XB-ART-46437
Dev Cell
2013 Jan 14;241:41-51. doi: 10.1016/j.devcel.2012.11.017.
Show Gene links
Show Anatomy links
Imparting regenerative capacity to limbs by progenitor cell transplantation.
???displayArticle.abstract???
The frog Xenopus can normally regenerate its limbs at early developmental stages but loses the ability during metamorphosis. This behavior provides a potential gain-of-function model for measures that can enhance limb regeneration. Here, we show that frog limbs can be caused to form multidigit regenerates after receiving transplants of larval limb progenitor cells. It is necessary to activate Wnt/β-catenin signaling in the cells and to add Sonic hedgehog, FGF10, and thymosin β4. These factors promote survival and growth of the grafted cells and also provide pattern information. The eventual regenerates are not composed solely of donor tissue; the host cells also make a substantial contribution despite their lack of regeneration competence. Cells from adult frog legs or from regenerating tadpole tails do not promote limb regeneration, demonstrating the necessity for limb progenitor cells. These findings have obvious implications for the development of a technology to promote limb regeneration in mammals.
???displayArticle.pubmedLink??? 23273877
???displayArticle.pmcLink??? PMC3549047
???displayArticle.link??? Dev Cell
???displayArticle.grants??? [+]
Species referenced: Xenopus laevis
Genes referenced: axin1 ctnnb1 dusp6 eef1a1 fgf10 fgf20 fgf8 gdf5 hand2 hoxa13 lgr5 shh wnt3a wnt5a zic2 zic5
Phenotypes: Xla Wt + forelimb amputation (Fig.3.C) [+]
Xla Wt + Hsa.FGF10 + Hsa.SHH + forelimb amputation
(Fig.3.E, F)
Xla Wt + Hsa.FGF10 + Hsa.SHH + TMSB4X + forelimb amputation (Fig.3.M,N,O,P Q)
Xla Wt + Hsa.FGF10 + Hsa.SHH + TMSB4X + forelimb amputation (Fig.3.R)
Xla Wt + Hsa.SHH + forelimb amputation (Fig.3.D)
Xla Wt + Hsa.FGF10 + Hsa.SHH + TMSB4X + forelimb amputation (Fig.3.M,N,O,P Q)
Xla Wt + Hsa.FGF10 + Hsa.SHH + TMSB4X + forelimb amputation (Fig.3.R)
Xla Wt + Hsa.SHH + forelimb amputation (Fig.3.D)
???attribute.lit??? ???displayArticles.show???
|
|
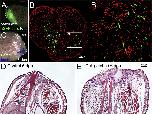
Figure 1. Thymectomy Is Necessary for Transplantation Experiments in Xenopus Frogs(A and B) The developing thymus in a control stage 55 tadpole, shown as in whole-mount animal (A) and on cross-section after hematoxylin and eosin staining (B). Black arrows indicate thymus.(C) Limb regeneration after transplantation of a GFP-labeled limb bud to a wild-type frog host. GFP is undetectable in the single spike regenerate, 46 days postamputation (dpa). Inset shows a green limb bud immediately after transplantation. Note the relative size of the donor and host.(D and E) Thymus is not regenerated in thymectomized (T-) host, as shown by the lack of thymus in whole-mount animal (arrows in D) and on cross-section after haematoxylin and eosin staining (E), 36 days after thymectomy.(F) Limb regeneration after transplantation of a GFP limb bud to thymectomized (T-) host. The graft has survived long term and generated a multidigit regenerate. Inset shows GFP fluorescence.White lines in (C) and (F) indicate amputation levels. Scale bars are 100 μm for (A), (B), (D), and (E) and 250 μm for (C) and (F). See also Figures S1 and S2. |
|
|
Figure 2. Delivery of Cells to the Limb Stump using a Fibrin Patch(A) A frog limb stump covered with a fibrin patch containing GFP-labeled cells, 1 dpa. The white dotted line indicates the patch. Scale bar, 1 mm.(B) Migration of nGFP (green) cells out of the patch in an early regenerate, 3 dpa. Nuclei stained with propidium iodide (PI) are shown in red. An area far away from the patch (outlined in B) is shown in (B. Scale bar, 100 μm.(C) The patch allows application of growth factor beads to the limb stump. The white dotted line outlines the patch, and the blue arrow indicates Affi-Gel beads. Scale bar, 1 mm.(D and E) Sagittal sections of limb stump with (E) or without (D) fibrin patch. The blue dotted line indicates the boundary of the patch. Scale bar, 500 μm. |
