Click here to close
Hello! We notice that you are using Internet Explorer, which is not supported by Xenbase and may cause the site to display incorrectly.
We suggest using a current version of Chrome,
FireFox, or Safari.
PLoS One
2012 Jan 01;76:e39505. doi: 10.1371/journal.pone.0039505.
Show Gene links
Show Anatomy links
Identification of Nedd4 E3 ubiquitin ligase as a binding partner and regulator of MAK-V protein kinase.
Kalinichenko SV
,
Itoh K
,
Korobko EV
,
Sokol SY
,
Buchman VL
,
Korobko IV
.
???displayArticle.abstract??? MAK-V/Hunk is a scantily characterized AMPK-like protein kinase. Recent findings identified MAK-V as a pro-survival and anti-apoptotic protein and revealed its role in embryonic development as well as in tumorigenesis and metastasis. However molecular mechanisms of MAK-V action and regulation of its activity remain largely unknown. We identified Nedd4 as an interaction partner for MAK-V protein kinase. However, this HECT-type E3 ubiquitin ligase is not involved in the control of MAK-V degradation by the ubiquitin-proteasome system that regulates MAK-V abundance in cells. However, Nedd4 in an ubiquitin ligase-independent manner rescued developmental defects in Xenopus embryos induced by MAK-V overexpression, suggesting physiological relevance of interaction between MAK-V and Nedd4. This identifies Nedd4 as the first known regulator of MAK-V function.
???displayArticle.pubmedLink???
22745772
???displayArticle.pmcLink???PMC3379983 ???displayArticle.link???PLoS One ???displayArticle.grants???[+]
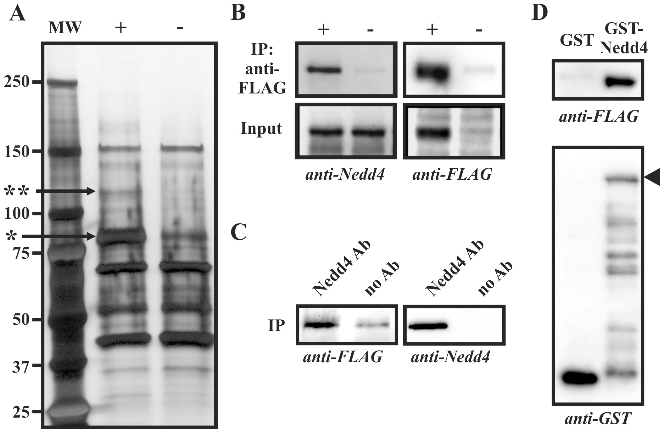
Figure 1. Nedd4 specifically interacts with MAK-V.
(A) Typical profile of proteins purified on anti-FLAG M2 affinity gel from PC12TetOn cells treated with doxycycline (+) to express MAK-V-FLAG protein or left untreated (-). Silver-stained 4-12% gel is shown with positions of protein molecular weight markers (MW) shown in kD on the left. Arrows marks MAK-V-FLAG protein (*) and Nedd4 protein co-purified with MAK-V-FLAG (**). (B) Samples from (A) (IP anti-FLAG) and aliquots of cell lysates prior to purification (Input) were stained with anti-Nedd4 (anti-Nedd4) or anti-FLAG (anti-FLAG) antibodies. (C) Lysate of PC12TetOn cells treated with doxycycline to express MAK-V-FLAG protein was incubated with Protein G Sepharose (no Ab) or Protein G Sepharose with immobilized anti-Nedd4 antibodies (Nedd4 Ab). Bound proteins were analyzed by Western blotting with anti-FLAG (anti-FLAG) or anti-Nedd4 (anti-Nedd4) antibodies. (D) Proteins were pulled down from lysate of PC12TetOn cells treated with doxycycline to express MAK-V-FLAG protein with GST (GST) or GST-Nedd4 (GST-Nedd4) proteins immobilized on glutathione Sepharose. MAK-V-FLAG protein was detected with anti-FLAG antibodies (anti-FLAG). To monitor GST protein loading of glutathione Sepharose, eluted proteins were stained with anti-GST antibodies (anti-GST). Arrowhead marks full-length GST-Nedd4 chimeric protein.
Figure 2. Interaction between endogenous Nedd4 and MAK-V proteins.
