Click here to close
Hello! We notice that you are using Internet Explorer, which is not supported by Xenbase and may cause the site to display incorrectly.
We suggest using a current version of Chrome,
FireFox, or Safari.
PLoS One
2013 Jan 01;89:e73596. doi: 10.1371/journal.pone.0073596.
Show Gene links
Show Anatomy links
Thyrotropin-releasing hormone (TRH) promotes wound re-epithelialisation in frog and human skin.
Meier NT
,
Haslam IS
,
Pattwell DM
,
Zhang GY
,
Emelianov V
,
Paredes R
,
Debus S
,
Augustin M
,
Funk W
,
Amaya E
,
Kloepper JE
,
Hardman MJ
,
Paus R
.
???displayArticle.abstract???
There remains a critical need for new therapeutics that promote wound healing in patients suffering from chronic skin wounds. This is, in part, due to a shortage of simple, physiologically and clinically relevant test systems for investigating candidate agents. The skin of amphibians possesses a remarkable regenerative capacity, which remains insufficiently explored for clinical purposes. Combining comparative biology with a translational medicine approach, we report the development and application of a simple ex vivo frog (Xenopus tropicalis) skin organ culture system that permits exploration of the effects of amphibian skin-derived agents on re-epithelialisation in both frog and human skin. Using this amphibian model, we identify thyrotropin-releasing hormone (TRH) as a novel stimulant of epidermal regeneration. Moving to a complementary human ex vivo wounded skin assay, we demonstrate that the effects of TRH are conserved across the amphibian-mammalian divide: TRH stimulates wound closure and formation of neo-epidermis in organ-cultured human skin, accompanied by increased keratinocyte proliferation and wound healing-associated differentiation (cytokeratin 6 expression). Thus, TRH represents a novel, clinically relevant neuroendocrine wound repair promoter that deserves further exploration. These complementary frog and human skin ex vivo assays encourage a comparative biology approach in future wound healing research so as to facilitate the rapid identification and preclinical testing of novel, evolutionarily conserved, and clinically relevant wound healing promoters.
???displayArticle.pubmedLink???
24023889
???displayArticle.pmcLink???PMC3759422 ???displayArticle.link???PLoS One ???displayArticle.grants???[+]
Figure 2. Frog serum and estrogen promote re-epithelialisation and proliferation in Xenopus tropicalis skin.(A) Representative images of re-epithelialisation sheet in control, 5% frog serum and 100 nM 17β-estradiol (Est)-treated punch wounds at day 7 in culture (scale bars: 0.5 mm). White-hatched lines indicate the leading edge of new epithelial sheets. (B) Representative images of PH3-positive cells in control, 5% frog serum and 100 nM 17β-estradiol-treated punch wounds at day 7 in culture. The white-hatched line demarcates new epithelial tongue. (C) Representative images of TUNEL-positive cells in control, 5% frog serum and 100 nM 17β-estradiol-treated punch wounds at day 7 in culture. The white-hatched line demarcates new epithelial tongue. Scale bars in (B) and (C) are 100 µm. (D) The graph shows the percentage reduction in wound-area of Xenopus tropicalis punch wounds in control, 5% frog serum (FS) and 100 nM 17β-estradiol-treated skin. (E) Percentage of proliferative (PH3-positive) cells present in the new epithelial tongue during re-epithelialisation. (F) Percentage of apoptotic (TUNEL-positive) cells present in the new epithelial tongue during re-epithelialisation. Data are mean ± SEM of 4–5 frogs (2 male and 3 female). Significance relative to control data at the same time-point denoted by *P<0.05, **P<0.01, ***P<0.001.
Figure 3. Xenopus tropicalis wound closure: promotion of re-epithelialisation and proliferation by TRH.(A) Representative images of the re-epithelialisation sheet in control, 10 nM and 10 µM TRH-treated punch wounds at day 7 in culture (scale bars: 0.5 mm). White-hatched lines indicate the leading edge of new epithelial sheets. (B) Representative images of PH3-positive cells in control, 10 nM and 10 µM TRH-treated punch wounds at day 7 in culture. The white-hatched line demarcates new epithelial tongue. (C) Representative images of TUNEL-positive cells in control, 10 nM and 10 µM TRH-treated punch wounds at day 7 in culture. The white-hatched line demarcates new epithelial tongue. Scale bars in (B) and (C) are 100 µm. (D) The graph shows the percentage reduction in wound-area of X. tropicalis punch wounds in control, 10 nM and 10 µM TRH-treated skin. (E) Percentage of proliferative (PH3-positive) cells present in the new epithelial tongue during re-epithelialisation. (F) Percentage of apoptotic (TUNEL-positive) cells present in the new epithelial tongue during re-epithelialisation. Data are mean ± SEM of 16 frogs (8 male and 8 female). Significance relative to control data at the same time-point denoted by *P<0.05, ***P<0.001.