|
|
Figure 3. Xenopus Frog Forelimb Regeneration after Cell Transplantation. Left limbs are transplanted, and right limbs are controls with amputation only.(A) Limb regeneration in a frog with a limb bud cell patch, 2 months post-amputation (mpa). Skeletal staining shows that regenerates are still simple spikes (A and C) similar to controls (B), although two cases gave slight extra cartilage (arrows in C).(D) Skeletal preparations of four forelimbs treated with limb bud cell patches and Shh beads, showing slightly disturbed cartilages, 2 mpa.(E) Frogs treated with a βcatâ limb bud cell patch and Shh + FGF10 beads (BSF), 6 mpa. Multi-digit regenerates are formed (E, F, I, and J) and some proximodistal segmentation of cartilage is evident (blue arrows in G and L). One digit also has a small patch of calcium deposition (red arrow in K). All panels, except (H), are for BSF treatment. (H) shows skeletal preparation of a typical spike as control, 6 mpa.(M) A frog treated with a βcatâ limb bud cell patch, Shh + FGF10 + thymosin β4 (BSFT), 5 mpa. Multiple digits have regenerated (M), and the X-ray shows the presence of extensive ossification in the regenerate, as confirmed by skeletal staining (O and P). Some proximodistal segmentation is also clear (blue arrows in P).(Q) Regeneration of intermediate skeletal elements in frog shown in (M). White dotted lines indicate individual metacarpal-like structures.(R) Detection of Gdf5 by in situ hybridization in regenerate from frog treated with BSFT. Cross-section of a digit (2 mpa) shows joint-like structure, with Gdf5 expression (between red brackets).(S) A skeletal preparation of a normal forelimb, for comparison.Red dotted lines indicate amputation levels. Scale bars in (A), (E), (I), (J), (M), and (N), 500 μm; scale bars in (B)D), (F)H), (K), (L), and (O)S), 100 μm. See also Figures S3 and S4. |
|
|
Figure 4. Cell Death and Cell Proliferation Analysis in Cell Transplants(A) Cell death detection by TUNEL in 3 day regenerates after GFP-labeled limb cell patch or bud graft. (A) Cells with GFP label alone. (B) GFP limb cell patch with Shh and FGF10. (C) βcatâ limb cell patch with Shh and FGF10. (D) βcatâ limb cell patch with Shh+FGF10+thymosin β4. (E) Whole limb bud transplantation. Sections are through the cell patch or the transplanted bud. GFP shown in green indicates the nGFP or pHsβcatâGFP donor cells. The TUNEL signal is shown in red, and nuclei are shown in blue with 46-diamidino-2-phenylindole (DAPI) stain. White asterisks (B) indicate positions of Affi-Gel beads. Scale bars, 100 μm.(F) Quantification of cell death in the transplants (G, GFP label only; S, Sonic hedgehog; F, FGF10; B, activated β-catenin; and T, thymosin β4). Error bars are standard deviations; n = 4; single-factor ANOVA shows a significant difference in groups; âp < 0.05, BSFT versus BSF; ââp < 0.01, bud versus BSFT, as determined by t test.(G) Cell proliferation determined by EdU incorporation. EdU is shown in red, and nuclei are shown in blue. White asterisks in (H)J) indicate positions of Affi-Gel beads. Scale bars, 100 μm.(L) Quantification of cell proliferation in the transplants; labels as above. Error bars are standard deviations; n = 4; ANOVA and t test analysis show significant differences between groups. ââp < 0.01, as determined by t test. |
|
|
Figure 5. Upregulation of Shh, Wnt, and Fgf Genes in Limb Regenerates(A, E, I, M, Q, and U) Whole-mount in situ hybridization shows expression of Shh, Wnt, and Fgf genes in limbs following BSFT treatment, 6 days pa. Scale bars, 500 μm. Numbers indicate frequency of observed expression in limb regenerates.(B, F, J, N, R, and V) Far-red (magenta) image of in situ signals developed with Fast Blue BB, with Y5 filter cube.(C, G, K, O, S, and W) Detection of GFP-positive cells with anti-GFP antibody and AlexaFluor 488 conjugated secondary antibody, with GFP filter cube.(D, H, L, P, T, and X) Merges: the white color indicates gene expression in GFP-positive cells.(A) Shh, (E) Wnt3a, (I) Wnt5a, (M) Fgf8, (Q) Fgf10, and (U) Fgf20. White dotted lines indicate the edges of the regenerates. Black scale bars, 500 μm; white scale bars, 100 μm. See also Figure S5. |