Proteins were immunoprecipitated from lysates of CSML-0 cells with anti-Nedd4 (A; IP: Nedd4 Ab) or anti-MAK-V antibodies (B; IP: MAK-V Ab). Control immunoprecipitations with omitted antibodies were run in parallel (IP: control). Immunoprecipitates and aliquots of lysates used for immunoprecipitation (Input) were probed with anti-MAK-V (anti-MAK-V) and anti-Nedd4 (anti-Nedd4) antibodies to detect MAK-V and Nedd4 proteins, respectively.
Figure 3. Mapping of interaction between Nedd4 and MAK-V proteins in yeast two-hybrid system.
(A) Domain structure of mouse Nedd4 protein showing positions (in aa) of C2, WW and HECT domains. The scheme below illustrates organization of GAL4AD proteins fused to various fragments of Nedd4, which were used in the yeast two-hybrid assay. On the right, results of analysis of interaction between GAL4BD fused to MAK-V protein (pPC97-MAK-V) and GAL4AD fused to various fragments of Nedd4 are shown. Protein interaction was monitored by ability of yeast to grow in the presence of 3AT (+3AT). To monitor specificity, interaction with GAL4BD alone (pPC97) was monitored in the same assay. (B) Domain structure of mouse MAK-V protein kinase showing positions (in aa) of catalytic (S_TKc) and SNH/UBA domains and C-terminal region (C-term). The scheme below illustrates organization of GAL4BD proteins fused to full-length of MAK-V or its N- or C-terminal fragments, which were used in the yeast two-hybrid assay. On the right, results of analysis of interaction between GAL4AD fused to fragment encompassing C2 and tree WW domains of Nedd4 (pPC86-C2-WW1-3) and GAL4AD fused to MAK-V fragments are shown. Protein interaction and specificity were monitored as described above.
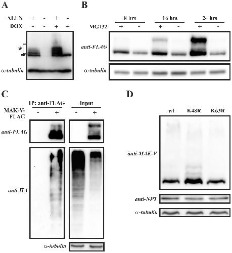
Figure 4. MAK-V is subjected to ubiquitin-dependent proteasomal degradation.
(A) Doxycycline-treated (DOX +) or untreated (DOX -) PC12TetOn MAK-V-FLAG cells were incubated with 100 uM of ALLN (ALLN +) or vehicle (ALLN -) for 8 hrs. Results of Western blot analysis of total cell lysates with anti-FLAG antibodies are shown. MAK-V-FLAG protein marked with arrow, ubiquitinated higher molecular weight MAK-V-FLAG species marked by asterisk. To monitor total protein loading, membrane was re- probed with anti-α-tubulin antibodies. (B) HEK293 cells were transiently transfected with plasmid for MAK-V-FLAG protein expression and treated with 10 uM MG132 (MG+) for indicated time prior to lysis or left untreated (MG-). Lysates were blotted with anti-FLAG antibodies to detect MAK-V-FLAG protein (anti-FLAG). To monitor total protein loading, membrane was re-probed with anti-α-tubulin antibodies. (C) HEK293 cells were transfected with plasmid for HA-tagged ubiquitin expression alone (MAK-V-FLAG -) or together with plasmid for MAK-V-FLAG protein expression (MAK-V-FLAG +). Cells were treated with MG132 prior to lysis. MAK-V-FLAG protein was precipitated from lysates with anti-FLAG M2 affinity gel as described for PC12TetOn cells. Anti-FLAG antibodies were used to detect MAK-V-FLAG protein (anti-FLAG) in immunoprecipitates (IP: anti-FLAG), and ubiquitin was detected with anti-HA antibodies (anti-HA). To monitor HA-tagged ubiquitin and MAK-V-FLAG protein expression, aliquots of lysates were blotted as described above. To monitor total protein loading, membrane was re-probed with anti-α-tubulin antibodies. (D) HEK293 cells were co-transfected with MAK-V-FLAG expression plasmid and plasmid for expression of FLAG-tagged wild-type ubiquitin (wt), its K48R (K48R) or K63R (K63R) mutant. Results of Western blot analysis of total cell lysates with anti-MAK-V antibodies are shown. To monitor total protein loading, membrane was re-probed with anti-α-tubulin antibodies. To control variations in basal level of MAK-V-FLAG protein expression, samples were also probed with antibodies against neomycin phosphotransferase II (anti-NPT) which is encoded by MAK-V-FLAG expression vector.
Figure 5. MAK-V is not ubiquitinated by Nedd4.
