Click here to close
Hello! We notice that you are using Internet Explorer, which is not supported by Xenbase and may cause the site to display incorrectly.
We suggest using a current version of Chrome,
FireFox, or Safari.
Gen Comp Endocrinol
2013 May 01;185:44-56. doi: 10.1016/j.ygcen.2013.01.015.
Show Gene links
Show Anatomy links
Urotensin II receptor (UTR) exists in hyaline chondrocytes: a study of peripheral distribution of UTR in the African clawed frog, Xenopus laevis.
Konno N
,
Fujii Y
,
Imae H
,
Kaiya H
,
Mukuda T
,
Miyazato M
,
Matsuda K
,
Uchiyama M
.
???displayArticle.abstract???
Urotensin II (UII) and UII-related peptide (URP) exhibit diverse physiological actions including vasoconstriction, locomotor activity, osmoregulation, and immune response through UII receptor (UTR), which is expressed in the central nervous system and peripheral tissues of fish and mammals. In amphibians, only UII has been identified. As the first step toward elucidating the actions of UII and URP in amphibians, we cloned and characterized URP and UTR from the African clawed frog Xenopus laevis. Functional analysis showed that treatment of UII or URP with Chinese hamster ovary cells transfected with the cloned receptor increased the intracellular calcium concentration in a concentration-dependent manner, whereas the administration of the UTR antagonist urantide inhibited UII- or URP-induced Ca(2+) mobilization. An immunohistochemical study showed that UTR was expressed in the splenocytes and leukocytes isolated from peripheral blood, suggesting that UII and URP are involved in the regulation of the immune system. UTR was also localized in the apical membrane of the distal tubule of the kidney and in the transitional epithelial cells of the urinary bladder. This result supports the view that the UII/URP-UTR system plays an important role in osmoregulation of amphibians. Interestingly, immunopositive labeling for UTR was first detected in the chondrocytes of various hyaline cartilages (the lungsepta, interphalangeal joint and sternum). The expression of UTR was also observed in the costal cartilage, tracheal cartilages, and xiphoid process of the rat. These novel findings probably suggest that UII and URP mediate the formation of the cartilaginous matrix.
Fig. 1. Amino acid sequences of URP precursor of human, rat, Xenopus and medaka. Asterisks indicate identical amino acid residues. Mature peptides are indicated by black boxes. Amino acid sequences indicated in this figure are available in the DDBJ/EMBL/GenBank databases: human URP (AB116021), rat URP (AB116019), Xenopus URP (BAM38211), medaka URP (JQ654446).
Fig. 2. The deduced amino acid sequence of UTR identified in Xenopus laevis. A The deduced amino acid sequence was aligned with those of rat UTR (GenBank accession No. U32673) and killifish UTR (GenBank accession No. HQ634242) using the ClustalW algorithm (asterisks identical amino acid residues, open box predicted transmembrane regions, black box polypeptide sequence used as the antigen to generate antibody, hash D/ERY motif, open circle NPxxY motif, black triangle N-glycosylation sites). B Kyte-Doolittle hydropathy profile of the deduced Xenopus UTR amino acid sequence predicts the presence of 7 putative transmembrane regions.
Fig. 3. Doseâresponse relationship of the UII- or URP-mediated calcium mobilization in CHO cells expressed Xenopus UTR. The CHO cells transfected with Xenopus UTR were incubated with different doses (0.1â1000 nmol lâ1) of Xenopus UII or human UII or URP. The transfected cells were loaded with Fluo-4 Ca2+-sensitive dye and were then stimulated with different doses of ligands. The fluorescent intensities for Ca2+ mobilization were determined using FLIPR (A). The cells pretreated with UTR antagonist (urantide) were stimulated with the indicated doses of ligands (B and C). The data are the means of duplicate wells.
