|
Fig. 1. Maternal Dnd1 is vegetally localized and required for axis specification. (A) Western blot showing vegetal localization of endogenous maternal Dnd1 protein. Manually bisected animal and vegetal halves of oocytes were analyzed by immunoprecipitation/western blotting. Each group contains 50 animal or vegetal halves. β-tubulin served as the loading control. (B) Immunofluorescence showing colocalization of Dnd1 and Nanos1 in the germ plasm at the vegetal pole at the eight-cell stage (indicated by arrowheads). (C) Dnd1 knockdown efficiency. Oocytes were injected with the AS-oligo against dnd1, cultured for 24 hours, and treated with progesterone to induce germinal vesicle breakdown (GVBD). Uninjected controls and injected oocytes were harvested at 24 hours or 40 hours (after GVBD) after microinjection of the AS-oligo, and analyzed by immunoprecipitation/western blotting. Each group contains 50 oocytes or eggs. β-tubulin served as the loading control. (D,E) Morphology of uninjected controls (D; note rare examples of class II) and AS-oligo-injected host-transfer embryos (E) at the tadpole stage. (F) Summary of the phenotypes of control and AS-oligo-injected host-transfer embryos. (G,H) Cross-section of uninjected (G) and AS-oligo-injected (H) host-transfer embryos at the tadpole stage. H represents the most severe ventralization phenotype. (I) RT-PCR results showing effects of Dnd1 knockdown on the expression of NCAM, type II collagen (col II), muscle actin (m-actin), epidermal keratin (e-keratin), alas and α-globin at stage 20. (J) Real-time RT-PCR showing the expression of Wnt target genes (Xnr3 and siamois), organizer-specific genes (noggin and chordin), and ventral markers (msx1, sizzled, vent1 and vent2), and dnd1 in control and AS-oligo-injected host-transfer embryos (stage 10). All samples were normalized to odc levels. (K) Whole-mount in situ hybridization showing the expression of chordin and vent2 in control and AS-oligo-injected host-transfer embryos at stage 10.5. Arrows point to the dorsalmost region of control embryos, a region positive for chordin expression, but negative for vent2 expression.
|
|
Fig. 2. Specificity of Dnd1 knockdown. (A) Morphology of uninjected control (brown), AS-oligo-injected (blue), and AS-oligo- and tropicalis dnd1-injected (red) embryos at stage 25. (B) Summary of experiments shown in A. (C) RT-PCR results showing the expression of noggin, chordin, Xnr3, siamois and dnd1 in control, AS-oligo-injected, and AS-oligo- and tropicalis dnd1-injected (rescued) embryos at stage 10.5.
|
|
Fig. 3. Maternal Dnd1 is required for the initiation of maternal Wnt signaling during axis specification. (A) TOP-Flash luciferase assay measuring maternal Wnt signaling activities in control and Dnd1-depleted embryos (two embryos each group). Host-transfer embryos were injected with a mixture of TOP-Flash and pRL-SV40 and harvested at stage 9.5. Firefly luciferase activity was normalized to that of Renilla luciferase. (B) RT-PCR showing that overexpression of VP16-tcf3 (10 pg), β-catenin (100 pg) and wnt8 (5 pg) rescued the expression of noggin, chordin, Xnr3 and siamois in Dnd1-depleted embryos at stage 10.5. VP16-tcf3, β-catenin and wnt8 were injected at the four-cell stage into the marginal zone of two blastomeres of Dnd1 knockdown embryos. (C) Depletion of maternal Dnd1 impaired polyadenylation of wnt11. Total RNAs were reverse transcribed with oligo dT (left) and random hexamers (dN6, right). RT-PCR was performed to measure the expression of wnt11, vg1, Bicaudal-c, dnd1 and emi1. (D) Morphology of control (brown, top), AS-oligo-injected (red, lower left), and AS-oligo- and wnt11-injected (50 pg) (blue, lower right) embryos. (E) Summary of the phenotypes observed in the Wnt11 rescue experiments. (F) RT-PCR results showing that overexpression of Wnt11 rescued the expression of noggin, chordin, Xnr3 and siamois in Dnd1 knockdown embryos at stage 10.5.
|
|
Fig. 4. Maternal Dnd1 is required for vegetal cortical microtubule assembly. (A,B) Confocal images showing the formation of vegetal cortical microtubules in fertilized eggs (A, 55 minutes post-fertilization; top and bottom figures) and in artificially activated eggs (B, 40 minutes post-needle pricking). Fixed eggs were bisected and the vegetal halves were stained with an anti-Tubulin antibody. Formation of vegetal cortical microtubules was severely disrupted in all Dnd1 knockdown fertilized eggs. In 27% of Dnd1 knockdown fertilized eggs (A, lower middle), a few microtubules were detected (indicated by arrows). Also note that at 40 minutes post-needle pricking, disordered microtubules just begin to polymerize into the vegetal cortex of activated eggs (supplementary material Fig. S4).
|
|
Fig. 5. Dorsal determinants remain intact in dnd1-depleted embryos. (A) Morphology of uninjected control embryos (top), dnd1-depleted embryos (AS-oligo, lower left), and dnd1-depleted embryos that were tipped 90 degrees relative to the animal-vegetal axis during the first embryonic cell cycle (lower right). (B) Summary of the phenotypes of the tipping experiment. (C) RT-PCR showing that tipping dnd1-depleted embryos during the first embryonic cell cycle rescued the expression of noggin, chordin, Xnr3 and siamois in Dnd1 knockdown embryos at stage 10.5.