|
|
Figure 6. Analysis of Donor Cell Contribution in Limb Regenerates after (pHsβcatâGFP Donor)/(Wild-Type Host) Transplantations(A) Diagram of cell contribution analysis. Wild-type host frogs were transplanted with a βcatâ limb bud cell patch with Shh and FGF10 after amputation. Heat shock was given for the first 2 weeks to maintain βcatâ expression. Frogs were left without heat shock for 4 weeks, and heat shock was given 3 days before sample collection to activate GFP expression (fused to βcatâ) in donor cells. The red line indicates the level of sections shown in (B and C)(B and C) Detection of donor cells (green) in cartilage (B), muscle (red, with 12/101 antibody staining, B and C) and epidermis (C) in a regenerate illustrated as in (A), 45 dpa. m, muscle; c/b, cartilage or bone; and e, epidermis. Muscle tissues are shown in red as revealed by immunostaining with 12/101, a specific muscle marker, and labeled as m in the red channel images; cartilage and epidermis are outlined with white dotted lines in the blue channel images.(D) Quantification of donor and host cell contributions in limb regenerates from (pHsβcatâGFP donor)/(wild-type host) transplantations. Error bars, standard deviation; n = 9 animals.See also Figures S2 and S3. |
|
|
Figure 7. Analysis of Cell Contribution in Limb Regenerates after (pHsβcatâGFP Donor)/(pCMVnGFP Host) Transplantations(A) Diagram of cell contribution analysis. pCMVnGFP host frogs were used, and GFP expression in pHsβcatâGFP donor cells was turned off by not giving heat-shock treatments. Thus, GFP+ cells shown in (B)D) are from the host. The red line indicates the level of sections shown in (B)D).(B) Detection of host cells (green) in cartilage (B), muscle (C), and epidermis (D). Cartilage, muscle, and epidermis are shown as in Figure 6. Scale bars, 100 μm.(E) Quantification of donor and host cell contributions in limb regenerates from (pHsβcatâGFP donor cells)/(pCMVnGFP host) transplantations. Error bars, standard deviation; n = 9 animals.See also Figures S2 and S3. |
|
|
Figure S1. Comparison of graft survival and limb regeneration in normal and thymectomized hosts. (related to Fig.1). When a pCMVnGFP limb bud is grafted to a wild type host, expression of the GFP is detectable 6 days post amputation (A) but disappears soon after, so that at 20 dpa, it is no longer visible (B). In thymectomized (T-) hosts, GFP expression persists long term (E, F). Histology shows spaces in the tissue and lymphocyte accumulation in the limb bud grafted into a wild type host (C) but a normal mesenchymal appearance of the limb bud grafted into a thymectomized host (G). Two examples of limb regenerates with skeletal preparation are shown in (D) and (H). Arrow heads indicate amputation levels. Scale bars for (A, B, D, E, F, H) 500 um; Scale bars in (C, G) 100 um. |
|
|
Figure S2. Contribution of donor and host cells in regenerates formed after limb bud grafting (related to Fig. 1) Muscle tissues are shown in red as revealed by immunostaining with 12/101, a specific muscle marker, and labeled as m in the red channels; Cartilage (C/B) is outlined with white dotted circles in the blue channels. Epidermis (e) is outlined with white dotted lines in the blue channels. Scale bars 100um. (A-C) Detection of donor cells by GFP antibody staining (green) in cartilage, muscle (with 12-101 antibody, red), and epidermis, in regenerate from (pCMVnGFP donor) / (wild type host) transplantations. (B, C) are higher power images for outlined areas in (A). White arrows in (B) indicate examples of GFP-positive cells in the cartilage. (D) Quantification of donor and host cell contributions in (pCMVnGFP donor) / (wild type host) transplantations. Error bars are standard derivations (n=9 animals). (E-G) Detection of host cells by GFP antibody staining in regenerate from (wild type bud donor) / (pCMVnGFP host) transplantations in regenerating cartilage/bone (E), muscle (F) and epidermis (G). White arrows in (E) indicate examples of GFP-positive cells. (H) Quantification of donor and host cell contributions in (wild type donor) / (pCMVnGFP host) transplantations. Error bars are standard derivations (n=9 animals). |