(A) E2 enzyme specificity of ubiquitin-ligase activity co-purified with MAK-V-FLAG protein. MAK-V-FLAG protein purified from PC12TetOn cells was used in in vitro ubiquitination reactions containing E1 enzyme and indicated E2 ubiquitin-conjugating enzymes. Results of Western blotting with HRP-conjugated streptavidin to detect ubiquitinated proteins/polyubiquitin (marked by asterisk) are shown. The image was overlaid with an image of the same membrane that was consequently probed with anti-FLAG antibodies to detect MAK-V-FLAG protein (marked by arrows). (B) Depletion of Nedd4 does not affect stabilization of MAK-V-FLAG protein in cells in response to treatment with proteasome inhibitors. Parental PC12TetOn cells with inducible MAK-V FLAG expression (no miR) or their clonal derivatives expressing control microRNA (control miR) or microRNA to target Nedd4 transcript (Nedd4 miR) were treated with doxycycline to express MAK-V-FLAG protein and incubated with 100 uM of ALLN (ALLN) or 10 uM of MG132 (MG132) for 8 hrs or left untreated (-). Results of Western blot analysis of total cell lysates with anti-FLAG antibodies are shown (anti-FLAG). Nedd4 level was monitored with anti-Nedd4 antibodies (anti-Nedd4). MAK-V-FLAG protein marked with arrow, ubiquitinated higher molecular weight MAK-V-FLAG species marked by asterisk. Membrane was also probed with anti-α-tubulin antibodies (anti-α-tubulin) to monitor total protein loading. (C) MAK-V-FLAG protein and cytosols were prepared from parental PC12TetOn cells with inducible MAK-V-FLAG expression (Nedd4+) or its Nedd4-depleted clonal derivative expressing Nedd4 microRNA (Nedd4 -) and used in in vitro ubiquitination reaction containing E1 and UbcH5b E2 enzymes. Results of Western blot analysis with anti-FLAG antibodies are shown. Arrow marks products of MAK-V ubiquitination. Reactions in the presence of EDTA (EDTA +) were used as negative controls.
Figure 6. Nedd4 does not affect MAK-V protein level.
(A) HEK293 cells were transfected with MAK-V-FLAG expression plasmid (MAK-V-FLAG +) together with plasmid for expression of myc-tagged wild-type Nedd4 (wt) or its catalytically inactive Nedd4(CS) mutant (CS), or mock-untransfected (-). Cells were treated by MG132 prior to lysis (MG132+) or left untreated (MG132 -). Results of Western blot analysis of total cell lysates with anti-FLAG antibodies are shown (anti-FLAG). Nedd4 levels were monitored with anti-Nedd4 antibodies (anti-Nedd4), and exogenously expressed myc-tagged Nedd4 proteins were detected with anti-myc antibodies (anti-myc). To monitor total protein loading, membrane was re-probed with anti-α-tubulin antibodies. (B) HEK293 cells were co-transfected with MAK-V-FLAG expression plasmid and plasmid for expression of myc-tagged wild-type Nedd4 (Nedd4 wt) or its catalytically inactive Nedd4(CS) mutant (Nedd4(CS)). Cells were treated with cycloheximide for indicated time prior to lysis. Representative results of Western blot analysis of total cell lysates with anti-FLAG antibodies to detect MAK-V-FLAG protein are shown (anti-FLAG). To monitor total protein loading, membrane was re-probed with anti-α-tubulin antibodies. (C) Quantification of MAK-V-FLAG protein level in HEK293 cells when co-expressed with wild-type Nedd4 (Nedd4 wt) or with its Nedd4(CS) (Nedd4 CS) mutant after cycloheximide treatment. Relative MAK-V-FLAG protein levels for each time point of cycloheximide treatment indicated in hours (hrs) were determined by quantification of Western blot images obtained as described in (B). Data are presented as means ± standard deviation of three independent experiments performed as described in (B).
Figure 7. Nedd4 regulates MAK-V activity.
Nedd4 in ubiquitin ligase-independent manner rescue axis extension defects in Xenopus development induced by MAK-V overexpression. Two ng each of MAK-V, Nedd4, Nedd4(CS) mRNA was injected alone or together as indicated into two dorso-animal blastomeres at 4-8 cell stage. Embryos were fixed at stage 38.
Buchman,
Organization of the mouse Ruk locus and expression of isoforms in mouse tissues.
