|
Figure 3. In situ hybridization staining reveals characteristic spatial expression patterns of six 14-3-3 family members in normal developing embryos. A,B: Normal stage 25 (A) and stage 40 (B) embryos were probed with digoxigenin-labeled 14-3-3 family member-specific RNA probes and were visualized by anti-diaminobenzidine alkaline phosphate staining to determine the spatial expression patterns of 14-3-3 gamma (a), epsi (b), tau (c), zeta (d), eta (e), and beta (f). A: The 14-3-3 gamma was highly abundant in the cranium and central nervous system. The 14-3-3 gamma (a), epsi (b), and tau (c) were all abundantly expressed on the body surface, but 14-3-3 zeta (d), eta (e), and beta (f) were not. B: At stage 40 (a), 14-3-3 gamma was highly abundant in the cranium and nervous tissues compared with other 14-3-3 family members; b: 14-3-3 epsi and tau were both abundantly expressed in the skeletal myotomes as well as the posterior trunk and tail fin regions; d: 14-3-3 zeta was expressed peripherally in the translucent tail fin but not in the trunk of the embryo; e,f: in contrast to zeta , 14-3-3 eta and beta were preferentially expressed in the trunk but not in the tail fins. C: Magnified views showing the expression of various 14-3-3s in the cranium at stage 40.
|
|
Figure 6. Analysis of marker gene expressions in stage 10.5 embryos injected with 14-3-3 tau or epsi morpholinos. a-g: 14-3-3 tau and epsi morpholinos injections blocked Xbra expression. a,e: Two-cell stage embryos were injected into both blastomeres with a total of 10 pmol 14-3-3 tau - or epsi -specific morpholinos. Xbra expression is greatly reduced around the marginal zone, which is normally stained in control morpholino-injected embryos (d). b,f: Two-cell stage embryos were injected unilaterally with 10 pmol of 14-3-3 tau - or epsi -specific morpholinos. Note the reduced Xbra expression on the injected side. c,g: Two opposite blastomeres of four-cell stage embryos were injected with a total of 10 pmol of 14-3-3 tau - or epsi -specific morpholinos. Xbra expression is deficient in two of the four quadrants. h-j: Two-cell stage embryos were injected bilaterally with 10 pmol of 14-3-3 tau -specific (h), 14-3-3 epsi -specific (i), or control (j) morpholinos. Embryos were fixed at stage 10.5 and subjected to in situ hybridization with chordin probe. Embryos injected with 14-3-3 tau or epsi morpholinos (h,i) had the same chordin expression as control-injected embryos (j).
|
|
Figure 1. Alignment of the amino acid sequences of six 14-3-3 family members in Xenopus laevis. Sequences for all six 14-3-3 family members were identified on the TIGR Xenopus expressed sequence tag (EST) database (http://www.tigr.org). No homologue of 14-3-3 σ was identified by sequence blast search. The accession numbers are as follows: x14-3-3 τ = TC204326, TC204327; x14-3-3 η = TC202286, TC202289; x14-3-3 γ = TC 13154, TC 195846; x14-3-3 ζ = TC 204594, TC 204596; x14-3-3 β = TC188860; x14-3-3 ϵ = TC186676. Identical amino acids are in yellow, with blue representing highly conversed amino acids, and green representing moderately conserved amino acids as determined by Vector NTI.
|
|
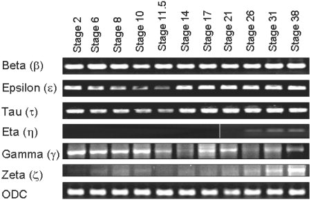
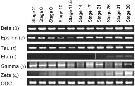
Figure 2. Reverse transcription-polymerase chain reaction (RT-PCR) reveals characteristic temporal expression patterns of six 14-3-3 family members in normal developing embryos. Total RNA was purified from normal developing embryos between stage 2 and 38 and used in RT-PCR experiments with established primers for specific 14-3-3 isoforms. The 14-3-3 β, Ï, and ϵ were the most abundantly expressed isoforms throughout early Xenopus embryonic development. Three other 14-3-3 genes, η, γ, and ζ, were expressed at much lower levels in embryos. The 14-3-3-β gene expression level was relatively constant between stages 2 and 38. The 14-3-3 ϵ and Ï shared similar gene expression patterns: mRNA levels slowly decreased during blastula and gastrula stages (stage 2 through 11.5) but increased during neurula stages (after stage 14). The 14-3-3 η and ζ mRNA levels were both low between stages 2 and 17 and expression was up-regulated only in later stages. The 14-3-3 γ had a variable mRNA expression pattern, which peaked around stages 20 and 31. ornithine decarboxylase (ODC) expression was analyzed as an equal loading control. Data are representative of two experiments with two separate sets of specific primers for each 14-3-3 family member.
