Click here to close
Hello! We notice that you are using Internet Explorer, which is not supported by Xenbase and may cause the site to display incorrectly.
We suggest using a current version of Chrome,
FireFox, or Safari.
J Toxicol Pathol
2012 Mar 01;251:1-9. doi: 10.1293/tox.25.1.
Show Gene links
Show Anatomy links
Thyroid Hormone-disrupting Effects and the Amphibian Metamorphosis Assay.
Miyata K
,
Ose K
.
???displayArticle.abstract???
There are continued concerns about endocrine-disrupting chemical effects, and appropriate vertebrate models for assessment of risk are a high priority. Frog tadpoles are very sensitive to environmental substances because of their habitat and the complex processes of metamorphosis regulated by the endocrine system, mainly thyroid hormones. During metamorphosis, marked alteration in hormonal factors occurs, as well as dramatic structural and functional changes in larval tissues. There are a variety of mechanisms determining thyroid hormone balance or disruption directly or indirectly. Direct-acting agents can cause changes in thyroxine synthesis and/or secretion in thyroid through effects on peroxidases, thyroidal iodide uptake, deiodinase, and proteolysis. At the same time, indirect action may result from biochemical processes such as sulfation, deiodination and glucuronidation. Because their potential to disrupt thyroid hormones has been identified as an important consideration for the regulation of chemicals, the OECD and the EPA have each established guidelines that make use of larval African clawed frogs (Xenopus laevis) and frog metamorphosis for screening and testing of potential endocrine disrupters. The guidelines are based on evaluation of alteration in the hypothalamic-pituitary-thyroid axis. One of the primary endpoints is thyroid gland histopathology. Others are mortality, developmental stage, hind limb length, snout-vent length and wet body weight. Regarding histopathological features, the guidelines include core criteria and additional qualitative parameters along with grading. Taking into account the difficulties in evaluating amphibian thyroid glands, which change continuously throughout metamorphosis, histopathological examination has been shown to be a very sensitive approach.
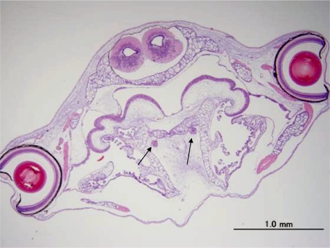
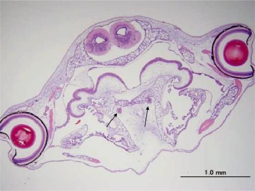
Fig. 1. Arrows indicate thyroid glands in Stage 51.
Fig. 2. Overview of the thyroid hormone pathway.
Fig. 3. The stage of metamorphosis is divided into 3 stages. The premetamorphic stage is the period until the appearance of the hind limbs, and the prometamorphic period is from their appearance to that of the forelimbs. During the period of metamorphic climax, resorption of the tail and gills and development of lungs occur.
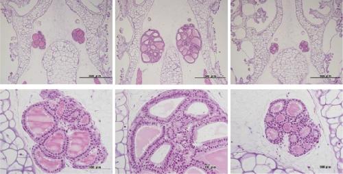
Fig. 4. Thyroid glands after exposure for 21 days beginning at Stage 51. Left: Control. Middle: PTU 25 ppm. Right: T4 5.0 ppb.
Balch,
Inhibition of metamorphosis in tadpoles of Xenopus laevis exposed to polybrominated diphenyl ethers (PBDEs).
2006, Pubmed,
Xenbase
Balch,
Inhibition of metamorphosis in tadpoles of Xenopus laevis exposed to polybrominated diphenyl ethers (PBDEs).
2006,
Pubmed
,
Xenbase
Brown,
The thyroid hormone-induced tail resorption program during Xenopus laevis metamorphosis.
1996,
Pubmed
,
Xenbase
Cai,
Expression of type II iodothyronine deiodinase marks the time that a tissue responds to thyroid hormone-induced metamorphosis in Xenopus laevis.
2004,
Pubmed
,
Xenbase
Capen,
Mechanistic data and risk assessment of selected toxic end points of the thyroid gland.
1997,
Pubmed
Carlsson,
Distribution of BDE-99 and effects on metamorphosis of BDE-99 and -47 after oral exposure in Xenopus tropicalis.
