK7 protein as a modulator of LRP6 that negatively regulates Wnt/PCP activity.
Fig. 1. PTK7 protein is required for posterior neural cell fate specification. (A) Left panel: sqRT-PCR to pools of ten early-neurula (st.12) embryos injected with 15 ng Meis3-MO at the one-cell stage. HoxD1 expression inhibition is as a positive control for Meis3-MO activity. His4 controls for RNA levels. A control PCR omitting reverse transcriptase (-RT) was performed on RNA isolated from control embryos in all experiments shown. Right panel: sqRT-PCR to pools of five neurula (st.19) embryos injected with 22 ng Meis3-MO at the one-cell stage. Krox20 expression inhibition is a positive control for Meis3-MO activity. EF1α controls for RNA levels. (B) sqRT-PCR to pools of six early-neurula (st.12.5) embryos injected with 10-20 ng PTK7-MO at the one-cell stage. (C) Left panel: embryos were injected into one blastomere at either the one- or two-cell stage with PTK7-MO (12 or 6 ng, respectively). Four posterior cell-type markers were analyzed by in situ hybridization. Neurula embryos (st.17), viewed dorsally, anterior is on top. Arrows and dashed line mark the dorsal midline; two-cell-stage embryos injected on right side. Krox20 expression (a) is normal in 100% of the control embryos (n=21) and perturbed (b,c) in 78% of the PTK7-morphant embryos (n=46). HoxB3 expression (d) is normal in all of the controls (n=23) and perturbed (e,f) in 98% of the PTK7 morphants (n=46). N-tub expression is normal (g) in all controls (n=23) and perturbed (h,i) in 95% of the morphants (n=44). Snail2 expression is normal (j) in all controls (n=20) and perturbed (k,l) in 87% of the morphants (n=46). Right panel: sqRT-PCR to pools of six neurula (st.19) embryos injected at the one-cell stage with PTK7-MO (10 or 20 ng). (D) Upper panel: sqRT-PCR to pools of eight neurula (st.17) embryos injected at the one-cell stage with PTK7-MO (12 ng) and RNA encoding the human PTK7 protein (100 pg). Lower panel: sqRT-PCR to pools of seven neurula (st.16) embryos injected at the one-cell stage with PTK7-MO (10 ng) and RNA encoding the Meis3 protein (1.1 ng).
Fig. 2. PTK7 protein depletion inhibits canonical Wnt-pathway activation. (A) Embryos were injected at the one-cell stage with PTK7-MO (12 ng) and RNAs encoding Wnt3a (4 pg) or Dvl (1 ng) proteins. AC explants were removed from control and injected embryos at the blastula stage and grown to gastrula st.10.5. Total RNA was isolated from five control and PTK7-MO-injected embryos (lanes 2,3) and 18 ACs from each group (lanes 4-9). Wnt direct-target genes examined by sqRT-PCR: siamois, xnr3 and hoxd1. In embryos, hoxd1 expression inhibition is a positive control for PTK7-MO activity. (B) RNAs encoding Wnt3a (7 pg) and Noggin (7 pg) proteins were injected at the one-cell stage with PTK7-MO (13 ng). ACs removed at the blastula stage were grown to neurula st.16, when total RNA was isolated from five control and injected embryos (lanes 2,3) and 18 explants from each AC group (lanes 4,5). In embryos, reduction in posterior neural marker expression is a positive control for PTK7-MO activity.