|
|
Figure 4. Individual morpholinos specifically reduce 14-3-3 family member protein levels in Xenopus oocytes. A: Injection of 14-3-3 Ï morpholino specifically reduced 14-3-3 Ï protein level in Xenopus oocytes. Xenopus oocytes were injected with 20 or 40 pmol of 14-3-3 Ï-specific morpholino or control morpholino. Protein lysates were generated after 72 hr and analyzed by antiâ14-3-3 Ï, 14-3-3 ζ, and total extracellular regulated kinase (ERK) immunoblotting. The 14-3-3 Ï protein levels were decreased in specific morpholino-injected oocytes. The 14-3-3 ζ and total ERK levels served as loading controls. Data are representative of two separate 14-3-3 Ï morpholinos. B: Injection of 14-3-3 ϵ morpholino specifically reduced 14-3-3 ϵ protein level in Xenopus oocytes. Both 14-3-3 ϵ morpholino designs (14-3-3 ϵ #1, 14-3-3 ϵ #2) reduced 14-3-3 ϵ protein level in Xenopus oocytes. Protein lysis and Western blotting were done as described above. C: The 14-3-3 β, γ, and ζ morpholinos were effective at reducing corresponding protein levels. A total of 20 to 40 pmol of specific morpholinos were injected into stage 6 Xenopus oocytes, and protein lysates were subjected to Western blotting as described above. D: The 14-3-3 family member-specific morpholinos were effective at blocking production of exogenously expressed 14-3-3 proteins in Xenopus oocytes. The 100 ng of myc-tagged 14-3-3 η, ϵ, or Ï were injected into stage 6 oocytes and incubated at 19°C for 12 hr and protein lysate were subjected to Western blotting as described above. Each morpholino was effective at targeting the exogenously expressed 14-3-3 mRNAs. E: The 14-3-3 family member-specific morpholinos were effective at reducing corresponding protein levels in Xenopus embryos. Approximately 80â100 pmol of 14-3-3 β, Ï, and control morpholinos were injected into two-cell stage embryos, incubated at room temperature for 24 hr after injection and protein lysates were subjected to Western blotting as described above. Western blotting showed the reduction of 14-3-3 Ï in 14-3-3 Ï morpholino-injected embryos, and reduction of 14-3-3 β in 14-3-3 β morpholino-injected embryos. Panels on the right show the quantification of relative 14-3-3 β and expressions when normalized to ERK loading.
|
|
Figure 5. Injection of 14-3-3 family member-specific morpholinos produced unique phenotypic abnormalities in Xenopus embryos. A: Two-cell embryos were injected with a total of 10 pmol of family member-specific morpholinos into both blastomeres of two-cell embryos. a: Embryos injected with nonspecific control morpholino developed normally through tadpole stages; b: 14-3-3 β morpholino-injected embryos showed slight ventralization defects but were otherwise normal; c: 14-3-3 ϵ-specific morpholino injection resulted in frequent exogastrulation defects; d: 14-3-3 γ-specific morpholino injection resulted in a small eye or no eye phenotype; e,f: 14-3-3 η- or ζ-specific morpholino injection did not affect embryogenesis. B: Failure of blastopore lip closure and subsequent exogastrulation in embryos injected with 14-3-3 Ï morpholinos. The embryos were traced from the beginning of gastrulation at stage 10.5 (a), through the end of gastrulation at stage 12 (b), to stage 17 at the end of neurulation (c). d,e: Normally developing embryos at stage 32â33 (d) and stage 39â40 (e). f,g: Embryos injected unilaterally with 10 pmol of 14-3-3 Ï morpholinos at stage 32â33 (f) and stage 39â40 (g). h,i: Embryos injected diagonally with 10 pmol of 14-3-3 Ï morpholinos at stage 32â33 (h) and stage 39â40 (i)
|
|
Figure 7. Microinjection of 14-3-3 Ï mRNA rescues animal cap elongation and exogastrulation defects in 14-3-3 Ï morpholino-injected embryos. Two-cell stage embryos were either uninjected, injected with 5 pmol of 14-3-3 Ï-specific morpholino, or first injected with 5 pmol of 14-3-3 Ï-specific morpholino, followed by injection of 50 ng of myc-14-3-3 Ï mRNA or myc-14-3-3 η mRNA. A: Embryos injected with 14-3-3 Ï morpholino had inhibited cap elongation that could be partially rescued (69%) by co-injection of 14-3-3 Ï mRNA. Co-injection using a different 14-3-3 mRNA construct (14-3-3 η) was less effective (36%) in rescuing the cap elongation defects caused by 14-3-3 Ï morpholino treatment. Results are the mean ± SEM from three separate experiments. B: Embryos co-injected with 14-3-3 Ï or ϵ mRNA had reduced rate of exogastrulation (75 ± 4.5% and 84 ± 15.9%, respectively) compared with those injected with 14-3-3 Ï morpholino alone (100%, P < 0.05 for both as determined by Student's t-test). Results were combined from four separate experiments.
