Click here to close
Hello! We notice that you are using Internet Explorer, which is not supported by Xenbase and may cause the site to display incorrectly.
We suggest using a current version of Chrome,
FireFox, or Safari.
Biol Open
2012 Aug 15;18:731-8. doi: 10.1242/bio.2012968.
Show Gene links
Show Anatomy links
The endocytic adapter E-Syt2 recruits the p21 GTPase activated kinase PAK1 to mediate actin dynamics and FGF signalling.
Jean S
,
Tremblay MG
,
Herdman C
,
Guillou F
,
Moss T
.
???displayArticle.abstract??? Fibroblast growth factor (FGF) signalling plays an essential role in early vertebrate development. However, the response to FGF requires endocytosis of the activated FGF receptor (FGFR) that is in part dependent on remodelling of the actin cytoskeleton. Recently we showed that the extended synaptotagmin family plasma membrane protein, E-Syt2, is an essential endocytic adapter for FGFR1. Here we show E-Syt2 is also an interaction partner for the p21-GTPase Activated Kinase PAK1. The phospholipid binding C2C domain of E-Syt2 specifically binds a site adjacent to the CRIB/GBD of PAK1. PAK1 and E-Syt2 selectively complex with FGFR1 and functionally cooperate in the FGF signalling. E-Syt2 binding suppresses actin polymerization and inhibits the activation of PAK1 by the GTPases Cdc42 and Rac. Interestingly, the E-Syt2 binding site on PAK1 extensively overlaps a site recently suggested to bind phospholipids. Our data suggest that PAK1 interacts with phospholipid membrane domains via E-Syt2, where it may cooperate in the E-Syt2-dependent endocytosis of activated FGFR1 by modulating cortical actin stability.
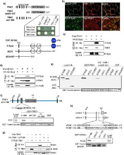
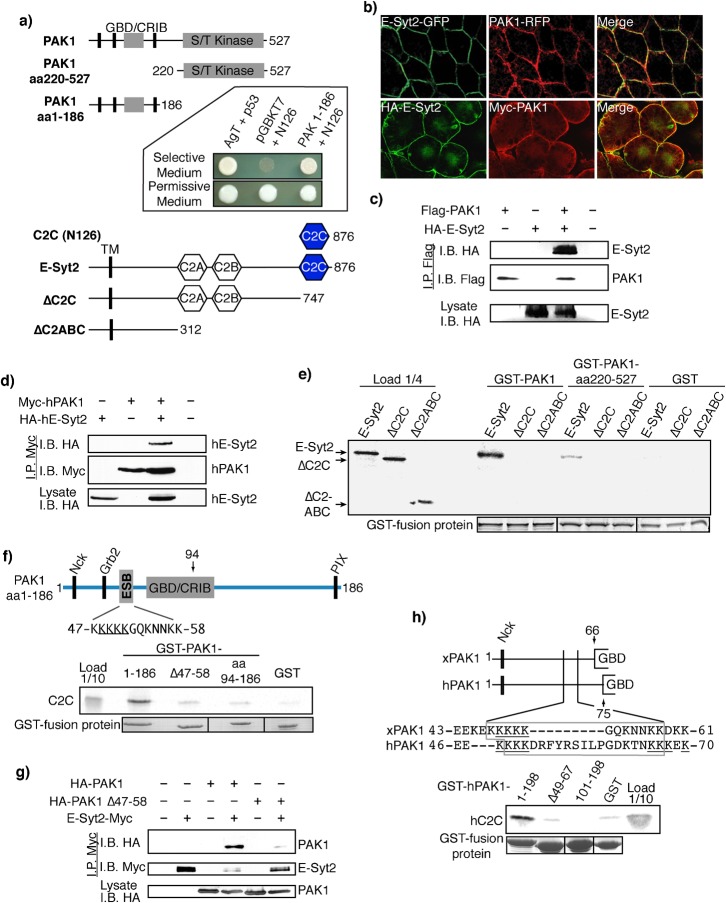
Fig. 1. E-Syt2 and PAK1 interact and co-localize.a) Schematic of PAK1, E-Syt2 and mutant constructs. Inset shows two-hybrid retransformation of the N126 isolate with Xenopus PAK a.a. 1–186 or the empty vector (pGBKT7). The SV40 T antigen (AgT) and p53 vectors (Clontech) provide a positive control. b) Fluorescent E-Syt2-GFP and PAK1-RFP fusion or the corresponding epitope tagged proteins were expressed in Xenopus animal caps and visualized respectively by direct or indirect epifluorescence. Upper panel shows images taken from the outer surface of the animal pole cortex, and lower panel from the inner surface. c) HA-E-Syt2 and/or Flag-PAK1 were expressed in HEK293T cells and Flag co-immunoprecipitated (I.P.) complexes were immunoblotted (I.B.) with HA and Flag antibodies. d) As in (c) but human PAK1 (Myc-hPAK1) and human E-Syt2 (HA-hE-Syt2) replaced the Xenopus forms. e) Pull-down assays of the interactions between full length PAK1 (GST-PAK1), its kinase domain (GST-PAK1 a.a.220–527) or GST and in vitro translated E-Syt2, or E-Syt2 deletion mutants (see (a)). f) Pull-down assays as in (e) between the in vitro translated C2C domain of E-Syt2 and the N-terminal regulatory domain (a.a. 1–186) or corresponding deletion mutants lacking a.a. 47–58 (Δ47–58) or a.a. 1 to 93 (a.a. 94–186) of PAK1. g) E-Syt2-Myc