Fig. 3. PTK7 protein depletion inhibits LRP6 activity by reducing LRP6 protein levels. (A) Left panel: embryos were injected at the one-cell stage with PTK7-MO (10 ng) and RNA encoding the constitutively activated LRP6δN (170 pg) protein. ACs removed at the blastula stage were grown until gastrula st.10.5, when total RNA was isolated from six control embryos and 27 ACs from each group. Wnt direct-target gene expression was examined by sqRT-PCR. Right panel: embryos were injected at the one-cell stage with PTK7-MO (15 ng) and RNA encoding the full-length VSVG tagged LRP6 (2 ng) protein. ACs removed at the blastula stage were grown to gastrula st.10.5, when total RNA was isolated from six control and injected embryos and 27 AC explants from each group. Wnt direct-target gene expression was examined by sqRT-PCR. (B) Embryos were injected at the one-cell stage with RNA encoding the Wnt3a (5 pg, lanes 8-10) or LRP6δN (100 pg, lanes 11-13) proteins. These embryos were than co-injected with either the PTK7-MO (10 ng, lanes 6,9,12) or RNA encoding the dominant-negative Dvl protein (Xdd1, 0.7 ng, lanes 7,10,13). ACs removed at the blastula stage were grown to gastrula st.10.5, when total RNA was isolated from six control and injected embryos (lanes 2-4) and 18 ACs from each group. Wnt direct-target gene expression was examined by sqRT-PCR. (C) Embryos were injected at the one-cell stage with PTK7-MO (13 ng) and RNA encoding the constitutively activated LRP6δN (200 and 300 pg) protein. ACs removed at the blastula stage were grown to gastrula st.10.5. Total protein was isolated from 27 ACs per group for western analysis. The T1479 antibody recognizes unphosphorylated and phosphorylated forms of LRP6δN. (D) LRP6 induction of Wnt activity is PTK7 dependent. HEK293 cells were transfected with the Topflash-luc reporter, which was activated by co-transfection of LRP6 encoding DNA (0.2 μg). Co-transfection of a neutral Renilla vector serves as an internal control. A PTK7-targeting shRNA used to deplete endogenous PTK7 protein was compared with a nontargeting control shRNA. Increasing amounts of Xenopus PTK7 encoding DNA were transfected as indicated. Data are presented as fold activation; the signal induced by LRP6 is presented as 1. Fold-activation from seven independent experiments is shown.
Fig. 4. PTK7 and LRP6 protein depletion gives identical phenotypes. (A) Embryos were injected at the one-cell stage with PTK7-MO (13 ng) and RNA encoding full-length tagged VSVG-LRP6 (1.5 ng) protein. ACs removed at the blastula stage were grown to gastrula st.10.5. Total protein was isolated from 18 ACs per group for western analysis. The VSVG antibody recognizes ectopically expressed LRP6 protein. (B) Embryos were injected at the one-cell stage with either the PTK7-MO (25 ng) or the LRP6-MO (25 ng). Embryos were grown to gastrula st.10.5. Total protein was isolated from ten embryos per group for western analysis. The Sp1490 antibody recognizes endogenous LRP6 protein. Whereas LRP6 protein levels were reduced, the PTK7-MO did not reduce lrp6 mRNA levels (not shown). (C) Embryos were injected at the one-cell stage with the PTK7-MO (lanes 4,8-10) and RNA encoding the Wnt3a (5 pg, lanes 5,7-10) and full-length VSVG-LRP6 (0.5 ng, lanes 6-10) proteins. These embryos were than co-injected with increasing doses of PTK7-encoding RNA (0.2 ng, 1 ng; lanes 9,10). ACs removed at the blastula stage were grown to gastrula st.10.5, when total RNA was isolated from six control (lane 2) and 18 ACs from each group (lanes 3-10). HoxD1 gene expression was measured by sqRT-PCR. His4 and PTK7 gene expression are controls for loading and injection, respectively. (D) Left panel: sqRT-PCR to pools of six gastrula (st.10.5) embryos (lane 2) injected at the one-cell stage with PTK7-MO (10 ng, lane 3) or LRP6-MO (20 ng, lane 4). Siamois, Xnr3 and HoxD1 expression was compared in the morphants. PTK7 mRNA levels are unaltered by protein knockdown. Center panel: sqRT-PCR to pools of six neurula (st.17) sibling embryos shown in the left panel. Nrp1 (pan-neural marker) and PTK7 mRNA levels are unaltered by protein knockdown. Right panel: Embryos were injected at the one-cell stage with PTK7-MO (10 ng) or LRP6-MO (20 ng). Four posterior neural markers were analyzed by in situ hybridization. Neurula-stage embryos (st.17), viewed dorsally, anterior is on top. Krox20 expression (a) is normal in 100% of the control embryos (n=10), perturbed (b) in 100% of the PTK7-morphant embryos (n=12) and (c) 100% of the LRP6 morphants (n=10). HoxB3 expression (d) is normal in all of the controls (n=10) and perturbed (e) in 100% of the PTK7 morphants (n=11) and (f) 100% of the LRP6 morphants (n=10). N-tub expression is normal (g) in 82% of the controls (n=11), and perturbed (h) in 100% of the PTK7 morphants (n=12) and (i) 100% of the LRP6 morphants (n=10). Snail2 expression is normal (j) in all controls (n=11) and perturbed (k) in 67% all of the PTK7 morphants (n=12) and (l) 100% of the LRP6 morphants (n=12).