2007,
Pubmed
,
Xenbase
Carlsson,
The impact of the goitrogen 6-propylthiouracil (PTU) on West-African clawed frog (Xenopus tropicalis) exposed during metamorphosis.
2007,
Pubmed
,
Xenbase
Carr,
Response of larval Xenopus laevis to atrazine: assessment of growth, metamorphosis, and gonadal and laryngeal morphology.
2003,
Pubmed
,
Xenbase
Cheek,
Alteration of leopard frog (Rana pipiens) metamorphosis by the herbicide acetochlor.
1999,
Pubmed
Coady,
Evaluation of the amphibian metamorphosis assay: exposure to the goitrogen methimazole and the endogenous thyroid hormone L-thyroxine.
2010,
Pubmed
,
Xenbase
Darras,
Increased plasma levels of thyroid hormones in a frog Rana ridibunda following intravenous administration of TRH.
1982,
Pubmed
Degitz,
Progress towards development of an amphibian-based thyroid screening assay using Xenopus laevis. Organismal and thyroidal responses to the model compounds 6-propylthiouracil, methimazole, and thyroxine.
2005,
Pubmed
,
Xenbase
Denver,
Several hypothalamic peptides stimulate in vitro thyrotropin secretion by pituitaries of anuran amphibians.
1988,
Pubmed
,
Xenbase
Fort,
Triclosan and anuran metamorphosis: no effect on thyroid-mediated metamorphosis in Xenopus laevis.
2010,
Pubmed
,
Xenbase
Fort,
Evaluation of the developmental and reproductive toxicity of methoxychlor using an anuran (Xenopus tropicalis) chronic exposure model.
2004,
Pubmed
,
Xenbase
Fort,
Effect of methoxychlor on various life stages of Xenopus laevis.
2004,
Pubmed
,
Xenbase
Fort,
Triclosan and thyroid-mediated metamorphosis in anurans: differentiating growth effects from thyroid-driven metamorphosis in Xenopus laevis.
2011,
Pubmed
,
Xenbase
Furlow,
Induction of larval tissue resorption in Xenopus laevis tadpoles by the thyroid hormone receptor agonist GC-1.
2004,
Pubmed
,
Xenbase
Goleman,
Environmentally relevant concentrations of ammonium perchlorate inhibit thyroid function and alter sex ratios in developing Xenopus laevis.
2002,
Pubmed
,
Xenbase
Goleman,
Environmentally relevant concentrations of ammonium perchlorate inhibit development and metamorphosis in Xenopus laevis.
2002,
Pubmed
,
Xenbase
Gray,
Gonadal hormones inhibit the induction of metamorphosis by thyroid hormones in Xenopus laevis tadpoles in vivo, but not in vitro.
1990,
Pubmed
,
Xenbase
Grim,
Thyroid histopathology assessments for the amphibian metamorphosis assay to detect thyroid-active substances.
2009,
Pubmed
,
Xenbase
Gutleb,
Effects of oral exposure to polychlorinated biphenyls (PCBs) on the development and metamorphosis of two amphibian species (Xenopus laevis and Rana temporaria).
2000,
Pubmed
,
Xenbase
Helbing,
Triclosan affects thyroid hormone-dependent metamorphosis in anurans.
2011,
Pubmed
,
Xenbase
Hersikorn,
Compromised metamorphosis and thyroid hormone changes in wood frogs (Lithobates sylvaticus) raised on reclaimed wetlands on the Athabasca oil sands.
2011,
Pubmed
Hogan,
Estrogenic exposure affects metamorphosis and alters sex ratios in the northern leopard frog (Rana pipiens): identifying critically vulnerable periods of development.
2008,
Pubmed
Hu,
The colloidal thyroxine (T4) ring as a novel biomarker of perchlorate exposure in the African clawed frog Xenopus laevis.
2006,
Pubmed
,
Xenbase
Huang,
Timing of metamorphosis and the onset of the negative feedback loop between the thyroid gland and the pituitary is controlled by type II iodothyronine deiodinase in Xenopus laevis.
2001,
Pubmed
,
Xenbase
Huang,
Prolactin is not a juvenile hormone in Xenopus laevis metamorphosis.
2000,
Pubmed
,
Xenbase
Ishihara,
Endocrine disrupting chemicals: interference of thyroid hormone binding to transthyretins and to thyroid hormone receptors.