Figure 4. Xenopus tropicalis mitosis: TRH increases epidermal mitosis.(A–C) Representative images of Weigert’s stained X. tropicalis epidermis with black arrows indicating mitotic cells. (D) The graph shows the percentage of mitotic figures identified by Weigert’s staining in the X. tropicalis epidermis. 200 nuclei were analysed per skin section, with 3 sections per animal counted. (E) The graph displays the total number of DAPI+ nuclei in the new epithelial tongues. Data are mean ± SEM of 4 frogs (2 male and 2 female). Significance relative to control data at the same time-point denoted by **P<0.01, ***P<0.001.
Figure 5. Increased re-epithelialisation and proliferation in human skin following 17β-estradiol treatment.(A) Representative H&E stained sections of human skin punch-wounds following 6 days culture with either vehicle control, 100 nM or 1 µM 17β-estradiol (Est). New epithelial tongue indicated by red lines, scale bar represents 50 µm. (B) Representative images of Ki-67-TUNEL double-stained sections of human skin punch wounds following 6 days culture with either vehicle control, 100 nM or 1 µM 17β-estradiol. The white-hatched line demarcates new epithelial tongue. (C) The graph displays length measurements of the new epithelial tongue (as demarcated by the red lines in A) as analysed from H&E stained human skin sections following treatment with vehicle control, 100 nM and 1 µM 17β-estradiol. (D) Percentage of proliferative (Ki67-positive) cells in the new epithelial tongue of vehicle control, 100 nM and 1 µM 17β-estradiol-treated human skin wounds. (E) Percentage of apoptotic (TUNEL-positive) cells in the new epithelial tongue of vehicle control, 100 nM and 1 µM 17β estradiol-treated human skin wounds. Data are mean ± SEM of 4 female donors. Significance relative to control data denoted by *P<0.05, **P<0.01, ***P<0.001.
Figure 6. Cytokeratin 6 and Involucrin expression in human skin punch wounds following 17β-estradiol treatment.Representative images indicating cytokeratin 6 (CK6) expression in control, 100 nM and 1 µM 17β-estradiol (Est)-treated human skin punch wound sections, 6 days post-wounding. The white-hatched line demarcates new epithelial tongue. (B) Representative images indicating involucrin (Inv) expression in control, 100 nM and 1 µM 17β-estradiol-treated human skin punch wound sections, 6 days post-wounding. The white-hatched line demarcates new epithelial tongue. (C) Quantification of CK6 immunoreactivity in the new epithelial tongues indicated (A). (D) Quantification of involucrin immunoreactivity in the new epithelial tongues indicated in (B). Data are mean ± SEM of 4 female donors. Significance relative to control data denoted by **P<0.01.
Figure 7. TRH stimulates re-epithelialisation and enhances proliferation in wounded human skin.(A) Representative H&E stained sections of human skin punch-wounds following 6 days culture with either vehicle control or 10 ng/mL TRH. New epithelial tongues indicated by the white-hatched lines. Scale bars represent 50 µm. (B) Representative images of Ki-67-TUNEL double-stained sections of human skin punch wounds following 6 days culture with either vehicle control or 10 ng/mL TRH. The white-hatched line demarcates new epithelial tongue. (C) The graph displays length measurements of the new epithelial tongue (as demarcated by the white-hatched lines in A) as analysed from H&E stained human skin sections following treatment with vehicle control, 5 ng/mL and 10 ng/mL TRH. (D) Percentage of proliferative (Ki67-positive) cells in the new epithelial tongue of vehicle control, 5 ng/mL and 10 ng/mL TRH-treated human skin wounds. (E) Percentage of apoptotic (TUNEL-positive) cells in the new epithelial tongue of vehicle control, 5 ng/mL and 10 ng/mL TRH-treated human skin wounds. Data are mean ± SEM of 4 female donors. Significance relative to control data at the same time-point denoted by *P<0.05, **P<0.01, ***P<0.001.