and HA-PAK1 or the E-Syt2 Box (ESB) HA-PAK1 deletion mutant (Δ47–58) were expressed in HEK293T cells and Myc co-immunoprecipitated (I.P.) complexes were immunoblotted (I.B.) with HA and Myc antibodies. h) Pull-down assays as in (f), but using the C2C domain of human E-Syt2 (hC2C) and human PAK1 (hPAK1) N-terminal regulatory domain a.a. 1–198 or corresponding deletion mutants lacking a.a. 49–67 (Δ49–67) and a.a. 1 to 100 (101–198). The Xenopus PAK1 amino acids shown in this study to be required for the E-Syt2 interaction (supplementary material Fig. S1c), and those of human PAK1 shown to be required for phospholipid binding (Strochlic et al., 2010), are shown underlined.
Fig. 2. PAK is implicated along with E-Syt2 in FGF signalling.a) PAK1 is recruited to an E-Syt2/FGFR1 complex. Flag-FGFR1, HA-E-Syt2 and/or Myc-PAK1 were expressed in HEK293T cells and Flag co-immunoprecipitated (I.P.) complexes were immunoblotted (I. B.) with HA, Myc and Flag antibodies. Where indicated cells were stimulated with bFGF. b) Activated PAK1 partially rescues E-Syt2 inhibited Xbra induction in AC. Activated FGFR1 was co-expressed with E-Syt2 and activated PAK (PAK-L98F) in embryo and ACs analyzed for Xbra induction by RT-PCR. ODC was used as a control. “Embryo” refers to analysis of uninjected whole embryo RNA before (−RT) and after (+RT) reverse transcription. c) As in (b) but co-expression was either with wild type PAK1 (PAKwt), or the catalytically inactive PAK1 mutants PAK1-K281A or PAK1-L98F/K281A. d) Embryos injected with the indicated constructs were fixed at the equivalent of stage 10.5 or 11.5 and manually sectioned. Dorsal is to the right side of each image. The visible extent of Brachet's cleft is indicated by a solid arrowhead and the mes-endodermal cleft by an open arrowhead and by a dashed line. Lower panels show an enlarged view of the mes-endodermal cleft region.
Fig. 3. E-Syt2 regulates GTPase activation of PAK1.a) Pull-down assays of the interaction between in vitro translated Cdc42-GTP and deletion mutants of PAK1 a.a. 1 to 186 fused to GST (GST-PAK 1â186) or GST alone. b) Pull-down competition assays of the interaction between the in vitro translated C2C domain of E-Syt2 and the GST-PAK 1â186 fusion or GST control in competition with increasing amounts of Cdc42-GTP or Rac-GTP. c,d) In vivo PAK1 activation by Cdc42-L61 and Rac-L61 in the presence of increasing amounts of E-Syt2. The indicated constructs were co-expressed in HEK293T cells and assays performed as described. PAK1 activation was quantified from the ratio of the upshifted, phosphorylated form (Phos-PAK1) to the unshifted, unphosphorylated form. The average data from two independent experiments are shown in (c) and a single experiment in (d). Error bars indicate the full extent of variation between the experiments. The kinase activities of PAK1 and PAK1Î47-58 were also determined by the in vitro phosphorylation of MBP by the immunoprecipitated PAK1 (MBP-32P). These data are shown in supplementaryâ material Fig. S3b,c.