2003,
Pubmed
Iwamuro,
Teratogenic and anti-metamorphic effects of bisphenol A on embryonic and larval Xenopus laevis.
2003,
Pubmed
,
Xenbase
Jacobs,
Thyroid hormone feedback regulation of the secretion of bioactive thyrotropin in the frog.
1992,
Pubmed
Jacobs,
Luteinizing hormone-releasing hormone as a potent stimulator of the thyroidal axis in ranid frogs.
1988,
Pubmed
Jaffe,
Plasma concentration of corticosterone during Rana catesbeiana tadpole metamorphosis.
1981,
Pubmed
Jolivet Jaudet,
Variations in aldosterone and corticosterone plasma levels during metamorphosis in Xenopus laevis tadpoles.
1984,
Pubmed
,
Xenbase
Kaneko,
Thyroid hormones inhibit frog corticotropin-releasing factor-induced thyrotropin release from the bullfrog pituitary in vitro.
2005,
Pubmed
Kawahara,
Developmental and regional expression of thyroid hormone receptor genes during Xenopus metamorphosis.
1991,
Pubmed
,
Xenbase
Khan,
Induction of hepatic cytochrome P-450 by phenobarbital in semi-aquatic frog (Rana pipiens).
1998,
Pubmed
,
Xenbase
Kikuyama,
Elevation of plasma aldosterone levels of tadpoles at metamorphic climax.
1986,
Pubmed
Kudo,
In vitro and in vivo analysis of the thyroid disrupting activities of phenolic and phenol compounds in Xenopus laevis.
2005,
Pubmed
,
Xenbase
Kudo,
In vitro and in vivo analysis of the thyroid system-disrupting activities of brominated phenolic and phenol compounds in Xenopus laevis.
2006,
Pubmed
,
Xenbase
Kunz,
Assessment of hormonal activity of UV filters in tadpoles of frog Xenopus laevis at environmental concentrations.
2004,
Pubmed
,
Xenbase
Lim,
A thyroid hormone antagonist that inhibits thyroid hormone action in vivo.
2002,
Pubmed
,
Xenbase
O'Connor,
Detection of thyroid toxicants in a tier I screening battery and alterations in thyroid endpoints over 28 days of exposure.
1999,
Pubmed
Okada,
Development of radioimmunoassay for bullfrog thyroid-stimulating hormone (TSH): effects of hypothalamic releasing hormones on the release of TSH from the pituitary in vitro.
2004,
Pubmed
Opitz,
Evaluation of histological and molecular endpoints for enhanced detection of thyroid system disruption in Xenopus laevis tadpoles.
2006,
Pubmed
,
Xenbase
Opitz,
Description and initial evaluation of a Xenopus metamorphosis assay for detection of thyroid system-disrupting activities of environmental compounds.
2005,
Pubmed
,
Xenbase
Prapunpoj,
Evolution of structure, ontogeny of gene expression, and function of Xenopus laevis transthyretin.
2000,
Pubmed
,
Xenbase
Rahman,
Characterization of iodothyronine sulfotransferase activity in the cytosol of Rana catesbeiana tadpole tissues.
2010,
Pubmed
Sowers,
The developmental effects of a municipal wastewater effluent on the northern leopard frog, Rana pipiens.
2009,
Pubmed
Suzuki,
Circulating thyroglobulin in tadpoles and adult frogs of Rana catesbeiana.
1994,
Pubmed
Tata,
Amphibian metamorphosis as a model for studying the developmental actions of thyroid hormone.
1998,
Pubmed
Tietge,
Metamorphic inhibition of Xenopus laevis by sodium perchlorate: effects on development and thyroid histology.
2005,
Pubmed
,
Xenbase
Veldhoen,
The bactericidal agent triclosan modulates thyroid hormone-associated gene expression and disrupts postembryonic anuran development.
2006,
Pubmed
,
Xenbase
Wong,
Coordinated regulation of and transcriptional activation by Xenopus thyroid hormone and retinoid X receptors.
1995,
Pubmed
,
Xenbase
Yamauchi,
Effect of diethylstilbestrol on thyroid hormone binding to amphibian transthyretins.
2000,
Pubmed
,
Xenbase