Click here to close
Hello! We notice that you are using Internet Explorer, which is not supported by Xenbase and may cause the site to display incorrectly.
We suggest using a current version of Chrome,
FireFox, or Safari.
???displayArticle.abstract???
We have previously shown that mitogen-activated protein (MAP) kinase activity is required for neural specification in Xenopus. In mammalian cells, the BMP-4 effector Smad1 is inhibited by phosphorylation at MAP kinase sites (Kretzschmar et al., 1997). To test the hypothesis that MAP kinase inhibits the BMP-4/Smad1 pathway during early Xenopus development, we have generated a Smad1 mutant lacking the MAP kinase phosphorylation sites (M4A-Smad1) and compared the effects of wild-type (WT)- and M4A-Smad1 on axial pattern and neural specification in Xenopus embryos. Although overexpression of either WT- or M4A-Smad1 produced ventralized embryos, at each mRNA concentration, M4A-Smad1 had a greater ventralizing effect than WT-Smad1. Interestingly, overexpression of either form of Smad1 in ventral blastomeres disrupted posterior pattern and morphogenesis; again, more severe defects were produced by expression of M4A-Smad1 than by equal amounts of WT-Smad1. Ectodermal expression of M4A-Smad1 disrupted expression of the anterior neural gene otx2 in vivo and inhibited neural specification in response to endogenous signals in mesoderm-ectoderm recombinates. In contrast, overexpression of WT-Smad1 at identical levels had little effect on either neural specification or otx2 expression. Comparisons of protein levels following overexpression of either WT- or M4A-Smad1 indicate that WT-Smad1 may be slightly more stable than M4A-Smad1; thus, differences in stability cannot account for the increased effectiveness of M4A-Smad1. Our results demonstrate that mutations disrupting the MAPK phosphorylation sites act collectively as a gain-of-function mutation in Smad1 and that inhibitory phosphorylation of Smad1 may be a significant mechanism for the regulation of BMP-4/Smad1 signals during Xenopus development.
Fig. 1 Disruption of Smad1 consensus MAP kinase phosphorylation
sites by site-directed mutagenesis. (A) Consensus MAP kinase
phosphorylation sites within the linker domains of Smad
family members. Optimal sites (P-X-S/T-P) are shown in bold;
minimal sites (S/T-P) are underlined. Single sites are found in
the linker domains of Drosophila MAD, as well as vertebrate
Smads 2–4 and 6, although Xenopus and human Smad7 lack
consensus MAP kinase sites within the proline-rich linker region.
Four sites are present in Smads 1 and 5. (Sequences: Drosophila
MAD, Sekelsky et al., 1995; Xenopus Smad1, Thomsen, 1996;
human Smad1, Liu et al., 1996; Xenopus Smad2, Graff et al.,
1996; human Smad2, Lennon et al., 1996; human Smad3, Zhang
et al., 1996; rat Smad4, direct submission, GenBank accession
number AF056002; human Smad5, Riggins et al., 1996; Xenopus
Smad6, Nakayama et al., 1998a; human Smad6, Hata et al., 1998;
Xenopus Smad7, Nakayama et al., 1998b; human Smad7, Hayashi
et al., 1997). (B) Each of the four MAP kinase consensus
phosphorylation sites was altered by conversion of the phosphoacceptor
serine to alanine via two-step site-directed mutagenesis
(see Methods).
Fig. 2 Effects of WT- and M4A-Smad1 on dorso-anterior
development. Embryos were injected in two dorsal blastomeres at
the four-cell stage with either WT- or M4A-Smad1 mRNA.
Embryos were scored for dorso-anterior development using the
modified dorso-anterior index (DAI) scale, by which 5 represents
normal development and 0 represents a completely ventralized
embryo. At all concentrations tested, expression of M4A-Smad1
produces more severe axial defects than does overexpression of
WT-Smad1 (n53 independent experiments).
Fig. 3 Loss of dorsal axial development in embryos expressing
WT- or M4A-Smad1. Embryos were injected equatorially in
two dorsal blastomeres at the four-cell stage with 1 ng mRNA
encoding WT- or M4A-Smad1. When controls reached tailbud
stages, embryos were fixed and immunostained with the 12/101
antibody. (A) Uninjected control showing labeled somites.
(B) Embryos expressing WT-Smad1. In nearly all cases,
small amounts of somitic tissue are present (arrows), even in the
most ventralized embryos. (C) Embryos expressing M4ASmad1.
12/101 immunoreactivity is rarely detected in embryos
ventralized by overexpression of M4A-Smad1 (n54 independent
experiments).
Fig. 4 Ventral defects in embryos expressing WT- or M4A-Smad1.