|
|
Figure S3. Characterization of pCMVnGFP and pHsBeta-cat*GFP transgenics (related to Fig. 3, 6, 7). (A-F) GFP expression in pCMVnGFP transgenic frog limb. Expression of GFP is detected with anti-GFP and Alexa Fluor 488 conjugated secondary antibody shown in green in muscle (Mus, A), cartilage or bone (Cart/bone, D). Nuclear staining with propidium Iodide is shown in red (B, E). (C, F) merged images. White arrows indicate cells that are negative or very low in GFP expression. Scale bars 100 um. (G-J) Heat shock induced expression of Beta-cat*. Detection of activated beta-catenin (shown in green) by anti-active-ï¢-catenin antibody (alpha-ABC) in limb cells isolated from pHsï¢cat*GFP limb buds, with (I) or without (G) heat shock treatment. Nuclei are shown in red (H, J). Nuclear localization of beta-catenin is apparent after the heat shock induction (J). Scale bars 50 um. (K-P) GFP expression in pHsBeta-cat*GFP tadpole limb bud. Red arrow shows an example of a limb bud cell with very low GFP expression. (N-P) are higher power images for outlined area in (M). Scale bars, 25 um. (Q-V) Illustration of methods for cell counting. (Q, R, S) Contribution of GFP-positive donor cells to regenerating cartilage in one of the sections obtained from an experiment involving transplantation of beta-Cat*GFP donor cells into a wild type host, 13 out of 25 cartilage cells are GFP-positive. The GFP-positive cells are circled in the green channel, and the boundary of the cartilage tissue is shown with the purple dotted line. Scale bar: 10 um. (T, U, V) Contribution of GFP-positive host cells to regenerating muscle tissue. GFP-positive muscle cells are circled in the green channel. Muscle fibers are indicated with 12/101 antibody staining. Of 75 muscle fibers (red channel), 29 are GFP-positive. Scale bar 10 um. |
|
|
Figure S4. Joint marker expression and nerve innervation in limb regenerate (related to Fig.3). (A-C) Gdf5 is expressed in digit regenerates from Beta-cat* cell patch and Shh, Fgf10, thymosin Beta-4 treatment (BSFT, B), but not expressed in the control cartilaginous spike (A). The white rectangle in (B) indicates Gdf5 expression in a digit regenerate that is similar to the joint of a developing tadpole digit (C). Scale bars 500 um. (D-K) Nerve regeneration in limb regenerates and spikes. Immunofluorescence staining with anti-ï¢-tubulin III antibody (green) indicates abundant innervation in limb regenerate from Beta-cat* cell patch and Shh, Fgf10, thymosin Beta-4 treatment (D, BSFT). White arrows in (D) indicate nerve bundles. (E) Shows a high magnification of nerve bundles (n) that are Beta-tubulin III-positive and a glandular structure (g) that is Beta-tubulin III-negative. (F, G) Histology of a section from the same regenerate in (D) shows the distinct morphology of a nerve bundle (n) and a glandular structure (g). Scale bars in (D-G), 50 um. (H, I) Transmission electron microscopy (TEM) images of axons in limb regenerate from BSFT treatment showing multiple small (2-5 um) myelinated axons at 15K magnification (H) and a single axon (a) with numerous closely packed myelin lamellae (m) at high magnification (30K, I) (G) Immunofluorescence detection of Beta-tubulin III in a control spike, 2 mpa. The spike is innervated but there is a lack of larger nerve bundles. (H) High magnification (30K) TEM image of a single axon in spike. |
|
|