|
|
Figure 8. Developmental defects in 14-3-3 Ï-specific morpholino-injected embryos were associated with increased apoptosis. A: Embryos injected with 14-3-3 Ï- or ϵ-specific morpholinos displayed much higher rate of apoptosis than control embryos at the corresponding stage. Two-cell stage embryos were either uninjected (orange line), injected with 14-3-3 Ï- specific morpholino (purple), or injected with 14-3-3 ϵ-specific morpholino (blue). Apoptosis was scored using an enzyme-linked immuosorbent assay (ELISA) apoptosis kit (Roche) and quantified by measuring double absorbance at 415/490 nm. Results are representative of two separate experiments. B: Co-injection of 14-3-3 Ï mRNA with 14-3-3 Ï morpholinos reduced the apoptotic rate in Xenopus embryos. Lysates were harvested from stage 12 embryos that were uninjected, 14-3-3 Ï mRNA-injected, 14-3-3 Ï morpholino-injected, or morpholino / mRNA co-injected. Apoptosis was increased in 14-3-3 Ï morpholino-injected embryos; co-injection of 14-3-3 Ï mRNA or 14-3-3 ζ mRNA reduced the rate of apoptosis. Injection of 14-3-3 Ï mRNA alone did not affect apoptosis. Results were pooled from five separate experiments.
|
|
Inhibition of 14-3-3 γ activity causes eye defects in Xenopus embryos. A: The 14-3-3 γ is important for normal eye formation. A total of 10 ng of RNA encoding GST-R18 (a) or GST (b) was injected into a single dorsal animal blastomere of eight-cell stage embryos. Note the reduction of eye size on the side where GST-R18 was injected. Embryos were injected unilaterally at the two-cell stage with 14-3-3 γ- or η-specific morpholino. Note the reduction of eye size on one side of embryos injected with 14-3-3 γ but not 14-3-3 η morpholino. B: Reduction of 14-3-3 γ protein blocked expression of the eye marker gene Xrx. Embryos were injected with GST-R18 RNA as in A and cultured until stage 13. Whole-mount in situ hybridization was performed with an Xrx-specific probe. Embryos are depicted in the anterior view with the dorsal side up. Panels on the right show the quantification of relative Xrx densities. C: The 14-3-3 γ morpholino injection inhibits Pax6 marker gene expression. Embryos were injected with 14-3-3 γ morpholino bilaterally at the two-cell stage, fixed at stage 35, and subjected to in situ hybridization with Pax6 probe. Note the reduction of staining on 14-3-3 γ morpholino-injected embryos. Panels on the right show the quantification of relative Pax6 staining densities. D: The 14-3-3 γ protein preferentially found in head and eye regions. Stage 25 embryos were fixed and incubated with 14-3-3 γ primary antibody or with anti-rabbit horseradish peroxidase secondary antibody alone. Note that 14-3-3 γ protein was preferentially located in the head and eye regions. E: The 14-3-3 γ mRNA preferentially expressed in head and eye regions in Xenopus developing embryos. Stage 26 embryos were dissected to generate head, trunk, and tail isolates. Reverse transcriptase-polymerase chain reaction results are representative of two separate experiments.