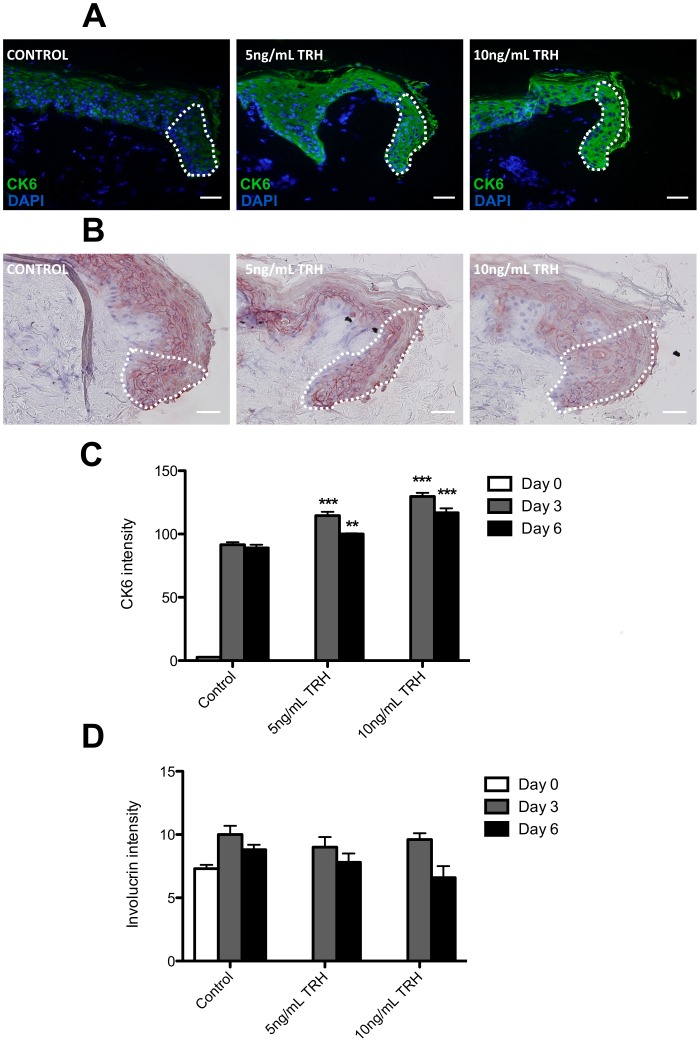
Figure 8. TRH increases cytokeratin 6 but not involucrin expression in human skin punch wounds.(A) Representative images indicated cytokeratin 6 (CK6) expression in control, 5 ng/mL and 10 ng/mL TRH-treated human skin punch wound sections, 6 Days post-wounding. The white-hatched line demarcates new epithelial tongue. (B) Representative images indicating involucrin (Inv) expression in control, 5 ng/mL and 10 ng/mL TRH-treated human skin punch wound sections, 6 Days post-wounding. The white-hatched line demarcates new epithelial tongue. (C) Quantification of involucrin immunoreactivity in the new epithelial tongues indicated in (A). (D) Quantification of CK6 immunoreactivity in the new epithelial tongues indicated in (B). Data are mean ± SEM of 4 female donors. Significance relative to control data at the same time-point denoted by **P<0.01, ***P<0.001.
Alibardi,
Morphological and cellular aspects of tail and limb regeneration in lizards. A model system with implications for tissue regeneration in mammals.
2010, Pubmed
Alibardi,
Morphological and cellular aspects of tail and limb regeneration in lizards. A model system with implications for tissue regeneration in mammals.
2010,
Pubmed
Ansell,
Exploring the "hair growth-wound healing connection": anagen phase promotes wound re-epithelialization.
2011,
Pubmed
Barrientos,
Growth factors and cytokines in wound healing.
2008,
Pubmed
Bennett,
Location and release of TRH and 5-HT from amphibian skin.
1981,
Pubmed
,
Xenbase
Bernard,
Precocious appearance of involucrin and epidermal transglutaminase during differentiation of psoriatic skin.
1986,
Pubmed
Bidaud,
Distribution of the mRNAs encoding the thyrotropin-releasing hormone (TRH) precursor and three TRH receptors in the brain and pituitary of Xenopus laevis: effect of background color adaptation on TRH and TRH receptor gene expression.