Embryos were injected in the equatorial region of two ventral
blastomeres at the four-cell stage with 1 ng mRNA encoding WTor
M4A-Smad1. At tailbud stages, embryos were fixed and
immunostained with the Tor70 antibody. Ventral and posterior
abnormalities are more severe in embryos expressing M4ASmad1
than in those expressing exogenous WT-Smad1. (A)
Uninjected control embryo; (B) embryos overexpressing WTSmad1;
(C) embryos expressing M4A-Smad1 (n54 independent
experiments).
Fig. 5 Otx2 expression in embryos overexpressing WT- or M4ASmad1.
Embryos were injected with 250 pg/embryo in two cells at
the four-cell stage with either WT- or M4A-Smad1. Injected
embryos were fixed at st. 21 and hybridized in situ to detect otx2
expression. Embryos overexpressing WT-Smad1 show two domains
of strong expression across the anterior neural folds (A). In sibling
embryos overexpressing M4A-Smad1, otx2 expression in both
domains is greatly reduced, and the two stripes that constitute the
more dorsal domain are narrowed (B). In addition, neural tube
closure is inhibited or delayed in embryos expressing M4A-Smad1.
Fig. 6 Stability of WT- or M4A-Smad1 proteins in animal caps. (A)
Embryos were injected with 1 ng mRNA encoding myc-tagged WTor
M4A-Smad1. Animal caps were isolated at late blastula and
collected for immunoblots at intervals between late gastrula (st.
12.5) and early tailbud stages. The myc-tagged proteins are easily
detected, indicating that both proteins are translated well in vivo.
The WT-Smad1 protein, however, accumulates at earlier stages,
and persists at high levels longer than does the M4A-Smad1
protein. This effect was consistent across all experiments and
multiple preparations of synthetic mRNA (n56 experiments). (B)
Linearity of immunoblot detection. Embryos were injected with 1
ng mRNA encoding myc-tagged WT-Smad1 mRNA. Animal
caps were isolated at the late blastula stage and lysed when
controls reached st. 10.5. A 2-fold serial dilution was prepared
from the lysate, and the dilution series was processed for
immunoblotting. Band intensities were quantified and compared
with predicted values. A representative experiment and quantification
are shown.
Fig. 7 Overexpression of moderate levels of WT- or M4A-Smad1 in
animal caps does not lead to mesoderm formation. Embryos were
injected with 500 pg mRNA. Animal caps were isolated at midblastula
and collected for RT-PCR at mid-neurula. Ectoderm
expressing either WT-Smad1 or M4A-Smad1 shows expression of
epidermal keratin. These tissues do not express the mesoderm specific
gene Xbra or the posterior gene HoxB9.
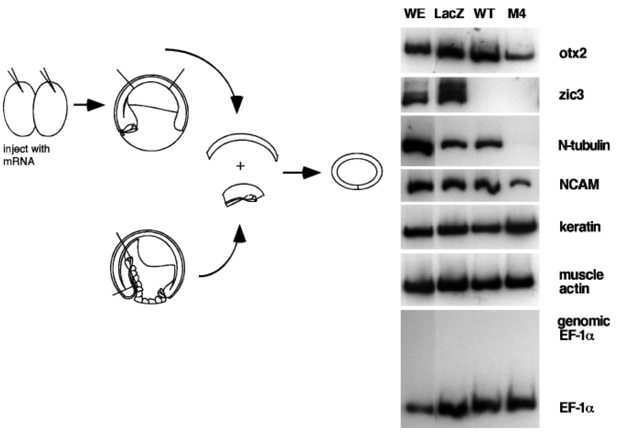
Fig. 8 Overexpression of M4A-Smad1 antagonizes neural specification
in response to endogenous signals. (A) Embryos were
microinjected with 500 pg/embryo of either WT-Smad1, M4ASmad1,
or LacZ mRNA. Ectoderm from injected embryos was
isolated at st. 10 and recombined with involuted dorsal mesoderm
from mid-gastrula embryos. Recombinates were cultured until
controls reached mid-neurula stages (15â16) and were harvested for
RT-PCR. (B) Although otx2, NCAM, and N-tubulin are strongly
expressed in recombinates of ectoderm expressing LacZ or WTSmad1,
both otx2 and NCAM levels are reduced, and N-tubulin is
not detected, in recombinates expressing M4A-Smad1 (n58
experiments). we, whole embryo (lane 1); Lac, recombinates of
LacZ-expressing ectoderm (lane 2); mes, dorsal mesoderm only
(lane 3); WT, recombinates of ectoderm overexpressing WT-Smad1
(lane 4); M4, recombinates of ectoderm expressing M4A-Smad1
(lane 5).