Figure S5. Gene expression analysis in limb regenerates (related to Fig.5). (A-F) Detection of Shh, Fgf8, Fgf10, Fgf20, Wnt3a, Wnt5a in frog limb regenerates after limb bud transplantation and amputation, 6 dpa. Black arrows indicate the implanted limb bud. All genes are expressed in the regenerating limb bud. Scale bar 500 ïm. (G-L) Detection of Shh, Fgf8, Fgf10, Fgf20, Wnt3a, Wnt5a in frog limb stumps after beads (containing Shh and FGF10) are implanted, 6 dpa. Short blue arrows indicate some of the implanted beads. Only Fgf8 and Fgf10 are weakly expressed in the limb stump (red*). Scale bar 500 um. (M) RT-PCR analysis in control limb regenerates (C. 6dpa), limb regenerates with GFP labeled limb bud cell transplants (G. 6dpa), B-cat* limb bud cells with Shh, FGF10 beads (BSF. 6dpa), and 2 month old controls (Spike) shows that Shh, FGF and Wnt pathways are active in BSF limb regenerate. T, non-reverse transcriptase control.(Xenbase Curators Note: typo: 'Mpk3' [sic]= mkp3/dusp6) (N-U) In situ detection of hoxa13 and hand2 in frog limb regenerate. hoxa13 is expressed in limb regenerate after Beta-cat* cell patch together with Shh, FGF10, thymosin Beta-4 (BSFT), in whole mount specimens 6 dpa (N) and 20 dpa (O). Sagittal section shows expression of hoxa13 in the limb regenerate (P) and limb stump with beads (Shh, Fgf10) implantation only (Q). Hand2 is expressed in limb regenerate after BSFT treatment, 6 dpa (R), 20 dpa (S). Sagittal section shows expression of hand2 in the limb regenerate (T) but not in limb stump with bead (Shh, Fgf10) implantation only (U). Scale bars in (N, O, R, S) 500 um; Scale bars in (P, Q, T, U) 100 um. |
|
|
Figure S6. Failure of limb regeneration in frog transplanted with cells from pHsBeta-cat*GFP tadpole tail regeneration bud (related to Table 1). (A, B) The majority of the regenerates show no difference from controls (B). (C-F) Two cases showed slight extra cartilage formation (insets in C, E). (D, F) are spikes regenerated from the control side. dpa, day post amputation. Scale bars 250 um. |
References [+] :
Barker,
Identification of stem cells in small intestine and colon by marker gene Lgr5.
2007, Pubmed
Barker, Identification of stem cells in small intestine and colon by marker gene Lgr5. 2007, Pubmed
Beck, Beyond early development: Xenopus as an emerging model for the study of regenerative mechanisms. 2009, Pubmed , Xenbase
Beck, Temporal requirement for bone morphogenetic proteins in regeneration of the tail and limb of Xenopus tadpoles. 2006, Pubmed , Xenbase
Brockes, Comparative aspects of animal regeneration. 2008, Pubmed
Chevallier, Limb-somite relationship: origin of the limb musculature. 1977, Pubmed
Christen, All limbs are not the same. 1998, Pubmed , Xenbase
Christen, FGF-8 is associated with anteroposterior patterning and limb regeneration in Xenopus. 1997, Pubmed , Xenbase
Christensen, Expression of fibroblast growth factors 4, 8, and 10 in limbs, flanks, and blastemas of Ambystoma. 2002, Pubmed
Cohen, Turning straw into gold: directing cell fate for regenerative medicine. 2011, Pubmed
Daughters, Origin of muscle satellite cells in the Xenopus embryo. 2011, Pubmed , Xenbase
DENT, Limb regeneration in larvae and metamorphosing individuals of the South African clawed toad. 1962, Pubmed
Endo, Shh expression in developing and regenerating limb buds of Xenopus laevis. 1997, Pubmed , Xenbase
Endo, Analysis of gene expressions during Xenopus forelimb regeneration. 2000, Pubmed , Xenbase
Fukazawa, Suppression of the immune response potentiates tadpole tail regeneration during the refractory period. 2009, Pubmed , Xenbase
Han, Expression patterns of Fgf-8 during development and limb regeneration of the axolotl. 2001, Pubmed , Xenbase
Hardy, Gene expression, polarising activity and skeletal patterning in reaggregated hind limb mesenchyme. 1995, Pubmed
Huff, beta-Thymosins, small acidic peptides with multiple functions. 2001, Pubmed
Imokawa, Expression of Sonic hedgehog gene in regenerating newt limb blastemas recapitulates that in developing limb buds. 1997, Pubmed
Jho, Wnt/beta-catenin/Tcf signaling induces the transcription of Axin2, a negative regulator of the signaling pathway. 2002, Pubmed
Kawakami, Wnt/beta-catenin signaling regulates vertebrate limb regeneration. 2006, Pubmed , Xenbase