Fig. 5. PTK7 inhibits Wnt-PCP activity in Xenopus embryos. (A) PTK7 inhibits excess Wnt-PCP activity to rescue neural folds closure. Embryos were injected animally at the one-cell stage with RNA encoding Wnt5 (250 pg) or Wnt11 (350 pg) (b,c). To rescue neural folding, ptk7 (200 pg) mRNA was co-injected (d,e). Neurula-stage embryos are viewed dorsally (a); anterior is on top. Neural folds closure is increased in the PTK7 co-expressing embryos (d,e) versus the Wnt5- or Wnt11-expressing embryos (b,c). (B) Statistics of the experiment shown in Fig. 5A. Embryos were scored as having a completely open neural plate (yellow), intermediate neural plate folding (purple) or normal folding (blue). In control embryos (CE, n=55), 95% of the embryos had normal neural folds. In Wnt11-expressing embryos (n=41), 20% had normal neural folds and 56% had an open neural plate; by contrast, in the Wnt11/PTK7-expressing embryos (n=33), 67% had normal neural folds, and only 3% had an open neural plate. In Wnt5-expressing embryos (n=39), no embryos had normal neural folds and 87% had an open neural plate; by contrast, in the Wnt5/PTK7-expressing embryos (n=47), 26% had normal neural folds, and only 32% had an open neural plate. This is one representative experiment of three repeats. (C) snail2 expression patterns detect the distance between the neural folds in Wnt5±PTK7 and Wnt11±PTK7 co-expressing embryos. Embryos (a) were injected as described in Fig. 5A. snail2 expression was analyzed at the neurula stage. The arrowheads mark the distance between the inner edges of the neural folds. Note the differences in b versus d (Wnt5±PTK7) and c versus e (Wnt11±PTK7). (D) Embryos at the one-cell stage were injected with 75 pg of the ATF2-luciferase reporter vector and Fz7 (400 pg), in combination with either ptk7 (200 pg) or lrp6 (300 pg) mRNA. The control (ATF2-luc + Fz7) is set as 1. In each experiment a pool of 12 early neurula-stage embryos from each injected group were assayed for luc activity. Luc activity was normalized to protein levels in each group. This graph represents a pool of six independent experiments.
