Click here to close
Hello! We notice that you are using Internet Explorer, which is not supported by Xenbase and may cause the site to display incorrectly.
We suggest using a current version of Chrome,
FireFox, or Safari.
???displayArticle.abstract??? NDRG1 is a member of the N-myc downstream-regulated gene (NDRG) family and is involved in cellular differentiation, activation of p53, cell cycle arrest, metastasis, and hypoxia. Expression of NDRG1 is repressed by the proto-oncogene, N-myc during mouse development, although the exact functional role of NDRG1 in development remains unknown. Here, we report the characterization of Xenopus laevis NDRG1 (xNDRG1) during X. laevis development. Expression of xNDRG1 transcript was first detected at stage 15, and was localized to the presumptive pronephric anlagen at stage 26 and to pronephros, eye, branchial arches, and tail-bud at stage 32. Overexpression of xNDRG1 results in a reduced pronephros and disorganized somites. Depletion of xNDRG1, using morpholinos, causes failure of pronephros development. These results suggest that xNDRG1 is required for pronephros development in X. laevis.
Fig. 1. Alignment of the xNDRG1 amino acid sequence with mouse NDRG1 (mNDRG1) and human NDRG1 (hNDRG1). The xNDRG1 protein
has 75.9% identity to hNDRG1 and 75.0% identity to mNDRG1. Black boxes represent identical amino acids. The dotted line indicates a tandem
repeat of a homologous sequence comprising 10 amino acids.
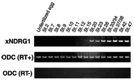
Fig. 2. Temporal expression pattern of xNDRG1 during development
detected by RT-PCR. RNA was extracted from embryos at the stage
indicated over each lane. RT-PCR using an ornithine decarboxylase
(ODC)-specific primer was carried out in parallel to control the
amount of input RNA [ODC (RT+)]. RT-PCR without reverse
transcriptase showed no contamination of genomic DNA [ODC
(RT))].
Fig. 3. Spatial expression pattern of xNDRG1 during development detected by whole-mount in situ hybridization. (A,B) Lateral view of a stage-26
embryo hybridized with xNDRG1 antisense (A) and sense probes (B). (C) Transverse section of the embryo in A. (D,E) Lateral view of a stage-32
embryo hybridized with antisense (D) and sense probes (E). (F) Transverse section of the embryo in D. Insets in A and D indicate higher magnifications
of the pronephric region. The antisense probe hybridized with the presumptive pronephric anlagen (pa) at stage 26 (arrowheads in A and C).
At stage 32, xNDRG1 transcripts were clearly detected in pronephros (pn) (arrowheads in D and F), eye (e), branchial arches (ba), and tail-bud (tb).
A sense xNDRG1 control probe showed no staining (B,E).
Fig. 4. Overexpression of xNDRG1 by injecting myc-xNDRG1 mRNA. Synthesized myc-xNDRG1 mRNA (2 ng) and lacZ mRNA (200 pg) were
hemilaterally co-injected into the lateral marginal zone of 4-cell stage embryos. (A) Embryos stained with X-gal. Blue color shows the localization of
co-injected lacZ (white arrow). (B) Section through the pronephros of injected embryos at stage 45. (C) Higher magnification of B. Notchord (nc),
neural tube (nt), pronephric tubule (pt), pronephric duct (pn), and somite (s) are indicated. (D,E) Uninjected side (D) and injected side (E) of an
embryo stained with pronephric duct-specific antibody 4A6 (arrowhead marks the pronephric ducts). (F,G) Uninjected (F) and injected sides (G) of
an embryo stained with pronephric tubule-specific antibody 3G8 (arrow marks the pronephric tubules). Insets in D–G indicate higher magnification
images of the pronephric region. Co-injected lacZ mRNA was detected by Red-gal staining only at the injected side (E,G).
Fig. 5. Depletion of xNDRG1 by injecting xNDRG1-MO. MO (17 ng) and lacZ mRNA (200 pg) were hemilaterally co-injected into the lateral
marginal zone of 4-cell stage embryos. (A) xNDRG1-MO-injected embryos at stage 45 show disorganization of gut coiling (white arrow). (B,C)
Section through the pronephros of xNDRG1-MO-injected embryos and higher magnification of injected side of B. No pronephric tubule (pt) and
glomus (g) are seen at the injected sides. (D–G) Injections of xNDRG1-MO (E,G) or Cont-MO (D,F). Resulting embryos were stained with 4A6
(D,E) and 3G8 (F,G). Arrowhead and arrow marks the pronephric ducts and the pronephric tubules, respectively. Insets in D–G indicate higher
magnification images of the pronephric region. Co-injected lacZ mRNA was detected by Red-gal staining.