Kawakami, MKP3 mediates the cellular response to FGF8 signalling in the vertebrate limb. 2003, Pubmed
Kintner, Monoclonal antibodies identify blastemal cells derived from dedifferentiating limb regeneration. , Pubmed , Xenbase
Kroll, Transgenic Xenopus embryos from sperm nuclear transplantations reveal FGF signaling requirements during gastrulation. 1996, Pubmed , Xenbase
Kroon, Pancreatic endoderm derived from human embryonic stem cells generates glucose-responsive insulin-secreting cells in vivo. 2008, Pubmed
Lauter, Two-color fluorescent in situ hybridization in the embryonic zebrafish brain using differential detection systems. 2011, Pubmed
Lin, Requirement for Wnt and FGF signaling in Xenopus tadpole tail regeneration. 2008, Pubmed , Xenbase
Lustig, Negative feedback loop of Wnt signaling through upregulation of conductin/axin2 in colorectal and liver tumors. 2002, Pubmed
Matsuo, Promoting effects of thymosin β4 on granulation tissue and new bone formation after tooth extraction in rats. 2012, Pubmed
Mescher, Regenerative capacity and the developing immune system. 2005, Pubmed
Molina, Generation of FGF reporter transgenic zebrafish and their utility in chemical screens. 2007, Pubmed
Muller, Regeneration in higher vertebrates: limb buds and digit tips. 1999, Pubmed
Munemitsu, Deletion of an amino-terminal sequence beta-catenin in vivo and promotes hyperphosporylation of the adenomatous polyposis coli tumor suppressor protein. 1996, Pubmed
Muneoka, Intrinsic control of regenerative loss in Xenopus laevis limbs. 1986, Pubmed , Xenbase
Nacu, Limb regeneration: a new development? 2011, Pubmed
Nye, Regeneration of the urodele limb: a review. 2003, Pubmed , Xenbase
Ohgo, Analysis of hoxa11 and hoxa13 expression during patternless limb regeneration in Xenopus. 2010, Pubmed , Xenbase
Poss, Tales of regeneration in zebrafish. 2003, Pubmed
Qiu, Thymosin beta4 inhibits TNF-alpha-induced NF-kappaB activation, IL-8 expression, and the sensitizing effects by its partners PINCH-1 and ILK. 2011, Pubmed
Rees, Spatial and temporal contribution of somitic myoblasts to avian hind limb muscles. 2003, Pubmed
Satoh, Joint development in Xenopus laevis and induction of segmentations in regenerating froglet limb (spike). 2005, Pubmed , Xenbase
Sessions, Evidence that regenerative ability is an intrinsic property of limb cells in Xenopus. 1988, Pubmed , Xenbase
Slack, The Xenopus tadpole: a new model for regeneration research. 2008, Pubmed , Xenbase
Smart, Thymosin beta4 induces adult epicardial progenitor mobilization and neovascularization. 2007, Pubmed
Sosne, Thymosin beta 4 promotes corneal wound healing and decreases inflammation in vivo following alkali injury. 2002, Pubmed
Stadtfeld, Induced pluripotency: history, mechanisms, and applications. 2010, Pubmed
Storm, Joint patterning defects caused by single and double mutations in members of the bone morphogenetic protein (BMP) family. 1996, Pubmed
Storm, Limb alterations in brachypodism mice due to mutations in a new member of the TGF beta-superfamily. 1994, Pubmed
Storm, GDF5 coordinates bone and joint formation during digit development. 1999, Pubmed , Xenbase
Tickle, Making digit patterns in the vertebrate limb. 2006, Pubmed
Whitehead, fgf20 is essential for initiating zebrafish fin regeneration. 2005, Pubmed
Yakushiji, Repatterning in amphibian limb regeneration: A model for study of genetic and epigenetic control of organ regeneration. 2009, Pubmed , Xenbase
Yokoyama, Multiple digit formation in Xenopus limb bud recombinants. 1998, Pubmed , Xenbase
Yokoyama, FGF-10 stimulates limb regeneration ability in Xenopus laevis. 2001, Pubmed , Xenbase
Zammit, The skeletal muscle satellite cell: the stem cell that came in from the cold. 2006, Pubmed
Zeller, Vertebrate limb bud development: moving towards integrative analysis of organogenesis. 2009, Pubmed
Zhang, Enhancing efficacy of stem cell transplantation to the heart with a PEGylated fibrin biomatrix. 2008, Pubmed