Fig. 6. PTK7 and LRP6 proteins physically interact. (A) LRP6δC deletion constructs. The intracellular amino acid residues for each construct (a-c) are shown. (B) Embryos were separately injected at the one-cell stage with RNA (2 ng) encoding the VSVG-tagged LRP6δC, LRP6δC-M or LRP6δC-S proteins and PTK7-MO (10 ng). Embryos were grown to gastrula st.10. Total protein was isolated from 27 ACs per group for western analysis using the VSVG antibody. (C) Embryos were co-injected at the one-cell stage with RNA (2 ng) encoding VSVG-LRP6 and PTK7-HA proteins. Embryos were grown to early-neurula st.12. Total protein was isolated from 25 embryos per group for IP and western analysis. IP was done by anti-HA antibody (targeting PTK7 protein) on protein A-Sepharose beads. The co-IP proteins were blotted with VSVG and HA antibodies. (D) HEK293 cells were transfected with the PTK7-HA, VSVG-LRP6, VSVG-LRP6δC and LRP6δE1-4-myc expression plasmids (lanes 2-4). Whole-cell extracts were immunoprecipitated by HA antibody (targeting PTK7 protein) on protein G Agarose beads. The co-IP proteins were blotted with VSVG, myc and HA antibodies. Cells transfected with Meis3-HA were an HA-tag control (lane 1). The left panel shows the immunoprecipitated proteins and the right panel shows total protein expression input. (E) HEK293 cells were transfected with the PTK7-HA, VSVG-LRP6 and the VSVG-LRP6δC-S (upper panel) or LRP6δC-M (lower panel) expression plasmids as indicated. Co-IP was performed as described in D. The co-IP proteins were detected by VSVG and HA antibodies. The left and right panel as described in D. (F) HEK293 cells were transfected with the PTK7δK-myc and the LRP6-VSVG expression plasmids. Whole-cell extracts were prepared and immunoprecipitated with the myc antibody, targeting PTK7δK protein. The co-IP proteins were detected by VSVG and myc antibodies. Cells transfected with Meis3-myc are the tag control. The left and right panel as described in D.
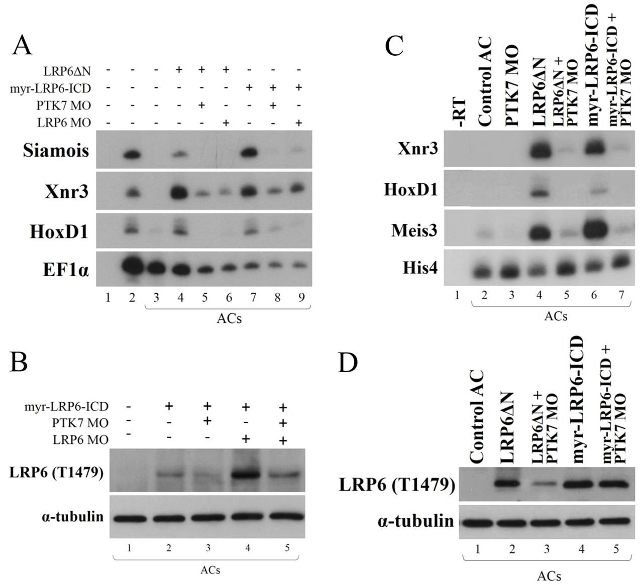
Fig. 7. Constitutively activated LRP6 proteins interact with endogenous LRP6 protein. (A) Embryos were injected at the one-cell stage with RNA encoding LRP6δN (170 pg) or myr-LRP6-ICD (500 pg) proteins (constitutively activated constructs) and the PTK7-MO (10 ng) or LRP6-MO (10 ng). AC explants were removed from control and injected embryos at blastula stage and grown to gastrula st.10.5. Total RNA was isolated from six control embryos and 27 ACs from each group. Wnt direct-target gene expression was examined by sqRT-PCR. (B) Embryos were injected at the one-cell stage with myr-LRP6-ICD mRNA (1 ng) and the PTK7-MO (10 ng), LRP6-MO (20 ng) or both. ACs removed at the blastula stage were grown to gastrula st.10.5. Total protein was isolated from 27 ACs per group for western analysis using the anti-LRP6 T1479 antibody. (C) Embryos were injected at the one-cell stage with RNA encoding LRP6δN (100 pg) or myr-LRP6-ICD (400 pg) proteins and the PTK7-MO (13 ng). ACs were cultured as described, and lysis was performed on 36 pooled explants per AC group for sqRT-PCR. Wnt direct-target gene expression was examined by sqRT-PCR. (D) Duplicate western analysis of the experiment described in C. For western analysis, the T1479 antibody recognizes LRP6δN and myr-LRP6-ICD proteins.