Fig. 4. Tissue distribution of Xenopus UII, URP, and UTR mRNAs by RT-PCR. Tissue expression of UII, URP, and UTR mRNAs in the premetamorphic tadpole (stage 53) (A), in adult specimen (B), and in its various brain regions (C). As shown in drawing (D), the CNS was divided to 6 parts. Abbreviations: Die, diencephalon; Mes, mesencephalon; Pit, pituitary; Rho, rhombencephalon; Sc, spinal cord; Tel, telencephalon.
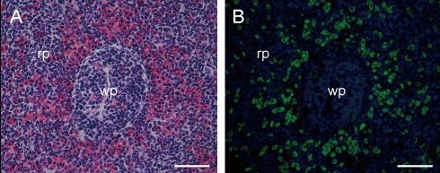
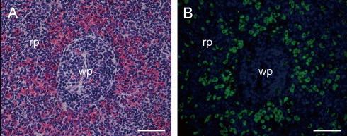
Fig. 5. Expression of Xenopus UTR in the spleen. A Section of Xenopus spleen stained with hematoxylin and eosin. Surrounding white pulp (wp) is the red pulp (rp) containing eosinophilic cells (likely macrophages). B In the adjacent section, immunolabeling for Xenopus UTR (green) overlapped with the localization of eosinophilic cells. Cell nuclei (blue) stained with DAPI. Scale bars, 100 μm. (For interpretation of the references to color in this figure legend, the reader is referred to the web version of this article.)
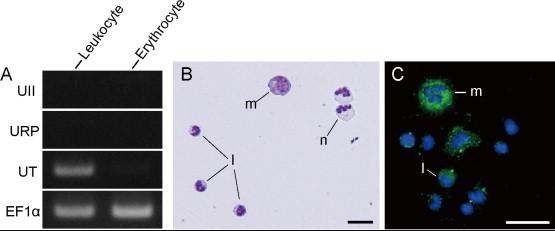
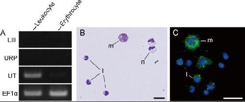
Fig. 6. Expression of Xenopus UTR in the leukocytes. A Expression of UII, URP, and UTR mRNAs in leukocytes and erythrocytes isolated from Xenopus peripheral blood. B Xenopus leukocytes smear stained with MayâGrunwaldâGiemsa. Monocyte (m), lymphocyte (l), and neutrophil (n) are easily distinguishable on the basis of these size, mono- or multi-nuclear, and cell shape. C Immunolabeling for UTR (green) was detected in the monocytes and some lymphocytes. Cell nuclei (blue) stained with DAPI. Scale bars, 20 μm. (For interpretation of the references to color in this figure legend, the reader is referred to the web version of this article.)
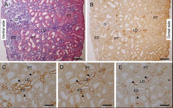
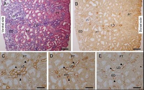
Fig. 7. Immunohistochemical localization of Xenopus UTR in the kidney. A Longitudinal section of Xenopus kidney stained with hematoxylin and eosin. B In serial section of A, immunolabeling (brown) for UTR was observed in the apical membrane and subapical cytoplasm of the late distal tubules (LD) located in the middle zone of the kidney. C-E Immunolabeling for Na+/K+-ATPase (C, brown) was observed in the basolateral membrane domains of epithelial cells in the early distal tubules (ED), but not in the late distal tubule (arrowheads) where UTR expresses (D). Immunolabeling for vacuolar type H+-ATPase (E, brown) was present in the apical membrane domains of the intercalated cells along the late distal tubules to the collecting tubule. Abbreviations: ED, early distal tubule; G, glomerulus; LD, late distal tubule; PT, proximal tubule. Scale bars, 100 μm (A, B) and 50 μm (CâE). (For interpretation of the references to color in this figure legend, the reader is referred to the web version of this article.)