Fig. 4. E-Syt2 slows wound healing and FGF stimulated cell migration.a) Effects of loss and gain of E-Syt2 function on actin polymerization and wound healing in Xenopus embryos. The lower panel shows the effects of over-expression and Morpholino knock-down of E-Syt2 on wound healing 1 h after removal of animal caps. The upper panel shows fluorescent F-actin staining in the corresponding animal caps. The histogram to the right presents the quantification of the wound-healing assay. “n” indicates the number of embryos scored and the standard error is indicated by the vertical bars. An unpaired t-test showed that differences between embryo treatments were all significant. b) Scratch test assays of migration of NIH3T3 cells expressing E-Syt2 or E-Syt2-ΔC2C, or mock transfected cells. Examples of migration fields are shown for the E-Syt2 constructions at 0, 16 and 24 h after FGF stimulation. Scale bars indicate 100 µm. c) Quantitation of cell migration in the scratch test assays. The boundaries of the scratch are clearly visible at 0 h. The mean number of cell migrating into the scratch was determined from counts of three to six independent fields and is shown along with the standard deviation of these counts.
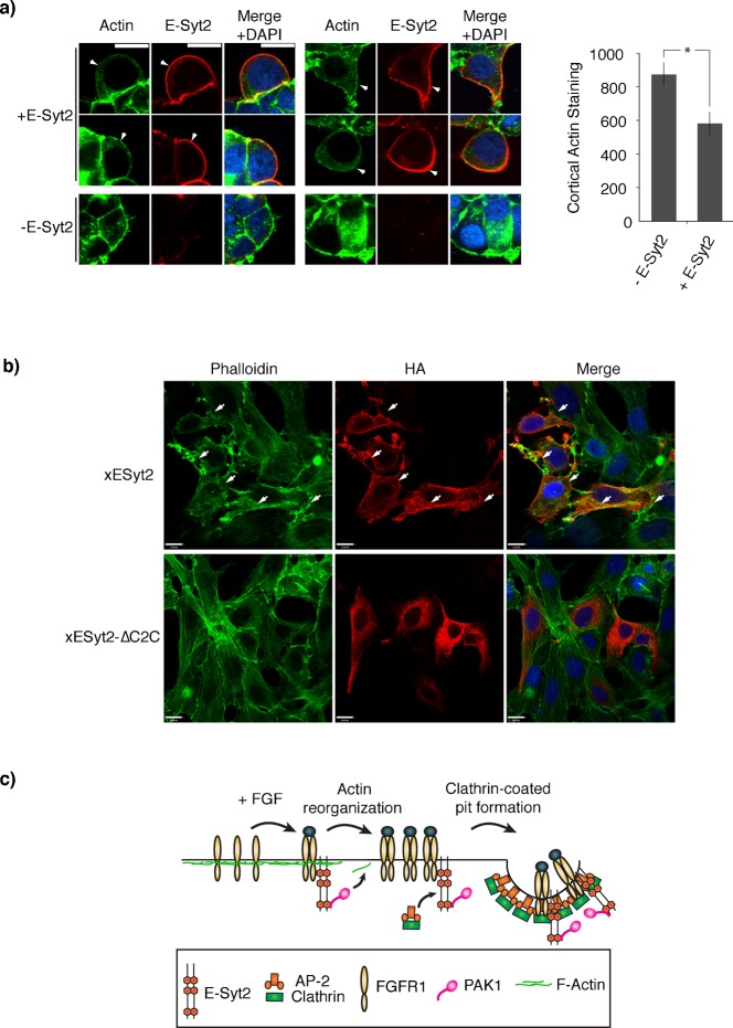
Fig. 5. Regulation of actin cytoskeleton by E-Syt2 its possible role in FGF receptor endocytosis.a) Visualization of cortical F-actin (Alexa488-phalloidin, green) and HA-E-Syt2 (Alexa568, red) in HEK293T cells expressing E-Syt2 (+E-Syt2) compared to mock transfected controls (âE-Syt2). Arrowheads indicate regions of reduced actin staining correspond to regions of E-Syt2 expression. The scale bar represents 15â µm. The histogram shows the average intensity of actin staining at the plasma membrane. Actin staining was quantified at 56 membrane regions of constant shape and size for cells expressing and cells not expressing E-Syt2 using the measurement functions in âVolocityâ (Perkin-Elmer). The difference in average intensities was shown to be statistically significant (* P<0.0001). The standard error is indicated. b) Effects of E-syt2 and E-Syt2-ÎC2C (HA-tag, Alexa568, red) on actin stress fibre formation (Alexa488-phalloidin, green) in H2O2 treated NIH3T3 cells. Arrows indicate the large F-actin plaques forming in the E-Syt2 expressing cells. The scale bar in the upper and lower panels represents respectively 10 and 16 μm. c) A hypothetical model of the chain of events occurring at the plasma membrane during FGF receptor activation.
Benink,
Concentric zones of active RhoA and Cdc42 around single cell wounds.