|
|
Fig. 6. The RNA-binding activity of Dnd1 is required for its function during vegetal cortical microtubule assembly in activated eggs and dorsal development in fertilized eggs. (A) Confocal images showing the formation of vegetal cortical microtubules in uninjected control (upper/left), AS-oligo-injected (upper/right), AS-oligo- and dnd1-injected (lower/left), and AS-oligo- and Y125C-injected (lower/right) eggs (40 minutes post-needle-pricking). Fixed eggs were bisected and the vegetal halves were stained with an anti-Tubulin antibody. (B) RT-PCR showing that overexpression of the wild-type dnd1, but not Y125C, rescued the expression of noggin, chordin, Xnr3 and siamois in Dnd1 knockdown embryos (stage 10.5).
|
|
Fig. 7. Dnd1 binds trim36 directly and anchors trim36 to the vegetal cortex. (A) Schematic of trim36 deletion constructs used in the in vitro pull-down assay. (B) Coomassie Blue staining showing purified GST-Dnd1 protein used in the pull-down assay. (C-E) Real-time RT-PCR showing the ratio between RNAs associated with GST-Dnd1 protein and 5% of RNA input. (C) GST-Dnd1 efficiently pulled down trim36, but not GFP or wnt11. (D) Mutation of the URS in trim36 reduced the binding of trim36 by GST-Dnd1. (E) Fusing the 3â²-UTR of trim36 to GFP increased the binding of GST-Dnd1 to GFP RNA. (F) RT-PCR showing that knockdown of Dnd1 had no effect on the level of trim36 mRNA in eggs. (G) In situ hybridization showing that trim36 is no longer localized to the vegetal cortex in dnd1-depleted eggs. (H) Immunohistochemistry showing that knockdown of Dnd1 interfered with the accumulation of Trim36 protein in the vegetal cortex of eggs. Inserts at lower magnification show whole eggs. (I) Immunoprecipitation/western blotting showing that the level of Trim36 protein remained unchanged in Dnd1 depleted eggs. Protein lysates from 50 oocytes or eggs were incubated first with an anti-Trim36 antibody to immunoprecipitate Trim36. Supernatants were then incubated with an anti-Dnd1 antibody to pull down Dnd1. (J) Model of Dnd1 function at the vegetal pole. Dnd1 anchors trim36 within the vegetal cortex resulting in localized translation and vegetal accumulation of Trim36. Trim36 promotes vegetal microtubular array formation required to move and thus activate the dorsal determinants. Without Dnd1, trim36 localization is disrupted, Trim36 protein is diluted, microtubular arrays do not form; dorsal determinants remain inactive at the vegetal pole.
|
|
Fig. S1. Selection of antisense oligos for depletion of maternal dnd1. RT-PCR showing the effects of AS-oligos (10 ng) injection on the stability of endogenous dnd1 mRNA in oocytes.
|
|
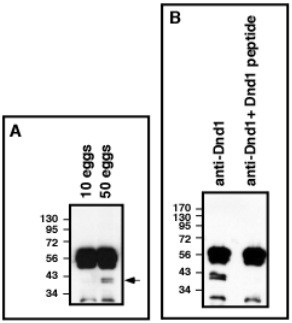
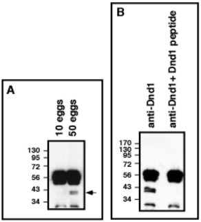
Fig. S2. Specificity of anti-Dnd1 antibody. (A) Western blot showing detection of the endogenous Dnd1 by the affinity-purified anti-Dnd1 antibody. Endogenous Dnd1 was enriched by immunoprecipitation from 10 and 50 eggs, respectively. Immunoprecipitation samples were separated on 10% SDS-PAGE and probed with the anti-Dnd1 antibody. (B) Western blot showing that endogenous Dnd1 was detected by anti-Dnd1 antibody, but not by the antibody that had been pre-absorbed with the Dnd1 peptide.
|
|
Fig. S3. Microtubule formation. Confocal images showing microtubule formation in control (A-D) and Dnd1 depleted (E-H) embryos. Embryos were harvested at 40 minutes post-fertilization. B-D and F-H are higher magnification views of the boxed areas in A and E, respectively.
|
|
Fig. S4. Vegetal cortical microtubule dynamics in artificially activated eggs. Oocytes were treated with progesterone to induce maturation. After GVBD, eggs were pricked with a glass needle. Activated eggs were harvested at 30 (A), 40 (B), 50 (C), 60 (D), 70 (E) and 80 (F) minutes post-pricking, and stained with an anti-Tubulin antibodies. The formation of vegetal cortical microtubules was assessed by confocal microscopy.
|
|
Fig. S5. Effects of Dnd1 overexpression. (A) Confocal images showing the formation of vegetal cortical microtubules in control and dnd1 (500 pg) overexpressed host-transfer embryos (45 minutes post-fertilization). (B) Effect of Dnd1 overexpression on wnt11 polyadenylation. Total RNA from control and Dnd1 overexpressed embryos (eight-cell stage) was reverse transcribed with oligo dT (left) and random hexamers (dN6, right). Oligo dT- and random-primed cDNAs were used as templates for PCR with wnt11 and Emi1 primers. (C) RT-PCR showing that overexpression of dnd1 (500 pg) had no detectable effect on the expression of dorsal genes. dnd1 RNA was injected into oocytes, allowed to translate and these oocytes were used for host transfer. Resulting embryos were harvested at stage 10.5 and analyzed for expression of noggin, chordin, Xnr3,siamois and sizzled. (D) Morphology of control (blue) and Dnd1-overexpressed host-transfer embryos (red).
|
|
Fig. S6. Knockdown of maternal Dnd1 had no effect on vegetal localization of wnt11 or VegT. (A-D) Whole-mount in situ hybridization showing the expression of wnt11 (A,B) and VegT (C,D) in control (A,C) and AS-oligo injected (B,D) eggs. A and B are vegetal views. C and D are lateral views.
|