2004,
Pubmed
,
Xenbase
Bidaud,
Characterization and functional expression of cDNAs encoding thyrotropin-releasing hormone receptor from Xenopus laevis.
2002,
Pubmed
,
Xenbase
Bodó,
Human female hair follicles are a direct, nonclassical target for thyroid-stimulating hormone.
2009,
Pubmed
Bodó,
Thyroid-stimulating hormone, a novel, locally produced modulator of human epidermal functions, is regulated by thyrotropin-releasing hormone and thyroid hormones.
2010,
Pubmed
Bonomi,
A family with complete resistance to thyrotropin-releasing hormone.
2009,
Pubmed
Campbell,
Wound epidermis formation and function in urodele amphibian limb regeneration.
2008,
Pubmed
Chen,
C/EBPalpha initiates primitive myelopoiesis in pluripotent embryonic cells.
2009,
Pubmed
,
Xenbase
Chiamolera,
Minireview: Thyrotropin-releasing hormone and the thyroid hormone feedback mechanism.
2009,
Pubmed
Cianfarani,
TSH receptor and thyroid-specific gene expression in human skin.
2010,
Pubmed
Costa,
spib is required for primitive myeloid development in Xenopus.
2008,
Pubmed
,
Xenbase
Denefle,
Anti-fibronectin serum inhibits the disorganization of the dermal-epidermal junction in cultured wounded skin.
1989,
Pubmed
Denefle,
Epithelial locomotion and differentiation in frog skin cultures.
1984,
Pubmed
Derby,
Wound healing in tadpole tailfin pieces in vitro.
1978,
Pubmed
Donetti,
Etanercept restores a differentiated keratinocyte phenotype in psoriatic human skin: a morphological study.
2012,
Pubmed
Fonder,
Treating the chronic wound: A practical approach to the care of nonhealing wounds and wound care dressings.
2008,
Pubmed
Galas,
TRH acts as a multifunctional hypophysiotropic factor in vertebrates.
2009,
Pubmed
Gáspár,
Thyrotropin releasing hormone (TRH): a new player in human hair-growth control.
2010,
Pubmed
Gilman,
Wound outcomes: the utility of surface measures.
2004,
Pubmed
Grzanka,
The effect of pimecrolimus on expression of genes associated with skin barrier dysfunction in atopic dermatitis skin lesions.
2012,
Pubmed
Hardman,
Selective estrogen receptor modulators accelerate cutaneous wound healing in ovariectomized female mice.
2008,
Pubmed
Hecker,
Plasma concentrations of estradiol and testosterone, gonadal aromatase activity and ultrastructure of the testis in Xenopus laevis exposed to estradiol or atrazine.
2005,
Pubmed
,
Xenbase
Hellsten,
The genome of the Western clawed frog Xenopus tropicalis.
2010,
Pubmed
,
Xenbase
Humphreys,
Management of mixed arterial and venous leg ulcers.
2007,
Pubmed
Ito,
Interferon-gamma is a potent inducer of catagen-like changes in cultured human anagen hair follicles.
2005,
Pubmed
Jackson,
Thyrotropin-releasing hormone: abundance in the skin of the frog, Rana pipiens.
1977,
Pubmed
Jeffcoate,
Unresolved issues in the management of ulcers of the foot in diabetes.
2008,
Pubmed
Khokha,
Techniques and probes for the study of Xenopus tropicalis development.
2002,
Pubmed
,
Xenbase
Kloepper,
Methods in hair research: how to objectively distinguish between anagen and catagen in human hair follicle organ culture.
2010,
Pubmed
Knuever,
Thyrotropin-releasing hormone controls mitochondrial biology in human epidermis.
2012,
Pubmed
Kratz,
Modeling of wound healing processes in human skin using tissue culture.
1998,
Pubmed
Lau,
Exploring the role of stem cells in cutaneous wound healing.
2009,
Pubmed
Love,
Genome-wide analysis of gene expression during Xenopus tropicalis tadpole tail regeneration.
2011,
Pubmed
,
Xenbase
Lu,
Towards the development of a simplified long-term organ culture method for human scalp skin and its appendages under serum-free conditions.
2007,
Pubmed
Martin,
Wound healing--aiming for perfect skin regeneration.