2005, Pubmed,
Xenbase
Benink,
Concentric zones of active RhoA and Cdc42 around single cell wounds.
2005,
Pubmed
,
Xenbase
Bisson,
EphA4 signaling regulates blastomere adhesion in the Xenopus embryo by recruiting Pak1 to suppress Cdc42 function.
2007,
Pubmed
,
Xenbase
Bisson,
The catalytic domain of xPAK1 is sufficient to induce myosin II dependent in vivo cell fragmentation independently of other apoptotic events.
2003,
Pubmed
,
Xenbase
Bokoch,
Biology of the p21-activated kinases.
2003,
Pubmed
Böttcher,
Fibroblast growth factor signaling during early vertebrate development.
2005,
Pubmed
Böttcher,
The transmembrane protein XFLRT3 forms a complex with FGF receptors and promotes FGF signalling.
2004,
Pubmed
,
Xenbase
Boulant,
Actin dynamics counteract membrane tension during clathrin-mediated endocytosis.
2011,
Pubmed
Coomber,
In vitro endothelial wound repair. Interaction of cell migration and proliferation.
1990,
Pubmed
Deacon,
An isoform-selective, small-molecule inhibitor targets the autoregulatory mechanism of p21-activated kinase.
2008,
Pubmed
Edwards,
Activation of LIM-kinase by Pak1 couples Rac/Cdc42 GTPase signalling to actin cytoskeletal dynamics.
1999,
Pubmed
Huot,
SAPK2/p38-dependent F-actin reorganization regulates early membrane blebbing during stress-induced apoptosis.
1998,
Pubmed
Isaacs,
eFGF regulates Xbra expression during Xenopus gastrulation.
1994,
Pubmed
,
Xenbase
Jean,
Extended-synaptotagmin-2 mediates FGF receptor endocytosis and ERK activation in vivo.
2010,
Pubmed
,
Xenbase
Kimelman,
Synergistic induction of mesoderm by FGF and TGF-beta and the identification of an mRNA coding for FGF in the early Xenopus embryo.
1987,
Pubmed
,
Xenbase
Kimelman,
Mesoderm induction: from caps to chips.
2006,
Pubmed
,
Xenbase
Kofron,
Plakoglobin is required for maintenance of the cortical actin skeleton in early Xenopus embryos and for cdc42-mediated wound healing.
2002,
Pubmed
,
Xenbase
Le Roy,
Signaling and endocytosis: a team effort for cell migration.
2005,
Pubmed
Liu,
Mechanochemical crosstalk during endocytic vesicle formation.
2010,
Pubmed
Lloyd,
Lysophosphatidic acid signaling controls cortical actin assembly and cytoarchitecture in Xenopus embryos.
2005,
Pubmed
,
Xenbase
McMahon,
Molecular mechanism and physiological functions of clathrin-mediated endocytosis.
2011,
Pubmed
Min,
E-Syts, a family of membranous Ca2+-sensor proteins with multiple C2 domains.
2007,
Pubmed
Nagel,
Role of p21-activated kinase in cell polarity and directional mesendoderm migration in the Xenopus gastrula.
2009,
Pubmed
,
Xenbase
Obermeier,
PAK promotes morphological changes by acting upstream of Rac.
1998,
Pubmed
Parrini,
Pak1 kinase homodimers are autoinhibited in trans and dissociated upon activation by Cdc42 and Rac1.
2002,
Pubmed
Pelkmans,
Genome-wide analysis of human kinases in clathrin- and caveolae/raft-mediated endocytosis.
2005,
Pubmed
Sanders,
Inhibition of myosin light chain kinase by p21-activated kinase.
1999,
Pubmed
Slack,
Mesoderm induction in early Xenopus embryos by heparin-binding growth factors.
,
Pubmed
,
Xenbase
Strochlic,
Phosphoinositides are essential coactivators for p21-activated kinase 1.
2010,
Pubmed
,
Xenbase
Tao,
G-protein-coupled signals control cortical actin assembly by controlling cadherin expression in the early Xenopus embryo.
2007,
Pubmed
,
Xenbase
Taylor,
A high precision survey of the molecular dynamics of mammalian clathrin-mediated endocytosis.
2011,
Pubmed
Vadlamudi,
Filamin is essential in actin cytoskeletal assembly mediated by p21-activated kinase 1.
2002,
Pubmed
Yarar,
A dynamic actin cytoskeleton functions at multiple stages of clathrin-mediated endocytosis.
2005,
Pubmed
Yuan,
ERK activation of p21 activated kinase-1 (Pak1) is critical for medulloblastoma cell migration.
2010,
Pubmed