2002, Pubmed
Buchman,
Organization of the mouse Ruk locus and expression of isoforms in mouse tissues.
2002,
Pubmed
Chevray,
Protein interaction cloning in yeast: identification of mammalian proteins that react with the leucine zipper of Jun.
1992,
Pubmed
Fotia,
The ubiquitin-protein ligases Nedd4 and Nedd4-2 show similar ubiquitin-conjugating enzyme specificities.
2006,
Pubmed
Gardner,
Cloning and characterization of Hunk, a novel mammalian SNF1-related protein kinase.
2000,
Pubmed
Guo,
Glutamate stimulates glutamate receptor interacting protein 1 degradation by ubiquitin-proteasome system to regulate surface expression of GluR2.
2007,
Pubmed
Higashi,
The ubiquitin ligase Nedd4 mediates oxidized low-density lipoprotein-induced downregulation of insulin-like growth factor-1 receptor.
2008,
Pubmed
Jaleel,
The ubiquitin-associated domain of AMPK-related kinases regulates conformation and LKB1-mediated phosphorylation and activation.
2006,
Pubmed
Kalinichenko,
Membrane localization of the MAK-V protein kinase.
2008,
Pubmed
Kalinichenko,
Interaction between MAK-V protein kinase and synaptopodin.
2011,
Pubmed
Kamynina,
Distinct characteristics of two human Nedd4 proteins with respect to epithelial Na(+) channel regulation.
2001,
Pubmed
,
Xenbase
Kibardin,
Metastasis-associated kinase modulates Wnt signaling to regulate brain patterning and morphogenesis.
2006,
Pubmed
,
Xenbase
Kiselev,
Molecular cloning and characterization of the mouse tag7 gene encoding a novel cytokine.
1998,
Pubmed
Korobko,
Identification of a new alternative-splicing transcript of Rabaptin-5 interacting with protein kinase MAK-V.
2000,
Pubmed
Korobko,
Phosphorylation of MAK-V protein kinase in mammalian cells.
2007,
Pubmed
Korobko,
Pro-survival activity of the MAK-V protein kinase in PC12 cells.
2010,
Pubmed
Korobko,
The MAK-V protein kinase regulates endocytosis in mouse.
2000,
Pubmed
Korobko,
[Identification of the new protein kinase specifically transcribed in mouse tumors with high metastatic potential].
1997,
Pubmed
,
Xenbase
Korobko,
[Proteinkinase MAK-V/Hunk as a possible dianostic and prognostic marker of human breast carcinoma].
2004,
Pubmed
Korobko,
The Rab5 effector Rabaptin-5 and its isoform Rabaptin-5delta differ in their ability to interact with the small GTPase Rab4.
2005,
Pubmed
Kumar,
cDNA cloning, expression analysis, and mapping of the mouse Nedd4 gene.
1997,
Pubmed
Lu,
Function of WW domains as phosphoserine- or phosphothreonine-binding modules.
1999,
Pubmed
Murphy,
Conformational instability of the MARK3 UBA domain compromises ubiquitin recognition and promotes interaction with the adjacent kinase domain.
2007,
Pubmed
Quintela-Fandino,
HUNK suppresses metastasis of basal type breast cancers by disrupting the interaction between PP2A and cofilin-1.
2010,
Pubmed
Shearwin-Whyatt,
Regulation of functional diversity within the Nedd4 family by accessory and adaptor proteins.
2006,
Pubmed
Sudol,
The WW module competes with the SH3 domain?
1996,
Pubmed
Treier,
Ubiquitin-dependent c-Jun degradation in vivo is mediated by the delta domain.
1994,
Pubmed
Vasilescu,
The proteomic reactor facilitates the analysis of affinity-purified proteins by mass spectrometry: application for identifying ubiquitinated proteins in human cells.
2007,
Pubmed
Wertheim,
The Snf1-related kinase, Hunk, is essential for mammary tumor metastasis.
2009,
Pubmed
Xiong,
Ubiquitin-dependent degradation of interferon regulatory factor-8 mediated by Cbl down-regulates interleukin-12 expression.
2005,
Pubmed
Yang,
Nedd4 and Nedd4-2: closely related ubiquitin-protein ligases with distinct physiological functions.
2010,
Pubmed
Yeh,
Hunk is required for HER2/neu-induced mammary tumorigenesis.
2011,
Pubmed