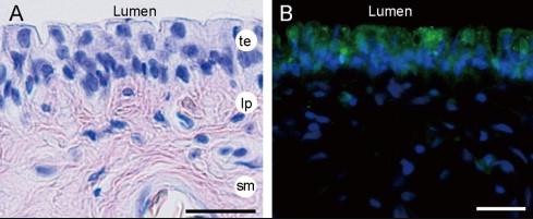
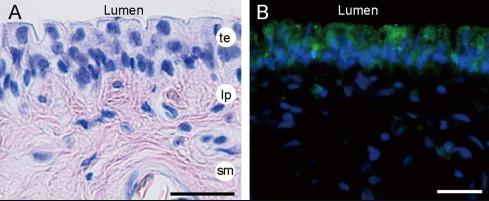
Fig. 8. Immunofluorescent localization of Xenopus UTR in the urinary bladder. A Section of stretched frog urinary bladder stained with hematoxylin and eosin. Urinary bladder consists of the transitional epithelium (te), lamina propria (lp), and smooth muscle layers (sm). B Immunofluorescent labeling for the UTR (green) was observed in the apical surface of the transitional epithelium. Cell nuclei (blue) stained with DAPI. Scale bars, 25 μm. (For interpretation of the references to color in this figure legend, the reader is referred to the web version of this article.)
Fig. 9. Immunohistochemical localization of Xenopus UTR in the lung. A Horizontal section of the lung showing the internal architecture stained with alcian blue. The lungsepta (s) which is protruding into lumen (l), is composed of columnar hyaline cartilage stained with alcian blue and an axis composed of smooth muscle. B Magnification of the lungsepta. Numerous chondrocytes (arrowhead) stained with alcian blue are dispersed in the lungsepta. CâD Immunolabeling for Xenopus UTR (green) was detected in the chondrocytes of the lungsepta. Cell nuclei (blue) stained with DAPI. Scale bars, 300 μm (A) and 50 μm (BâD). (For interpretation of the references to color in this figure legend, the reader is referred to the web version of this article.)
Fig. 10. Immunofluorescent localization of Xenopus UTR in the interphalangeal joint and sternum of young frog. A and D Transparent specimens of Xenopus laevis stained with alcian blue (staining for cartilage) and alizarin red (staining for bone). B A horizontal section of the interphalangeal joint stained with alcian blue. C Immunolabeling for Xenopus UTR (green) in the serial section of B was detected in the developing chondrocytes located near the interphalangeal joint. Arrowhead represents an articular surface. E A cross section of the sternum stained with alcian blue. F The chondrocytes immunostained for Xenopus UTR (green) were dispersed throughout the cartilage matrix. Scale bars, 100 μm (B, C) and 200 μm (E, F). (For interpretation of the references to color in this figure legend, the reader is referred to the web version of this article.)
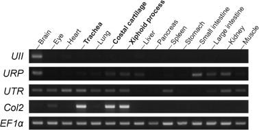
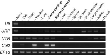
Fig. 11. Expression of rat UII, URP, and UTR mRNAs in various tissues including cartilages by RT-PCR. Rat UTR mRNA was expressed in the trachea, costal cartilage and xiphoid process, which characterized by the expression of type 2 collagen (Col2) known as a specific marker of hyaline cartilage.
Fig. 12. Immunofluorescent localization of rat UTR in the costal cartilage and xiphoid process. AâD A sagittal section of the costal cartilage stained with alcian blue (A, C). Immunolabeling for rat UTR (green) was detected in the hyaline chondrocytes (B, D). EâH A cross section of the xiphoid process stained with alcian blue (E, G). The chondrocytes immunostained for rat UTR (green) were dispersed throughout the cartilage matrix (F, H). Scale bars, 200 μm (A, B) and 50 μm (CâH). (For interpretation of the references to color in this figure legend, the reader is referred to the web version of this article.)
Supplementary Fig. 1. Immunoblot analysis of Xenopus UT receptor protein using a specific antibody. A Single immunoreactive band at about 54-kDa was recognized by the affinity-purified Xenopus UT receptor antibody in extracts of the brain, lung, kidney, and leukocyte except for the liver and erythrocyte as negative control tissues. B The immunoreactive band was abolished by preabsorption with an excess of synthetic immunogen.