Click here to close
Hello! We notice that you are using Internet Explorer, which is not supported by Xenbase and may cause the site to display incorrectly.
We suggest using a current version of Chrome,
FireFox, or Safari.
Comp Hepatol
2012 Aug 20;111:2. doi: 10.1186/1476-5926-11-2.
Show Gene links
Show Anatomy links
Comparative histological study of hepatic architecture in the three orders amphibian livers.
Akiyoshi H
,
Inoue AM
.
???displayArticle.abstract???
BACKGROUND: This report presents a detailed description of hepatic architecture in 46 amphibian livers by light microscopy, and extensively discusses the phylogenetic viewpoint.
RESULTS: The 46 amphibian livers showed a variety of histological features, but anurans were the same as in mammalian livers. The hepatocyte-sinusoidal structures of the amphibian livers were classified into three different types: (I) several-cell-thick plate type, (II) two-cell-thick plate type, and (III) one-cell-thick plate type, depending on the percentage extension of sinusoidal areas per unit area, measured by morphometry. Hematopoietic tissue structures were observed in the connective tissue of both the perihepatic subcapsular regions and portal triads in the order Caudata and Gymnophiona, but were not observed in the order Anura (except for the genus Bombina and Xenopus). As phylogenetic relationships are branched from urodeles to anurans, the parenchyma arrangement progressed from the combined several- and two-cell-thick plate type to one-cell-thick plate type as seen in the mammalian liver type. In contrast, hematopoietic tissue structures were exactly the opposite and did not involve anurans.
CONCLUSIONS: This study is the first to investigate amphibian livers phylogenically, and their architectural differences are shown in the route of hepatic ontogenesis. In this process, parenchymal arrangement formation is acquired phylogenically. The occurrence of hematopoietic cells may be related with the development of the systemic immune system in the spleen and bone marrow.
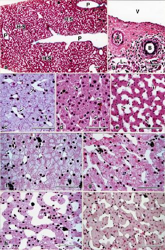
Figure 1. Light micrographs of the liver. Low magnification light micrographs of hepatic lobule in livers. (a) A portal triad (P) is seen in the hepatic lobule, and consists of both hepatocytes and sinusoidal blood capillary networks, in which hepatocyte-sinusoidal structures (HS) are formed. Montane brown frog (Rana ornativentris). (b) High magnification light micrograph of portal triad. A portal space with its characteristic small hepatic artery (A) portal vein (V), lymph vessel (L), and bile duct (B) is surrounded by connective tissue. Japanese giant salamanders (Andrias japonicus). High magnification light micrographs of hepatocyte-sinusoidal structures in livers. (c) Several-cell-thick plate type. The hepatocyte lining is multi-layered. Hepatic sinusoids (arrows) are narrow and short tortuous capillaries. Hepatocytes are rounded, and have a small rounded nucleus. Clouded salamander (Hyobius nebulosus). (d) Two-cell-thick plate type. T he hepatocyte lining is double-layered. Sinusoidal capillaries (arrows) are narrow and irregularly shaped sinusoids appearing throughout the interstices between the hepatic plates. Hepatocytes are polyhedral or rounded and have a rounded nucleus. Amber-colored salamander (Hynobius stejnegeri). (e) One-cell-thick plate type. The hepatocyte lining is simple-layered. Hepatic sinusoids (arrows) are enlarged with straight capillaries. Hepatocytes are polyhedral and have a rounded nucleus. Montane brown frog (Rana ornativentris). (f) Genus Hynobius are of the combined several- and two-cell-thick plate type. Hepatocytes are rounded and have a large nucleus. Spotted salamander (Hynobius naevius). (g) Another genus of the Hynobius group is of the combined one- and two-cell-thick plate type. Hepatocytes are square and have a large nucleus. Hida salamander (Hynobius kimurae). (h) In the order Gymnophiona, the parenchyma arrangement is one-cell-thick plate type. Sinusoidal capillaries are enlarged. Hepatocytes are square, and have a large rounded large nucleus. Cayenne caecilian (Typhlonectes sp.). (i) In the order Anura, the parenchyma arrangement is the one-cell-thick plate type. Sinusoidal capillaries are enlarged. Hepatocytes are square and polyhedral and have a small rounded nucleus. Schlegel’s green frog (Rhacophorus schlegelii). Scale bars = 100 μm.
Figure 2. High magnification light micrographs of hematopoietic tissue structures in the liver. (a) Portal triad region (PTR). Numerous hematopoietic cells are seen in the connective tissue of the portal space. Spotted salamanders (Hynobius naevius). (b) Perihepatic subcapsular region (PSR). PSR is usually two to six cell layers thick, almost completely enveloping the hepatic parenchyma, with the visceral peritoneum adjoining (arrows). This tissue contains neutrophils (arrows) and eosinophils. African clawed frog (Xenopus laevis). (c) Inter-hepatic lobular nodule. Numerous hematopoietic cells (arrows) are seen in the sinusoidal capillaries of the hepatic lobule. Sakishima rice frog (Rana sp.). Scale bars = 100 μm.
Akiyoshi,
Comparative histological study of teleost livers in relation to phylogeny.
2004, Pubmed
Akiyoshi,
Comparative histological study of teleost livers in relation to phylogeny.
2004,
Pubmed
Beresford,
A tabular comparative histology of the liver.
1986,
Pubmed
Cornelius,
Hepatic ontogenesis.
1985,
Pubmed
Diaconescu,
Contributions to the evolutionary study of the liver afferent veins.
1985,
Pubmed
ELIAS,
The structure of the liver of vertebrates.
1952,
Pubmed
Enzan,
Light and electron microscopic observations of hepatic hematopoiesis of human fetuses. II. Megakaryocytopoiesis.
1980,
Pubmed
Hack,
The melanins and lipofuscin.
1983,
Pubmed
Hack,
A comparative chemical study of the liver of various vertebrates.
1964,
Pubmed
Hightower,
Hemopoietic tissue in the adult newt, Notopthalmus viridescens.
1971,
Pubmed
Hightower,
A light and electron microscopic study of myelopoietic cells in the perihepatic subcapsular region of the liver in the adult aquatic newt, Notophthalmus viridescens.
1975,
Pubmed
Medlock,
The liver hemopoietic environment: I. Developing hepatocytes and their role in fetal hemopoiesis.
1983,
Pubmed
Moore,
Commentary: the role of cell migration in the ontogeny of the lymphoid system.
2004,
Pubmed
,
Xenbase
Ruben,
Cellular cooperation in hapten-carrier responses in the newt, Triturus viridescens.
1973,
Pubmed
Saito,
Liver gangliosides of various animals ranging from fish to mammalian species.
2001,
Pubmed
San Mauro,
Initial diversification of living amphibians predated the breakup of Pangaea.
2005,
Pubmed
Satoh,
[Comparative anatomy of the canaliculo-ductular junctions of the vertebrate livers].
1983,
Pubmed
Speilberg,
Liver of juvenile Atlantic salmon, Salmo salar L.: a light, transmission, and scanning electron microscopic study, with special reference to the sinusoid.
1994,
Pubmed
Tooze,
Light- and electron- microscope studies on the spleen of the newt Triturus cristatus: the fine structure of erythropoietic cells.
1967,
Pubmed
Tsuneki,
Electron microscope study of vertebrate liver innervation.
1981,
Pubmed
Zardoya,
On the origin of and phylogenetic relationships among living amphibians.
2001,
Pubmed
,
Xenbase