|
|
ywhag (tyrosine 3-monooxygenase/tryptophan 5-monooxygenase activation protein, gamma ) gene expression in Xenopus laevis embryo, assayed via in situ hybridization, NF stage 25, lateral view, anterior left, dorsal up.
|
|
ywhag (tyrosine 3-monooxygenase/tryptophan 5-monooxygenase activation protein, gamma ) gene expression in Xenopus laevis embryo, assayed via in situ hybridization, NF stage 40, lateral view, anterior left, dorsal up.
|
|
ywhag (tyrosine 3-monooxygenase/tryptophan 5-monooxygenase activation protein, gamma ) gene expression in Xenopus laevis embryo, assayed via in situ hybridization, NF stage 40, lateral view, anterior left, dorsal up.
|
|
ywhae (tyrosine 3-monooxygenase/tryptophan 5-monooxygenase activation protein, epsilon) gene expression in Xenopus laevis embryo, assayed via in situ hybridization, NF stage 25, lateral view, anterior left, dorsal up.
|
|
ywhae (tyrosine 3-monooxygenase/tryptophan 5-monooxygenase activation protein, epsilon) gene expression in Xenopus laevis embryo, assayed via in situ hybridization, NF stage 40, lateral view, anterior left, dorsal up.
|
|
ywhae (tyrosine 3-monooxygenase/tryptophan 5-monooxygenase activation protein, epsilon) gene expression in Xenopus laevis embryo, assayed via in situ hybridization, NF stage 40, lateral view, anterior left, dorsal up.
|
|
ywhaq (tyrosine 3-monooxygenase/tryptophan 5-monooxygenase activation protein, theta) gene expression in Xenopus laevis embryo, assayed via in situ hybridization, NF stage 40, lateral view, anterior left, dorsal up.
|
|
ywhaq 9tyrosine 3-monooxygenase/tryptophan 5-monooxygenase activation protein, theta) gene expression in Xenopus laevis embryo, assayed via in situ hybridization, NF stage 40, lateral view, anterior left, dorsal up.
|
|
ywhaz (tyrosine 3-monooxygenase/tryptophan 5-monooxygenase activation protein, zeta) gene expression in Xenopus laevis embryo, assayed via in situ hybridization, NF stage 25, lateral view, anterior left, dorsal up.
|
|
ywhaz (tyrosine 3-monooxygenase/tryptophan 5-monooxygenase activation protein, zeta) gene expression in Xenopus laevis embryo, assayed via in situ hybridization, NF stage 40, lateral view, anterior left, dorsal up.
|
|
ywhaz (tyrosine 3-monooxygenase/tryptophan 5-monooxygenase activation protein, zeta) gene expression in Xenopus laevis embryo, assayed via in situ hybridization, NF stage 40, lateral view, anterior left, dorsal up.
|
|
ywhah (tyrosine 3-monooxygenase/tryptophan 5-monooxygenase activation protein, eta ) gene expression in Xenopus laevis embryo, assayed via in situ hybridization, NF stage 25, lateral view, anterior left, dorsal up.
|
|
ywhah (tyrosine 3-monooxygenase/tryptophan 5-monooxygenase activation protein, eta ) gene expression in Xenopus laevis embryo, assayed via in situ hybridization, NF stage 40, lateral view, anterior left, dorsal up
|
|
ywhah (tyrosine 3-monooxygenase/tryptophan 5-monooxygenase activation protein, eta ) gene expression in Xenopus laevis embryo, assayed via in situ hybridization, NF stage 40, lateral view, anterior left, dorsal up
|
|
ywhab (tyrosine 3-monooxygenase/tryptophan 5-monooxygenase activation protein, beta) gene expression in Xenopus laevis embryo, assayed via in situ hybridization, NF stage 25, lateral view, anterior left, dorsal up.
|
|
ywhab (tyrosine 3-monooxygenase/tryptophan 5-monooxygenase activation protein, beta)gene expression in Xenopus laevis embryo, assayed via in situ hybridization, NF stage 40, lateral view, anterior left, dorsal up.
|
|
ywhab (tyrosine 3-monooxygenase/tryptophan 5-monooxygenase activation protein, beta) gene expression in Xenopus laevis embryo, assayed via in situ hybridization, NF stage 40, lateral view, anterior left, dorsal up.
|