1997,
Pubmed
Matsuda,
An epidermal signal regulates Lmx-1 expression and dorsal-ventral pattern during Xenopus limb regeneration.
2001,
Pubmed
,
Xenbase
Mazlyzam,
Human serum is an advantageous supplement for human dermal fibroblast expansion: clinical implications for tissue engineering of skin.
2008,
Pubmed
Mecklenburg,
Active hair growth (anagen) is associated with angiogenesis.
2000,
Pubmed
Moll,
Characterization of epidermal wound healing in a human skin organ culture model: acceleration by transplanted keratinocytes.
1998,
Pubmed
Monnickendam,
Amphibian organ culture.
1973,
Pubmed
,
Xenbase
Panuncialman,
The science of wound bed preparation.
2009,
Pubmed
Paus,
Exploring the "thyroid-skin connection": concepts, questions, and clinical relevance.
2010,
Pubmed
Philpott,
Human hair growth in vitro.
1990,
Pubmed
Poeggeler,
Thyrotropin powers human mitochondria.
2010,
Pubmed
Qiu,
Effects of plasma fibronectin on the healing of full-thickness skin wounds in streptozotocin-induced diabetic rats.
2007,
Pubmed
Radice,
The spreading of epithelial cells during wound closure in Xenopus larvae.
1980,
Pubmed
,
Xenbase
Ramot,
A novel control of human keratin expression: cannabinoid receptor 1-mediated signaling down-regulates the expression of keratins K6 and K16 in human keratinocytes in vitro and in situ.
2013,
Pubmed
Rizzo,
The linear excisional wound: an improved model for human ex vivo wound epithelialization studies.
2012,
Pubmed
Rothnagel,
The mouse keratin 6 isoforms are differentially expressed in the hair follicle, footpad, tongue and activated epidermis.
1999,
Pubmed
Rotty,
A wound-induced keratin inhibits Src activity during keratinocyte migration and tissue repair.
2012,
Pubmed
Satoh,
Neurotrophic regulation of epidermal dedifferentiation during wound healing and limb regeneration in the axolotl (Ambystoma mexicanum).
2008,
Pubmed
Shi-Wen,
Regulation and function of connective tissue growth factor/CCN2 in tissue repair, scarring and fibrosis.
2008,
Pubmed
Smiley,
Keratin expression in cultured skin substitutes suggests that the hyperproliferative phenotype observed in vitro is normalized after grafting.
2006,
Pubmed
Soto,
Inositol kinase and its product accelerate wound healing by modulating calcium levels, Rho GTPases, and F-actin assembly.
2013,
Pubmed
,
Xenbase
Stenn,
Controls of hair follicle cycling.
2001,
Pubmed
Stenn,
Epibolin: a protein of human plasma that supports epithelial cell movement.
1981,
Pubmed
Stojadinovic,
Molecular pathogenesis of chronic wounds: the role of beta-catenin and c-myc in the inhibition of epithelialization and wound healing.
2005,
Pubmed
Sumitomo,
Involucrin expression in epithelial tumors of oral and pharyngeal mucosa and skin.
1986,
Pubmed
Sun,
Thyrotropin-releasing hormone receptors -- similarities and differences.
2003,
Pubmed
Uhlenhuth,
CULTIVATION OF THE SKIN EPITHELIUM OF THE ADULT FROG, RANA PIPIENS.
1914,
Pubmed
Vidali,
Hypothalamic-pituitary-thyroid axis hormones stimulate mitochondrial function and biogenesis in human hair follicles.
2014,
Pubmed
Werner,
Regulation of wound healing by growth factors and cytokines.
2003,
Pubmed
Wojcik,
Delayed wound healing in keratin 6a knockout mice.
2000,
Pubmed
Xu,
Application of a partial-thickness human ex vivo skin culture model in cutaneous wound healing study.
2012,
Pubmed
Yannas,
Wound contraction and scar synthesis during development of the amphibian Rana catesbeiana.
1996,
Pubmed
Yoshii,
Wound healing ability of Xenopus laevis embryos. II. Morphological analysis of wound marginal epidermis.
2005,
Pubmed
,
Xenbase
Yoshizato,
Molecular mechanism and evolutional significance of epithelial-mesenchymal interactions in the body- and tail-dependent metamorphic transformation of anuran larval skin.
2007,
Pubmed